Suppr超能文献

Coarctation Stenting When Origin of Aberrant Right Subclavian Artery Is Before Stenotic Segment.

作者信息

Bhalgat Parag, Bachani Neeta, Dalvi Bharat

机构信息

Sujyot Heart Clinic, Mumbai, India.

Holy Family Hospital, Mumbai, India.

出版信息

JACC Case Rep. 2025 Jun 11;30(14):103619. doi: 10.1016/j.jaccas.2025.103619.

Abstract

BACKGROUND

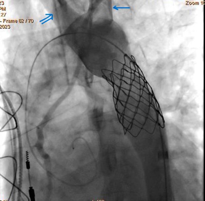
Occasionally, coarctation of the aorta (CoA) may go unnoticed and present in adulthood with left ventricular dysfunction. Variations in anatomy of the neck vessels can add to the complexity in management.

CASE SUMMARY

Our patient underwent surgical repair of a double-outlet right ventricle during which CoA was overlooked. She presented later with peripartum "cardiomyopathy" when CoA was diagnosed on 2-dimensional echocardiography. During transcatheter intervention, an aberrant right subclavian artery (ARSA) was seen arising before CoA opposite the origin of the left subclavian artery. The CoA was successfully treated with a bare metal stent without compromising the flow through either of the subclavian arteries.

DISCUSSION

ARSA is present in 1% of the population and usually arises distal to CoA, unlike in this case, where ARSA was proximal to the coarct.

TAKE-HOME MESSAGE: Diligent analysis of the origin of neck vessels is mandatory to plan and prevent them from jailing during stenting.

摘要
https://cdn.ncbi.nlm.nih.gov/pmc/blobs/4a69/12237713/083df71c810e/ga1.jpg

本文引用的文献

1
Hybrid Procedure for Coexistence of Coarctation of the Aorta and Aberrant Right Subclavian Artery: A Case Report and Review of the Literature.
Vasc Endovascular Surg. 2022 Feb;56(2):190-195. doi: 10.1177/15385744211048309. Epub 2021 Sep 25.
2
Endovascular management of subclavian-steal syndrome in a patient with post-traumatic dissection of an aberrant right subclavian artery.
Ann Vasc Surg. 2021 Nov;77:349.e19-349.e23. doi: 10.1016/j.avsg.2021.05.037. Epub 2021 Aug 23.
3
Be Aware of Aberrant Right Subclavian Artery Origin Before Aortic Coarctation Stenting: A Case Report Study.
Vasc Endovascular Surg. 2019 Oct;53(7):609-612. doi: 10.1177/1538574419858827. Epub 2019 Jul 16.
4
Complex Coarctation and Anomalous Right Subclavian Artery.
Rev Esp Cardiol (Engl Ed). 2017 Apr;70(4):293. doi: 10.1016/j.rec.2016.05.031. Epub 2016 Aug 8.
5
Anomalous right subclavian artery arising proximal to a postductal thoracic aortic coarctation.
Ann Thorac Surg. 1981 Jul;32(1):85-7. doi: 10.1016/s0003-4975(10)61380-x.

文献AI研究员

20分钟写一篇综述,助力文献阅读效率提升50倍。

立即体验

用中文搜PubMed

大模型驱动的PubMed中文搜索引擎

马上搜索

文档翻译

学术文献翻译模型,支持多种主流文档格式。

立即体验