• 文献检索
  • 文档翻译
  • 深度研究
  • 学术资讯
  • Suppr Zotero 插件Zotero 插件
  • 邀请有礼
  • 套餐&价格
  • 历史记录
应用&插件
Suppr Zotero 插件Zotero 插件浏览器插件Mac 客户端Windows 客户端微信小程序
定价
高级版会员购买积分包购买API积分包
服务
文献检索文档翻译深度研究API 文档MCP 服务
关于我们
关于 Suppr公司介绍联系我们用户协议隐私条款
关注我们

Suppr 超能文献

核心技术专利:CN118964589B侵权必究
粤ICP备2023148730 号-1Suppr @ 2026

文献检索

告别复杂PubMed语法,用中文像聊天一样搜索,搜遍4000万医学文献。AI智能推荐,让科研检索更轻松。

立即免费搜索

文件翻译

保留排版,准确专业,支持PDF/Word/PPT等文件格式,支持 12+语言互译。

免费翻译文档

深度研究

AI帮你快速写综述,25分钟生成高质量综述,智能提取关键信息,辅助科研写作。

立即免费体验

木薯 pulp 衍生膳食纤维的安全性评估:急性和亚急性毒性评价。 (注:这里的“pulp”可结合具体语境理解准确意思,比如木薯浆等)

Safety Assessment of Cassava Pulp-Derived Dietary Fiber: Acute and Sub-Acute Toxicity Evaluation.

作者信息

Nontamart Naiyana, Posridee Kakanang, Suwannaprapha Parin, Srisawat Rungrudee, Oonsivilai Ratchadaporn

机构信息

School of Preclinical Science, Institute of Science, Suranaree University of Technology, Nakhon Ratchasima 30000, Thailand.

Health and Wellness Research Unit, School of Food Technology, Institute of Agricultural Technology, Suranaree University of Technology, Nakhon Ratchasima 30000, Thailand.

出版信息

Toxics. 2025 Jun 3;13(6):473. doi: 10.3390/toxics13060473.

DOI:10.3390/toxics13060473
PMID:40559946
原文链接:https://pmc.ncbi.nlm.nih.gov/articles/PMC12197423/
Abstract

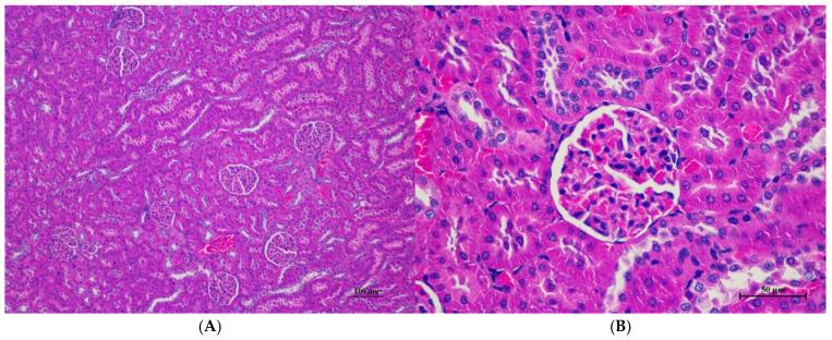
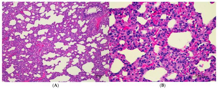
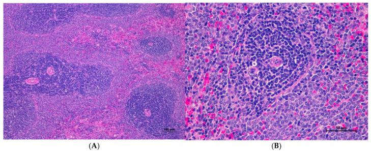
This study rigorously evaluated the safety profile of dietary fiber extracted from cassava pulp, a promising functional food ingredient, through acute and 28-day sub-acute oral toxicity assessments in Wistar rats. This research hypothesized that cassava pulp fiber would exhibit minimal toxicity across a range of doses. In the acute study, rats received single oral doses of 175, 550, or 2000 mg/kg, while the sub-acute toxicity study involved daily doses of 250, 500, or 1000 mg/kg, with satellite groups included for reversibility assessment. Comprehensive monitoring encompassed clinical signs, mortality, body weight, food intake, hematological and biochemical parameters, relative organ weights, and detailed histopathological examination. Remarkably, no treatment-related mortality or overt clinical signs of toxicity were observed in either study. The LD was higher than 2000 mg/kg for the acute study and the no-observed-adverse-effect level (NOAEL) was determined to be 2000 mg/kg for the acute study and 1000 mg/kg for the sub-acute toxicity study, indicating a high margin of safety. While statistically significant alterations were noted in some hematological, biochemical, and relative organ weight parameters, these changes were not considered toxicologically relevant. Notably, histopathological changes in the lungs were observed across all groups, including controls, warranting further investigation. These findings suggest that cassava pulp fiber is well tolerated at high oral doses, supporting its potential for safe application in food and nutraceutical formulations. However, the observed lung alterations necessitate further research to elucidate their etiology and clinical significance.

