• 文献检索
  • 文档翻译
  • 深度研究
  • 学术资讯
  • Suppr Zotero 插件Zotero 插件
  • 邀请有礼
  • 套餐&价格
  • 历史记录
应用&插件
Suppr Zotero 插件Zotero 插件浏览器插件Mac 客户端Windows 客户端微信小程序
定价
高级版会员购买积分包购买API积分包
服务
文献检索文档翻译深度研究API 文档MCP 服务
关于我们
关于 Suppr公司介绍联系我们用户协议隐私条款
关注我们

Suppr 超能文献

核心技术专利:CN118964589B侵权必究
粤ICP备2023148730 号-1Suppr @ 2026

文献检索

告别复杂PubMed语法,用中文像聊天一样搜索,搜遍4000万医学文献。AI智能推荐,让科研检索更轻松。

立即免费搜索

文件翻译

保留排版,准确专业,支持PDF/Word/PPT等文件格式,支持 12+语言互译。

免费翻译文档

深度研究

AI帮你快速写综述,25分钟生成高质量综述,智能提取关键信息,辅助科研写作。

立即免费体验

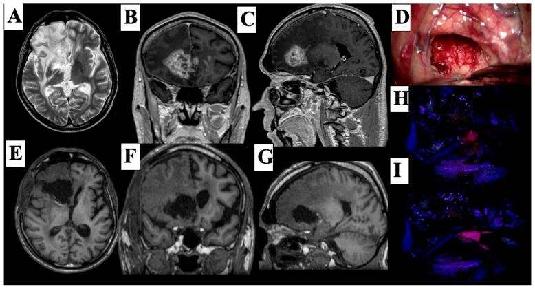
高级别胶质瘤患者临床结局的比较分析:5-氨基乙酰丙酸荧光引导手术与传统白光切除术

Comparative Analysis of Clinical Outcomes in High-Grade Glioma Patients: 5-ALA Fluorescence-Guided Surgery vs. Conventional White-Light Resection.

作者信息

Ryskeldiyev Nurzhan, Moldabekov Aidos, Berdibayeva Dinara, Maidan Aiman, Tursynbekov Torebek, Davletov Dimash, Tleubergenov Muratbek, Kabykenova Assel, Kerimbayeva Diana, Doskaliyev Aidos, Akshulakov Serik

机构信息

National Centre for Neurosurgery, Astana 010000, Kazakhstan.

Taraz City Multidisciplinary Hospital and Consulting and Diagnostic Center, Taraz 080000, Kazakhstan.

出版信息

Cancers (Basel). 2025 Jun 6;17(12):1897. doi: 10.3390/cancers17121897.

DOI:10.3390/cancers17121897
PMID:40563548
原文链接:https://pmc.ncbi.nlm.nih.gov/articles/PMC12191055/
Abstract

Background High-grade gliomas (HGGs) are aggressive brain tumors with poor prognoses. Maximizing the extent of resection (EOR) is a critical surgical goal. Fluorescence-guided surgery using 5-aminolevulinic acid (5-ALA) has been proposed to enhance tumor visualization and resection. MethodsWe retrospectively analyzed 141 patients with histologically confirmed HGGs who underwent either 5-ALA-guided ( = 71) or conventional white-light ( = 70) resection between 2018 and 2023. Propensity score matching and multivariate Cox regression models were used to assess the impact of 5-ALA on surgical outcomes and survival. Results: Gross total resection (GTR) was significantly more common in the 5-ALA group than the conventional white-light group (28.17% vs. 12.86%, = 0.0245). Kaplan-Meier analysis showed no statistically significant difference in overall survival between groups after matching (log-rank = 0.6371). However, patients with GTR had significantly improved survival compared to those with subtotal resection (log-rank = 0.0423). Multivariate Cox regression identified radiotherapy (HR = 0.291, 95% CI: 0.166-0.513, < 0.001), higher Karnofsky Performance Status (HR = 0.962, 95% CI: 0.942-0.982, = 0.0003), and GTR (HR = 0.476, 95% CI: 0.272-0.834, = 0.0091) as independent predictors of improved survival. 5-ALA usage was not an independent predictor (HR = 0.885, 95% CI: 0.554-1.413, = 0.612). Radiotherapy and chemotherapy were more frequently administered in the conventional white-light group ( = 0.0404 and = 0.0085, respectively). Conclusions 5-ALA fluorescence-guided surgery significantly increases the rate of gross total resection in high-grade glioma patients but does not independently confer a survival advantage. Survival outcomes are primarily influenced by the extent of resection, adjuvant therapy, and functional status. Integration of 5-ALA within a comprehensive oncological framework may enhance its clinical utility.

