• 文献检索
  • 文档翻译
  • 深度研究
  • 学术资讯
  • Suppr Zotero 插件Zotero 插件
  • 邀请有礼
  • 套餐&价格
  • 历史记录
应用&插件
Suppr Zotero 插件Zotero 插件浏览器插件Mac 客户端Windows 客户端微信小程序
定价
高级版会员购买积分包购买API积分包
服务
文献检索文档翻译深度研究API 文档MCP 服务
关于我们
关于 Suppr公司介绍联系我们用户协议隐私条款
关注我们

Suppr 超能文献

核心技术专利:CN118964589B侵权必究
粤ICP备2023148730 号-1Suppr @ 2026

文献检索

告别复杂PubMed语法,用中文像聊天一样搜索,搜遍4000万医学文献。AI智能推荐,让科研检索更轻松。

立即免费搜索

文件翻译

保留排版,准确专业,支持PDF/Word/PPT等文件格式,支持 12+语言互译。

免费翻译文档

深度研究

AI帮你快速写综述,25分钟生成高质量综述,智能提取关键信息,辅助科研写作。

立即免费体验

SNHG12下调通过调节多囊卵巢综合征中颗粒细胞的糖酵解诱导卵泡发育异常。

SNHG12 downregulation induces follicular dysplasia by modulating the glycolysis of granulosa cell in polycystic ovary syndrome.

作者信息

Yan Sisi, Qu Bing, Chen Yu, Wu Qiuji, Ding Jinli, Qiu Hui

机构信息

Hubei Key Laboratory of Tumor Biological Behaviors, Department of Radiation and Medical Oncology, Hubei Cancer Clinical Study Center, Zhongnan Hospital of Wuhan University, Wuhan, China.

Department of General Surgery, Renmin Hospital of Wuhan University, Wuhan, Hubei, China.

出版信息

Front Cell Dev Biol. 2025 May 23;13:1585987. doi: 10.3389/fcell.2025.1585987. eCollection 2025.

DOI:10.3389/fcell.2025.1585987
PMID:40486908
原文链接:https://pmc.ncbi.nlm.nih.gov/articles/PMC12141224/
Abstract

INTRODUCTION

Polycystic ovary syndrome (PCOS) is characterized by follicular dysplasia, with granulosa cells (GCs) glycolysis playing a pivotal role in this pathology. Although the involvement of long noncoding RNAs (lncRNAs) in diverse biological processes of PCOS has been well documented, the molecular mechanism of lncRNA small nucleolar RNA host gene 12 (SNHG12) in PCOS remains unclear.

METHODS

In this study, we measured SNHG12 expression in GCs of PCOS patients and healthy controls using RT-PCR and performed correlation analysis between SNHG12 expression and glycolytic markers. Using granulosa-like tumor (KGN) cells, we investigated glycolytic capacity and examined the relationship among SNHG12, PTEN and HMGB1 through RNA immunoprecipitation (RIP) and chromatin immunoprecipitation (ChIP) assays. Finally, DHEA-induced PCOS mice was constructed using SNHG12 adenovirus to explore its role in PCOS.

