Suppr超能文献

贝伐单抗联合信迪利单抗肝动脉灌注化疗治疗晚期肝细胞癌的疗效:一例报告

Efficacy of Hepatic Artery Infusion Chemotherapy with Bevacizumab and Sintilimab in Advanced Hepatocellular Carcinoma: A Case Report.

作者信息

Hua Chenguang, Huang Shanhe, Ding Bo, Chen Junru, Ding Chaofeng

机构信息

Division of Hepatobiliary and Pancreatic Surgery, Department of Surgery, First Affiliated Hospital, School of Medicine, Zhejiang University, Hangzhou, Zhejiang, China.

出版信息

Am J Case Rep. 2025 Jun 7;26:e947317. doi: 10.12659/AJCR.947317.

Abstract

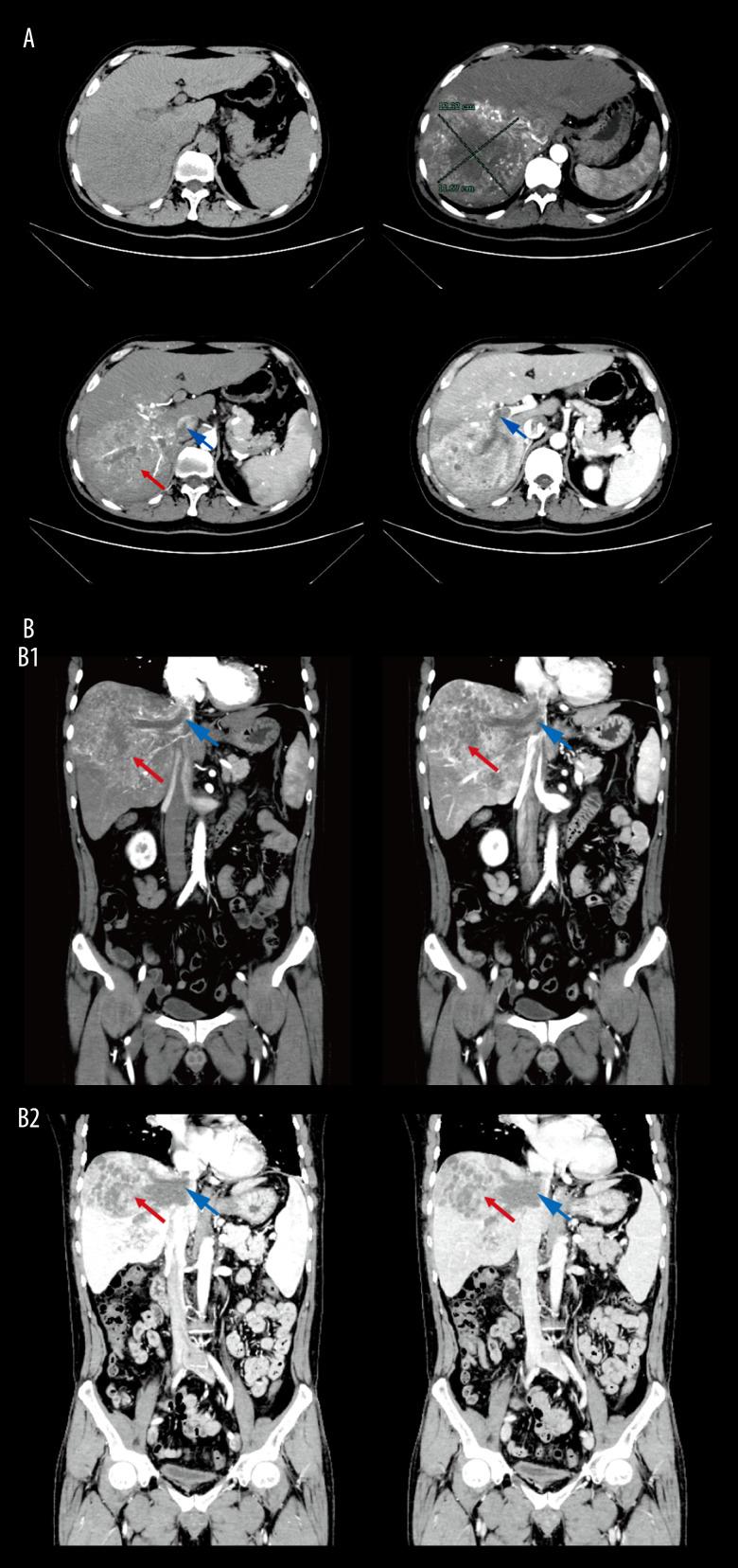
BACKGROUND Hepatocellular carcinoma (HCC) with vascular invasion at advanced stage is not indicated for surgical options. Conversion therapy is used for unresectable HCC to downstage. Chemotherapy can be more precisely targeted to HCC by using hepatic artery infusion. Bevacizumab and sintilimab are available systemic therapies for HCC. This report describes a 50-year-old man with advanced HCC associated with multiple venous tumor thromboses treated with hepatic artery infusion chemotherapy (HAIC) combined with bevacizumab and sintilimab conversion therapy. CASE REPORT A 50-year-old man was admitted to the hospital due to elevated alpha-fetoprotein (AFP) level in July 2022. Abdominal computed tomography angiography (CTA) revealed a large HCC with multiple venous tumor thromboses. Pulmonary CTA detected arterial embolism and multiple solid nodules. He received HAIC combined with bevacizumab and sintilimab every 3 weeks, and achieved partial response after 3 cycles. However, in March 2023, levels of AFP and protein induced by vitamin K absence-II (PIVKA-II) were re-elevated, showing some pulmonary nodules were enlarged, which was confirmed as pulmonary metastases by positron emission tomography/computed tomography (PET/CT). Subsequently, transarterial chemoembolization (TACE) with bevacizumab and sintilimab was performed, and stereotactic body radiation therapy (SBRT) was used to treat pulmonary metastases. Skull metastasis appeared in March 2024, requiring further local radiotherapy. Despite this, the patient has survived for over 26 months, with a progression-free survival (PFS) of 8 months. CONCLUSIONS HAIC combined with bevacizumab and sintilimab can alleviate primary HCC and tumor thromboses, and further local radiotherapy can control the progression of distant metastases, prolonging the survival time of patients with advanced HCC.

