• 文献检索
  • 文档翻译
  • 深度研究
  • 学术资讯
  • Suppr Zotero 插件Zotero 插件
  • 邀请有礼
  • 套餐&价格
  • 历史记录
应用&插件
Suppr Zotero 插件Zotero 插件浏览器插件Mac 客户端Windows 客户端微信小程序
定价
高级版会员购买积分包购买API积分包
服务
文献检索文档翻译深度研究API 文档MCP 服务
关于我们
关于 Suppr公司介绍联系我们用户协议隐私条款
关注我们

Suppr 超能文献

核心技术专利:CN118964589B侵权必究
粤ICP备2023148730 号-1Suppr @ 2026

文献检索

告别复杂PubMed语法,用中文像聊天一样搜索,搜遍4000万医学文献。AI智能推荐,让科研检索更轻松。

立即免费搜索

文件翻译

保留排版,准确专业,支持PDF/Word/PPT等文件格式,支持 12+语言互译。

免费翻译文档

深度研究

AI帮你快速写综述,25分钟生成高质量综述,智能提取关键信息,辅助科研写作。

立即免费体验

CXCR4-LASP1-G9a-SNAIL轴通过诱导上皮-间质转化(EMT)和下调REST来驱动神经内分泌前列腺癌(NEPC)转分化。

CXCR4-LASP1-G9a-SNAIL axis drives NEPC transdifferentiation via induction of EMT and downregulation of REST.

作者信息

Liu Liangliang, Rascón Itzel Astiazarán, Lin Dong, Ni Yuchao, Dong Xin, Xue Hui, Lin Yen-Yi, Haegert Anne, Sar Funda, Peacock James W, Tombe Tabitha, Dusek Christopher, Zoubeidi Amina, Gleave Martin E, Collins Colin, Bénard Francois, Wang Yuzhuo, Ong Christopher J

机构信息

Vancouver Prostate Centre, Vancouver, BC V6H 3Z6, Canada.

BC Cancer Research Centre, Vancouver, BC V5Z 1L3, Canada; Department of Radiology, University of British Columbia, Vancouver, BC V5Z 1M9, Canada.

出版信息

Cell Genom. 2025 Aug 13;5(8):100916. doi: 10.1016/j.xgen.2025.100916. Epub 2025 Jun 10.

DOI:10.1016/j.xgen.2025.100916
PMID:40499539
原文链接:https://pmc.ncbi.nlm.nih.gov/articles/PMC12366657/
Abstract

