Sqour Hasan, Shilbayeh Abdul-Rahim, Gerais Yasmin, Sqour Abdulrahman, Hammad Munther, Abusalim Abdul-Rahman I, Ewili Dolly, Alchalabi Marwah, Salameh Mohammad, Saleh Abdelfattah, Hamad Sammy, Hamad Laura, Hamad Fares, Hamad Bachar
Internal Medicine, Ascension Saint Joseph Hospital, Chicago, USA.
Internal Medicine, John H. Stroger, Jr. Hospital of Cook County, Chicago, USA.
Cureus. 2025 May 9;17(5):e83797. doi: 10.7759/cureus.83797. eCollection 2025 May.
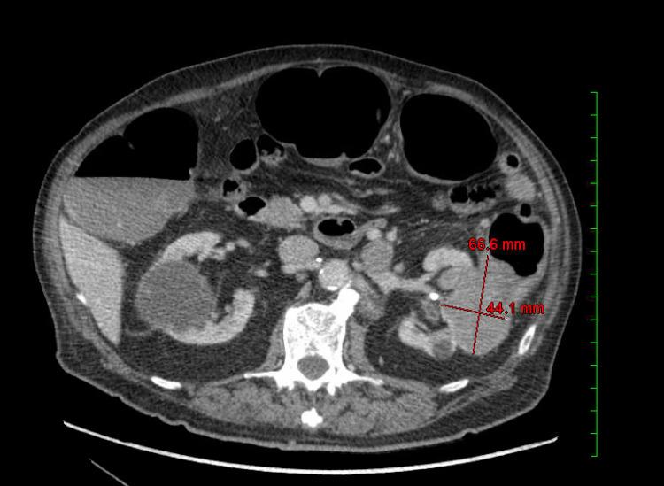
Renal cancer (RC) is known for its diverse clinical presentations and unpredictable behavior. While it often metastasizes to common sites such as the lymph nodes, lungs, bones, and liver, its potential to metastasize to the gastrointestinal tract (GIT) is relatively rare. We report an unusual case of an 87-year-old male patient with a history of metastatic oncocytic renal neoplasm who presented with intermittent rectal bleeding. Colonoscopy revealed a bleeding mass in the sigmoid colon. Biopsy confirmed metastatic renal neoplasm, consistent with prior pathology. Immunohistochemistry was positive for AE1/AE3, CAIX, and PAX-8, supporting renal origin. Recent CT imaging showed enlargement of the left renal mass with direct extension into the descending colon and associated lymphadenopathy. Metastasis of RC in the GIT, especially the colon, is rare and even more so in oncocytic subtypes. This case underscores the importance of considering RC in patients with GI bleeding and a history of renal neoplasm. Early recognition and individualized, multidisciplinary management are crucial for optimal outcomes.
肾癌(RC)以其多样的临床表现和不可预测的行为而闻名。虽然它常常转移至淋巴结、肺、骨和肝等常见部位,但其转移至胃肠道(GIT)的可能性相对罕见。我们报告一例不寻常的病例,一名87岁男性患者,有转移性嗜酸细胞瘤性肾肿瘤病史,出现间歇性直肠出血。结肠镜检查发现乙状结肠有一个出血性肿块。活检证实为转移性肾肿瘤,与先前的病理结果一致。免疫组化AE1/AE3、CAIX和PAX-8呈阳性,支持肾源性。近期CT成像显示左肾肿块增大,直接延伸至降结肠并伴有淋巴结病。RC转移至GIT,尤其是结肠,很罕见,在嗜酸细胞亚型中更是如此。该病例强调了在有胃肠道出血和肾肿瘤病史的患者中考虑RC的重要性。早期识别和个体化、多学科管理对于获得最佳结果至关重要。