• 文献检索
  • 文档翻译
  • 深度研究
  • 学术资讯
  • Suppr Zotero 插件Zotero 插件
  • 邀请有礼
  • 套餐&价格
  • 历史记录
应用&插件
Suppr Zotero 插件Zotero 插件浏览器插件Mac 客户端Windows 客户端微信小程序
定价
高级版会员购买积分包购买API积分包
服务
文献检索文档翻译深度研究API 文档MCP 服务
关于我们
关于 Suppr公司介绍联系我们用户协议隐私条款
关注我们

Suppr 超能文献

核心技术专利:CN118964589B侵权必究
粤ICP备2023148730 号-1Suppr @ 2026

文献检索

告别复杂PubMed语法,用中文像聊天一样搜索,搜遍4000万医学文献。AI智能推荐,让科研检索更轻松。

立即免费搜索

文件翻译

保留排版,准确专业,支持PDF/Word/PPT等文件格式,支持 12+语言互译。

免费翻译文档

深度研究

AI帮你快速写综述,25分钟生成高质量综述,智能提取关键信息,辅助科研写作。

立即免费体验

通过毕赤酵母分泌实现固定化D-阿洛酮糖3-表异构酶的简化生产:工业生产D-阿洛酮糖的新范例

Streamlined production of immobilized D-psicose 3-epimerase via secretion in Pichia pastoris: a new paradigm for industrial D-psicose production.

作者信息

Srila Pimsiriya, Pinmanee Phitsanu, Ninchan Boontiwa, Watthanasakphuban Nisit

机构信息

Department of Biotechnology, Faculty of Agro-Industry, Kasetsart University, Chatuchak, Bangkok, 10900, Thailand.

Enzyme Technology Research Team, National Center of Genetic Engineering and Biotechnology (BIOTEC), Pathum Thani, 12120, Thailand.

出版信息

Microb Cell Fact. 2025 Jul 2;24(1):149. doi: 10.1186/s12934-025-02763-4.

DOI:10.1186/s12934-025-02763-4
PMID:40598404
原文链接:https://pmc.ncbi.nlm.nih.gov/articles/PMC12220227/
Abstract

BACKGROUND

D-psicose, a rare sugar with significant health benefits, holds great promise as a low-calorie sweetener. Its synthesis requires the enzyme called D-psicose 3-epimerase (DPEase), which converts D-fructose into D-psicose. This study focuses on an alternative protein expression system for secretion DPEase production, using Pichia pastoris KM71. The gene encoding DPEase from Bacillus sp. KCTC 13219 was codon-optimized and fused downstream of the α-factor signal peptide. A one-step purification and immobilization method was developed by directly binding crude DPEase to a His-tag affinity column, enhancing both enzyme stability and reusability.

RESULTS

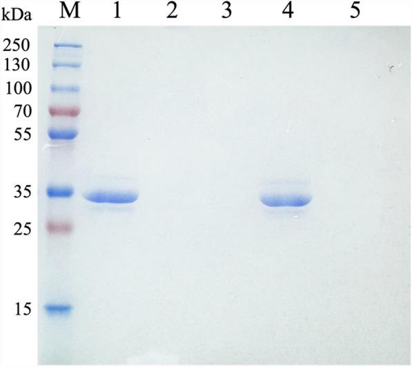
The recombinant DPEase was successfully expressed in P. pastoris and efficiently secreted into the culture medium, simplifying downstream processing. The purified DPEase exhibited optimal activity at pH 6.0 and 60 °C, demonstrating remarkable thermostability and maintaining over 80% relative activity across a broad pH range (pH 5.0-11.0) and temperature range (35-70 °C). Purification with 200 mM imidazole elution resulted in a 12.54-fold increase in the purification factor, achieving a specific activity of 3.65 Units/mg. The maximum D-psicose conversion rate of purified DPEase was 17.03% at 120 min reaction with 10% (w/v) D-fructose. The developed DPEase immobilization system showed high binding efficiency, facilitating one-step purification and immobilization for ready-to-use DPEase column. The immobilized enzyme could be reused up to five cycles, maintaining 83.38% relative activity, highlighting the potential of this system for efficient D-psicose production.

