• 文献检索
  • 文档翻译
  • 深度研究
  • 学术资讯
  • Suppr Zotero 插件Zotero 插件
  • 邀请有礼
  • 套餐&价格
  • 历史记录
应用&插件
Suppr Zotero 插件Zotero 插件浏览器插件Mac 客户端Windows 客户端微信小程序
定价
高级版会员购买积分包购买API积分包
服务
文献检索文档翻译深度研究API 文档MCP 服务
关于我们
关于 Suppr公司介绍联系我们用户协议隐私条款
关注我们

Suppr 超能文献

核心技术专利:CN118964589B侵权必究
粤ICP备2023148730 号-1Suppr @ 2026

文献检索

告别复杂PubMed语法,用中文像聊天一样搜索,搜遍4000万医学文献。AI智能推荐,让科研检索更轻松。

立即免费搜索

文件翻译

保留排版,准确专业,支持PDF/Word/PPT等文件格式,支持 12+语言互译。

免费翻译文档

深度研究

AI帮你快速写综述,25分钟生成高质量综述,智能提取关键信息,辅助科研写作。

立即免费体验

具有非典型组织病理学表现的色素沉着性皮肤病变提示黑色素瘤多发转移的诊断:一例报告。

Pigmented skin lesions with atypical histopathology indicating a diagnosis of multiple metastases of melanoma: A case report.

作者信息

He Yun, Fan Huanfang, Du Zhihua, Li Dehui, Gu Yiting, Liu Zihui

机构信息

The Graduate School, Hebei University of Chinese Medicine, Shijiazhuang, Hebei 050011, P.R. China.

Second Department of Oncology, The First Affiliated Hospital of Hebei University of Chinese Medicine, Shijiazhuang, Hebei 050011, P.R. China.

出版信息

Oncol Lett. 2025 May 27;30(1):369. doi: 10.3892/ol.2025.15115. eCollection 2025 Jul.

DOI:10.3892/ol.2025.15115
PMID:40496544
原文链接:https://pmc.ncbi.nlm.nih.gov/articles/PMC12150006/
Abstract

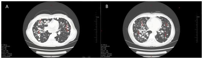
The present study reports on the case of a middle-aged female patient who presented with a rapidly progressing pigmented skin lesion on the periphery, combined with multiple intracranial, pulmonary, hepatic and skeletal malignancies. The case was not clear in terms of histopathological manifestations and other aspects, which made the diagnosis of melanoma difficult. The present case details the challenges in the diagnostic process, as well as the importance of multidisciplinary comprehensive diagnosis and treatment, aiming to provide a reference for clinicians when dealing with similar complex pigmented skin lesions.

摘要

本研究报告了一名中年女性患者的病例,该患者外周出现迅速进展的色素沉着性皮肤病变,并伴有多发颅内、肺、肝和骨骼恶性肿瘤。该病例在组织病理学表现等方面不明确,这使得黑色素瘤的诊断困难。本病例详细介绍了诊断过程中的挑战以及多学科综合诊断和治疗的重要性,旨在为临床医生处理类似复杂的色素沉着性皮肤病变时提供参考。

