Suppr超能文献

乳酸菌及其细菌素在食品安全中的应用 对抗…… (原文最后against后面内容缺失)

Lactic Acid Bacteria (LAB) and Their Bacteriocins for Applications in Food Safety Against .

作者信息

Piras Cristian, Soggiu Alessio, Greco Viviana, Di Ciccio Pierluigi Aldo, Bonizzi Luigi, Procopio Anna Caterina, Urbani Andrea, Roncada Paola

机构信息

Department of Health Sciences, Magna Græcia University of Catanzaro, 88100 Catanzaro, Italy.

One Health Unit, Department of Biomedical, Surgical and Dental Sciences, University of Milan, Via Pascal 36, 20133 Milan, Italy.

出版信息

Antibiotics (Basel). 2025 Jun 3;14(6):572. doi: 10.3390/antibiotics14060572.

Abstract

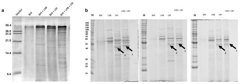
BACKGROUND/OBJECTIVES: is a major foodborne pathogen responsible for listeriosis, a serious illness with high morbidity and mortality, particularly in vulnerable populations. Its persistence in food processing environments and resistance to conventional preservation methods pose significant food safety challenges. Lactic acid bacteria (LAB) offer a promising natural alternative due to their antimicrobial properties, especially through the production of bacteriocins. This study investigates the competitive interactions between and under co-culture conditions, with a focus on changes in their secretomes to better understand how LAB-derived bacteriocins can help mitigate the Listeria burden.

METHODS

Proteomic approaches, including Tricine-SDS-PAGE, two-dimensional electrophoresis, and shotgun proteomics, were employed to analyze the molecular adaptations of both species in response to bacterial competition.

RESULTS

Our results reveal a significant increase in the secretion of enolase by when in competition with , suggesting its role as a stress-responsive moonlighting protein involved in adhesion, immune evasion, and biofilm formation. Concurrently, exhibited a shift in the production of its bacteriocin, nisin, favoring the expression of Nisin Z-a variant with improved solubility and diffusion properties. This differential regulation indicates that bacteriocin production is modulated by bacterial competition, likely as a defensive response to the presence of pathogens.

CONCLUSIONS

These findings highlight the dynamic interplay between LAB and , underscoring the potential of LAB-derived bacteriocins as natural biopreservatives. Understanding the molecular mechanisms underlying microbial competition could enhance food safety strategies, particularly in dairy products, by reducing reliance on chemical preservatives and mitigating the risk of contamination.

摘要

背景/目的:[病原体名称]是一种主要的食源性病原体,可导致李斯特菌病,这是一种发病率和死亡率都很高的严重疾病,在弱势群体中尤为明显。它在食品加工环境中的持久性以及对传统保存方法的抗性给食品安全带来了重大挑战。乳酸菌(LAB)由于其抗菌特性,特别是通过产生细菌素,提供了一种有前景的天然替代方案。本研究调查了[两种菌名称]在共培养条件下的竞争相互作用,重点关注它们分泌蛋白组的变化,以更好地了解LAB衍生的细菌素如何有助于减轻李斯特菌的负担。

方法

采用蛋白质组学方法,包括Tricine - SDS - PAGE、二维电泳和鸟枪法蛋白质组学,来分析两种菌在细菌竞争响应中的分子适应性。

结果

我们的结果显示,[一种菌名称]在与[另一种菌名称]竞争时烯醇化酶的分泌显著增加,表明其作为一种参与黏附、免疫逃避和生物膜形成的应激反应兼职蛋白的作用。同时,[另一种菌名称]的细菌素乳酸链球菌素的产生发生了转变,有利于具有改善的溶解性和扩散特性的变体Nisin Z的表达。这种差异调节表明细菌素的产生受细菌竞争调节,可能是对病原体存在的一种防御反应。

结论

这些发现突出了LAB和[病原体名称]之间的动态相互作用,强调了LAB衍生的细菌素作为天然生物防腐剂的潜力。了解微生物竞争背后的分子机制可以通过减少对化学防腐剂的依赖和减轻[病原体名称]污染的风险来加强食品安全策略,特别是在乳制品中。

https://cdn.ncbi.nlm.nih.gov/pmc/blobs/410b/12190153/6afd36bdcddd/antibiotics-14-00572-g001.jpg

文献检索

告别复杂PubMed语法,用中文像聊天一样搜索,搜遍4000万医学文献。AI智能推荐,让科研检索更轻松。

立即免费搜索

文件翻译

保留排版,准确专业,支持PDF/Word/PPT等文件格式,支持 12+语言互译。

免费翻译文档

深度研究

AI帮你快速写综述,25分钟生成高质量综述,智能提取关键信息,辅助科研写作。

立即免费体验