Suppr超能文献

帕博利珠单抗成功治疗微卫星稳定/肿瘤突变负荷高的多形性脂肪肉瘤:一例报告

MS-stable/TMB-high pleomorphic liposarcoma successfully treated with pembrolizumab: a case report.

作者信息

Miwa Satoshi, Kobayashi Hiroshi, Hirai Toshihide, Okajima Koichi, Ishibashi Yuki, Tsuda Yusuke, Zhang Liuzhe, Ando Toshihiko, Shinozaki-Ushiku Aya, Tanaka Sakae

机构信息

Department of Musculoskeletal Oncology, Tokyo Metropolitan Cancer and Infectious Diseases Center Komagome Hospital, Tokyo, Japan.

Department of Orthopaedic Surgery, Faculty of Medicine, The University of Tokyo, Tokyo, Japan.

出版信息

Front Oncol. 2025 Jun 3;15:1552411. doi: 10.3389/fonc.2025.1552411. eCollection 2025.

Abstract

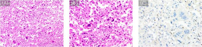
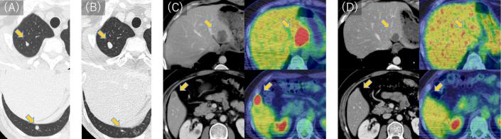
Pleomorphic liposarcoma (PLPS) is a rare and aggressive subtype of liposarcoma with limited treatment options. Despite studies on immune checkpoint inhibitors (ICIs) in sarcomas, there have been few reports involving PLPS. Furthermore, the significance of tumor mutation burden (TMB)-high, a known biomarker for ICIs in various solid tumors, remains unclear in sarcomas. Herein, we report the case of a 41-year-old man with postoperative liver metastasis of microsatellite (MS)-stable/TMB-high PLPS who achieved successful remission with pembrolizumab, an anti-programmed cell death protein 1 inhibitor. Initially, the patient underwent extensive resection for primary PLPS in the distal left thigh. The diagnosis of lung metastases 3 months after prompted five courses of doxorubicin and ifosfamide, resulting in stable disease. Subsequent thoracoscopic pulmonary metastasectomy allowed surgical removal of the lung metastases. However, multiple liver metastases developed 9 months following the primary extensive resection. Cancer genome profiling revealed a mutation in , MS-stable status, and a high TMB of 14.5/Mb. Pembrolizumab was initiated for a total of 35 courses at 10 months postoperatively, significantly reducing liver metastases. These findings suggest the potential of TMB-high as a predictor of ICI response in sarcomas.

摘要

多形性脂肪肉瘤(PLPS)是一种罕见且侵袭性强的脂肪肉瘤亚型,治疗选择有限。尽管对肉瘤中免疫检查点抑制剂(ICI)进行了研究,但涉及PLPS的报道很少。此外,肿瘤突变负荷(TMB)高作为各种实体瘤中ICI的已知生物标志物,在肉瘤中的意义仍不明确。在此,我们报告一例41岁男性,患有微卫星(MS)稳定/TMB高的PLPS术后肝转移,使用抗程序性细胞死亡蛋白1抑制剂帕博利珠单抗成功缓解。最初,患者对左大腿远端的原发性PLPS进行了广泛切除。3个月后诊断为肺转移,接受了五个疗程的阿霉素和异环磷酰胺治疗,病情稳定。随后的胸腔镜肺转移瘤切除术成功切除了肺转移灶。然而,在初次广泛切除9个月后出现了多发肝转移。癌症基因组分析显示存在一种突变、MS稳定状态以及14.5/Mb的高TMB。术后10个月开始使用帕博利珠单抗共35个疗程,显著减少了肝转移。这些发现表明TMB高可能作为肉瘤中ICI反应的预测指标。

https://cdn.ncbi.nlm.nih.gov/pmc/blobs/a01f/12170289/c969d2a413d0/fonc-15-1552411-g001.jpg

文献AI研究员

20分钟写一篇综述,助力文献阅读效率提升50倍。

立即体验

用中文搜PubMed

大模型驱动的PubMed中文搜索引擎

马上搜索

文档翻译

学术文献翻译模型,支持多种主流文档格式。

立即体验