摘要

本研究通过对Wistar大鼠进行急性和28天亚急性经口毒性评估,严格评估了木薯渣中提取的膳食纤维(一种有前景的功能性食品成分)的安全性。本研究假设木薯渣纤维在一系列剂量下毒性极小。在急性研究中,大鼠单次经口给予175、550或2000 mg/kg的剂量,而亚急性毒性研究涉及每日给予250、500或1000 mg/kg的剂量,并设有卫星组进行可逆性评估。全面监测包括临床症状、死亡率、体重、食物摄入量、血液学和生化参数、相对器官重量以及详细的组织病理学检查。值得注意的是,两项研究均未观察到与治疗相关的死亡或明显的毒性临床症状。急性研究的半数致死量高于2000 mg/kg,急性研究的未观察到有害作用水平(NOAEL)确定为2000 mg/kg,亚急性毒性研究的NOAEL为1000 mg/kg,表明安全性很高。虽然在一些血液学、生化和相对器官重量参数中发现了具有统计学意义的变化,但这些变化在毒理学上不被认为具有相关性。值得注意的是,在所有组(包括对照组)中均观察到肺部的组织病理学变化,需要进一步研究。这些结果表明木薯渣纤维在高经口剂量下耐受性良好,支持其在食品和营养保健品配方中安全应用的潜力。然而,观察到的肺部变化需要进一步研究以阐明其病因和临床意义。

