• 文献检索
  • 文档翻译
  • 深度研究
  • 学术资讯
  • Suppr Zotero 插件Zotero 插件
  • 邀请有礼
  • 套餐&价格
  • 历史记录
应用&插件
Suppr Zotero 插件Zotero 插件浏览器插件Mac 客户端Windows 客户端微信小程序
定价
高级版会员购买积分包购买API积分包
服务
文献检索文档翻译深度研究API 文档MCP 服务
关于我们
关于 Suppr公司介绍联系我们用户协议隐私条款
关注我们

Suppr 超能文献

核心技术专利:CN118964589B侵权必究
粤ICP备2023148730 号-1Suppr @ 2026

文献检索

告别复杂PubMed语法,用中文像聊天一样搜索,搜遍4000万医学文献。AI智能推荐,让科研检索更轻松。

立即免费搜索

文件翻译

保留排版,准确专业,支持PDF/Word/PPT等文件格式,支持 12+语言互译。

免费翻译文档

深度研究

AI帮你快速写综述,25分钟生成高质量综述,智能提取关键信息,辅助科研写作。

立即免费体验

一种用于抗肿瘤治疗的核靶向I型光敏剂。

A nuclear targeted type-I photosensitizer for anti-tumor therapy.

作者信息

Li Zipeng, Liu Wenkai, Ma Wanying, Zhang Changyu, Fan Jiangli, Peng Xiaojun

机构信息

State Key Laboratory of Fine Chemicals, Frontiers Science Center for Smart Materials Oriented Chemical Engineering, Dalian University of Technology Dalian 116024 China

Ningbo Institute of Dalian University of Technology Ningbo 315016 China.

出版信息

Chem Sci. 2025 Jun 20. doi: 10.1039/d5sc02476e.

DOI:10.1039/d5sc02476e
PMID:40599983
原文链接:https://pmc.ncbi.nlm.nih.gov/articles/PMC12207799/
Abstract

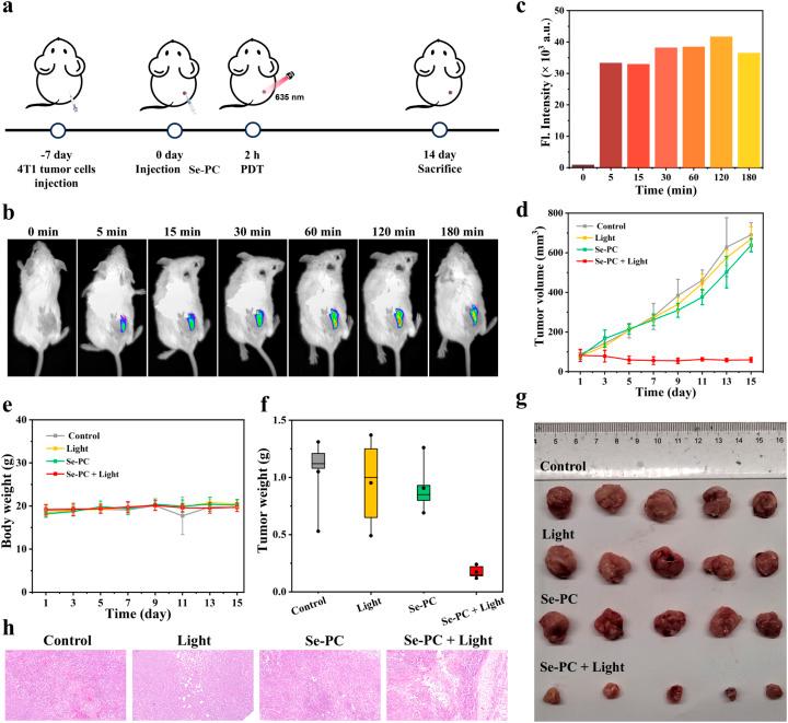
Photodynamic therapy (PDT) has attracted considerable interest in recent years as an effective and promising approach for tumor treatment. In particular, nuclear-targeted type I photosensitizers (PSs) can directly damage the nuclear DNA of tumor cells, thereby significantly enhancing the therapeutic efficacy of PDT. However, nuclear DNA-targeted PSs are rarely reported owing to the lack of clear design principles. Here, we developed a novel DNA-targeted photosensitizer (Se-PC) for highly efficient tumor PDT. After incubation with CT DNA, the fluorescence of Se-PC was dramatically enhanced, indicating its great affinity with DNA. Additionally, Se-PC exhibited strong superoxide radical (O˙) generation ability under light irradiation. Due to the interaction between DNA and Se-PC, the generated O˙ directly induced structural damage of DNA, ultimately leading to cell death. experiments showed that Se-PC effectively localized in the nucleus and achieved excellent killing performance against tumor cells. Benefiting from type-I characteristics, cell proliferation was also remarkably inhibited by the combination of Se-PC and excitation light even under severe hypoxic conditions (2% O). Furthermore, studies demonstrated that Se-PC exhibited notable efficacy in the photoablation of solid tumors, endowing Se-PC with great potential for advancing clinical translation of tumor PDT.