摘要

背景

晚期伴有血管侵犯的肝细胞癌(HCC)不适合手术治疗。转化治疗用于不可切除的HCC以降期。通过肝动脉灌注,化疗可更精准地作用于HCC。贝伐单抗和信迪利单抗是可用于HCC的全身治疗药物。本报告描述了一名50岁男性,患有晚期HCC并伴有多个静脉瘤栓,接受了肝动脉灌注化疗(HAIC)联合贝伐单抗和信迪利单抗转化治疗。

病例报告

一名50岁男性因2022年7月甲胎蛋白(AFP)水平升高入院。腹部计算机断层血管造影(CTA)显示一个大的HCC伴有多个静脉瘤栓。肺部CTA检测到动脉栓塞和多个实性结节。他每3周接受一次HAIC联合贝伐单抗和信迪利单抗治疗,3个周期后达到部分缓解。然而,2023年3月,AFP和维生素K缺乏诱导蛋白-II(PIVKA-II)水平再次升高,显示一些肺结节增大,正电子发射断层扫描/计算机断层扫描(PET/CT)证实为肺转移。随后,进行了联合贝伐单抗和信迪利单抗的经动脉化疗栓塞(TACE),并使用立体定向体部放射治疗(SBRT)治疗肺转移。2024年3月出现颅骨转移,需要进一步局部放疗。尽管如此,患者已存活超过26个月,无进展生存期(PFS)为8个月。

结论

HAIC联合贝伐单抗和信迪利单抗可缓解原发性HCC和瘤栓形成,进一步的局部放疗可控制远处转移的进展,延长晚期HCC患者的生存时间。

https://cdn.ncbi.nlm.nih.gov/pmc/blobs/b221/12153404/34910e5ae3f1/amjcaserep-26-e947317-g001.jpg

文献AI研究员

20分钟写一篇综述,助力文献阅读效率提升50倍。

立即体验

用中文搜PubMed

大模型驱动的PubMed中文搜索引擎

马上搜索

文档翻译

学术文献翻译模型,支持多种主流文档格式。

立即体验