• 文献检索
  • 文档翻译
  • 深度研究
  • 学术资讯
  • Suppr Zotero 插件Zotero 插件
  • 邀请有礼
  • 套餐&价格
  • 历史记录
应用&插件
Suppr Zotero 插件Zotero 插件浏览器插件Mac 客户端Windows 客户端微信小程序
定价
高级版会员购买积分包购买API积分包
服务
文献检索文档翻译深度研究API 文档MCP 服务
关于我们
关于 Suppr公司介绍联系我们用户协议隐私条款
关注我们

Suppr 超能文献

核心技术专利:CN118964589B侵权必究
粤ICP备2023148730 号-1Suppr @ 2026

文献检索

告别复杂PubMed语法,用中文像聊天一样搜索,搜遍4000万医学文献。AI智能推荐,让科研检索更轻松。

立即免费搜索

文件翻译

保留排版,准确专业,支持PDF/Word/PPT等文件格式,支持 12+语言互译。

免费翻译文档

深度研究

AI帮你快速写综述,25分钟生成高质量综述,智能提取关键信息,辅助科研写作。

立即免费体验

生长激素联合雌激素通过下调子宫内膜微生物柠檬酸靶向β-连环蛋白来改善宫腔粘连纤维化。

Growth hormone combined with estrogen improves intrauterine adhesion fibrosis by downregulating endometrial microbial citraconic acid to target β-catenin protein.

作者信息

Zeng Yuhua, Yang Yanfei, Zeng Fei, Feng Qing

机构信息

Department of Health Management, The Third Xiangya Hospital, Central South University, Changsha, Hunan, China.

Department of Obstetrics and Gynecology, Third Xiangya Hospital of Central South University, Changsha, Hunan, China.

出版信息

mSystems. 2025 Jul 22;10(7):e0169224. doi: 10.1128/msystems.01692-24. Epub 2025 Jun 5.

DOI:10.1128/msystems.01692-24
PMID:40470939
原文链接:https://pmc.ncbi.nlm.nih.gov/articles/PMC12282089/
Abstract