RESULTS

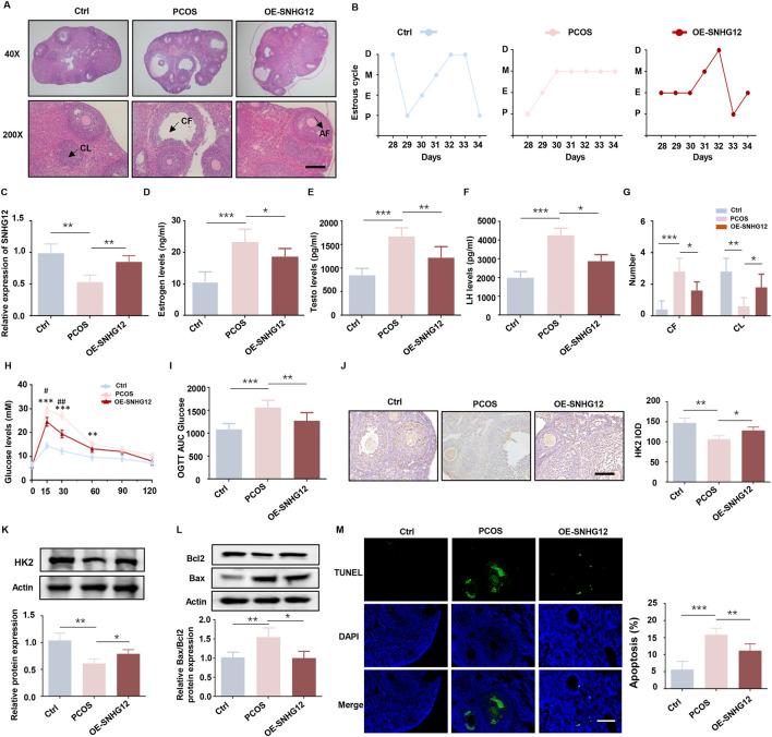
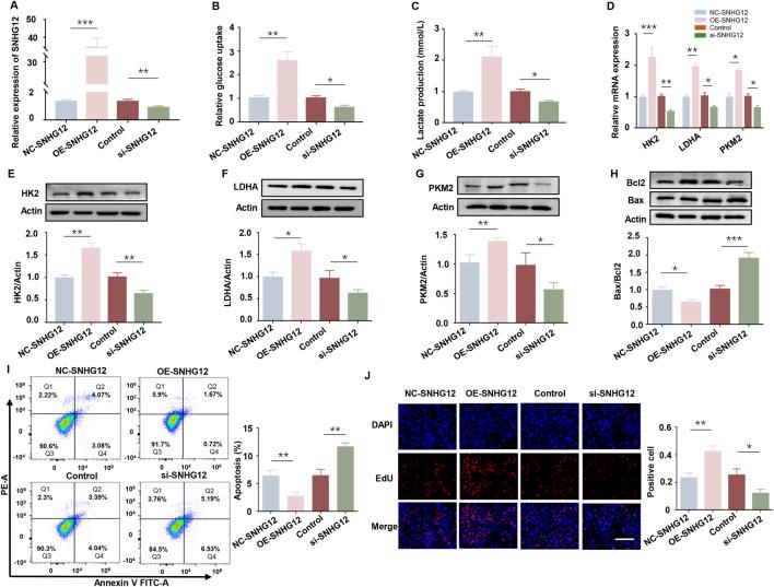
SNHG12 expression was significantly downregulated in GCs from PCOS patients compared with healthy controls, and showed positive correlation with glycolytic markers. Functional studies demonstrated that SNHG12 knockdown impaired glycolysis in KGN cells, while SNHG12 overexpression partially restored glycolysis. Furthermore, SNHG12-induced glycolysis affected apoptosis of KGN cells, which mediated follicular dysplasia through lactate production and apoptotic pathways. , adenovirus-mediated SNHG12 overexpression alleviated the symptoms of PCOS mice. Mechanistically, RIP and ChIP assays revealed that SNHG12 interacts with HMGB1 and inhibits PTEN transcription by preventing HMGB1 from binding to the PTEN promoter, thereby promoting glycolysis in KGN cells.

CONCLUSION

Our findings collectively demonstrate that the SNHG12/HMGB1/PTEN axis serves as a novel regulatory mechanism in PCOS by modulating glycolytic-mediated follicular dysplasia in GCs, offering a potential therapeutic target for PCOS.

摘要

引言

多囊卵巢综合征(PCOS)的特征是卵泡发育异常,其中颗粒细胞(GCs)糖酵解在该病理过程中起关键作用。尽管长链非编码RNA(lncRNAs)参与PCOS多种生物学过程已有充分记录,但lncRNA小核仁RNA宿主基因12(SNHG12)在PCOS中的分子机制仍不清楚。

方法

在本研究中,我们使用逆转录聚合酶链反应(RT-PCR)检测PCOS患者和健康对照者GCs中SNHG12的表达,并对SNHG12表达与糖酵解标志物进行相关性分析。利用类颗粒细胞瘤(KGN)细胞,我们研究了糖酵解能力,并通过RNA免疫沉淀(RIP)和染色质免疫沉淀(ChIP)实验检测SNHG12、磷酸酶和张力蛋白同源物(PTEN)与高迁移率族蛋白B1(HMGB1)之间的关系。最后,使用SNHG12腺病毒构建脱氢表雄酮(DHEA)诱导的PCOS小鼠,以探索其在PCOS中的作用。

