Qu Jane, Roth Mara Y, Endo Mayumi, O'Hara Riley A, Tylee Tracy S
Department of Medicine, University of Washington, Division of Endocrinology and Metabolism, Seattle, WA 98195, USA.
Department of Pathology, University of Washington, Seattle, WA 98195, USA.
JCEM Case Rep. 2025 Jun 10;3(7):luaf122. doi: 10.1210/jcemcr/luaf122. eCollection 2025 Jul.
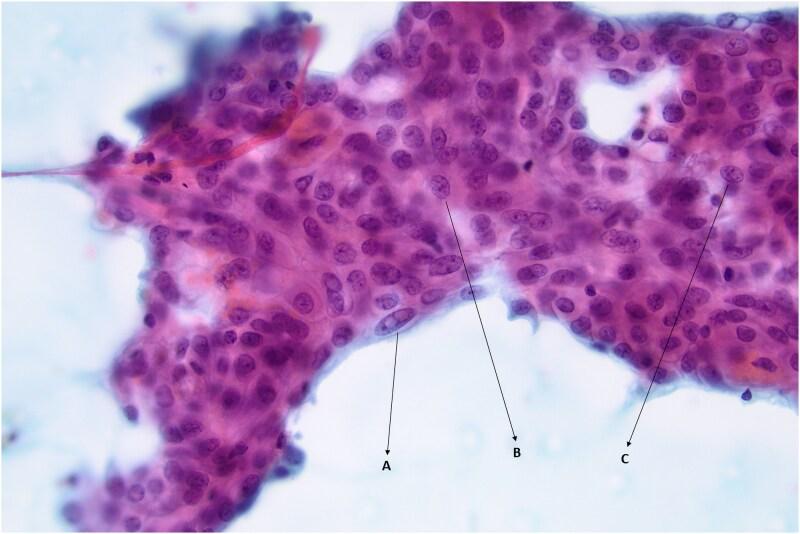
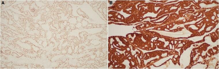
Cribriform morular thyroid carcinoma (CMTC) is a rare thyroid malignancy strongly associated with familial adenomatous polyposis (FAP). About 50% of CMTC cases are associated with FAP, including a subset in which CMTC is the presenting symptom in previously undiagnosed FAP. We present a case of a young woman with thyroid nodules monitored for several years due to low suspicion ultrasound features. After development of macrocalcifications in 1 nodule, she had a fine needle aspiration (FNA). The cytology was concerning for papillary thyroid carcinoma. She underwent total thyroidectomy with final pathology of CMTC. Given the strong association between CMTC and FAP, the patient completed endoscopy, colonoscopy, and genetic testing, which led to a diagnosis of FAP. The diagnosis of CMTC can be difficult because nodules are often small without concerning ultrasound features, not meeting recommendations for FNA. Due to an increased risk of CMTC in individuals with FAP, current criteria may be inadequate in identifying nodules warranting thyroid FNA. Continued ultrasound surveillance should be considered for nodules with low suspicion ultrasound features in this population.
筛状桑葚样甲状腺癌(CMTC)是一种罕见的甲状腺恶性肿瘤,与家族性腺瘤性息肉病(FAP)密切相关。约50%的CMTC病例与FAP相关,包括一部分CMTC是既往未诊断出的FAP的首发症状的情况。我们报告一例年轻女性病例,因其甲状腺结节超声特征可疑性低而被监测数年。在其中一个结节出现粗大钙化后,她接受了细针穿刺抽吸活检(FNA)。细胞学检查结果提示为甲状腺乳头状癌。她接受了甲状腺全切术,最终病理诊断为CMTC。鉴于CMTC与FAP之间的密切关联,患者完成了内镜检查、结肠镜检查和基因检测,最终诊断为FAP。CMTC的诊断可能具有挑战性,因为结节通常较小,超声特征无异常,不符合FNA的推荐标准。由于FAP患者发生CMTC的风险增加,目前的标准可能不足以识别需要进行甲状腺FNA的结节。对于该人群中超声特征可疑性低的结节,应考虑继续进行超声监测。