Suppr超能文献

1型高草酸尿症患者的慢性腿部溃疡:一种罕见且具有挑战性的诊断。

Chronic leg ulcers in a patient with Hyperoxaluria type 1: a rare and challenging diagnosis.

作者信息

Kabbou Soukayna, Eljouari Ouiam, Gallouj Salim

机构信息

Dermatology Department, University hospital center Mohammed VI, Tangier 40000, Morocco.

出版信息

Oxf Med Case Reports. 2025 Jun 27;2025(6):omaf068. doi: 10.1093/omcr/omaf068. eCollection 2025 Jun.

Abstract

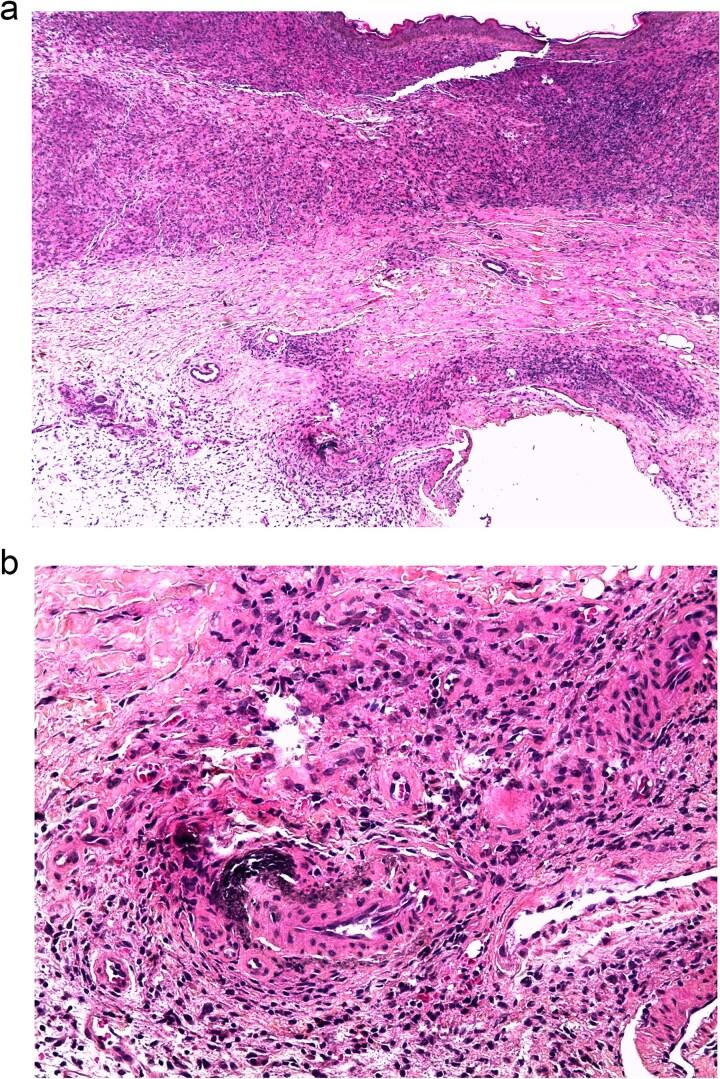
Calciphylaxis is an uncommon yet highly severe condition characterized by systemic medial calcification of arterioles, leading to ischemia and subsequent tissue necrosis. we report the case of a 29 year-old female suffering from primary hyperoxaluria type 1 and end-stage renal disease, Developed multiple painful ulcerations on her legs, initially believed to be due to cutaneous oxalosis. However, pathology findings revealed calciphylaxis. The association calciphylaxis and hyperoxaluria is rare, making this case unique. and she was treated with medical therapy, high-flow oxygen therapy and advanced wound dressings to facilitate granulation tissue formation and optimize ulcer healing, and daily hemodialysis with a low-calcium dialysate.

摘要

钙过敏是一种罕见但极为严重的病症,其特征为小动脉的系统性中层钙化,导致局部缺血及随后的组织坏死。我们报告一例29岁患有1型原发性高草酸尿症和终末期肾病的女性病例,她的腿部出现多处疼痛性溃疡,最初认为是皮肤草酸沉着症所致。然而,病理检查结果显示为钙过敏。钙过敏与高草酸尿症之间的关联罕见,使得该病例具有独特性。她接受了药物治疗、高流量氧疗和先进的伤口敷料治疗,以促进肉芽组织形成并优化溃疡愈合,以及使用低钙透析液进行每日血液透析。

https://cdn.ncbi.nlm.nih.gov/pmc/blobs/95e8/12202300/aad5eefb4f50/omaf068f1.jpg

文献AI研究员

20分钟写一篇综述,助力文献阅读效率提升50倍。

立即体验

用中文搜PubMed

大模型驱动的PubMed中文搜索引擎

马上搜索

文档翻译

学术文献翻译模型,支持多种主流文档格式。

立即体验