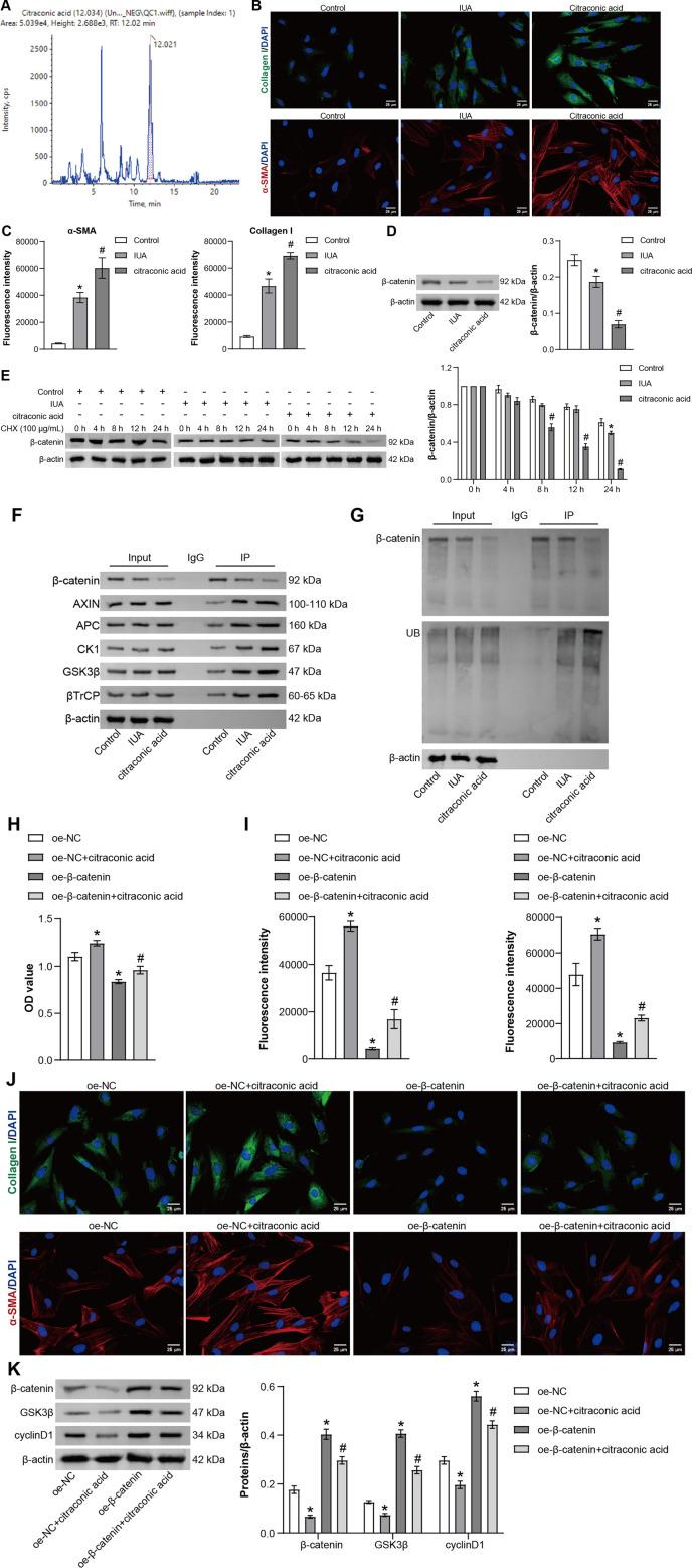
Intrauterine adhesions (IUAs) are a major cause of secondary infertility. This study aimed to investigate the therapeutic effects and mechanisms of combined recombinant rat growth hormone (rrGH) and estrogen therapy on endometrial fibrosis in IUA rats. Our findings revealed that IUA rats exhibited severe endometrial damage, heightened inflammatory responses, significant collagen deposition, and imbalances in various inflammatory and growth factors. However, these pathological changes were markedly improved following combined rrGH and estrogen treatment. Additionally, the endometrial microbial diversity in IUA rats was significantly reduced, and the combined therapy effectively promoted its restoration. Biochemical serum analysis showed that the combined therapy upregulated key reproductive hormone levels. Notably, the combined application of rrGH and estrogen partially restored GH receptor levels. TGF-β1, MMP9, and β-catenin were upregulated in the endometria of IUA rats, while the p-smad3/smad3 ratio was downregulated, and these key indicators were reversed after combined therapy. Furthermore, antibiotic treatment weakened the effects of combined therapy, indicating the role of endometrial microbiota in IUA. Molecular docking results revealed a high affinity between β-catenin and differential metabolites such as citraconic acid, suggesting their potential importance in regulating the β-catenin signaling pathway. In a TGF-β1-induced IUA cell model, we found that TGF-β1 treatment upregulated fibrosis-related protein expression but decreased β-catenin protein levels and stability. Citraconic acid intervention enhanced the effects of TGF-β1, while β-catenin overexpression inhibited these changes. In summary, the combined therapy targeting the β-catenin pathway through citraconic acid regulation alleviated endometrial fibrosis, offering a new approach to treating IUA.IMPORTANCEIntrauterine adhesions (IUAs) are an important endometrial disease. Our study highlights the importance of the combination of recombinant rat growth hormone (rrGH) and estrogen in ameliorating endometrial damage and fibrosis, as well as promoting endometrial regeneration in IUA rats. In addition, our study emphasizes their important role in ameliorating microecological disturbances in the intrauterine environment and regulating serum metabolism. Our experiments also revealed for the first time that the combination of rrGH and estrogen may modulate endometrial microbes or influence the progression of IUA by promoting β-catenin expression, which is important for understanding the treatment of IUA disease. Our study provides new and important insights into the understanding and treatment of IUA disease.