摘要

近年来,光动力疗法(PDT)作为一种有效且有前景的肿瘤治疗方法引起了广泛关注。特别是,核靶向I型光敏剂(PSs)可直接损伤肿瘤细胞的核DNA,从而显著提高PDT的治疗效果。然而,由于缺乏明确的设计原则,核DNA靶向PSs的报道很少。在此,我们开发了一种新型的用于高效肿瘤PDT的DNA靶向光敏剂(Se-PC)。与CT DNA孵育后,Se-PC的荧光显著增强,表明其与DNA具有很强的亲和力。此外,Se-PC在光照下表现出很强的超氧自由基(O˙)生成能力。由于DNA与Se-PC之间的相互作用,生成的O˙直接诱导DNA的结构损伤,最终导致细胞死亡。实验表明,Se-PC有效地定位于细胞核,并对肿瘤细胞具有优异的杀伤性能。得益于I型特性,即使在严重缺氧条件(2% O)下,Se-PC与激发光的组合也能显著抑制细胞增殖。此外,研究表明Se-PC在实体瘤的光消融中表现出显著疗效,这赋予了Se-PC在推进肿瘤PDT临床转化方面的巨大潜力。

https://cdn.ncbi.nlm.nih.gov/pmc/blobs/5781/12284951/135d9469ed38/d5sc02476e-f5.jpg
https://cdn.ncbi.nlm.nih.gov/pmc/blobs/5781/12284951/3ff2a0e91349/d5sc02476e-f1.jpg
https://cdn.ncbi.nlm.nih.gov/pmc/blobs/5781/12284951/c8115eb27df0/d5sc02476e-f2.jpg
https://cdn.ncbi.nlm.nih.gov/pmc/blobs/5781/12284951/122b490a725c/d5sc02476e-f3.jpg
https://cdn.ncbi.nlm.nih.gov/pmc/blobs/5781/12284951/7f3c18411489/d5sc02476e-f4.jpg
https://cdn.ncbi.nlm.nih.gov/pmc/blobs/5781/12284951/135d9469ed38/d5sc02476e-f5.jpg
https://cdn.ncbi.nlm.nih.gov/pmc/blobs/5781/12284951/3ff2a0e91349/d5sc02476e-f1.jpg
https://cdn.ncbi.nlm.nih.gov/pmc/blobs/5781/12284951/c8115eb27df0/d5sc02476e-f2.jpg
https://cdn.ncbi.nlm.nih.gov/pmc/blobs/5781/12284951/122b490a725c/d5sc02476e-f3.jpg
https://cdn.ncbi.nlm.nih.gov/pmc/blobs/5781/12284951/7f3c18411489/d5sc02476e-f4.jpg
https://cdn.ncbi.nlm.nih.gov/pmc/blobs/5781/12284951/135d9469ed38/d5sc02476e-f5.jpg

相似文献

1
A nuclear targeted type-I photosensitizer for anti-tumor therapy.一种用于抗肿瘤治疗的核靶向I型光敏剂。
Chem Sci. 2025 Jun 20. doi: 10.1039/d5sc02476e.
2
A Heteroleptic/Trimetallic Os-Ru-Zn Sierpiński Triangle for Efficient Photodynamic Therapy of Hypoxic Tumors Mainly through Type I Mechanism.一种主要通过I型机制用于低氧肿瘤高效光动力治疗的杂配体/三金属锇-钌-锌谢尔宾斯基三角形。
J Am Chem Soc. 2025 Jul 9;147(27):23957-23971. doi: 10.1021/jacs.5c07313. Epub 2025 Jun 28.
3
The safety and efficiency of photodynamic therapy for the treatment of osteosarcoma: A systematic review of in vitro experiment and animal model reports.光动力疗法治疗骨肉瘤的安全性和有效性:体外实验和动物模型报告的系统评价
Photodiagnosis Photodyn Ther. 2022 Dec;40:103093. doi: 10.1016/j.pdpdt.2022.103093. Epub 2022 Aug 27.
4
Management of urinary stones by experts in stone disease (ESD 2025).结石病专家对尿路结石的管理(2025年结石病专家共识)
Arch Ital Urol Androl. 2025 Jun 30;97(2):14085. doi: 10.4081/aiua.2025.14085.
5
Systemic treatments for metastatic cutaneous melanoma.转移性皮肤黑色素瘤的全身治疗
Cochrane Database Syst Rev. 2018 Feb 6;2(2):CD011123. doi: 10.1002/14651858.CD011123.pub2.
6
The Black Book of Psychotropic Dosing and Monitoring.《精神药物剂量与监测黑皮书》
Psychopharmacol Bull. 2024 Jul 8;54(3):8-59.
7
Interventions for central serous chorioretinopathy: a network meta-analysis.中心性浆液性脉络膜视网膜病变的干预措施:一项网状Meta分析
Cochrane Database Syst Rev. 2025 Jun 16;6(6):CD011841. doi: 10.1002/14651858.CD011841.pub3.
8
Interventions for central serous chorioretinopathy: a network meta-analysis.中心性浆液性脉络膜视网膜病变的干预措施:一项网状Meta分析。
Cochrane Database Syst Rev. 2015 Dec 22;2015(12):CD011841. doi: 10.1002/14651858.CD011841.pub2.
9
Cannabinoids for nausea and vomiting in adults with cancer receiving chemotherapy.大麻素用于接受化疗的成年癌症患者的恶心和呕吐治疗。
Cochrane Database Syst Rev. 2015 Nov 12;2015(11):CD009464. doi: 10.1002/14651858.CD009464.pub2.
10
Sequential versus standard triple first-line therapy for Helicobacter pylori eradication.用于根除幽门螺杆菌的序贯疗法与标准三联一线疗法对比
Cochrane Database Syst Rev. 2016 Jun 28;2016(6):CD009034. doi: 10.1002/14651858.CD009034.pub2.

