Hao Xinyu, Yuan Shouli, Ning Jing, Zhou Yuanfei, Lang Yanfei, Han Xiurui, Meng Qiao, Xiong Ying, Cui Rongli, Gong Yueqing, Ma Chao, Xu Weichao, Wang Yangang, Guo Xiaohuan, Wang Chu, Zhang Jing, Fu Weiwei, Ding Shigang
Department of Gastroenterology, Peking University Third Hospital, Beijing, China.
Beijing Key Laboratory for Helicobacter Pylori Infection and Upper Gastrointestinal Diseases (BZ0317), Beijing, China.
Int J Biol Sci. 2025 May 7;21(8):3397-3415. doi: 10.7150/ijbs.111636. eCollection 2025.
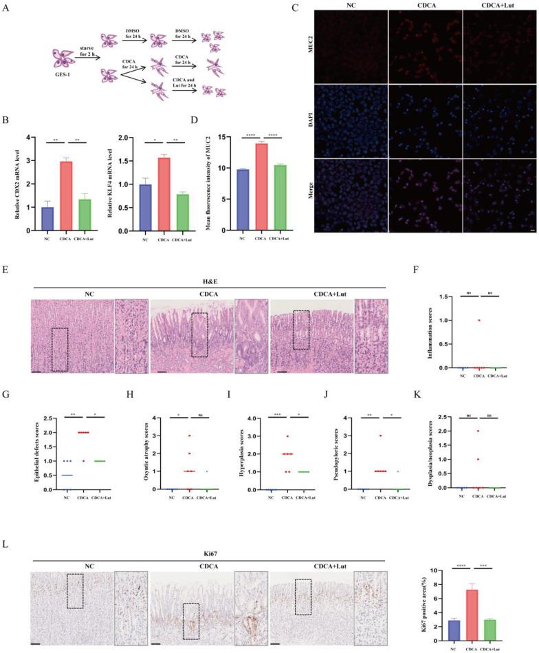
Inhibition of malignant transformation from the precancerous stage has important clinical value for the prevention of gastric cancer. Here, we report a strategy to inhibit precancerous gastric conditions by Luteolin (Lut). Lut treatment resulted in remarkable resistance to oxyntic atrophy, spasmolytic polypeptide-expressing metaplasia (SPEM), and gastric mucosal injury in tamoxifen (TAM)-treated mice, chenodeoxycholic acid-treated rats, and human organoids. Mechanism study suggested that LCN2 expression was upregulated in the SPEM mucosa and downregulated after Lut treatment. LCN2 blocking suppressed TAM-induced oxyntic atrophy and metaplasia and partially counteracted the effect of Lut. Quantitative chemoproteomics identified that Lut bound to STAT3 and inhibited its phosphorylation. Functional experiments using STAT3 inhibitors and epithelial cell-specific deficient mice showed that STAT3 inhibition and deletion attenuated the beneficial effects of Lut. Our data supported that Lut might be a therapeutic candidate for the treatment of gastric mucosal injury by binding to STAT3 and thereby inhibiting the STAT3/LCN2 axis.
抑制癌前阶段的恶性转化对胃癌的预防具有重要的临床价值。在此,我们报告一种通过木犀草素(Lut)抑制癌前胃部病变的策略。Lut治疗使他莫昔芬(TAM)处理的小鼠、鹅去氧胆酸处理的大鼠以及人类类器官对胃体萎缩、表达解痉多肽化生(SPEM)和胃黏膜损伤产生显著抗性。机制研究表明,LCN2在SPEM黏膜中表达上调,而在Lut处理后下调。阻断LCN2可抑制TAM诱导的胃体萎缩和化生,并部分抵消Lut的作用。定量化学蛋白质组学鉴定出Lut与STAT3结合并抑制其磷酸化。使用STAT3抑制剂和上皮细胞特异性缺陷小鼠进行的功能实验表明,抑制和缺失STAT3会减弱Lut的有益作用。我们的数据支持Lut可能是一种治疗胃黏膜损伤的候选药物,它通过与STAT3结合从而抑制STAT3/LCN2轴发挥作用。