Suppr超能文献

与 Leigh 综合征相关的 Dandy-Walker 变异综合征罕见表现:病例报告中关于儿童预后的一种有前景的治疗方法

Rare presentation of dandy-walker variant syndrome associated with leigh syndrome: a promising therapeutic approach for prognosis in children related in a case report.

作者信息

Pires Bianca Frigo, Lopo Graziele Ines Silva, Siqueira Anaí Ramoa, Felisberto Luiza Resende, Martini Rafaella Simão, Alves Ana Beatriz Valim, Silva Amanda Carolina Rodrigues, Carvalho Flávia Xavier Lima, Aliseda Aline Pirola, Martins Mariane Martinhon, Salgado Carla Kreuzberg, da Silveira Junior Salum Bueno, Jacob Camila Garcia Ferrari

机构信息

Department of pediatrics, Hospital das Clinicas de Marília, R. Orlando Riguetti, - São Paulo, Marília 227, Brazil.

出版信息

Oxf Med Case Reports. 2025 Jun 27;2025(6):omaf061. doi: 10.1093/omcr/omaf061. eCollection 2025 Jun.

Abstract

INTRODUCTION

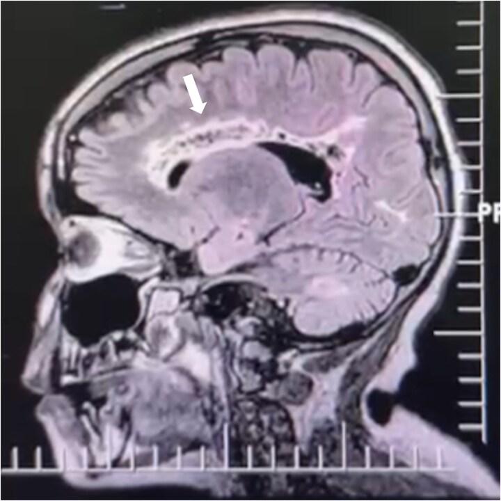
Dandy-Walker syndrome (D-WS) is a rare congenital brain anomaly that primarily impacts the fourth ventricle and cerebellum. Its variant is even rarer and includes cerebellar dysgenesis, with possible posterior fossa enlargement and variable cerebellar vermis hypoplasia.

CASE REPORT

We present the case of a patient diagnosed late with the Dandy-Walker Syndrome variant, associated with Leigh Syndrome, at a tertiary hospital. The patient received an optimized, multidisciplinary treatment approach to improve prognosis.

DISCUSSION

Early intervention in pediatric neurodegenerative diseases through a multidisciplinary team that includes medical, speech therapy, and physiotherapy support is crucial for a better prognosis in these cases.

摘要

引言

丹迪-沃克综合征(D-WS)是一种罕见的先天性脑畸形,主要影响第四脑室和小脑。其变异型更为罕见,包括小脑发育不全,可能伴有后颅窝扩大和小脑蚓部发育不全程度不一。

病例报告

我们报告一例在三级医院被晚期诊断为丹迪-沃克综合征变异型且合并 Leigh 综合征的患者。该患者接受了优化的多学科治疗方案以改善预后。

讨论

对于小儿神经退行性疾病,通过包括医学、言语治疗和物理治疗支持的多学科团队进行早期干预,对于改善这些病例的预后至关重要。

https://cdn.ncbi.nlm.nih.gov/pmc/blobs/0b52/12202306/b100d07b8d41/omaf061f1.jpg

文献AI研究员

20分钟写一篇综述,助力文献阅读效率提升50倍。

立即体验

用中文搜PubMed

大模型驱动的PubMed中文搜索引擎

马上搜索

文档翻译

学术文献翻译模型,支持多种主流文档格式。

立即体验