Suppr超能文献

在缺铁性贫血检查过程中诊断出的胃十二指肠类圆线虫病。

Gastroduodenal Strongyloidiasis Diagnosed during Iron Deficiency Anemia Workup.

作者信息

Kreidieh Malek, Mobarakai Neville, Andrawes Sherif, Colef Robert, Kreidieh Lara, Al Moussawi Hassan, Chalhoub Jean M

机构信息

Division of Gastroenterology, Department of Internal Medicine, Staten Island University Hospital, Northwell Health, Staten Island, NY, USA.

Division of Infectious Diseases, Department of Internal Medicine, Staten Island University Hospital, Northwell Health, Staten Island, NY, USA.

出版信息

Case Rep Gastroenterol. 2025 Jun 20;19(1):467-475. doi: 10.1159/000539769. eCollection 2025 Jan-Dec.

Abstract

INTRODUCTION

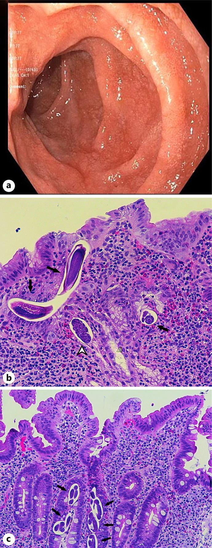
The Strongyloidae family includes at least fifty species of intestinal nematode worms, and is the most prevalent one among humans. As a result of this parasite's complex lifecycle, it can either remain localized in the intestines or disseminate to different organs throughout the body, culminating in hyperinfection in case of immunosuppression. Strongyloidiasis is rarely encountered in the USA, and an associated gastric involvement is uncommon.

CASE PRESENTATION

In this case report, we describe the case of an asymptomatic and immunocompetent Liberian patient with gastroduodenal strongyloidiasis whose diagnosis was based on histologic findings during endoscopic evaluation for iron deficiency anemia.

CONCLUSION

This case sheds light on the importance of suspecting the diagnosis of disseminated strongyloidiasis in high-risk individuals with iron deficiency anemia in combination with peripheral eosinophilia.

摘要

引言

类圆线虫科至少包括50种肠道线虫,是人类中最常见的一种。由于这种寄生虫复杂的生命周期,它既可以局限于肠道,也可以扩散到全身不同器官,在免疫抑制情况下最终导致超感染。类圆线虫病在美国很少见,相关的胃部受累也不常见。

病例报告

在本病例报告中,我们描述了一例无症状且免疫功能正常的利比里亚患者,其患有胃十二指肠类圆线虫病,诊断基于缺铁性贫血内镜评估期间的组织学发现。

结论

该病例揭示了在缺铁性贫血合并外周嗜酸性粒细胞增多的高危个体中怀疑播散性类圆线虫病诊断的重要性。

https://cdn.ncbi.nlm.nih.gov/pmc/blobs/bc2c/12180792/34303832a824/crg-2025-0019-0001-539769_F01.jpg

文献检索

告别复杂PubMed语法,用中文像聊天一样搜索,搜遍4000万医学文献。AI智能推荐,让科研检索更轻松。

立即免费搜索

文件翻译

保留排版,准确专业,支持PDF/Word/PPT等文件格式,支持 12+语言互译。

免费翻译文档

深度研究

AI帮你快速写综述,25分钟生成高质量综述,智能提取关键信息,辅助科研写作。

立即免费体验