Kaszycki Margaret, Sokumbi Olayemi, Sluzevich Jason
Department of Dermatology Mayo Clinic, Jacksonville, FL, United States.
Department of Pathology Mayo Clinic, Jacksonville, FL, United States.
IDCases. 2025 Jun 11;41:e02286. doi: 10.1016/j.idcr.2025.e02286. eCollection 2025.
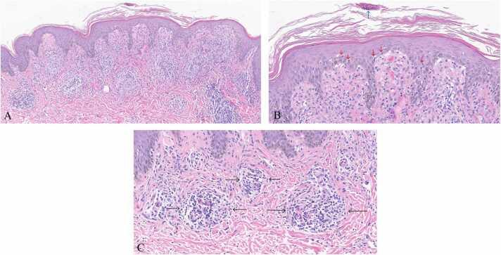
Syphilis, caused by , progresses through distinct stages, with secondary syphilis often being the first presentation within 6-11 weeks after exposure. Although referred to as the "great mimicker", secondary syphilis has typical clinic and histopathological features. This report presents a case of secondary syphilis with absent palmoplantar involvement and unusual granulomatous pathological manifestations. Our patient presented with a diffuse headache and a spreading non-pruritic rash, which progressed to involve the chest, abdomen, upper extremities, and face. Diagnostic workup, including serology and biopsy, confirmed secondary syphilis with granulomatous inflammation. Histopathological examination revealed vacuolar interface dermatitis, neutrophilic mounds, and granulomatous inflammation, while a Treponema pallidum immunohistochemical stain identified spirochetes located primarily in the dermis. This case, representing the earliest documented instance of secondary granulomatous syphilis, challenges the typical association of granulomatous inflammation with tertiary syphilis and delayed hypersensitivity reactions. Instead, we propose that granuloma formation and the lack of palmoplantar involvement are an interrelated phenomena that occur concurrently in this rare subtype of secondary syphilis. We hypothesize that the sparing of the palms and soles, areas with thickened epidermis, may indicate a dermal-based granulomatous response. The patient responded well to IV penicillin therapy, highlighting the importance of early detection and treatment in managing syphilis with atypical histopathological features. With the recent increase in syphilis cases, this highlights the importance of recognizing both clinical and histopathological changes for prompt diagnosis and treatment.
梅毒由梅毒螺旋体引起,病程分为不同阶段,二期梅毒通常是感染后6 - 11周内首次出现的症状。尽管二期梅毒被称为“模仿大师”,但其具有典型的临床和组织病理学特征。本报告介绍了一例无掌跖受累且具有不寻常肉芽肿病理表现的二期梅毒病例。我们的患者表现为弥漫性头痛和逐渐蔓延的非瘙痒性皮疹,皮疹进展至胸部、腹部、上肢和面部。包括血清学和活检在内的诊断检查确诊为伴有肉芽肿性炎症的二期梅毒。组织病理学检查显示有空泡状界面性皮炎、嗜中性粒细胞聚集和肉芽肿性炎症,而梅毒螺旋体免疫组化染色发现螺旋体主要位于真皮层。该病例是有记录的最早的二期肉芽肿性梅毒病例,对肉芽肿性炎症与三期梅毒及迟发型超敏反应的典型关联提出了挑战。相反,我们认为肉芽肿形成和无掌跖受累是这种罕见的二期梅毒亚型中同时出现的相互关联的现象。我们推测手掌和脚底(表皮增厚的部位)未受累可能表明是基于真皮的肉芽肿反应。患者对静脉注射青霉素治疗反应良好,这突出了早期检测和治疗对于处理具有非典型组织病理学特征的梅毒的重要性。随着近期梅毒病例的增加,这凸显了认识临床和组织病理学变化对于及时诊断和治疗的重要性。