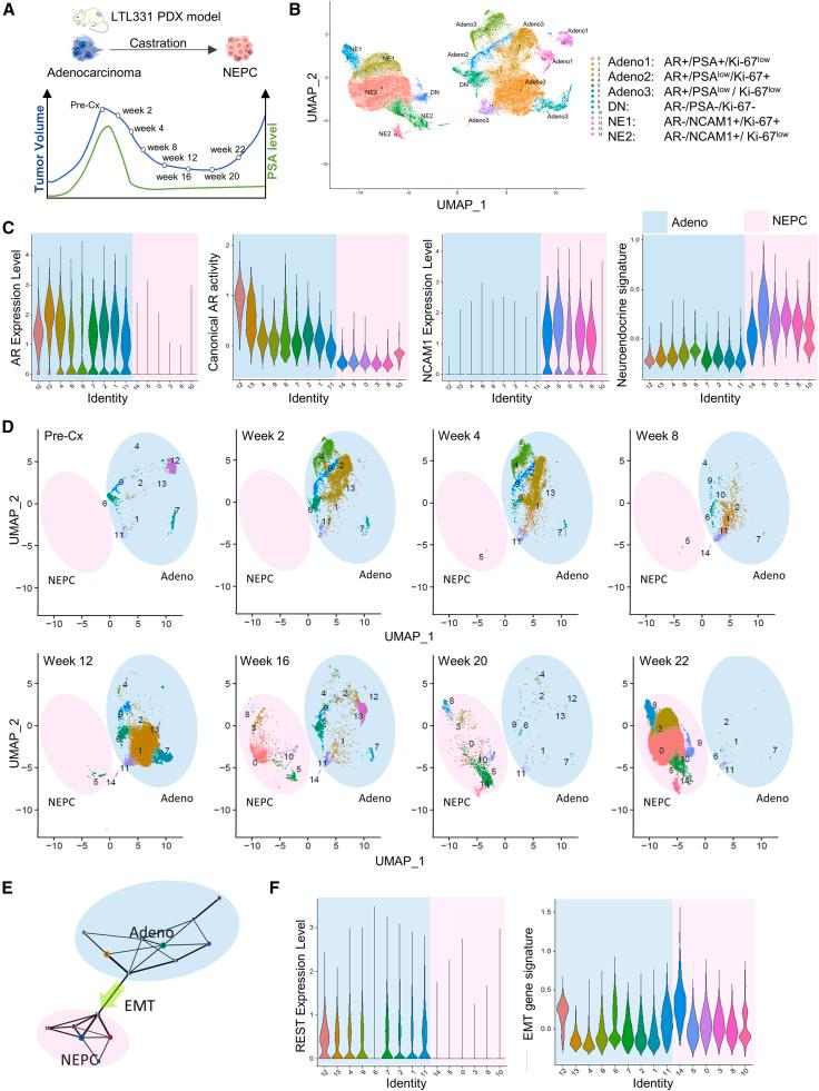
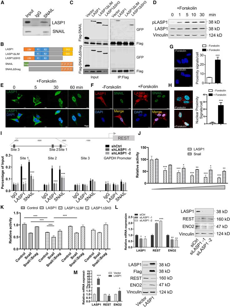
Phenotypic switching is an emerging driver of cancer treatment resistance, yet early signals regulating this process remain unclear. Here, using longitudinal single-cell RNA sequencing, we mapped differentiation trajectories in the LTL331 prostate adenocarcinoma patient-derived xenograft (PDX) model undergoing neuroendocrine prostate cancer (NEPC) transformation post castration. Our analyses identified a key differentiation node marked by epithelial-mesenchymal transition (EMT) and repressor element-1 silencing transcription factor (REST) downregulation driven by the CXCR4-LASP1-G9a-SNAIL axis. Mechanistically, CXCR4 activation promotes nuclear translocation of LASP1 that links G9a and SNAIL via SH3/proline-rich motif and LIM/SNAG domain interactions, enabling SNAIL-mediated REST repression via promoter E-box motifs. Inhibition of CXCR4 or G9a reversed LTL331R NEPC cells toward a luminal androgen receptor-active phenotype. CXCR4-targeted radioligands enabled both imaging and inhibition of NEPC tumors in vivo. These findings highlight the CXCR4-LASP1-G9a-SNAIL axis as a key regulator of epigenetic and transcriptional reprogramming in NEPC transdifferentiation and support its therapeutic targeting in aggressive NEPC.

摘要

表型转换是癌症治疗耐药性的一个新出现的驱动因素,但调节这一过程的早期信号仍不清楚。在这里,我们使用纵向单细胞RNA测序技术,在去势后发生神经内分泌前列腺癌(NEPC)转化的LTL331前列腺腺癌患者来源异种移植(PDX)模型中绘制了分化轨迹。我们的分析确定了一个关键的分化节点,其特征是由CXCR4-LASP1-G9a-SNAIL轴驱动的上皮-间质转化(EMT)和阻遏元件1沉默转录因子(REST)下调。从机制上讲,CXCR4激活促进LASP1的核转位,LASP1通过SH3/富含脯氨酸基序和LIM/SNAG结构域相互作用将G9a和SNAIL联系起来,从而通过启动子E-box基序实现SNAIL介导的REST抑制。抑制CXCR4或G9a可使LTL331R NEPC细胞向腔面雄激素受体活性表型逆转。靶向CXCR4的放射性配体能够在体内对NEPC肿瘤进行成像和抑制。这些发现突出了CXCR4-LASP1-G9a-SNAIL轴是NEPC转分化过程中表观遗传和转录重编程的关键调节因子,并支持将其作为侵袭性NEPC的治疗靶点。

