• 文献检索
  • 文档翻译
  • 深度研究
  • 学术资讯
  • Suppr Zotero 插件Zotero 插件
  • 邀请有礼
  • 套餐&价格
  • 历史记录
应用&插件
Suppr Zotero 插件Zotero 插件浏览器插件Mac 客户端Windows 客户端微信小程序
定价
高级版会员购买积分包购买API积分包
服务
文献检索文档翻译深度研究API 文档MCP 服务
关于我们
关于 Suppr公司介绍联系我们用户协议隐私条款
关注我们

Suppr 超能文献

核心技术专利:CN118964589B侵权必究
粤ICP备2023148730 号-1Suppr @ 2026

文献检索

告别复杂PubMed语法,用中文像聊天一样搜索,搜遍4000万医学文献。AI智能推荐,让科研检索更轻松。

立即免费搜索

文件翻译

保留排版,准确专业,支持PDF/Word/PPT等文件格式,支持 12+语言互译。

免费翻译文档

深度研究

AI帮你快速写综述,25分钟生成高质量综述,智能提取关键信息,辅助科研写作。

立即免费体验

房水液体活检以排除眼内肿块儿童的视网膜母细胞瘤

Aqueous Humor Liquid Biopsy to Exclude Retinoblastoma for a Child with an Intraocular Mass.

作者信息

Nelson Andrew J, Park Susanna, Nelson Marvin D, Berry Jesse L

机构信息

Department of Ophthalmology and Vision Science, University of California Davis, Sacramento, CA, USA.

Department of Radiology, Children's Hospital Los Angeles, Los Angeles, CA, USA.

出版信息

Case Rep Ophthalmol. 2025 Apr 21;16(1):366-371. doi: 10.1159/000545924. eCollection 2025 Jan-Dec.

DOI:10.1159/000545924
PMID:40469936
原文链接:https://pmc.ncbi.nlm.nih.gov/articles/PMC12136566/
Abstract

INTRODUCTION

Intraocular masses in children may present diagnostic dilemmas when clinical examination and imaging are insufficient to diagnose or exclude retinoblastoma. Furthermore, direct biopsy is contraindicated because of the risk of tumor seeding in retinoblastoma. Recent research has shown that aqueous humor biopsy is a safe method of obtaining cell-free DNA which can be used to diagnose retinoblastoma with high sensitivity and specificity, which provides a significant benefit in cases when the diagnosis is otherwise unclear.

CASE PRESENTATION

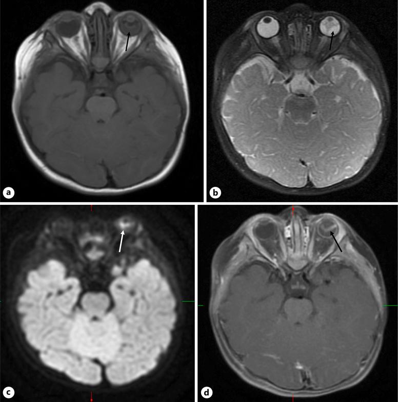
An 11-month-old female presented with poor visual behavior since birth and an intraocular mass in the left eye. Examination under anesthesia revealed a detached retina rolled into a stalk attached to the optic nerve in the right eye and a white retrolental mass with perfused vessels in the left eye. Magnetic resonance imaging demonstrated a heterogeneous mass filling the left globe with diffusion restriction and contract enhancement. Aqueous humor liquid biopsy was performed in both eyes with low DNA yield and no mutations associated with retinoblastoma were identified. The patient was observed with no interval change in examination for 6 months.

CONCLUSION

Aqueous humor liquid biopsy can be used to exclude a diagnosis of retinoblastoma in cases of pediatric intraocular mass with uncertain diagnosis.

