Zhang Zhonghao, Greenberg Alana, Rose Linda, Jayasooriya Thilini, Thomas Naveen, Das Soumitra
Western Health Melbourne Victoria Australia.
The University of Melbourne Melbourne Victoria Australia.
PCN Rep. 2025 Jun 29;4(3):e70145. doi: 10.1002/pcn5.70145. eCollection 2025 Sep.
It is pertinent to investigate organic possibilities in acute presentation of mental illness. Iron-deficiency anemia has long been established to cause symptoms of major depressive disorder. The association between depression and hemolytic anemia and hemochromatosis is less understood.
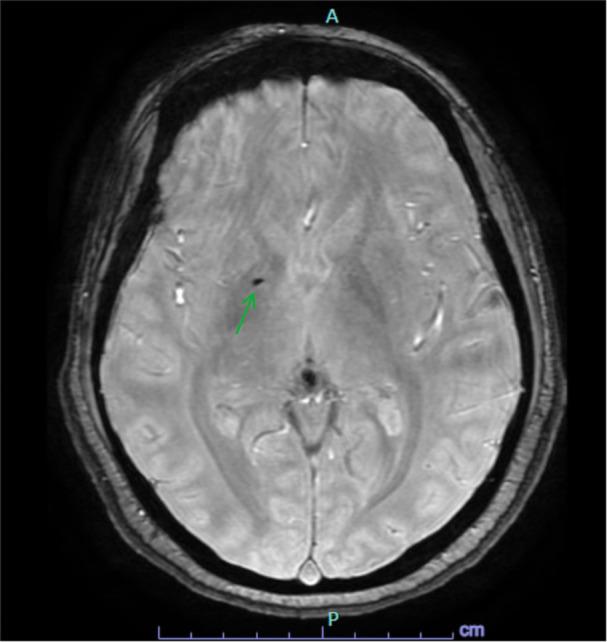
A rare type of hemolytic anemia caused by hemoglobin (Hb) Manukau is reported in a 30-year-old female presenting with 3 weeks of severe depression, paranoia, auditory hallucinations, and suicidal ideation. The client was admitted to a psychiatric unit and received treatment with sertraline and olanzapine. Post-discharge follow up is with a community mental health team. The psychiatric history includes recurrent episodes of major depression with psychotic features, with the first occurring after a stillbirth at age 18 years. The treatment history includes electroconvulsive therapy, sertraline, and olanzapine. The medical complications of the Hb Manukau are chronic hemolytic anemia, liver disease, and hemochromatosis, requiring frequent blood transfusions and iron chelation therapy.
This rare hemoglobinopathy may contribute to the pathogenesis of recurrent depression with psychotic features, potentially through iron deposition in the brain or by other mechanisms yet to be defined.
调查急性精神疾病表现中的器质性可能性具有重要意义。长期以来,缺铁性贫血被证实可导致重度抑郁症症状。抑郁症与溶血性贫血和血色素沉着症之间的关联则了解较少。
一名30岁女性出现3周的重度抑郁、妄想、幻听和自杀意念,报告了一种由马努考血红蛋白(Hb)引起的罕见溶血性贫血。该患者入住精神科病房,接受了舍曲林和奥氮平治疗。出院后由社区心理健康团队进行随访。精神病史包括伴有精神病性特征的重度抑郁症复发,首次发作于18岁死产后。治疗史包括电休克治疗、舍曲林和奥氮平。马努考血红蛋白的医学并发症为慢性溶血性贫血、肝病和血色素沉着症,需要频繁输血和铁螯合治疗。
这种罕见的血红蛋白病可能通过铁在大脑中的沉积或其他尚未明确的机制,导致伴有精神病性特征的复发性抑郁症的发病机制。