结果

与健康对照相比,PCOS患者GCs中SNHG12表达显著下调,且与糖酵解标志物呈正相关。功能研究表明,敲低SNHG12会损害KGN细胞的糖酵解,而SNHG12过表达可部分恢复糖酵解。此外,SNHG12诱导的糖酵解影响KGN细胞凋亡,通过乳酸生成和凋亡途径介导卵泡发育异常。腺病毒介导的SNHG12过表达减轻了PCOS小鼠的症状。机制上,RIP和ChIP实验表明,SNHG12与HMGB1相互作用,通过阻止HMGB1与PTEN启动子结合抑制PTEN转录,从而促进KGN细胞的糖酵解。

结论

我们的研究结果共同表明,SNHG12/HMGB1/PTEN轴通过调节GCs中糖酵解介导的卵泡发育异常,在PCOS中作为一种新的调节机制,为PCOS提供了一个潜在的治疗靶点。

https://cdn.ncbi.nlm.nih.gov/pmc/blobs/782d/12141224/7b77138ebe41/fcell-13-1585987-g008.jpg
https://cdn.ncbi.nlm.nih.gov/pmc/blobs/782d/12141224/c49489485a8f/fcell-13-1585987-g001.jpg
https://cdn.ncbi.nlm.nih.gov/pmc/blobs/782d/12141224/c73b4468c583/fcell-13-1585987-g002.jpg
https://cdn.ncbi.nlm.nih.gov/pmc/blobs/782d/12141224/86049ae00de2/fcell-13-1585987-g003.jpg
https://cdn.ncbi.nlm.nih.gov/pmc/blobs/782d/12141224/524e2ef6945d/fcell-13-1585987-g004.jpg
https://cdn.ncbi.nlm.nih.gov/pmc/blobs/782d/12141224/d9ad7cb86eda/fcell-13-1585987-g005.jpg
https://cdn.ncbi.nlm.nih.gov/pmc/blobs/782d/12141224/9c2c11c57e02/fcell-13-1585987-g006.jpg
https://cdn.ncbi.nlm.nih.gov/pmc/blobs/782d/12141224/4abdcf375f14/fcell-13-1585987-g007.jpg
https://cdn.ncbi.nlm.nih.gov/pmc/blobs/782d/12141224/7b77138ebe41/fcell-13-1585987-g008.jpg
https://cdn.ncbi.nlm.nih.gov/pmc/blobs/782d/12141224/c49489485a8f/fcell-13-1585987-g001.jpg
https://cdn.ncbi.nlm.nih.gov/pmc/blobs/782d/12141224/c73b4468c583/fcell-13-1585987-g002.jpg
https://cdn.ncbi.nlm.nih.gov/pmc/blobs/782d/12141224/86049ae00de2/fcell-13-1585987-g003.jpg
https://cdn.ncbi.nlm.nih.gov/pmc/blobs/782d/12141224/524e2ef6945d/fcell-13-1585987-g004.jpg
https://cdn.ncbi.nlm.nih.gov/pmc/blobs/782d/12141224/d9ad7cb86eda/fcell-13-1585987-g005.jpg
https://cdn.ncbi.nlm.nih.gov/pmc/blobs/782d/12141224/9c2c11c57e02/fcell-13-1585987-g006.jpg
https://cdn.ncbi.nlm.nih.gov/pmc/blobs/782d/12141224/4abdcf375f14/fcell-13-1585987-g007.jpg
https://cdn.ncbi.nlm.nih.gov/pmc/blobs/782d/12141224/7b77138ebe41/fcell-13-1585987-g008.jpg