CONCLUSIONS

This study successfully developed a prototype system for extracellular DPEase production in a recombinant microorganism. This streamlined enzyme purification and immobilization, significantly reducing the DPEase production costs. The recombinant DPEase exhibited remarkable stability across a wide range of pH and temperature. This broad stability makes the enzyme highly promising for industrial-scale D-psicose production, resulting in reduced energy costs and simplified synthesis process. The DPEase demonstrated desirable properties for various D-psicose conversion conditions, and the immobilized enzyme exhibited efficient reusability. These findings support the potential application of this system for large-scale production of D-psicose, a rare sugar with promising uses in the food and pharmaceutical industries.

摘要

背景

D-阿洛酮糖是一种具有显著健康益处的稀有糖,作为一种低热量甜味剂具有巨大潜力。其合成需要一种名为D-阿洛酮糖3-表异构酶(DPEase)的酶,该酶可将D-果糖转化为D-阿洛酮糖。本研究聚焦于使用毕赤酵母KM71作为分泌型DPEase生产的替代蛋白表达系统。对来自芽孢杆菌属KCTC 13219的编码DPEase的基因进行密码子优化,并融合到α-因子信号肽的下游。通过将粗制DPEase直接结合到His-tag亲和柱上,开发了一种一步纯化和固定化方法,提高了酶的稳定性和可重复使用性。

结果

重组DPEase在毕赤酵母中成功表达并有效分泌到培养基中,简化了下游处理。纯化后的DPEase在pH 6.0和60℃时表现出最佳活性,具有显著的热稳定性,在较宽的pH范围(pH 5.0 - 11.0)和温度范围(35 - 70℃)内保持超过80%的相对活性。用200 mM咪唑洗脱进行纯化,纯化倍数提高了12.54倍,比活性达到3.65单位/毫克。在与10%(w/v)D-果糖反应120分钟时,纯化后的DPEase的最大D-阿洛酮糖转化率为17.03%。所开发的DPEase固定化系统显示出高结合效率,便于一步纯化和固定化以制备即用型DPEase柱。固定化酶可重复使用多达五个循环,保持相对活性达83.38%,突出了该系统在高效生产D-阿洛酮糖方面的潜力。

结论

本研究成功开发了一种在重组微生物中胞外生产DPEase的原型系统。这简化了酶的纯化和固定化过程,显著降低了DPEase的生产成本。重组DPEase在广泛的pH和温度范围内表现出显著的稳定性。这种广泛的稳定性使得该酶在工业规模生产D-阿洛酮糖方面极具前景,可降低能源成本并简化合成过程。DPEase在各种D-阿洛酮糖转化条件下表现出理想的特性,固定化酶具有高效的可重复使用性。这些发现支持了该系统在大规模生产D-阿洛酮糖方面的潜在应用,D-阿洛酮糖是一种在食品和制药行业具有广阔应用前景的稀有糖。

https://cdn.ncbi.nlm.nih.gov/pmc/blobs/b013/12220227/93855cd03185/12934_2025_2763_Fig7_HTML.jpg
https://cdn.ncbi.nlm.nih.gov/pmc/blobs/b013/12220227/c089d6d19963/12934_2025_2763_Fig1_HTML.jpg
https://cdn.ncbi.nlm.nih.gov/pmc/blobs/b013/12220227/1c2d0a0c4c0d/12934_2025_2763_Fig2_HTML.jpg
https://cdn.ncbi.nlm.nih.gov/pmc/blobs/b013/12220227/154e48a98343/12934_2025_2763_Fig3_HTML.jpg
https://cdn.ncbi.nlm.nih.gov/pmc/blobs/b013/12220227/3e5768a7add6/12934_2025_2763_Fig4_HTML.jpg
https://cdn.ncbi.nlm.nih.gov/pmc/blobs/b013/12220227/522d3f9a48f1/12934_2025_2763_Fig5_HTML.jpg
https://cdn.ncbi.nlm.nih.gov/pmc/blobs/b013/12220227/faebd624774a/12934_2025_2763_Fig6_HTML.jpg
https://cdn.ncbi.nlm.nih.gov/pmc/blobs/b013/12220227/93855cd03185/12934_2025_2763_Fig7_HTML.jpg
https://cdn.ncbi.nlm.nih.gov/pmc/blobs/b013/12220227/c089d6d19963/12934_2025_2763_Fig1_HTML.jpg
https://cdn.ncbi.nlm.nih.gov/pmc/blobs/b013/12220227/1c2d0a0c4c0d/12934_2025_2763_Fig2_HTML.jpg
https://cdn.ncbi.nlm.nih.gov/pmc/blobs/b013/12220227/154e48a98343/12934_2025_2763_Fig3_HTML.jpg
https://cdn.ncbi.nlm.nih.gov/pmc/blobs/b013/12220227/3e5768a7add6/12934_2025_2763_Fig4_HTML.jpg
https://cdn.ncbi.nlm.nih.gov/pmc/blobs/b013/12220227/522d3f9a48f1/12934_2025_2763_Fig5_HTML.jpg
https://cdn.ncbi.nlm.nih.gov/pmc/blobs/b013/12220227/faebd624774a/12934_2025_2763_Fig6_HTML.jpg
https://cdn.ncbi.nlm.nih.gov/pmc/blobs/b013/12220227/93855cd03185/12934_2025_2763_Fig7_HTML.jpg