摘要

引言

当临床检查和影像学检查不足以诊断或排除视网膜母细胞瘤时,儿童眼内肿物可能会带来诊断难题。此外,由于视网膜母细胞瘤存在肿瘤播散风险,直接活检是禁忌的。最近的研究表明,房水活检是一种获取游离DNA的安全方法,可用于以高灵敏度和特异性诊断视网膜母细胞瘤,这在诊断不明的情况下具有显著优势。

病例介绍

一名11个月大的女性自出生以来视力行为不佳,左眼有眼内肿物。麻醉下检查发现右眼视网膜脱离并卷成附着于视神经的蒂,左眼有一个有血管灌注的白色晶状体后肿物。磁共振成像显示一个异质性肿物充满左眼球,有弥散受限和强化。对双眼进行了房水液体活检,DNA产量低,未发现与视网膜母细胞瘤相关的突变。对该患者进行了观察,6个月内检查无间隔变化。

结论

房水液体活检可用于排除诊断不明确的小儿眼内肿物病例中的视网膜母细胞瘤诊断。

https://cdn.ncbi.nlm.nih.gov/pmc/blobs/44b6/12136566/74b65e010287/cop-2025-0016-0001-545924_F03.jpg
https://cdn.ncbi.nlm.nih.gov/pmc/blobs/44b6/12136566/a80ab66244e5/cop-2025-0016-0001-545924_F01.jpg
https://cdn.ncbi.nlm.nih.gov/pmc/blobs/44b6/12136566/422b324ac0a9/cop-2025-0016-0001-545924_F02.jpg
https://cdn.ncbi.nlm.nih.gov/pmc/blobs/44b6/12136566/74b65e010287/cop-2025-0016-0001-545924_F03.jpg
https://cdn.ncbi.nlm.nih.gov/pmc/blobs/44b6/12136566/a80ab66244e5/cop-2025-0016-0001-545924_F01.jpg
https://cdn.ncbi.nlm.nih.gov/pmc/blobs/44b6/12136566/422b324ac0a9/cop-2025-0016-0001-545924_F02.jpg
https://cdn.ncbi.nlm.nih.gov/pmc/blobs/44b6/12136566/74b65e010287/cop-2025-0016-0001-545924_F03.jpg

相似文献

1
Aqueous Humor Liquid Biopsy to Exclude Retinoblastoma for a Child with an Intraocular Mass.房水液体活检以排除眼内肿块儿童的视网膜母细胞瘤
Case Rep Ophthalmol. 2025 Apr 21;16(1):366-371. doi: 10.1159/000545924. eCollection 2025 Jan-Dec.
2
Retinoblastoma视网膜母细胞瘤
3
Liquid biopsy in Retinoblastoma: A review.液体活检在视网膜母细胞瘤中的应用:综述。
Semin Ophthalmol. 2022 Oct-Nov;37(7-8):813-819. doi: 10.1080/08820538.2022.2078165. Epub 2022 May 23.
4
Safety Assessment of Aqueous Humor Liquid Biopsy in Retinoblastoma: A Multicenter Study of 1203 Procedures.视网膜母细胞瘤房水液体活检的安全性评估:一项包含1203例手术的多中心研究
Ophthalmology. 2025 Mar 19. doi: 10.1016/j.ophtha.2025.03.018.
5
Chromosome 6p Amplification in Aqueous Humor Cell-Free DNA Is a Prognostic Biomarker for Retinoblastoma Ocular Survival.染色体 6p 扩增在房水细胞游离 DNA 中是视网膜母细胞瘤眼存活的预后生物标志物。
Mol Cancer Res. 2020 Aug;18(8):1166-1175. doi: 10.1158/1541-7786.MCR-19-1262. Epub 2020 May 20.
6
A typical anterior retinoblastoma: diagnosis by aqueous humor cell-free DNA analysis.典型的前部视网膜母细胞瘤:通过房水游离DNA分析进行诊断。
Ophthalmic Genet. 2022 Dec;43(6):862-865. doi: 10.1080/13816810.2022.2141800. Epub 2022 Nov 3.
7
Malignant teratoid intraocular ciliary body medulloepithelioma in a 5-year-old male with corresponding somatic copy number alteration profile of aqueous humor cell-free DNA.5 岁男性患儿眼内睫状体恶性畸胎瘤样中胚叶肾胚细胞瘤,相应房水无细胞 DNA 的体细胞拷贝数改变谱。
Ophthalmic Genet. 2022 Dec;43(6):855-861. doi: 10.1080/13816810.2022.2138457. Epub 2022 Oct 31.
8
Aqueous Humor Liquid Biopsy as a Companion Diagnostic for Retinoblastoma: Implications for Diagnosis, Prognosis, and Therapeutic Options: Five Years of Progress.眼房水液活检作为视网膜母细胞瘤的伴随诊断:对诊断、预后和治疗选择的影响:五年进展。
Am J Ophthalmol. 2024 Jul;263:188-205. doi: 10.1016/j.ajo.2023.11.020. Epub 2023 Nov 30.
9
Aqueous Humor as a Liquid Biopsy for Retinoblastoma: Clear Corneal Paracentesis and Genomic Analysis.房水作为视网膜母细胞瘤的液体活检:透明角膜穿刺术与基因组分析
J Vis Exp. 2021 Sep 7(175). doi: 10.3791/62939.
10
Genomic cfDNA Analysis of Aqueous Humor in Retinoblastoma Predicts Eye Salvage: The Surrogate Tumor Biopsy for Retinoblastoma.眼内液游离 DNA 基因组分析预测视网膜母细胞瘤保眼治疗的可行性:视网膜母细胞瘤的替代肿瘤活检。
Mol Cancer Res. 2018 Nov;16(11):1701-1712. doi: 10.1158/1541-7786.MCR-18-0369. Epub 2018 Jul 30.