https://cdn.ncbi.nlm.nih.gov/pmc/blobs/b772/12366657/882287d94407/gr7.jpg
https://cdn.ncbi.nlm.nih.gov/pmc/blobs/b772/12366657/ba8a648c580c/fx1.jpg
https://cdn.ncbi.nlm.nih.gov/pmc/blobs/b772/12366657/ac8323b2ee81/gr1.jpg
https://cdn.ncbi.nlm.nih.gov/pmc/blobs/b772/12366657/45f5a4d208ff/gr2.jpg
https://cdn.ncbi.nlm.nih.gov/pmc/blobs/b772/12366657/32cc232feac2/gr3.jpg
https://cdn.ncbi.nlm.nih.gov/pmc/blobs/b772/12366657/9f9246e32030/gr4.jpg
https://cdn.ncbi.nlm.nih.gov/pmc/blobs/b772/12366657/5074c75759b7/gr5.jpg
https://cdn.ncbi.nlm.nih.gov/pmc/blobs/b772/12366657/91314fda76ec/gr6.jpg
https://cdn.ncbi.nlm.nih.gov/pmc/blobs/b772/12366657/882287d94407/gr7.jpg
https://cdn.ncbi.nlm.nih.gov/pmc/blobs/b772/12366657/ba8a648c580c/fx1.jpg
https://cdn.ncbi.nlm.nih.gov/pmc/blobs/b772/12366657/ac8323b2ee81/gr1.jpg
https://cdn.ncbi.nlm.nih.gov/pmc/blobs/b772/12366657/45f5a4d208ff/gr2.jpg
https://cdn.ncbi.nlm.nih.gov/pmc/blobs/b772/12366657/32cc232feac2/gr3.jpg
https://cdn.ncbi.nlm.nih.gov/pmc/blobs/b772/12366657/9f9246e32030/gr4.jpg
https://cdn.ncbi.nlm.nih.gov/pmc/blobs/b772/12366657/5074c75759b7/gr5.jpg
https://cdn.ncbi.nlm.nih.gov/pmc/blobs/b772/12366657/91314fda76ec/gr6.jpg
https://cdn.ncbi.nlm.nih.gov/pmc/blobs/b772/12366657/882287d94407/gr7.jpg

相似文献

1
CXCR4-LASP1-G9a-SNAIL axis drives NEPC transdifferentiation via induction of EMT and downregulation of REST.CXCR4-LASP1-G9a-SNAIL轴通过诱导上皮-间质转化(EMT)和下调REST来驱动神经内分泌前列腺癌(NEPC)转分化。
Cell Genom. 2025 Aug 13;5(8):100916. doi: 10.1016/j.xgen.2025.100916. Epub 2025 Jun 10.
2
Alternative RNA splicing of the GIT1 gene is associated with neuroendocrine prostate cancer.GIT1 基因的选择性剪接与神经内分泌前列腺癌有关。
Cancer Sci. 2019 Jan;110(1):245-255. doi: 10.1111/cas.13869. Epub 2018 Dec 12.
3
Long non-coding DANCR targets miR-185-5p to upregulate LIM and SH3 protein 1 promoting prostate cancer via the FAK/PI3K/AKT/GSK3β/snail pathway.长链非编码 RNA DANCR 通过靶向 miR-185-5p 上调 LIM 和 SH3 蛋白 1,通过 FAK/PI3K/AKT/GSK3β/snail 通路促进前列腺癌。
J Gene Med. 2021 Jul;23(7):e3344. doi: 10.1002/jgm.3344. Epub 2021 May 5.
4
PRMT5:MEP50 Are Mediators of Treatment-Induced Neuroendocrine Differentiation in Prostate Cancer.PRMT5:MEP50是前列腺癌治疗诱导神经内分泌分化的介质。
Prostate. 2025 Jul 17. doi: 10.1002/pros.70006.
5
Targeting SOX4/PCK2 signaling suppresses neuroendocrine trans-differentiation of castration-resistant prostate cancer.靶向SOX4/PCK2信号通路可抑制去势抵抗性前列腺癌的神经内分泌转分化。
Biol Direct. 2024 Jul 16;19(1):56. doi: 10.1186/s13062-024-00500-2.
6
Hypoxia-induced genome-wide DNA demethylation by DNMT3A and EMT of cancer cells.缺氧通过DNMT3A诱导全基因组DNA去甲基化及癌细胞上皮-间质转化。
Cell Mol Biol Lett. 2025 Aug 5;30(1):95. doi: 10.1186/s11658-025-00775-x.
7
NKX2-1 drives neuroendocrine transdifferentiation of prostate cancer via epigenetic and 3D chromatin remodeling.NKX2-1通过表观遗传和三维染色质重塑驱动前列腺癌的神经内分泌转分化。
Nat Genet. 2025 Jul 21. doi: 10.1038/s41588-025-02265-4.
8
Conditionally Reprogrammed Cells from Patient-Derived Xenograft to Model Neuroendocrine Prostate Cancer Development.患者来源异种移植模型中条件重编程细胞模拟神经内分泌前列腺癌的发生发展。
Cells. 2020 Jun 4;9(6):1398. doi: 10.3390/cells9061398.
9
Plexin D1 emerges as a novel target in the development of neural lineage plasticity in treatment-resistant prostate cancer.Plexin D1 作为一种新的靶点出现在治疗抵抗性前列腺癌中神经谱系可塑性的发展中。
Oncogene. 2024 Jul;43(30):2325-2337. doi: 10.1038/s41388-024-03081-6. Epub 2024 Jun 14.
10
Establishment of CXCR4-small interfering RNA retrovirus vector driven by human prostate-specific antigen promoter and its biological effects on prostate cancer in vitro and in vivo.人前列腺特异性抗原启动子驱动的CXCR4小干扰RNA逆转录病毒载体的构建及其对前列腺癌的体内外生物学效应
J Cancer Res Clin Oncol. 2008 Nov;134(11):1255-64. doi: 10.1007/s00432-008-0394-2. Epub 2008 Apr 23.

