• 文献检索
  • 文档翻译
  • 深度研究
  • 学术资讯
  • Suppr Zotero 插件Zotero 插件
  • 邀请有礼
  • 套餐&价格
  • 历史记录
应用&插件
Suppr Zotero 插件Zotero 插件浏览器插件Mac 客户端Windows 客户端微信小程序
定价
高级版会员购买积分包购买API积分包
服务
文献检索文档翻译深度研究API 文档MCP 服务
关于我们
关于 Suppr公司介绍联系我们用户协议隐私条款
关注我们

Suppr 超能文献

核心技术专利:CN118964589B侵权必究
粤ICP备2023148730 号-1Suppr @ 2026

文献检索

告别复杂PubMed语法,用中文像聊天一样搜索,搜遍4000万医学文献。AI智能推荐,让科研检索更轻松。

立即免费搜索

文件翻译

保留排版,准确专业,支持PDF/Word/PPT等文件格式,支持 12+语言互译。

免费翻译文档

深度研究

AI帮你快速写综述,25分钟生成高质量综述,智能提取关键信息,辅助科研写作。

立即免费体验

急性心肌梗死延迟钆增强检测中快速与标准分段技术的比较:一项前瞻性临床心血管磁共振试验

Comparison of fast and standard segmented techniques for detection of late gadolinium enhancement in acute myocardial infarction: a prospective clinical cardiovascular magnetic resonance trial.

作者信息

Li Jinshui, Kong Huihui, Wang Zhaozhao, Yuan Ying, An Jing, He Yi

机构信息

Department of Radiology, Beijing Friendship Hospital, Capital Medical University, Beijing, China.

Siemens Shenzhen Magnetic Resonance, MR Collaboration NE Asia, Shenzhen, China.

出版信息

Quant Imaging Med Surg. 2025 Jun 6;15(6):5769-5780. doi: 10.21037/qims-24-2308. Epub 2025 Jun 3.

DOI:10.21037/qims-24-2308
PMID:40606345
原文链接:https://pmc.ncbi.nlm.nih.gov/articles/PMC12209636/
Abstract

BACKGROUND

Segmented phase-sensitive inversion recovery (PSIR) turbo fast low-angle shot (FLASH) has become the reference standard sequence for late gadolinium enhancement (LGE) cardiac magnetic resonance (CMR) imaging. However, it has a long scanning time, requires multiple breath holds, and is prone to motion artifacts. This study aimed to compare the accuracy of two fast LGE sequences with FLASH PSIR in acute myocardial infarction (AMI) detection and quantification of LGE.

METHODS

We prospectively recruited consecutive AMI patients who underwent clinical contrast-enhanced CMR with three different LGE sequences at Beijing Friendship Hospital. The overall image quality (IQ) score and contrast-to-noise ratio (CNR) were used to comprehensively evaluate IQ. LGE and microvascular obstruction (MVO) were qualitatively and quantitatively assessed.

RESULTS

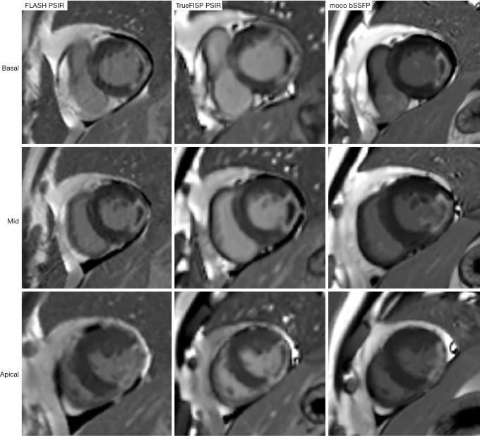
A total of 110 AMI patients (90 males, 58.61±10.9 years) were included in our analyses. Of these, 100 patients (84 males, 58.6±10.9 years) presented LGE (+), and 60 patients developed MVO. Participants were divided into three groups according to the LGE results, namely LGE (-), LGE (+) without MVO, and LGE (+) with MVO. The overall IQ score and CNR for the two fast sequences [single-shot true fast imaging with steady-state precession (TrueFISP PSIR), PSIR motion-corrected, free-breathing single-shot balanced steady-state free precession (moco bSSFP)] were significantly higher than those for the FLASH PSIR (P<0.001). On visual assessment, the number of layers (P=0.20 and 0.22, respectively) and segments (P=0.09 and 0.32, respectively) for LGE displayed no difference and showed excellent matching with those of FLASH PSIR. There were no significant differences in LGE mass (P=0.61 and 0.83, respectively) and MVO mass (P=0.15 and 0.55, respectively) between the FLASH PSIR and the two fast sequences.

CONCLUSIONS

In clinical practice, these two rapid sequences can achieve good IQ, as well as accurate localization and quantification of LGE when acquired during a single breath hold or in a free-breathing state. We recommend them as the preferred LGE CMR sequence for AMI patients.