相似文献

1
Streamlined production of immobilized D-psicose 3-epimerase via secretion in Pichia pastoris: a new paradigm for industrial D-psicose production.通过毕赤酵母分泌实现固定化D-阿洛酮糖3-表异构酶的简化生产:工业生产D-阿洛酮糖的新范例
Microb Cell Fact. 2025 Jul 2;24(1):149. doi: 10.1186/s12934-025-02763-4.
2
Production, purification, characterization, and safety evaluation of constructed recombinant D-psicose 3-epimerase.构建重组 D-阿洛酮糖 3-差向异构酶的生产、纯化、特性鉴定及安全性评价。
Microb Cell Fact. 2024 Jul 30;23(1):216. doi: 10.1186/s12934-024-02487-x.
3
A D-psicose 3-epimerase with neutral pH optimum from Clostridium bolteae for D-psicose production: cloning, expression, purification, and characterization.中性 pH 最适的来自 Clostridium bolteae 的 D-阿洛酮糖 3-差向异构酶用于 D-阿洛酮糖生产:克隆、表达、纯化和特性。
Appl Microbiol Biotechnol. 2014 Jan;98(2):717-25. doi: 10.1007/s00253-013-4924-8. Epub 2013 May 4.
4
Immobilization on graphene oxide improves the thermal stability and bioconversion efficiency of D-psicose 3-epimerase for rare sugar production.氧化石墨烯固定化提高了 D-阿洛酮糖 3-差向异构酶的热稳定性和生物转化效率,有利于稀有糖的生产。
Enzyme Microb Technol. 2017 Dec;107:49-56. doi: 10.1016/j.enzmictec.2017.08.003. Epub 2017 Aug 10.
5
Immobilization of Agrobacterium tumefaciensd-psicose 3-epimerase onto titanium dioxide for bioconversion of rare sugar.将农杆菌属 d-阿洛酮糖 3-差向异构酶固定在二氧化钛上用于稀有糖的生物转化。
Enzyme Microb Technol. 2020 Oct;140:109605. doi: 10.1016/j.enzmictec.2020.109605. Epub 2020 May 26.
6
Biochemical characterization of a D-psicose 3-epimerase from Treponema primitia ZAS-1 and its application on enzymatic production of D-psicose.来自原始密螺旋体ZAS-1的D-阿洛酮糖3-表异构酶的生化特性及其在D-阿洛酮糖酶促生产中的应用。
J Sci Food Agric. 2016 Jan 15;96(1):49-56. doi: 10.1002/jsfa.7187. Epub 2015 Apr 23.
7
Immobilization of Clostridium cellulolyticum D-psicose 3-epimerase on artificial oil bodies.将解纤维梭菌D-阿洛酮糖3-表异构酶固定在人工油体上。
J Agric Food Chem. 2014 Jul 16;62(28):6771-6. doi: 10.1021/jf502022w. Epub 2014 Jul 8.
8
Characterization of a metal-dependent D-psicose 3-epimerase from a novel strain, Desmospora sp. 8437.来自新菌株Desmospora sp. 8437的一种金属依赖性D-阿洛酮糖3-表异构酶的特性分析。
J Agric Food Chem. 2013 Nov 27;61(47):11468-76. doi: 10.1021/jf4035817. Epub 2013 Nov 15.
9
Highly efficient production of Clostridium cellulolyticum H10 D-psicose 3-epimerase in Bacillus subtilis and use of these cells to produce D-psicose.在枯草芽孢杆菌中高效生产纤维素梭菌 H10 D-阿洛酮糖 3-差向异构酶及其用于生产 D-阿洛酮糖。
Microb Cell Fact. 2018 Nov 28;17(1):188. doi: 10.1186/s12934-018-1037-1.
10
High production of d-psicose from d-fructose by immobilized whole recombinant Bacillus subtilis cells expressing d-psicose 3-epimerase from Agrobacterium tumefaciens.利用表达自根癌农杆菌的 d-阿洛酮糖 3-差向异构酶的固定化全细胞重组枯草芽孢杆菌高效生产 d-阿洛酮糖。
Biotechnol Appl Biochem. 2022 Feb;69(1):364-375. doi: 10.1002/bab.2115. Epub 2021 Mar 1.