https://cdn.ncbi.nlm.nih.gov/pmc/blobs/4988/12197423/fa1e40da7c00/toxics-13-00473-g010.jpg
https://cdn.ncbi.nlm.nih.gov/pmc/blobs/4988/12197423/32ade26462c4/toxics-13-00473-g001.jpg
https://cdn.ncbi.nlm.nih.gov/pmc/blobs/4988/12197423/374892037003/toxics-13-00473-g002.jpg
https://cdn.ncbi.nlm.nih.gov/pmc/blobs/4988/12197423/7573d1d97b50/toxics-13-00473-g003.jpg
https://cdn.ncbi.nlm.nih.gov/pmc/blobs/4988/12197423/d5332b847699/toxics-13-00473-g004.jpg
https://cdn.ncbi.nlm.nih.gov/pmc/blobs/4988/12197423/402ea87a938b/toxics-13-00473-g005.jpg
https://cdn.ncbi.nlm.nih.gov/pmc/blobs/4988/12197423/c51eed22c52d/toxics-13-00473-g006.jpg
https://cdn.ncbi.nlm.nih.gov/pmc/blobs/4988/12197423/adf8766bf798/toxics-13-00473-g007.jpg
https://cdn.ncbi.nlm.nih.gov/pmc/blobs/4988/12197423/c7e613134fb7/toxics-13-00473-g008.jpg
https://cdn.ncbi.nlm.nih.gov/pmc/blobs/4988/12197423/518024ba54b1/toxics-13-00473-g009.jpg
https://cdn.ncbi.nlm.nih.gov/pmc/blobs/4988/12197423/fa1e40da7c00/toxics-13-00473-g010.jpg
https://cdn.ncbi.nlm.nih.gov/pmc/blobs/4988/12197423/32ade26462c4/toxics-13-00473-g001.jpg
https://cdn.ncbi.nlm.nih.gov/pmc/blobs/4988/12197423/374892037003/toxics-13-00473-g002.jpg
https://cdn.ncbi.nlm.nih.gov/pmc/blobs/4988/12197423/7573d1d97b50/toxics-13-00473-g003.jpg
https://cdn.ncbi.nlm.nih.gov/pmc/blobs/4988/12197423/d5332b847699/toxics-13-00473-g004.jpg
https://cdn.ncbi.nlm.nih.gov/pmc/blobs/4988/12197423/402ea87a938b/toxics-13-00473-g005.jpg
https://cdn.ncbi.nlm.nih.gov/pmc/blobs/4988/12197423/c51eed22c52d/toxics-13-00473-g006.jpg
https://cdn.ncbi.nlm.nih.gov/pmc/blobs/4988/12197423/adf8766bf798/toxics-13-00473-g007.jpg
https://cdn.ncbi.nlm.nih.gov/pmc/blobs/4988/12197423/c7e613134fb7/toxics-13-00473-g008.jpg
https://cdn.ncbi.nlm.nih.gov/pmc/blobs/4988/12197423/518024ba54b1/toxics-13-00473-g009.jpg
https://cdn.ncbi.nlm.nih.gov/pmc/blobs/4988/12197423/fa1e40da7c00/toxics-13-00473-g010.jpg

相似文献

1
Safety Assessment of Cassava Pulp-Derived Dietary Fiber: Acute and Sub-Acute Toxicity Evaluation.木薯 pulp 衍生膳食纤维的安全性评估:急性和亚急性毒性评价。 (注:这里的“pulp”可结合具体语境理解准确意思,比如木薯浆等)
Toxics. 2025 Jun 3;13(6):473. doi: 10.3390/toxics13060473.
2
Sertindole for schizophrenia.用于治疗精神分裂症的舍吲哚。
Cochrane Database Syst Rev. 2005 Jul 20;2005(3):CD001715. doi: 10.1002/14651858.CD001715.pub2.
3
Corticosteroids for the treatment of Duchenne muscular dystrophy.用于治疗杜氏肌营养不良症的皮质类固醇
Cochrane Database Syst Rev. 2016 May 5;2016(5):CD003725. doi: 10.1002/14651858.CD003725.pub4.
4
Indirect comparative efficacy and safety of tirzepatide 10 and 15 mg versus semaglutide 2.4 mg for the management of obesity and overweight in patients with type 2 diabetes.替尔泊肽10毫克和15毫克与司美格鲁肽2.4毫克治疗2型糖尿病患者肥胖和超重的间接比较疗效与安全性
Diabetes Obes Metab. 2025 Jun 19. doi: 10.1111/dom.16508.
5
Etanercept and efalizumab for the treatment of psoriasis: a systematic review.依那西普和依法利珠单抗治疗银屑病:一项系统评价。
Health Technol Assess. 2006 Nov;10(46):1-233, i-iv. doi: 10.3310/hta10460.
6
Evaluation of Acute and Subchronic Oral Toxicity of Copra Meal Hydrolysate: A Novel Candidate for Prebiotic in Sprague Dawley Rats.椰肉粕水解物对斯普拉格-道利大鼠的急性和亚慢性经口毒性评价:一种新型益生元候选物
J Toxicol. 2025 Jun 5;2025:7235371. doi: 10.1155/jt/7235371. eCollection 2025.
7
Metrifonate for Alzheimer's disease.敌百虫用于治疗阿尔茨海默病。
Cochrane Database Syst Rev. 2006 Apr 19(2):CD003155. doi: 10.1002/14651858.CD003155.pub3.
8
Safety Evaluation of Contezolid (MRX-I) Versus Linezolid in Sprague-Dawley Rats.康替唑胺(MRX-I)与利奈唑胺在Sprague-Dawley大鼠中的安全性评价
Drugs R D. 2025 May 13. doi: 10.1007/s40268-025-00504-x.
9
Levetiracetam add-on for drug-resistant focal epilepsy: an updated Cochrane Review.左乙拉西坦添加治疗耐药性局灶性癫痫:Cochrane系统评价的更新版
Cochrane Database Syst Rev. 2012 Sep 12;2012(9):CD001901. doi: 10.1002/14651858.CD001901.pub2.
10
Systemic pharmacological treatments for chronic plaque psoriasis: a network meta-analysis.系统性药理学治疗慢性斑块状银屑病:网络荟萃分析。
Cochrane Database Syst Rev. 2021 Apr 19;4(4):CD011535. doi: 10.1002/14651858.CD011535.pub4.