https://cdn.ncbi.nlm.nih.gov/pmc/blobs/f2b5/12150006/9a5290481b06/ol-30-01-15115-g07.jpg
https://cdn.ncbi.nlm.nih.gov/pmc/blobs/f2b5/12150006/d00975c68f91/ol-30-01-15115-g00.jpg
https://cdn.ncbi.nlm.nih.gov/pmc/blobs/f2b5/12150006/32e4641685f6/ol-30-01-15115-g01.jpg
https://cdn.ncbi.nlm.nih.gov/pmc/blobs/f2b5/12150006/6654bca83bef/ol-30-01-15115-g02.jpg
https://cdn.ncbi.nlm.nih.gov/pmc/blobs/f2b5/12150006/2fe211b32aea/ol-30-01-15115-g03.jpg
https://cdn.ncbi.nlm.nih.gov/pmc/blobs/f2b5/12150006/c11ac552faa2/ol-30-01-15115-g04.jpg
https://cdn.ncbi.nlm.nih.gov/pmc/blobs/f2b5/12150006/cc1dd128d3a6/ol-30-01-15115-g05.jpg
https://cdn.ncbi.nlm.nih.gov/pmc/blobs/f2b5/12150006/13448da14892/ol-30-01-15115-g06.jpg
https://cdn.ncbi.nlm.nih.gov/pmc/blobs/f2b5/12150006/9a5290481b06/ol-30-01-15115-g07.jpg
https://cdn.ncbi.nlm.nih.gov/pmc/blobs/f2b5/12150006/d00975c68f91/ol-30-01-15115-g00.jpg
https://cdn.ncbi.nlm.nih.gov/pmc/blobs/f2b5/12150006/32e4641685f6/ol-30-01-15115-g01.jpg
https://cdn.ncbi.nlm.nih.gov/pmc/blobs/f2b5/12150006/6654bca83bef/ol-30-01-15115-g02.jpg
https://cdn.ncbi.nlm.nih.gov/pmc/blobs/f2b5/12150006/2fe211b32aea/ol-30-01-15115-g03.jpg
https://cdn.ncbi.nlm.nih.gov/pmc/blobs/f2b5/12150006/c11ac552faa2/ol-30-01-15115-g04.jpg
https://cdn.ncbi.nlm.nih.gov/pmc/blobs/f2b5/12150006/cc1dd128d3a6/ol-30-01-15115-g05.jpg
https://cdn.ncbi.nlm.nih.gov/pmc/blobs/f2b5/12150006/13448da14892/ol-30-01-15115-g06.jpg
https://cdn.ncbi.nlm.nih.gov/pmc/blobs/f2b5/12150006/9a5290481b06/ol-30-01-15115-g07.jpg

相似文献

1
Pigmented skin lesions with atypical histopathology indicating a diagnosis of multiple metastases of melanoma: A case report.具有非典型组织病理学表现的色素沉着性皮肤病变提示黑色素瘤多发转移的诊断:一例报告。
Oncol Lett. 2025 May 27;30(1):369. doi: 10.3892/ol.2025.15115. eCollection 2025 Jul.
2
Role of In Vivo Reflectance Confocal Microscopy in the Analysis of Melanocytic Lesions.体内反射共聚焦显微镜在黑素细胞性病变分析中的作用
Acta Dermatovenerol Croat. 2018 Apr;26(1):64-67.
3
Melanoma Developing from an Intradermal Nevus: Report on Two Patients.真皮内痣恶变形成的黑素瘤:两例报告。
Acta Dermatovenerol Croat. 2023 Aug;31(1):40-42.
4
Appearance of New Vemurafenib-associated Melanocytic Nevi on Normal-appearing Skin: Case Series and a Review of Changing or New Pigmented Lesions in Patients with Metastatic Malignant Melanoma After Initiating Treatment with Vemurafenib.正常外观皮肤上出现新的维莫非尼相关黑素细胞痣:病例系列及维莫非尼治疗转移性恶性黑色素瘤患者后色素沉着病变变化或新发情况的综述
J Clin Aesthet Dermatol. 2013 May;6(5):27-37.
5
Intraepidermal epidermotropic metastatic melanoma: a clinical and histopathological mimicker of melanoma in situ occurring in multiplicity.表皮内亲表皮转移性黑色素瘤:一种临床上和组织病理学上酷似多发性原位黑色素瘤的疾病。
J Cutan Pathol. 2011 Jun;38(6):514-20. doi: 10.1111/j.1600-0560.2011.01694.x. Epub 2011 Feb 24.
6
Correlation between dermoscopic and histopathological diagnoses of atypical nevi in a dermatology outpatient clinic of the Medical School of São José do Rio Preto, SP, Brazil.巴西圣保罗州里奥普雷图河畔圣若泽医学院皮肤科门诊非典型痣的皮肤镜诊断与组织病理学诊断之间的相关性
An Bras Dermatol. 2013 Mar-Apr;88(2):199-203. doi: 10.1590/S0365-05962013000200002.
7
Dermoscopic Features of Giant Molluscum Contagiosum in a Patient with Acquired Immunodeficiency Syndrome.获得性免疫缺陷综合征患者巨大传染性软疣的皮肤镜特征
Acta Dermatovenerol Croat. 2020 Dec;28(7):233-235.
8
Skin pigmented lesions in the hands of an ambulatory surgeon.一名门诊外科医生手部的皮肤色素沉着病变
Rozhl Chir. 2024;103(10):381-386. doi: 10.48095/ccrvch2024381.
9
Giant lung metastasis of NRAS-mutant melanoma in a 24-year-old patient with a history of BRAF-mutant conventional melanoma harboring Spitzoid morphology: a case report.NRAS 突变型黑色素瘤患者 24 岁,曾患有 BRAF 突变型具有 Spitzoid 形态的常规黑色素瘤,发生巨大肺转移:病例报告。
Diagn Pathol. 2020 Oct 25;15(1):132. doi: 10.1186/s13000-020-01046-3.
10
Unusual presentation of seborrheic keratosis: A case report of giant pigmented lesion on the forehead.脂溢性角化病的不寻常表现:前额巨大色素沉着病变的病例报告
Int J Surg Case Rep. 2024 Jul;120:109916. doi: 10.1016/j.ijscr.2024.109916. Epub 2024 Jun 19.

