Khan Abshar, Patel Aaryan, Patel Neerav B, Merchant Abbas, Hoang Minh-Tri
Radiology, Lake Erie College of Osteopathic Medicine, Erie, USA.
Physical Medicine and Rehabilitation, Lake Erie College of Osteopathic Medicine, Erie, USA.
Cureus. 2025 May 10;17(5):e83840. doi: 10.7759/cureus.83840. eCollection 2025 May.
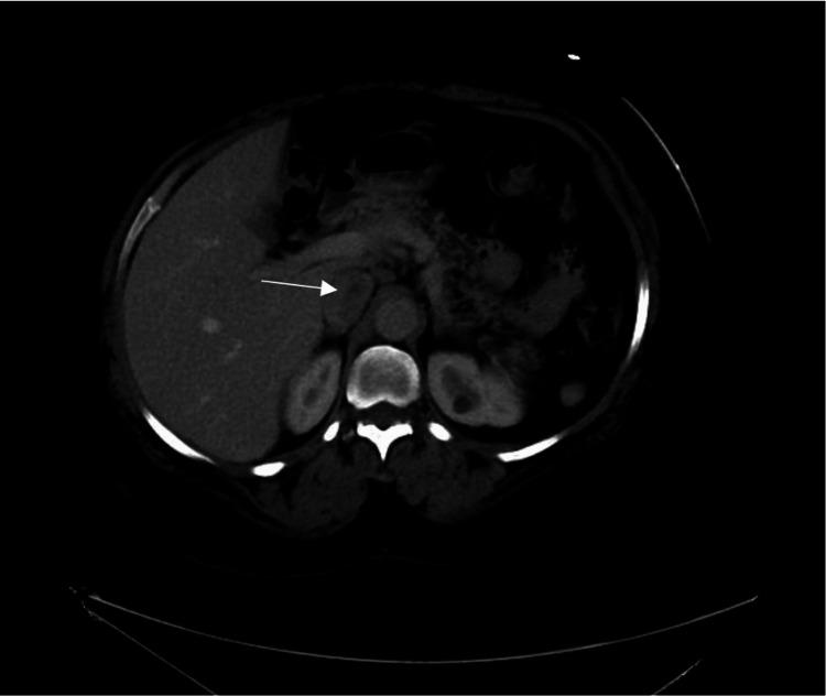
We present a case of a 57-year-old female admitted for non-ST elevation myocardial infarction (NSTEMI), who was incidentally found to have a suspected inferior vena cava (IVC) thrombus. Transthoracic echocardiogram (TTE) demonstrated a right atrial lesion with suspected IVC involvement. Echocardiography incidentally reported a mass extending to the right atrium, and CT imaging reported possible IVC thrombus involvement. Abdominal ultrasound confirmed a suprarenal IVC thrombus. Interventional radiology (IR) performed mechanical thrombectomy and catheter-directed thrombolysis, which was complicated by a stuck catheter and unexpected retrieval of a vascular lesion. Histopathological analysis revealed the lesion to be an arteriovenous hemangioma (AVH). This case underscores the importance of considering rare vascular anomalies, such as AVH, in the differential diagnosis of IVC thrombus and highlights the diagnostic and procedural challenges in managing venous thromboembolism complicated by underlying vascular malformations.
我们报告一例57岁女性因非ST段抬高型心肌梗死(NSTEMI)入院,偶然发现疑似下腔静脉(IVC)血栓形成。经胸超声心动图(TTE)显示右心房病变,疑似累及IVC。超声心动图偶然报告有一肿块延伸至右心房,CT成像报告可能累及IVC血栓。腹部超声证实肾上腺水平的IVC血栓形成。介入放射学(IR)进行了机械血栓切除术和导管定向溶栓治疗,但出现了导管卡顿以及意外取出血管病变的并发症。组织病理学分析显示该病变为动静脉血管瘤(AVH)。该病例强调了在IVC血栓的鉴别诊断中考虑罕见血管异常(如AVH)的重要性,并突出了处理合并潜在血管畸形的静脉血栓栓塞症时的诊断和操作挑战。