本文引用的文献

1
A 28-Day Repeated Oral Administration Study of Mechanically Fibrillated Cellulose Nanofibers According to OECD TG407.根据经合组织TG407对机械原纤化纤维素纳米纤维进行的28天重复口服给药研究。
Nanomaterials (Basel). 2024 Jun 24;14(13):1082. doi: 10.3390/nano14131082.
2
Toxicological evaluation of a pumpkin-derived pectin preparation: in vitro genotoxicity studies and a 13-week oral toxicity study in Sprague-Dawley rats.一种南瓜源果胶制剂的毒理学评价:体外遗传毒性研究及对Sprague-Dawley大鼠的13周经口毒性研究。
Toxicol Res (Camb). 2024 Jan 23;13(1):tfae004. doi: 10.1093/toxres/tfae004. eCollection 2024 Feb.
3
Evaluation of Short-Term Toxicity and Cholesterol-Lowering Effects in Rats Exposed to Dietary Fiber Derived from Cassava Pulp.
木薯渣膳食纤维对大鼠的短期毒性及降胆固醇作用评估
Foods. 2023 Nov 9;12(22):4074. doi: 10.3390/foods12224074.
4
Safety Evaluation of the Polyherbal Formulation NawaTab: Acute and Subacute Oral Toxicity Studies in Rats.复方草药制剂NawaTab的安全性评价:大鼠急性和亚急性经口毒性研究
Evid Based Complement Alternat Med. 2023 Jul 24;2023:9413458. doi: 10.1155/2023/9413458. eCollection 2023.
5
Oral toxicity study of sports nutritional powder in Wistar rats: A 90 day repeated dose study.Wistar大鼠运动营养粉的经口毒性研究:90天重复剂量研究。
Toxicol Rep. 2018 Apr 7;5:497-503. doi: 10.1016/j.toxrep.2018.04.001. eCollection 2018.
6
Modified Dietary Fiber from Cassava Pulp and Assessment of Mercury Bioaccessibility and Intestinal Uptake Using an In Vitro Digestion/Caco-2 Model System.木薯渣改性膳食纤维及其汞生物可及性和肠道吸收的体外消化/Caco-2模型系统评估
J Food Sci. 2016 Jul;81(7):T1854-63. doi: 10.1111/1750-3841.13336. Epub 2016 May 24.
7
Evaluation of 90-day oral rat toxicity studies on the food additive, gum ghatti.食品添加剂刺云实胶 90 天经口毒性大鼠试验评价
Food Chem Toxicol. 2013 Jan;51:215-24. doi: 10.1016/j.fct.2012.09.037. Epub 2012 Oct 11.
8
Relationships between organ weight and body/brain weight in the rat: what is the best analytical endpoint?大鼠器官重量与体重/脑重之间的关系:最佳分析终点是什么?
Toxicol Pathol. 2004 Jul-Aug;32(4):448-66. doi: 10.1080/01926230490465874.