本文引用的文献

1
Case report: Genetic diagnoses in a pediatric patient with retinoblastoma and comorbid global developmental delay: three distinct entities diagnosed by whole exome sequencing in a single patient.病例报告:一名患有视网膜母细胞瘤并伴有全面发育迟缓的儿科患者的基因诊断:通过对一名患者进行全外显子组测序诊断出三种不同病症。
Front Neurosci. 2024 Jul 23;18:1391596. doi: 10.3389/fnins.2024.1391596. eCollection 2024.
2
Aqueous Humor Liquid Biopsy as a Companion Diagnostic for Retinoblastoma: Implications for Diagnosis, Prognosis, and Therapeutic Options: Five Years of Progress.眼房水液活检作为视网膜母细胞瘤的伴随诊断:对诊断、预后和治疗选择的影响:五年进展。
Am J Ophthalmol. 2024 Jul;263:188-205. doi: 10.1016/j.ajo.2023.11.020. Epub 2023 Nov 30.
3
Combined low-pass whole genome and targeted sequencing in liquid biopsies for pediatric solid tumors.小儿实体瘤液体活检中的联合低通全基因组和靶向测序
NPJ Precis Oncol. 2023 Feb 20;7(1):21. doi: 10.1038/s41698-023-00357-0.
4
MR Imaging Features to Differentiate Retinoblastoma from Coats' Disease and Persistent Fetal Vasculature.鉴别视网膜母细胞瘤与科茨病及永存原始玻璃体增生症的磁共振成像特征
Cancers (Basel). 2020 Nov 30;12(12):3592. doi: 10.3390/cancers12123592.
5
Simultaneous identification of clinically relevant mutations and copy number alterations in aqueous humor of retinoblastoma eyes.同时鉴定视网膜母细胞瘤眼房水中的临床相关突变和拷贝数改变。
Ophthalmic Genet. 2020 Dec;41(6):526-532. doi: 10.1080/13816810.2020.1799417. Epub 2020 Aug 17.
6
Germline 16p11.2 Microdeletion Predisposes to Neuroblastoma.胚系 16p11.2 微缺失易患神经母细胞瘤。
Am J Hum Genet. 2019 Sep 5;105(3):658-668. doi: 10.1016/j.ajhg.2019.07.020. Epub 2019 Aug 29.
7
Non-invasive diagnosis of retinoblastoma using cell-free DNA from aqueous humour.利用房水中的游离DNA对视网膜母细胞瘤进行非侵入性诊断。
Br J Ophthalmol. 2019 Feb 11;103(5):721-4. doi: 10.1136/bjophthalmol-2018-313005.
8
Potential of Aqueous Humor as a Surrogate Tumor Biopsy for Retinoblastoma.房水作为视网膜母细胞瘤替代肿瘤活检的潜力。
JAMA Ophthalmol. 2017 Nov 1;135(11):1221-1230. doi: 10.1001/jamaophthalmol.2017.4097.
9
Retinoblastoma.视网膜母细胞瘤。
Nat Rev Dis Primers. 2015 Aug 27;1:15021. doi: 10.1038/nrdp.2015.21.
10
Clinical presentation of familial exudative vitreoretinopathy.家族性渗出性玻璃体视网膜病变的临床表现。
Ophthalmology. 2011 Oct;118(10):2070-5. doi: 10.1016/j.ophtha.2011.06.020. Epub 2011 Aug 25.