本文引用的文献

1
Deciphering the Transcription Factor Landscape in Prostate Cancer Progression: A Novel Approach to Understand NE Transdifferentiation.解析前列腺癌进展过程中的转录因子格局:理解神经内分泌转分化的新方法。
Adv Sci (Weinh). 2025 May;12(20):e2404938. doi: 10.1002/advs.202404938. Epub 2025 Mar 17.
2
Lineage-specific canonical and non-canonical activity of EZH2 in advanced prostate cancer subtypes.EZH2在晚期前列腺癌亚型中的谱系特异性经典和非经典活性。
Nat Commun. 2024 Aug 8;15(1):6779. doi: 10.1038/s41467-024-51156-5.
3
The implications of single-cell RNA-seq analysis in prostate cancer: unraveling tumor heterogeneity, therapeutic implications and pathways towards personalized therapy.
单细胞 RNA 测序分析在前列腺癌中的意义:揭示肿瘤异质性、治疗意义及个体化治疗的途径。
Mil Med Res. 2024 Apr 11;11(1):21. doi: 10.1186/s40779-024-00526-7.
4
Combined therapy targeting AR and EZH2 curbs castration-resistant prostate cancer enhancing anti-tumor T-cell response.针对雄激素受体(AR)和EZH2的联合疗法可抑制去势抵抗性前列腺癌,增强抗肿瘤T细胞反应。
Epigenomics. 2024 Mar 26;16(9):653-70. doi: 10.2217/epi-2023-0374.
5
Cancer cell plasticity: from cellular, molecular, and genetic mechanisms to tumor heterogeneity and drug resistance.肿瘤细胞可塑性:从细胞、分子和遗传机制到肿瘤异质性和耐药性。
Cancer Metastasis Rev. 2024 Mar;43(1):197-228. doi: 10.1007/s10555-024-10172-z. Epub 2024 Feb 8.
6
Chemokine receptor CXCR7 activates Aurora Kinase A and promotes neuroendocrine prostate cancer growth.趋化因子受体 CXCR7 激活 Aurora 激酶 A 并促进神经内分泌前列腺癌生长。
J Clin Invest. 2023 Aug 1;133(15):e166248. doi: 10.1172/JCI166248.
7
Tumor cell plasticity in targeted therapy-induced resistance: mechanisms and new strategies.靶向治疗诱导耐药中的肿瘤细胞可塑性:机制与新策略。
Signal Transduct Target Ther. 2023 Mar 11;8(1):113. doi: 10.1038/s41392-023-01383-x.
8
LASP1 in Cellular Signaling and Gene Expression: More than Just a Cytoskeletal Regulator.LASP1 在细胞信号和基因表达中的作用:不仅仅是细胞骨架调节剂。
Cells. 2022 Nov 29;11(23):3817. doi: 10.3390/cells11233817.
9
Ectopic JAK-STAT activation enables the transition to a stem-like and multilineage state conferring AR-targeted therapy resistance.异位 JAK-STAT 激活使细胞向干细胞样和多能性状态转变,从而赋予对 AR 靶向治疗的抗性。
Nat Cancer. 2022 Sep;3(9):1071-1087. doi: 10.1038/s43018-022-00431-9. Epub 2022 Sep 5.
10
Lineage plasticity in prostate cancer depends on JAK/STAT inflammatory signaling.前列腺癌中的谱系可塑性取决于 JAK/STAT 炎症信号通路。
Science. 2022 Sep 9;377(6611):1180-1191. doi: 10.1126/science.abn0478. Epub 2022 Aug 18.