摘要

背景

高级别胶质瘤(HGGs)是预后较差的侵袭性脑肿瘤。最大化切除范围(EOR)是关键的手术目标。已提出使用5-氨基乙酰丙酸(5-ALA)进行荧光引导手术以增强肿瘤可视化和切除效果。

方法

我们回顾性分析了2018年至2023年间141例经组织学确诊为HGGs且接受了5-ALA引导切除(n = 71)或传统白光切除(n = 70)的患者。采用倾向评分匹配和多变量Cox回归模型来评估5-ALA对手术结果和生存的影响。

结果

5-ALA组的全切除(GTR)明显比传统白光组更常见(28.17%对12.86%,P = 0.0245)。Kaplan-Meier分析显示匹配后两组间总生存无统计学显著差异(对数秩检验P = 0.6371)。然而,与次全切除患者相比,GTR患者的生存有显著改善(对数秩检验P = 0.0423)。多变量Cox回归确定放疗(HR = 0.291,95%CI:0.166 - 0.513,P < 0.001)、较高的卡诺夫斯基功能状态(HR = 0.962,95%CI:0.942 - 0.982,P = 0.0003)和GTR(HR = 0.476,95%CI:0.272 - 0.834,P = 0.0091)是生存改善的独立预测因素。5-ALA的使用不是独立预测因素(HR = 0.885,95%CI:0.554 - 1.413,P = 0.612)。传统白光组放疗和化疗的应用更频繁(分别为P = 0.0404和P = 0.0085)。

结论

5-ALA荧光引导手术显著提高了高级别胶质瘤患者的全切除率,但并未独立带来生存优势。生存结果主要受切除范围、辅助治疗和功能状态的影响。将5-ALA整合到综合肿瘤学框架内可能会提高其临床效用。

https://cdn.ncbi.nlm.nih.gov/pmc/blobs/8323/12191055/40595f116855/cancers-17-01897-g005.jpg
https://cdn.ncbi.nlm.nih.gov/pmc/blobs/8323/12191055/cadd4e4e68a6/cancers-17-01897-g001.jpg
https://cdn.ncbi.nlm.nih.gov/pmc/blobs/8323/12191055/c9215167524b/cancers-17-01897-g002.jpg
https://cdn.ncbi.nlm.nih.gov/pmc/blobs/8323/12191055/aa1a88ed3789/cancers-17-01897-g003.jpg
https://cdn.ncbi.nlm.nih.gov/pmc/blobs/8323/12191055/3fbdca82bfd0/cancers-17-01897-g004.jpg
https://cdn.ncbi.nlm.nih.gov/pmc/blobs/8323/12191055/40595f116855/cancers-17-01897-g005.jpg
https://cdn.ncbi.nlm.nih.gov/pmc/blobs/8323/12191055/cadd4e4e68a6/cancers-17-01897-g001.jpg
https://cdn.ncbi.nlm.nih.gov/pmc/blobs/8323/12191055/c9215167524b/cancers-17-01897-g002.jpg
https://cdn.ncbi.nlm.nih.gov/pmc/blobs/8323/12191055/aa1a88ed3789/cancers-17-01897-g003.jpg
https://cdn.ncbi.nlm.nih.gov/pmc/blobs/8323/12191055/3fbdca82bfd0/cancers-17-01897-g004.jpg
https://cdn.ncbi.nlm.nih.gov/pmc/blobs/8323/12191055/40595f116855/cancers-17-01897-g005.jpg

相似文献

1
Comparative Analysis of Clinical Outcomes in High-Grade Glioma Patients: 5-ALA Fluorescence-Guided Surgery vs. Conventional White-Light Resection.高级别胶质瘤患者临床结局的比较分析:5-氨基乙酰丙酸荧光引导手术与传统白光切除术
Cancers (Basel). 2025 Jun 6;17(12):1897. doi: 10.3390/cancers17121897.
2
The effectiveness and cost-effectiveness of carmustine implants and temozolomide for the treatment of newly diagnosed high-grade glioma: a systematic review and economic evaluation.卡莫司汀植入剂与替莫唑胺治疗新诊断的高级别胶质瘤的有效性和成本效益:一项系统评价与经济学评估
Health Technol Assess. 2007 Nov;11(45):iii-iv, ix-221. doi: 10.3310/hta11450.
3
Intraoperative 5-ALA fluorescence-guided resection of high-grade glioma leads to greater extent of resection with better outcomes: a systematic review.术中 5-ALA 荧光引导切除高级别胶质瘤可提高切除程度,改善预后:系统评价。
J Neurooncol. 2022 Jan;156(2):233-256. doi: 10.1007/s11060-021-03901-9. Epub 2022 Jan 6.
4
Intraoperative imaging technology to maximise extent of resection for glioma.术中成像技术以最大化胶质瘤的切除范围。
Cochrane Database Syst Rev. 2018 Jan 22;1(1):CD012788. doi: 10.1002/14651858.CD012788.pub2.
5
Systemic treatments for metastatic cutaneous melanoma.转移性皮肤黑色素瘤的全身治疗
Cochrane Database Syst Rev. 2018 Feb 6;2(2):CD011123. doi: 10.1002/14651858.CD011123.pub2.
6
Impact of residual disease as a prognostic factor for survival in women with advanced epithelial ovarian cancer after primary surgery.原发性手术后晚期上皮性卵巢癌患者残留病灶对生存预后的影响。
Cochrane Database Syst Rev. 2022 Sep 26;9(9):CD015048. doi: 10.1002/14651858.CD015048.pub2.
7
Association of 5-aminolevulinic acid fluorescence guided resection with photodynamic therapy in recurrent glioblastoma: a matched cohort study.5-氨基酮戊酸荧光引导切除联合光动力疗法治疗复发性脑胶质瘤的配对队列研究。
Acta Neurochir (Wien). 2024 May 13;166(1):212. doi: 10.1007/s00701-024-06108-9.
8
Treatment of newly diagnosed glioblastoma in the elderly: a network meta-analysis.老年新诊断胶质母细胞瘤的治疗:一项网状Meta分析
Cochrane Database Syst Rev. 2020 Mar 23;3(3):CD013261. doi: 10.1002/14651858.CD013261.pub2.
9
A systematic review of overall survival in pediatric primary glioblastoma multiforme of the spinal cord.脊髓原发性多形性胶质母细胞瘤患儿总生存期的系统评价。
J Neurosurg Pediatr. 2017 Feb;19(2):239-248. doi: 10.3171/2016.8.PEDS1631. Epub 2016 Nov 4.
10
Magnetic resonance perfusion for differentiating low-grade from high-grade gliomas at first presentation.首次就诊时磁共振灌注成像用于鉴别低级别与高级别胶质瘤
Cochrane Database Syst Rev. 2018 Jan 22;1(1):CD011551. doi: 10.1002/14651858.CD011551.pub2.