本文引用的文献

1
Promising immunotherapy targets: TIM3, LAG3, and TIGIT joined the party.有前景的免疫治疗靶点:TIM3、LAG3和TIGIT也加入其中。
Mol Ther Oncol. 2024 Feb 12;32(1):200773. doi: 10.1016/j.omton.2024.200773. eCollection 2024 Mar 21.
2
Neurocutaneous Melanosis with Meningeal Melanocytosis: A Rare Case of Intracranial Hypertension and Cutaneous Manifestations.伴有脑膜黑素细胞增多症的神经皮肤黑素沉着症:一例罕见的颅内高压和皮肤表现病例。
Life (Basel). 2024 Jan 18;14(1):139. doi: 10.3390/life14010139.
3
Combining Biomarkers for the Diagnosis of Metastatic Melanoma.
联合生物标志物用于转移性黑色素瘤的诊断
J Clin Med. 2023 Dec 28;13(1):174. doi: 10.3390/jcm13010174.
4
Tumour-infiltrating lymphocyte therapy for patients with advanced-stage melanoma.肿瘤浸润淋巴细胞治疗晚期黑色素瘤患者。
Nat Rev Clin Oncol. 2024 Mar;21(3):173-184. doi: 10.1038/s41571-023-00848-w. Epub 2024 Jan 8.
5
CAR NK Cell Therapy for the Treatment of Metastatic Melanoma: Potential & Prospects.嵌合抗原受体自然杀伤(CAR-NK)细胞疗法治疗转移性黑色素瘤:潜力与展望。
Cells. 2023 Nov 30;12(23):2750. doi: 10.3390/cells12232750.
6
Phase I Trial of Autologous RNA-electroporated cMET-directed CAR T Cells Administered Intravenously in Patients with Melanoma and Breast Carcinoma.自体 RNA 电穿孔 cMET 导向嵌合抗原受体 T 细胞静脉输注治疗黑色素瘤和乳腺癌患者的 I 期临床试验。
Cancer Res Commun. 2023 May 9;3(5):821-829. doi: 10.1158/2767-9764.CRC-22-0486. eCollection 2023 May.
7
What Is Melanoma?什么是黑色素瘤?
JAMA. 2023 Mar 21;329(11):948. doi: 10.1001/jama.2022.24888.
8
Perspectives in Melanoma: meeting report from the Melanoma Bridge (December 2nd - 4th, 2021, Italy).黑色素瘤视角:黑色素瘤桥接会议报告(2021 年 12 月 2 日-4 日,意大利)。
J Transl Med. 2022 Sep 4;20(1):391. doi: 10.1186/s12967-022-03592-4.
9
OrienX010, an oncolytic virus, in patients with unresectable stage IIIC-IV melanoma: a phase Ib study.OrienX010,一种溶瘤病毒,用于治疗不可切除的 IIIC-IV 期黑色素瘤患者:一项 Ib 期研究。
J Immunother Cancer. 2022 Apr;10(4). doi: 10.1136/jitc-2021-004307.
10
Predictive Performance of Serum S100B LDH in Melanoma Patients: A Systematic Review and Meta-Analysis.血清S100B和乳酸脱氢酶在黑色素瘤患者中的预测性能:一项系统评价和荟萃分析
Front Oncol. 2021 Dec 7;11:772165. doi: 10.3389/fonc.2021.772165. eCollection 2021.