摘要

宫腔粘连(IUAs)是继发性不孕的主要原因。本研究旨在探讨重组大鼠生长激素(rrGH)与雌激素联合治疗对IUA大鼠子宫内膜纤维化的治疗效果及机制。我们的研究结果显示,IUA大鼠表现出严重的子宫内膜损伤、炎症反应增强、大量胶原沉积以及多种炎症和生长因子失衡。然而,rrGH与雌激素联合治疗后,这些病理变化得到显著改善。此外,IUA大鼠子宫内膜微生物多样性显著降低,联合治疗有效促进了其恢复。生化血清分析表明,联合治疗上调了关键生殖激素水平。值得注意的是,rrGH与雌激素联合应用部分恢复了生长激素受体水平。IUA大鼠子宫内膜中转化生长因子-β1(TGF-β1)、基质金属蛋白酶9(MMP9)和β-连环蛋白上调,而p-smad3/smad3比值下调,联合治疗后这些关键指标发生逆转。此外,抗生素治疗削弱了联合治疗的效果,表明子宫内膜微生物群在IUA中的作用。分子对接结果显示β-连环蛋白与柠康酸等差异代谢物之间具有高亲和力,表明它们在调节β-连环蛋白信号通路中具有潜在重要性。在TGF-β1诱导的IUA细胞模型中,我们发现TGF-β1处理上调了纤维化相关蛋白表达,但降低了β-连环蛋白蛋白水平和稳定性。柠康酸干预增强了TGF-β1的作用,而β-连环蛋白过表达抑制了这些变化。总之,通过柠康酸调节靶向β-连环蛋白通路的联合治疗减轻了子宫内膜纤维化,为IUA的治疗提供了一种新方法。

重要性

宫腔粘连(IUAs)是一种重要的子宫内膜疾病。我们的研究强调了重组大鼠生长激素(rrGH)与雌激素联合应用在改善IUA大鼠子宫内膜损伤和纤维化以及促进子宫内膜再生方面的重要性。此外,我们的研究强调了它们在改善子宫内环境微生态紊乱和调节血清代谢方面的重要作用。我们的实验还首次揭示,rrGH与雌激素联合应用可能通过促进β-连环蛋白表达来调节子宫内膜微生物群或影响IUA的进展,这对于理解IUA疾病的治疗很重要。我们的研究为IUA疾病的理解和治疗提供了新的重要见解。

https://cdn.ncbi.nlm.nih.gov/pmc/blobs/f719/12282089/426b0f4ceb7b/msystems.01692-24.f007.jpg
https://cdn.ncbi.nlm.nih.gov/pmc/blobs/f719/12282089/7f5f435da029/msystems.01692-24.f001.jpg
https://cdn.ncbi.nlm.nih.gov/pmc/blobs/f719/12282089/a164f5c97fcf/msystems.01692-24.f002.jpg
https://cdn.ncbi.nlm.nih.gov/pmc/blobs/f719/12282089/c12ed0fa984d/msystems.01692-24.f003.jpg
https://cdn.ncbi.nlm.nih.gov/pmc/blobs/f719/12282089/a49c6c09b66e/msystems.01692-24.f004.jpg
https://cdn.ncbi.nlm.nih.gov/pmc/blobs/f719/12282089/d7c5a6e9c21d/msystems.01692-24.f005.jpg
https://cdn.ncbi.nlm.nih.gov/pmc/blobs/f719/12282089/81afe7776194/msystems.01692-24.f006.jpg
https://cdn.ncbi.nlm.nih.gov/pmc/blobs/f719/12282089/426b0f4ceb7b/msystems.01692-24.f007.jpg
https://cdn.ncbi.nlm.nih.gov/pmc/blobs/f719/12282089/7f5f435da029/msystems.01692-24.f001.jpg
https://cdn.ncbi.nlm.nih.gov/pmc/blobs/f719/12282089/a164f5c97fcf/msystems.01692-24.f002.jpg
https://cdn.ncbi.nlm.nih.gov/pmc/blobs/f719/12282089/c12ed0fa984d/msystems.01692-24.f003.jpg
https://cdn.ncbi.nlm.nih.gov/pmc/blobs/f719/12282089/a49c6c09b66e/msystems.01692-24.f004.jpg
https://cdn.ncbi.nlm.nih.gov/pmc/blobs/f719/12282089/d7c5a6e9c21d/msystems.01692-24.f005.jpg
https://cdn.ncbi.nlm.nih.gov/pmc/blobs/f719/12282089/81afe7776194/msystems.01692-24.f006.jpg
https://cdn.ncbi.nlm.nih.gov/pmc/blobs/f719/12282089/426b0f4ceb7b/msystems.01692-24.f007.jpg