相似文献

1
SNHG12 downregulation induces follicular dysplasia by modulating the glycolysis of granulosa cell in polycystic ovary syndrome.SNHG12下调通过调节多囊卵巢综合征中颗粒细胞的糖酵解诱导卵泡发育异常。
Front Cell Dev Biol. 2025 May 23;13:1585987. doi: 10.3389/fcell.2025.1585987. eCollection 2025.
2
Follicular fluid-derived exosomal miR-143-3p/miR-155-5p regulate follicular dysplasia by modulating glycolysis in granulosa cells in polycystic ovary syndrome.卵泡液来源的外泌体 miR-143-3p/miR-155-5p 通过调节多囊卵巢综合征颗粒细胞中的糖酵解来调节卵泡发育异常。
Cell Commun Signal. 2022 May 9;20(1):61. doi: 10.1186/s12964-022-00876-6.
3
LncRNA SNHG12 promotes cell proliferation and inhibits apoptosis of granulosa cells in polycystic ovarian syndrome by sponging miR-129 and miR-125b.LncRNA SNHG12 通过海绵吸附 miR-129 和 miR-125b 促进多囊卵巢综合征颗粒细胞增殖并抑制细胞凋亡。
J Ovarian Res. 2024 Apr 2;17(1):72. doi: 10.1186/s13048-024-01392-6.
4
Follicular fluid-derived extracellular vesicles miR-34a-5p regulates granulosa cell glycolysis in polycystic ovary syndrome by targeting LDHA.卵泡液衍生的细胞外囊泡 miR-34a-5p 通过靶向 LDHA 调节多囊卵巢综合征颗粒细胞的糖酵解。
J Ovarian Res. 2024 Nov 13;17(1):223. doi: 10.1186/s13048-024-01542-w.
5
Nampt/SIRT2/LDHA pathway-mediated lactate production regulates follicular dysplasia in polycystic ovary syndrome.烟酰胺磷酸核糖转移酶/沉默信息调节因子2/乳酸脱氢酶A途径介导的乳酸生成调节多囊卵巢综合征中的卵泡发育异常。
Free Radic Biol Med. 2024 Nov 20;225:776-793. doi: 10.1016/j.freeradbiomed.2024.10.312. Epub 2024 Nov 1.
6
Metformin activates SIRT2 to improve insulin resistance and promote granulosa cell glycolysis in a rat model of polycystic ovary syndrome.在多囊卵巢综合征大鼠模型中,二甲双胍通过激活SIRT2改善胰岛素抵抗并促进颗粒细胞糖酵解。
Reprod Biomed Online. 2025 May;50(5):104750. doi: 10.1016/j.rbmo.2024.104750. Epub 2024 Dec 12.
7
IL-15 Participates in the Pathogenesis of Polycystic Ovary Syndrome by Affecting the Activity of Granulosa Cells.IL-15 通过影响颗粒细胞的活性参与多囊卵巢综合征的发病机制。
Front Endocrinol (Lausanne). 2022 Feb 18;13:787876. doi: 10.3389/fendo.2022.787876. eCollection 2022.
8
The effect of metformin treatment in vivo on acute and long-term energy metabolism and progesterone production in vitro by granulosa cells from women with polycystic ovary syndrome.二甲双胍体内治疗对多囊卵巢综合征女性颗粒细胞体外急性和长期能量代谢及孕酮产生的影响。
Hum Reprod. 2014 Oct 10;29(10):2302-16. doi: 10.1093/humrep/deu187. Epub 2014 Aug 19.
9
microRNA-194 is increased in polycystic ovary syndrome granulosa cell and induce KGN cells apoptosis by direct targeting heparin-binding EGF-like growth factor.miRNA-194 在多囊卵巢综合征颗粒细胞中表达增加,并通过直接靶向肝素结合表皮生长因子样生长因子诱导 KGN 细胞凋亡。
Reprod Biol Endocrinol. 2021 Nov 23;19(1):170. doi: 10.1186/s12958-021-00850-w.
10
MicroRNA-200b and microRNA-200c are up-regulated in PCOS granulosa cell and inhibit KGN cell proliferation via targeting PTEN.miR-200b 和 miR-200c 在多囊卵巢综合征颗粒细胞中上调,并通过靶向 PTEN 抑制 KGN 细胞增殖。
Reprod Biol Endocrinol. 2019 Aug 17;17(1):68. doi: 10.1186/s12958-019-0505-8.