本文引用的文献

1
In Silico Analysis and Development of the Secretory Expression of D-Psicose-3-Epimerase in .D-阿洛酮糖-3-表异构酶分泌表达的计算机模拟分析与开发
Microorganisms. 2024 Aug 1;12(8):1574. doi: 10.3390/microorganisms12081574.
2
Production, purification, characterization, and safety evaluation of constructed recombinant D-psicose 3-epimerase.构建重组 D-阿洛酮糖 3-差向异构酶的生产、纯化、特性鉴定及安全性评价。
Microb Cell Fact. 2024 Jul 30;23(1):216. doi: 10.1186/s12934-024-02487-x.
3
Aromatic secondary metabolite production from glycerol was enhanced by amino acid addition in Pichia pastoris.
氨基酸添加可提高毕赤酵母中甘油的芳香族次生代谢产物的产量。
Appl Microbiol Biotechnol. 2023 Dec;107(24):7391-7401. doi: 10.1007/s00253-023-12798-5. Epub 2023 Sep 27.
4
A Novel D-Psicose 3-Epimerase from Halophilic, Anaerobic and Its Application in Coconut Water.一株嗜盐、厌氧新型 D-阿洛酮糖 3-差向异构酶及其在椰子水中的应用。
Int J Mol Sci. 2023 Mar 29;24(7):6394. doi: 10.3390/ijms24076394.
5
Enzyme Immobilization Technologies and Industrial Applications.酶固定化技术及其工业应用
ACS Omega. 2023 Jan 31;8(6):5184-5196. doi: 10.1021/acsomega.2c07560. eCollection 2023 Feb 14.
6
Frustration and the Kinetic Repartitioning Mechanism of Substrate Inhibition in Enzyme Catalysis.酶催化中底物抑制的动力学分配机制的挫折感。
J Phys Chem B. 2022 Sep 15;126(36):6792-6801. doi: 10.1021/acs.jpcb.2c03832. Epub 2022 Aug 31.
7
Recent Advances Regarding the Physiological Functions and Biosynthesis of D-Allulose.关于D-阿洛酮糖生理功能和生物合成的最新进展
Front Microbiol. 2022 Apr 14;13:881037. doi: 10.3389/fmicb.2022.881037. eCollection 2022.
8
Research Advances of d-allulose: An Overview of Physiological Functions, Enzymatic Biotransformation Technologies, and Production Processes.D-阿洛酮糖的研究进展:生理功能、酶促生物转化技术及生产工艺概述
Foods. 2021 Sep 15;10(9):2186. doi: 10.3390/foods10092186.
9
D-Allulose 3-epimerase of Bacillus sp. origin manifests profuse heat-stability and noteworthy potential of D-fructose epimerization.来源于芽孢杆菌的 D-阿洛酮糖 3-差向异构酶具有丰富的热稳定性和显著的 D-果糖差向异构化潜力。
Microb Cell Fact. 2021 Mar 4;20(1):60. doi: 10.1186/s12934-021-01550-1.
10
Immobilization of Agrobacterium tumefaciensd-psicose 3-epimerase onto titanium dioxide for bioconversion of rare sugar.将农杆菌属 d-阿洛酮糖 3-差向异构酶固定在二氧化钛上用于稀有糖的生物转化。
Enzyme Microb Technol. 2020 Oct;140:109605. doi: 10.1016/j.enzmictec.2020.109605. Epub 2020 May 26.