本文引用的文献

1
Astrocytomas IDH-mutant of posterior cranial fossa, clinical presentation, imaging features and onco-functional balance in surgical management.后颅窝IDH突变型星形细胞瘤的临床表现、影像学特征及手术治疗中的肿瘤功能平衡
Neurosurg Rev. 2025 Feb 27;48(1):271. doi: 10.1007/s10143-025-03436-x.
2
Preoperative and intraoperative neuromonitoring and mapping techniques impact oncological and functional outcomes in supratentorial function-eloquent brain tumours: a systematic review and meta-analysis.术前和术中神经监测与定位技术对幕上功能明确的脑肿瘤的肿瘤学和功能预后的影响:一项系统评价和荟萃分析。
EClinicalMedicine. 2025 Jan 8;80:103055. doi: 10.1016/j.eclinm.2024.103055. eCollection 2025 Feb.
3
In Situ Light-Source Delivery During 5-Aminulevulinic Acid-Guided High-Grade Glioma Resection: Spatial, Functional and Oncological Informed Surgery.
5-氨基酮戊酸引导下高级别胶质瘤切除术中的原位光源输送:空间、功能和肿瘤学指导手术
Biomedicines. 2024 Nov 30;12(12):2748. doi: 10.3390/biomedicines12122748.
4
Fluorescein-guided surgery in high-grade gliomas: focusing on the eloquent and deep-seated areas.荧光素引导手术在高级别胶质瘤中的应用:重点关注功能区和深部区域。
J Cancer Res Clin Oncol. 2024 May 25;150(5):274. doi: 10.1007/s00432-024-05796-1.
5
Clustering Functional Magnetic Resonance Imaging Time Series in Glioblastoma Characterization: A Review of the Evolution, Applications, and Potentials.胶质母细胞瘤特征中的功能磁共振成像时间序列聚类:演变、应用及潜力综述
Brain Sci. 2024 Mar 20;14(3):296. doi: 10.3390/brainsci14030296.
6
Advancements in Glioma Care: Focus on Emerging Neurosurgical Techniques.胶质瘤治疗的进展:聚焦新兴神经外科技术。
Biomedicines. 2023 Dec 20;12(1):8. doi: 10.3390/biomedicines12010008.
7
Palliative care and end-of-life care in adults with malignant brain tumors.成人恶性脑肿瘤的姑息治疗和临终关怀。
Neuro Oncol. 2023 Mar 14;25(3):447-456. doi: 10.1093/neuonc/noac216.
8
Intraoperative 5-ALA fluorescence-guided resection of high-grade glioma leads to greater extent of resection with better outcomes: a systematic review.术中 5-ALA 荧光引导切除高级别胶质瘤可提高切除程度,改善预后:系统评价。
J Neurooncol. 2022 Jan;156(2):233-256. doi: 10.1007/s11060-021-03901-9. Epub 2022 Jan 6.
9
Fluorescence-Guided Surgery for High-Grade Gliomas: State of the Art and New Perspectives.荧光引导手术在高级别脑胶质瘤中的应用:现状与新视角。
Technol Cancer Res Treat. 2021 Jan-Dec;20:15330338211021605. doi: 10.1177/15330338211021605.
10
5-Aminolevulinic acid-guided resection improves the overall survival of patients with glioblastoma-a comparative cohort study of 343 patients.5-氨基酮戊酸引导下的切除术改善胶质母细胞瘤患者的总生存期——343例患者的比较队列研究
Neurooncol Adv. 2021 Mar 26;3(1):vdab047. doi: 10.1093/noajnl/vdab047. eCollection 2021 Jan-Dec.