本文引用的文献

1
Photodynamic and photothermal therapies for bacterial infection treatment.用于治疗细菌感染的光动力疗法和光热疗法。
Smart Mol. 2023 May 16;1(1):e20220010. doi: 10.1002/smo.20220010. eCollection 2023 Jun.
2
Engineering photodynamics for treatment, priming and imaging.用于治疗、启动和成像的工程光动力学。
Nat Rev Bioeng. 2024 Sep;2(9):752-769. doi: 10.1038/s44222-024-00196-z. Epub 2024 Jun 19.
3
NAC-Grafted ROS-Scavenging Polymer Nanoparticles for Modulation of Acute Lung Injury Microenvironment In Vivo.用于体内调节急性肺损伤微环境的N-乙酰半胱氨酸接枝的活性氧清除聚合物纳米颗粒
Biomacromolecules. 2025 Jan 13;26(1):528-540. doi: 10.1021/acs.biomac.4c01290. Epub 2024 Dec 27.
4
Smart molecular designs and applications of activatable organic photosensitizers.可激活有机光敏剂的智能分子设计与应用
Nat Rev Chem. 2025 Jan;9(1):46-60. doi: 10.1038/s41570-024-00662-7. Epub 2024 Nov 6.
5
The Photodynamic Agent Designed by Involvement of Hydrogen Atom Transfer for Enhancing Photodynamic Therapy.通过氢原子转移参与设计的用于增强光动力疗法的光动力剂。
Angew Chem Int Ed Engl. 2025 Jan 2;64(1):e202413595. doi: 10.1002/anie.202413595. Epub 2024 Nov 14.
6
A Type I Photosensitizer-Polymersome Boosts Reactive Oxygen Species Generation by Forcing H-Aggregation for Amplifying STING Immunotherapy.一种 I 型光敏剂聚合物囊泡通过强制 H-聚集来增强活性氧物种的产生,从而增强 STING 免疫疗法。
J Am Chem Soc. 2024 Oct 23;146(42):28973-28984. doi: 10.1021/jacs.4c09831. Epub 2024 Oct 9.
7
Next-generation red ultra-bright fluorescent dyes for nuclear imaging and peripheral blood leukocytes sorting.用于核成像和外周血白细胞分选的新一代红色超亮荧光染料。
Chem Sci. 2024 Sep 27;15(42):17524-32. doi: 10.1039/d4sc04848b.
8
RNA-Activatable Near-Infrared Photosensitizer for Cancer Therapy.RNA 激活近红外光光敏剂用于癌症治疗。
J Am Chem Soc. 2024 Sep 11;146(36):25270-25281. doi: 10.1021/jacs.4c09470. Epub 2024 Aug 31.
9
A Cyanine Dye for Highly Specific Recognition of Parallel G-Quadruplex Topology and Its Application in Clinical RNA Detection for Cancer Diagnosis.一种用于高度特异性识别平行 G-四链体拓扑结构的菁染料及其在癌症诊断临床 RNA 检测中的应用。
J Am Chem Soc. 2024 Aug 14;146(32):22736-22746. doi: 10.1021/jacs.4c07698. Epub 2024 Jul 30.
10
Organelle-based immunotherapy strategies for fighting against cancer.基于细胞器的癌症免疫治疗策略。
Chem Commun (Camb). 2024 Aug 1;60(63):8170-8185. doi: 10.1039/d4cc01594k.