Suppr超能文献

足部丛状神经鞘瘤:一例报告

Plexiform Schwannoma of the Foot: A Case Report.

作者信息

Hammad Maryam, AlJamri Kawther

机构信息

Pathology, Salmaniya Medical Complex, Manama, BHR.

General Practice, Royal College of Surgeons in Ireland Medical University of Bahrain, Muharraq, BHR.

出版信息

Cureus. 2025 May 27;17(5):e84867. doi: 10.7759/cureus.84867. eCollection 2025 May.

Abstract

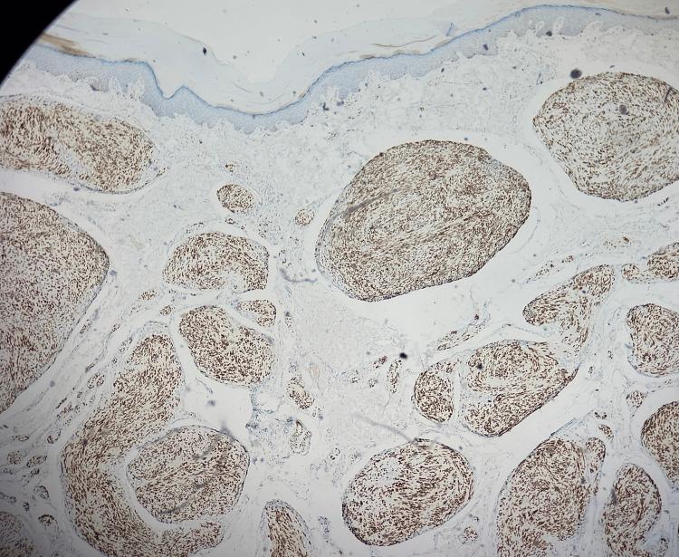
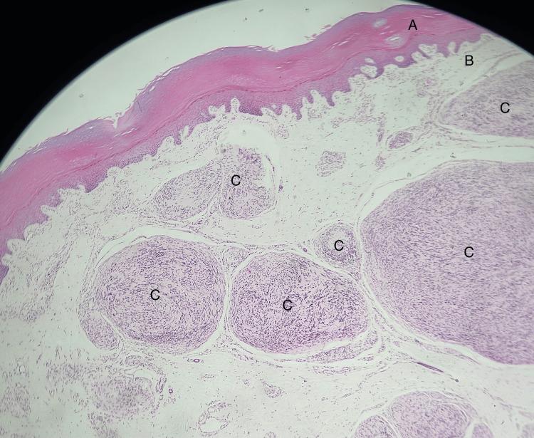
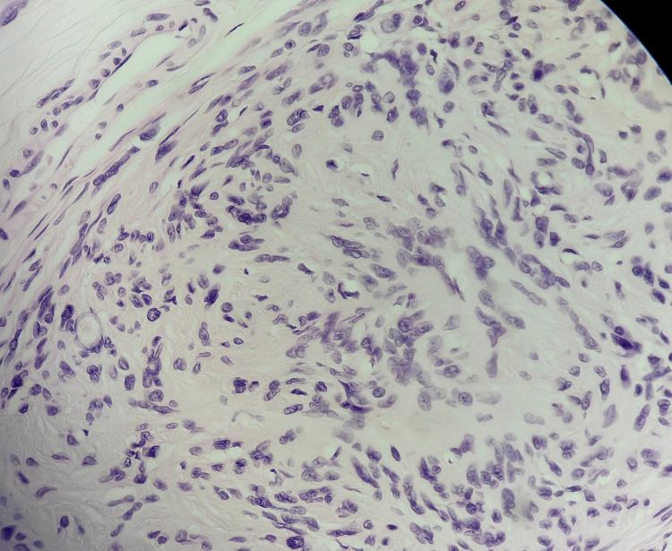
Plexiform schwannoma a rare subtype of schwannoma. Often presenting equally in males and females, especially in childhood. Although the causes are still unidentifiable, plexiform schwannomas are common in the head and neck regions. Hence, we present a case of plexiform schwannoma in a 14-year-old male with an uncommon location, specifically in the sole of the foot. Histopathological examination revealed features characteristic of plexiform schwannoma, including Antoni A and B areas, Verocay bodies and strong S100 positivity. The lesion was excised completely to reduce the risk of recurrence. Although these schwannomas are considered mostly benign, histological and immunohistochemical examination are necessary to rule out more sinister pathologies and guide management.

摘要

丛状神经鞘瘤是神经鞘瘤的一种罕见亚型。在男性和女性中发病几率相当,尤其在儿童期。尽管病因仍不明,但丛状神经鞘瘤在头颈部区域较为常见。因此,我们报告一例14岁男性丛状神经鞘瘤病例,其位置不常见,具体位于足底。组织病理学检查显示出丛状神经鞘瘤的特征性表现,包括Antoni A区和B区、Verocay小体以及S100强阳性。该病变被完全切除以降低复发风险。尽管这些神经鞘瘤大多被认为是良性的,但仍需要进行组织学和免疫组化检查以排除更严重的病变并指导治疗。

https://cdn.ncbi.nlm.nih.gov/pmc/blobs/b280/12198913/7b87b7f05d1e/cureus-0017-00000084867-i01.jpg

文献AI研究员

20分钟写一篇综述,助力文献阅读效率提升50倍。

立即体验

用中文搜PubMed

大模型驱动的PubMed中文搜索引擎

马上搜索

文档翻译

学术文献翻译模型,支持多种主流文档格式。

立即体验