本文引用的文献

1
Follicular fluid-derived extracellular vesicles miR-34a-5p regulates granulosa cell glycolysis in polycystic ovary syndrome by targeting LDHA.卵泡液衍生的细胞外囊泡 miR-34a-5p 通过靶向 LDHA 调节多囊卵巢综合征颗粒细胞的糖酵解。
J Ovarian Res. 2024 Nov 13;17(1):223. doi: 10.1186/s13048-024-01542-w.
2
LINC01764 promotes colorectal cancer cells proliferation, metastasis, and 5-fluorouracil resistance by regulating glucose and glutamine metabolism via promoting c-MYC translation.LINC01764通过促进c-MYC翻译来调节葡萄糖和谷氨酰胺代谢,从而促进结肠癌细胞的增殖、转移和5-氟尿嘧啶耐药性。
MedComm (2020). 2024 Nov 11;5(11):e70003. doi: 10.1002/mco2.70003. eCollection 2024 Nov.
3
Nampt/SIRT2/LDHA pathway-mediated lactate production regulates follicular dysplasia in polycystic ovary syndrome.
烟酰胺磷酸核糖转移酶/沉默信息调节因子2/乳酸脱氢酶A途径介导的乳酸生成调节多囊卵巢综合征中的卵泡发育异常。
Free Radic Biol Med. 2024 Nov 20;225:776-793. doi: 10.1016/j.freeradbiomed.2024.10.312. Epub 2024 Nov 1.
4
Dysregulated lncSNHG12 suppresses the invasion and migration of trophoblasts by regulating Dio2/Snail axis to involve in recurrent spontaneous abortion.异常调节的长链非编码 RNA SNHG12 通过调控 Dio2/Snail 轴抑制滋养层细胞的侵袭和迁移,从而参与复发性自然流产的发生。
Biochem Pharmacol. 2024 Nov;229:116459. doi: 10.1016/j.bcp.2024.116459. Epub 2024 Aug 3.
5
LncRNA SNHG12 suppresses adipocyte inflammation and insulin resistance by regulating the HDAC9/Nrf2 axis.长链非编码 RNA SNHG12 通过调控 HDAC9/Nrf2 轴抑制脂肪细胞炎症和胰岛素抵抗。
FASEB J. 2024 Jul 15;38(13):e23794. doi: 10.1096/fj.202400236RR.
6
LncRNA SNHG12 promotes cell proliferation and inhibits apoptosis of granulosa cells in polycystic ovarian syndrome by sponging miR-129 and miR-125b.LncRNA SNHG12 通过海绵吸附 miR-129 和 miR-125b 促进多囊卵巢综合征颗粒细胞增殖并抑制细胞凋亡。
J Ovarian Res. 2024 Apr 2;17(1):72. doi: 10.1186/s13048-024-01392-6.
7
LncRNA SNHG5 adversely governs follicular growth in PCOS via miR-92a-3p/CDKN1C axis.长链非编码RNA SNHG5通过miR-92a-3p/CDKN1C轴对多囊卵巢综合征的卵泡生长产生不利影响。
iScience. 2023 Nov 23;27(2):108522. doi: 10.1016/j.isci.2023.108522. eCollection 2024 Feb 16.
8
A rat study on the PTEN expression in ovarian tissue in PCOS and folliculogenesis.多囊卵巢综合征及卵泡发生中卵巢组织 PTEN 表达的大鼠研究。
Sci Rep. 2023 Nov 26;13(1):20774. doi: 10.1038/s41598-023-47809-y.
9
Polycystic ovary syndrome: Current scenario and future insights.多囊卵巢综合征:现状与未来展望。
Drug Discov Today. 2023 Dec;28(12):103821. doi: 10.1016/j.drudis.2023.103821. Epub 2023 Nov 5.
10
SNHG1, interacting with SND1, contributes to sorafenib resistance of liver cancer cells by increasing m6A-mediated SLC7A11 expression and promoting aerobic glycolysis.SNHG1 通过与 SND1 相互作用增加 m6A 介导的 SLC7A11 表达并促进有氧糖酵解,从而促进肝癌细胞对索拉非尼的耐药性。
Environ Toxicol. 2024 Mar;39(3):1269-1282. doi: 10.1002/tox.24014. Epub 2023 Nov 6.