• 文献检索
  • 文档翻译
  • 深度研究
  • 学术资讯
  • Suppr Zotero 插件Zotero 插件
  • 邀请有礼
  • 套餐&价格
  • 历史记录
应用&插件
Suppr Zotero 插件Zotero 插件浏览器插件Mac 客户端Windows 客户端微信小程序
定价
高级版会员购买积分包购买API积分包
服务
文献检索文档翻译深度研究API 文档MCP 服务
关于我们
关于 Suppr公司介绍联系我们用户协议隐私条款
关注我们

Suppr 超能文献

核心技术专利:CN118964589B侵权必究
粤ICP备2023148730 号-1Suppr @ 2026

文献检索

告别复杂PubMed语法,用中文像聊天一样搜索,搜遍4000万医学文献。AI智能推荐,让科研检索更轻松。

立即免费搜索

文件翻译

保留排版,准确专业,支持PDF/Word/PPT等文件格式,支持 12+语言互译。

免费翻译文档

深度研究

AI帮你快速写综述,25分钟生成高质量综述,智能提取关键信息,辅助科研写作。

立即免费体验

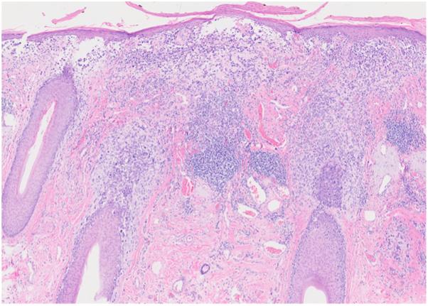
Atypical lentigo maligna melanoma of the chin: A case report.

作者信息

Ghalili Sabrina, Day Doris, Adalsteinsson Jonas A, Taub Peter, Lee David S, Lewin Jesse M

机构信息

Department of Dermatology, Icahn School of Medicine at Mount Sinai, New York, New York.

Department of Dermatology, NYU Grossman School of Medicine, New York, New York.

出版信息

JAAD Case Rep. 2025 Jun 5;61:7-8. doi: 10.1016/j.jdcr.2025.04.025. eCollection 2025 Jul.

DOI:10.1016/j.jdcr.2025.04.025
PMID:40530170
原文链接:https://pmc.ncbi.nlm.nih.gov/articles/PMC12173658/
Abstract
摘要
https://cdn.ncbi.nlm.nih.gov/pmc/blobs/0cf3/12173658/5d8fa5b02e7e/gr3.jpg
https://cdn.ncbi.nlm.nih.gov/pmc/blobs/0cf3/12173658/156964d49044/gr1.jpg
https://cdn.ncbi.nlm.nih.gov/pmc/blobs/0cf3/12173658/351edbebc93a/gr2.jpg
https://cdn.ncbi.nlm.nih.gov/pmc/blobs/0cf3/12173658/5d8fa5b02e7e/gr3.jpg
https://cdn.ncbi.nlm.nih.gov/pmc/blobs/0cf3/12173658/156964d49044/gr1.jpg
https://cdn.ncbi.nlm.nih.gov/pmc/blobs/0cf3/12173658/351edbebc93a/gr2.jpg
https://cdn.ncbi.nlm.nih.gov/pmc/blobs/0cf3/12173658/5d8fa5b02e7e/gr3.jpg

