Suppr超能文献

左上侧切牙双根双根管:一例报告。

An upper left lateral incisor with double roots and double root canals: A case report.

作者信息

Xia Zhou-Bin, Ren Jing, Chen Jia-Xiang, Wei Yu, Yan Yan, Cao Liang-Ju

机构信息

Department of Stomatology, The First People's Hospital of Kunming, Kunming, Yunnan Province, China.

Kunming Medical University Haiyuan College, Kunming, Yunnan Province, China.

出版信息

Medicine (Baltimore). 2025 Jun 27;104(26):e42815. doi: 10.1097/MD.0000000000042815.

Abstract

RATIONALE

Most maxillary lateral incisors have only 1 root and 1 root canal; the presence of both double roots and double canals is extremely rare and can lead to persistent symptoms if not properly diagnosed.

PATIENT CONCERNS

A 36-year-old female presented with a 3-month history of discomfort in the upper left anterior tooth, following prior root canal treatment performed 2 years earlier for pulp necrosis.

DIAGNOSES

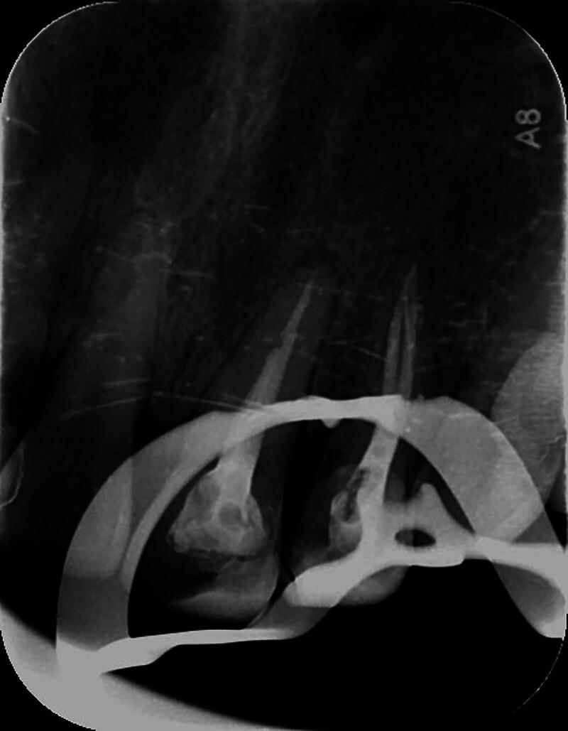
Cone beam computed tomography imaging revealed a left maxillary lateral incisor (tooth 22) with double roots and double root canals, with chronic apical periodontitis associated with the untreated palatal canal.

INTERVENTIONS

The patient underwent root canal retreatment involving the removal of old filling material, negotiation and preparation of the missed palatal canal using manual and rotary files, calcium hydroxide dressing, and final obturation with cold lateral compaction and gutta-percha.

OUTCOMES

The patient's symptoms resolved completely after retreatment, and no discomfort was reported during a 1-year follow-up.

LESSONS

Dental practitioners should possess a comprehensive understanding of the typical anatomy of the dental root canal system and remain cognizant of the potential variations in root canal configurations. When root canal variation is suspected, meticulous examination of the pulp chamber floor, altering the X-ray projection angle, or conducting a high-resolution cone beam computed tomography scan is essential to ensure accurate diagnosis and prevent missed canals, ultimately improving treatment success.

摘要

原理

大多数上颌侧切牙只有1个牙根和1个根管;双根和双根管的情况极为罕见,如果诊断不当可能导致持续症状。

患者关注点

一名36岁女性,左上前牙在2年前因牙髓坏死接受根管治疗后出现3个月的不适。

诊断

锥形束计算机断层扫描成像显示左上颌侧切牙(22号牙)有双根和双根管,伴有与未治疗的腭侧根管相关的慢性根尖周炎。

干预措施

患者接受根管再治疗,包括去除旧的充填材料,使用手动和旋转锉对遗漏的腭侧根管进行疏通和预备,氢氧化钙封药,最后采用冷侧方加压和牙胶进行充填。

结果

再治疗后患者症状完全缓解,1年随访期间未报告不适。

经验教训

牙科医生应全面了解根管系统的典型解剖结构,并认识到根管形态的潜在变异。当怀疑根管变异时,仔细检查髓室底、改变X线投照角度或进行高分辨率锥形束计算机断层扫描对于确保准确诊断和防止遗漏根管至关重要,最终提高治疗成功率。

https://cdn.ncbi.nlm.nih.gov/pmc/blobs/7c05/12212760/e0535b81e241/medi-104-e42815-g001.jpg

文献检索

告别复杂PubMed语法,用中文像聊天一样搜索,搜遍4000万医学文献。AI智能推荐,让科研检索更轻松。

立即免费搜索

文件翻译

保留排版,准确专业,支持PDF/Word/PPT等文件格式,支持 12+语言互译。

免费翻译文档

深度研究

AI帮你快速写综述,25分钟生成高质量综述,智能提取关键信息,辅助科研写作。

立即免费体验