Suppr超能文献

一种新型纳米颗粒谷胱甘肽和独行菜治疗庆大霉素诱导的大鼠急性肾衰竭

A novel nanoparticle glutathione and Lepidium sativum treatment for gentamicin-induced acute renal failure in rats.

作者信息

Sabra Mahmoud S, Allam Essmat A H, Darwish Madeha H A, Abdelhafez Enas A, Hassan Abeer S, Ahmed Ahmed A N, Sherkawy Hoda S, Gamea Marwa G

机构信息

Department of Pharmacology, Faculty of Veterinary Medicine, Assiut University, Assiut, 71526, Egypt.

Department of Pharmacology and Toxicology, Faculty of Pharmacy, Assiut University, Assiut, 71526, Egypt.

出版信息

Sci Rep. 2025 Jun 20;15(1):20158. doi: 10.1038/s41598-025-05385-3.

Abstract

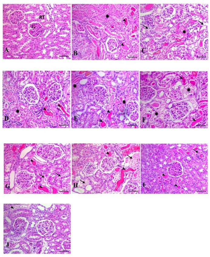
Acute renal failure (ARF) is a sudden, significant, and often reversible decline in kidney function, with 25% of all hospital-administered pharmaceuticals potentially causing nephrotoxicity. The study investigates the effectiveness of a novel nanoparticle (NP) formulation of glutathione (GSH) and Lepidium sativum (LS) in improving therapeutic outcomes in a rat model of ARF. Sixty adult male albino rats were allocated into ten groups, comprising six rats each, for the study. ARF was created by daily gentamicin (GN) administration for seven consecutive days and various treatment protocols, including chitosan (CS) NPs, spanlastics NPs, as well as conventional, NP formulations of GSH, LS, and their respective combinations. The effect was evaluated through various tests, and properties of nanoparticles were confirmed through characterization processes. The NP compositions markedly enhanced renal function, as seen by reduced urine concentrations of albumin and glucose. Furthermore, the serum concentrations of creatinine (SCr), blood urea nitrogen (BUN), and cystatin C were decreased. Tissue concentrations of nitrite, superoxide dismutase (SOD), and malondialdehyde (MDA), as markers of oxidative stress, were enhanced by both conventional and NP formulations. Additionally, they decreased inflammatory markers such as kidney injury molecule-1 (KIM-1), neutrophil gelatinase-associated lipocalin (NGAL), tumor necrosis factor alpha (TNF-α), and interleukin-6 (IL-6). Histological analysis and immunohistochemical testing revealed that the combination therapy, particularly with the nanoforms, significantly decreased caspase 3 cellular immunoexpression, a sign of kidney cellular damage. The findings show that the ARF renal damage is considerably reduced when NPs containing GSH and LS are administered together. The study suggests a promising pharmacological approach for enhancing kidney regeneration and preserving renal function, potentially aiding in new therapeutic interventions for ARF treatment.

摘要

急性肾衰竭(ARF)是指肾功能突然出现显著且通常可逆的下降,所有医院使用的药物中有25%可能导致肾毒性。本研究调查了一种新型的谷胱甘肽(GSH)和独行菜(LS)纳米颗粒(NP)制剂在改善ARF大鼠模型治疗效果方面的有效性。将60只成年雄性白化大鼠分为10组,每组6只用于研究。通过连续7天每日给予庆大霉素(GN)建立ARF模型,并采用各种治疗方案,包括壳聚糖(CS)纳米颗粒、司盘弹性体纳米颗粒,以及GSH、LS的常规纳米颗粒制剂及其各自的组合。通过各种测试评估效果,并通过表征过程确认纳米颗粒的特性。纳米颗粒组合物显著增强了肾功能,表现为尿液中白蛋白和葡萄糖浓度降低。此外,血清肌酐(SCr)、血尿素氮(BUN)和胱抑素C的浓度降低。作为氧化应激标志物的组织中亚硝酸盐、超氧化物歧化酶(SOD)和丙二醛(MDA)的浓度,在常规制剂和纳米颗粒制剂中均有所升高。此外,它们还降低了炎症标志物,如肾损伤分子-1(KIM-1)、中性粒细胞明胶酶相关脂质运载蛋白(NGAL)、肿瘤坏死因子-α(TNF-α)和白细胞介素-6(IL-6)。组织学分析和免疫组织化学检测显示,联合治疗,特别是纳米制剂联合治疗,显著降低了半胱天冬酶3细胞免疫表达,这是肾细胞损伤的迹象。研究结果表明,同时给予含GSH和LS的纳米颗粒时,ARF肾损伤可显著减轻。该研究提出了一种有前景的药理学方法,可促进肾脏再生并保护肾功能,可能有助于ARF治疗的新治疗干预措施。

https://cdn.ncbi.nlm.nih.gov/pmc/blobs/baa0/12181309/43ba5f5adf19/41598_2025_5385_Fig1_HTML.jpg

文献AI研究员

20分钟写一篇综述,助力文献阅读效率提升50倍。

立即体验

用中文搜PubMed

大模型驱动的PubMed中文搜索引擎

马上搜索

文档翻译

学术文献翻译模型,支持多种主流文档格式。

立即体验