相似文献

1
Atypical lentigo maligna melanoma of the chin: A case report.下巴非典型雀斑样痣恶性黑色素瘤:一例报告。
JAAD Case Rep. 2025 Jun 5;61:7-8. doi: 10.1016/j.jdcr.2025.04.025. eCollection 2025 Jul.
2
Recurrent lentigo maligna as amelanotic lentigo maligna melanoma.复发性恶性雀斑样痣表现为无色素性恶性雀斑样痣黑色素瘤。
J Eur Acad Dermatol Venereol. 2002 Sep;16(5):506-10. doi: 10.1046/j.1468-3083.2002.00534.x.
3
Following lentigo maligna may not prevent the development of life-threatening melanoma.恶性雀斑样痣之后可能无法预防危及生命的黑色素瘤的发生。
Arch Dermatol. 1992 May;128(5):657-60.
4
Amelanotic lentigo maligna and amelanotic lentigo maligna melanoma: a report of three cases mimicking intraepidermal squamous carcinoma.无色素性恶性雀斑样痣及无色素性恶性雀斑样痣黑色素瘤:三例酷似表皮内鳞状细胞癌的病例报告。
J Eur Acad Dermatol Venereol. 1998 Jul;11(1):78-81.
5
Amelanotic lentigo maligna melanoma: a unique case and review of the literature.无色素性恶性雀斑样痣黑色素瘤:1例独特病例并文献复习
Cutis. 1989 Jul;44(1):45-8.
6
Lentigo maligna and malignant melanoma in situ, lentigo maligna type.恶性雀斑样痣及原位恶性黑色素瘤,恶性雀斑样痣型。
Hum Pathol. 1999 May;30(5):533-6. doi: 10.1016/s0046-8177(99)90197-1.
7
Amelanotic Lentigo Maligna Melanoma: Mohs Surgery as the Definitive Treatment of an Invisible Tumour.无色素性恶性雀斑样痣黑素瘤:莫氏手术作为隐匿性肿瘤的确定性治疗方法
J Cutan Med Surg. 2018 Jan/Feb;22(1):51-57. doi: 10.1177/1203475417719046. Epub 2017 Jul 7.
8
Progression to invasive melanoma from malignant melanoma in situ, lentigo maligna type.原位恶性黑素瘤(恶性雀斑样痣型)进展为侵袭性黑素瘤。
Hum Pathol. 2000 Jun;31(6):705-8. doi: 10.1053/hupa.2000.7640.
9
A clinically invisible melanoma.临床隐匿性黑色素瘤。
Australas J Dermatol. 2014 Aug;55(3):e58-9. doi: 10.1111/ajd.12022. Epub 2013 Feb 21.
10
Amelanotic lentigo maligna.无色素性恶性雀斑样痣。
Arch Dermatol. 1980 Jan;116(1):82-3. doi: 10.1001/archderm.1980.01640250084024.

本文引用的文献

1
Amelanotic Lentigo Maligna Melanoma Masquerading as Erythematotelangiectatic Rosacea.无色素性恶性雀斑样痣黑色素瘤伪装成红斑毛细血管扩张型玫瑰痤疮。
Dermatol Surg. 2024 Nov 1;50(11):1068-1069. doi: 10.1097/DSS.0000000000004264. Epub 2024 May 31.
2
Incidence trends of lentigo maligna and lentigo maligna melanoma in the United States from 2000 to 2019.美国 2000 年至 2019 年恶性雀斑样痣和恶性雀斑样黑素瘤的发病趋势。
Int J Dermatol. 2024 May;63(5):647-654. doi: 10.1111/ijd.16982. Epub 2024 Jan 4.
3
Amelanotic Melanoma Treated as Fungal Infection for Years.
多年来被当作真菌感染治疗的无色素性黑色素瘤
Case Rep Dermatol Med. 2022 Nov 7;2022:2598965. doi: 10.1155/2022/2598965. eCollection 2022.
4
Melanoma on chronically sun-damaged skin: Lentigo maligna and desmoplastic melanoma.慢性日光损伤皮肤的黑素瘤:恶性雀斑样痣和硬化性黑素瘤。
J Am Acad Dermatol. 2019 Sep;81(3):823-833. doi: 10.1016/j.jaad.2019.03.066. Epub 2019 Mar 28.
5
Prognosticators of melanoma, the melanoma report, and the sentinel lymph node.黑色素瘤的预后指标、黑色素瘤报告与前哨淋巴结
Mod Pathol. 2006 Feb;19 Suppl 2:S71-87. doi: 10.1038/modpathol.3800517.