相似文献

1
Growth hormone combined with estrogen improves intrauterine adhesion fibrosis by downregulating endometrial microbial citraconic acid to target β-catenin protein.生长激素联合雌激素通过下调子宫内膜微生物柠檬酸靶向β-连环蛋白来改善宫腔粘连纤维化。
mSystems. 2025 Jul 22;10(7):e0169224. doi: 10.1128/msystems.01692-24. Epub 2025 Jun 5.
2
Human amnion mesenchymal stem cells promote endometrial repair via paracrine, preferentially than transdifferentiation.人羊膜间充质干细胞通过旁分泌而非转分化促进子宫内膜修复。
Cell Commun Signal. 2024 May 31;22(1):301. doi: 10.1186/s12964-024-01656-0.
3
Restoration of functional endometrium in an intrauterine adhesion rat model with endometrial stromal cells transplantation.子宫内膜间质细胞移植修复宫腔粘连大鼠模型的功能性子宫内膜。
Stem Cell Res Ther. 2024 Jun 21;15(1):181. doi: 10.1186/s13287-024-03788-z.
4
Unveiling the molecular mechanisms of human platelet lysate in enhancing endometrial receptivity.揭示人血小板裂解物增强子宫内膜容受性的分子机制。
Hum Reprod. 2025 Jul 15. doi: 10.1093/humrep/deaf118.
5
The IL-33-ST2 axis plays a vital role in endometriosis via promoting epithelial-mesenchymal transition by phosphorylating β-catenin.IL-33-ST2 轴通过磷酸化 β-连环蛋白促进上皮间质转化,在子宫内膜异位症中发挥重要作用。
Cell Commun Signal. 2024 Jun 10;22(1):318. doi: 10.1186/s12964-024-01683-x.
6
XBP1 promotes endometrial fibrosis through cGAS-STING signaling pathway in intrauterine adhesion.在宫腔粘连中,XBP1通过cGAS-STING信号通路促进子宫内膜纤维化。
Sci Rep. 2025 Jul 2;15(1):23299. doi: 10.1038/s41598-025-06162-y.
7
Amphiregulin secreted by umbilical cord multipotent stromal cells protects against ferroptosis of macrophages via the activating transcription factor 3-CD36 axis to alleviate endometrial fibrosis.脐带多能基质细胞分泌的双调蛋白通过激活转录因子3- CD36轴保护巨噬细胞免受铁死亡,从而减轻子宫内膜纤维化。
Stem Cells. 2024 Aug 1;42(8):763-776. doi: 10.1093/stmcls/sxae035.
8
ALKBH5 regulates intrauterine adhesion progression through m6A dependent FABP4 mRNA stabilization and serum lipid metabolism.ALKBH5通过m6A依赖的FABP4 mRNA稳定和血清脂质代谢调节宫腔粘连进展。
Commun Biol. 2025 Jul 1;8(1):973. doi: 10.1038/s42003-025-08375-3.
9
Oenothera biennis improves pregnancy outcomes by suppressing inflammation and fibrosis in an intra-uterine adhesion rat model.月见草通过抑制宫腔粘连大鼠模型中的炎症和纤维化来改善妊娠结局。
Sci Rep. 2024 Sep 27;14(1):22376. doi: 10.1038/s41598-024-69488-z.
10
Coaxial printing of slow-release heparin-binding epidermal growth factor scaffold to avoid the occurrence of intrauterine adhesions.同轴打印缓释肝素结合表皮生长因子支架以避免宫腔粘连的发生。
Acta Biomater. 2025 Jul 1;201:229-240. doi: 10.1016/j.actbio.2025.06.025. Epub 2025 Jun 13.

