Suppr超能文献

一名76岁男性患者MRI偶然发现丹迪-沃克畸形:病例报告

An Incidental Discovery of Dandy-Walker Malformation on MRI in a 76-Year-Old Male Patient: A Case Report.

作者信息

Ahmad Maira, Tahir Hira, Salman Salma

机构信息

General Medicine, Dow University of Health Sciences, Dow International Medical College, Karachi, PAK.

出版信息

Cureus. 2025 May 19;17(5):e84423. doi: 10.7759/cureus.84423. eCollection 2025 May.

Abstract

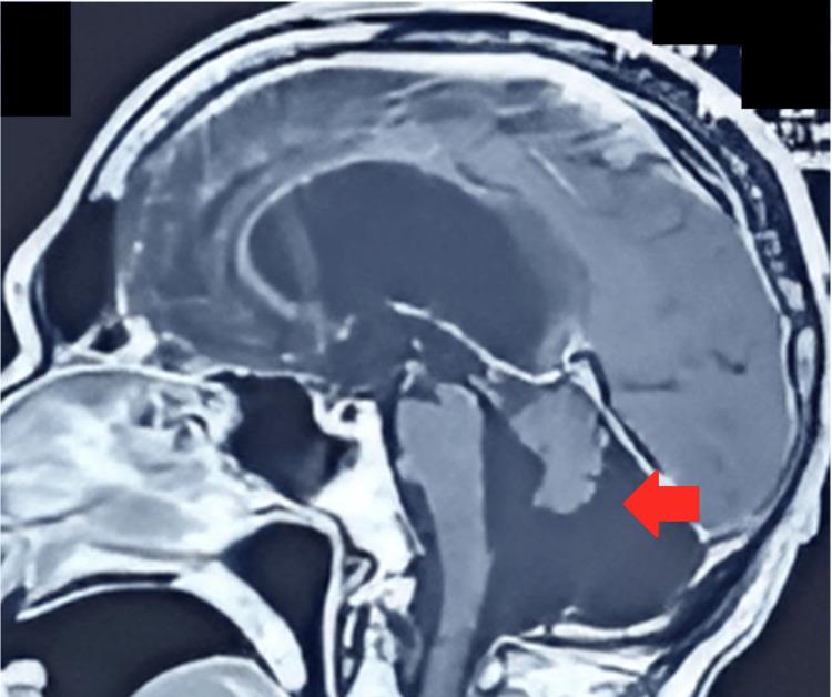
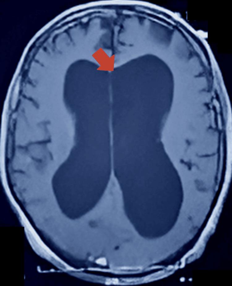
Dandy-Walker malformation is the most prevalent posterior fossa anomaly. Dandy-Walker variant, or Dandy-Walker complex, are terms devised to contrast those conditions that do not meet the standard of Dandy-Walker malformation. Dandy-Walker malformation is usually a congenital diagnosis. Our case calls attention to an extraordinary presentation of Dandy-Walker malformation in adulthood. A 76-year-old male patient initially presented to the Emergency Department at Dow University Hospital at Ojha Campus on the grounds of suspicion of a respiratory infection. COVID-19 was suspected; however, polymerase chain reaction (PCR) testing yielded a negative result. The patient later developed an erythematous and swollen left arm, which pointed towards a diagnosis of cellulitis, and the patient was managed accordingly. After being moved to the General Medicine Ward, our team noted that the patient was bed-bound and conducted a neurological exam, in which he presented with incoordination, less brisk and pendular deep tendon reflexes, and hypotonia in lower limbs, all suggestive of cerebellar involvement. The patient was also lethargic and was in a state of confusion, suggesting an altered mental status. Subsequent labs were completed, and bacterial pneumonia was confirmed on pleural fluid analysis. A CT scan of the head and an MRI scan of the brain were also ordered to investigate the reason for neurological involvement. The imaging displayed hallmarks signifying Dandy-Walker malformation, such as enlargement of the fourth ventricle, hypoplastic vermis, and posterior fossa anomalies.

摘要

丹迪-沃克畸形是最常见的后颅窝异常。丹迪-沃克变异型或丹迪-沃克复合体是为了与那些不符合丹迪-沃克畸形标准的情况相区分而设计的术语。丹迪-沃克畸形通常是一种先天性诊断。我们的病例提醒人们注意丹迪-沃克畸形在成年期的一种特殊表现。一名76岁男性患者最初因疑似呼吸道感染被送往奥贾校区的道大学医院急诊科。怀疑感染了新冠病毒;然而,聚合酶链反应(PCR)检测结果为阴性。患者后来左臂出现红斑和肿胀,这表明诊断为蜂窝织炎,并对患者进行了相应治疗。转至普通内科病房后,我们的团队注意到患者卧床不起,并进行了神经系统检查,检查发现他存在共济失调、深部腱反射减弱且呈摆动样、下肢肌张力减退,所有这些都提示小脑受累。患者还嗜睡且处于意识模糊状态,提示精神状态改变。随后完成了各项实验室检查,胸腔积液分析确诊为细菌性肺炎。还安排了头部CT扫描和脑部MRI扫描以调查神经系统受累的原因。影像学检查显示出表明丹迪-沃克畸形的特征,如第四脑室扩大、小脑蚓部发育不全和后颅窝异常。

https://cdn.ncbi.nlm.nih.gov/pmc/blobs/eb49/12178834/876e4ae31396/cureus-0017-00000084423-i01.jpg

文献AI研究员

20分钟写一篇综述,助力文献阅读效率提升50倍。

立即体验

用中文搜PubMed

大模型驱动的PubMed中文搜索引擎

马上搜索

文档翻译

学术文献翻译模型,支持多种主流文档格式。

立即体验