本文引用的文献

1
Discovery and characterization of complete genomes of 38 head-tailed proviruses in four predominant phyla of archaea.古菌四个主要门类中38种头尾型前病毒完整基因组的发现与表征
Microbiol Spectr. 2025 Jan 7;13(1):e0049224. doi: 10.1128/spectrum.00492-24. Epub 2024 Nov 15.
2
IL-4-induced M2 macrophages inhibit fibrosis of endometrial stromal cells.IL-4 诱导的 M2 巨噬细胞抑制子宫内膜间质细胞的纤维化。
Reprod Biol. 2024 Jun;24(2):100852. doi: 10.1016/j.repbio.2023.100852. Epub 2024 Feb 14.
3
β-catenin inhibitors in cancer therapeutics: intricacies and way forward.
β-连环蛋白抑制剂在癌症治疗中的应用:复杂性与未来方向。
Bioengineered. 2023 Dec;14(1):2251696. doi: 10.1080/21655979.2023.2251696.
4
Improvement of vaginal probiotics Lactobacillus crispatus on intrauterine adhesion in mice model and in clinical practice.阴道益生菌卷曲乳杆菌对宫腔粘连小鼠模型及临床的改善作用。
BMC Microbiol. 2023 Mar 22;23(1):78. doi: 10.1186/s12866-023-02823-y.
5
Effect of growth hormone on endometrium growth of intrauterine adhesion and the underlying mechanism.生长激素对宫腔粘连子宫内膜生长的影响及其作用机制。
Zhong Nan Da Xue Xue Bao Yi Xue Ban. 2022 Nov 28;47(11):1522-1531. doi: 10.11817/j.issn.1672-7347.2022.220079.
6
Research progress in the correlation between reproductive tract microbiota and intrauterine adhesion.生殖道微生物群与宫腔粘连相关性的研究进展。
Zhong Nan Da Xue Xue Bao Yi Xue Ban. 2022 Nov 28;47(11):1495-1503. doi: 10.11817/j.issn.1672-7347.2022.220130.
7
Endoplasmic reticulum stress promotes endometrial fibrosis through the TGF-β/SMAD pathway.内质网应激通过TGF-β/SMAD信号通路促进子宫内膜纤维化。
Reproduction. 2023 Jan 6;165(2):171-182. doi: 10.1530/REP-22-0294. Print 2023 Feb 1.
8
Chronic endometritis positively correlates with the aggravation of intrauterine adhesions but has limited effects on reproductive prognosis with antibiotic application.慢性子宫内膜炎与宫腔粘连的加重呈正相关,但应用抗生素对生殖预后的影响有限。
Int J Gynaecol Obstet. 2023 Mar;160(3):986-992. doi: 10.1002/ijgo.14434. Epub 2022 Sep 26.
9
Bone marrow mesenchymal stem cells combined with estrogen synergistically promote endometrial regeneration and reverse EMT via Wnt/β-catenin signaling pathway.骨髓间充质干细胞与雌激素协同作用通过 Wnt/β-catenin 信号通路促进子宫内膜再生和 EMT 逆转。
Reprod Biol Endocrinol. 2022 Aug 15;20(1):121. doi: 10.1186/s12958-022-00988-1.
10
Association of Intrauterine Microbes with Endometrial Factors in Intrauterine Adhesion Formation and after Medicine Treatment.宫腔粘连形成及药物治疗后宫腔微生物与子宫内膜因素的关联
Pathogens. 2022 Jul 10;11(7):784. doi: 10.3390/pathogens11070784.