摘要

背景

分段相敏反转恢复(PSIR)快速低角度激发(FLASH)已成为延迟钆增强(LGE)心脏磁共振(CMR)成像的参考标准序列。然而,其扫描时间长,需要多次屏气,且容易出现运动伪影。本研究旨在比较两种快速LGE序列与FLASH PSIR在急性心肌梗死(AMI)检测及LGE定量方面的准确性。

方法

我们前瞻性地招募了在北京友谊医院接受三种不同LGE序列临床对比增强CMR检查的连续AMI患者。采用整体图像质量(IQ)评分和对比噪声比(CNR)综合评估图像质量。对LGE和微血管阻塞(MVO)进行定性和定量评估。

结果

共有110例AMI患者(90例男性,年龄58.61±10.9岁)纳入分析。其中,100例患者(84例男性,年龄58.6±10.9岁)出现LGE(+),60例患者发生MVO。根据LGE结果将参与者分为三组,即LGE(-)组、无MVO的LGE(+)组和有MVO的LGE(+)组。两种快速序列[单次激发稳态进动真快速成像(TrueFISP PSIR)、PSIR运动校正自由呼吸单次激发平衡稳态自由进动(moco bSSFP)]的整体IQ评分和CNR均显著高于FLASH PSIR(P<0.001)。视觉评估显示,LGE的层数(分别为P=0.20和0.22)和节段数(分别为P=0.09和0.32)无差异,且与FLASH PSIR的层数和节段数匹配良好。FLASH PSIR与两种快速序列在LGE质量(分别为P=0.61和0.83)和MVO质量(分别为P=0.15和0.55)方面无显著差异。

结论

在临床实践中,这两种快速序列在单次屏气或自由呼吸状态下采集时,能够获得良好的图像质量,以及准确的LGE定位和定量。我们推荐将它们作为AMI患者LGE CMR的首选序列。

https://cdn.ncbi.nlm.nih.gov/pmc/blobs/5a8a/12209636/fb92f42dd606/qims-15-06-5769-f4.jpg
https://cdn.ncbi.nlm.nih.gov/pmc/blobs/5a8a/12209636/fbc4d39f1a9c/qims-15-06-5769-f1.jpg
https://cdn.ncbi.nlm.nih.gov/pmc/blobs/5a8a/12209636/15b9565482d2/qims-15-06-5769-f2.jpg
https://cdn.ncbi.nlm.nih.gov/pmc/blobs/5a8a/12209636/9322352fe196/qims-15-06-5769-f3.jpg
https://cdn.ncbi.nlm.nih.gov/pmc/blobs/5a8a/12209636/fb92f42dd606/qims-15-06-5769-f4.jpg
https://cdn.ncbi.nlm.nih.gov/pmc/blobs/5a8a/12209636/fbc4d39f1a9c/qims-15-06-5769-f1.jpg
https://cdn.ncbi.nlm.nih.gov/pmc/blobs/5a8a/12209636/15b9565482d2/qims-15-06-5769-f2.jpg
https://cdn.ncbi.nlm.nih.gov/pmc/blobs/5a8a/12209636/9322352fe196/qims-15-06-5769-f3.jpg
https://cdn.ncbi.nlm.nih.gov/pmc/blobs/5a8a/12209636/fb92f42dd606/qims-15-06-5769-f4.jpg

相似文献

1
Comparison of fast and standard segmented techniques for detection of late gadolinium enhancement in acute myocardial infarction: a prospective clinical cardiovascular magnetic resonance trial.急性心肌梗死延迟钆增强检测中快速与标准分段技术的比较:一项前瞻性临床心血管磁共振试验
Quant Imaging Med Surg. 2025 Jun 6;15(6):5769-5780. doi: 10.21037/qims-24-2308. Epub 2025 Jun 3.
2
Comparison of fast multi-slice and standard segmented techniques for detection of late gadolinium enhancement in ischemic and non-ischemic cardiomyopathy - a prospective clinical cardiovascular magnetic resonance trial.比较快速多层面和标准分段技术在缺血性和非缺血性心肌病中的延迟钆增强检测 - 一项前瞻性临床心血管磁共振试验。
J Cardiovasc Magn Reson. 2018 Feb 19;20(1):13. doi: 10.1186/s12968-018-0434-2.
3
Systemic pharmacological treatments for chronic plaque psoriasis: a network meta-analysis.系统性药理学治疗慢性斑块状银屑病:网络荟萃分析。
Cochrane Database Syst Rev. 2021 Apr 19;4(4):CD011535. doi: 10.1002/14651858.CD011535.pub4.
4
Motion-corrected free-breathing late gadolinium enhancement combined with a gadolinium contrast agent with a high relaxation rate: an optimized cardiovascular magnetic resonance examination protocol.运动校正自由呼吸晚期钆增强结合具有高弛豫率的钆对比剂:优化的心血管磁共振检查方案。
J Int Med Res. 2020 Oct;48(10):300060520964664. doi: 10.1177/0300060520964664.
5
Systemic pharmacological treatments for chronic plaque psoriasis: a network meta-analysis.慢性斑块状银屑病的全身药理学治疗:一项网状荟萃分析。
Cochrane Database Syst Rev. 2017 Dec 22;12(12):CD011535. doi: 10.1002/14651858.CD011535.pub2.
6
Beta-blockers in patients without heart failure after myocardial infarction.心肌梗死后无心力衰竭的患者使用β受体阻滞剂。
Cochrane Database Syst Rev. 2021 Nov 5;11(11):CD012565. doi: 10.1002/14651858.CD012565.pub2.
7
Systemic pharmacological treatments for chronic plaque psoriasis: a network meta-analysis.慢性斑块状银屑病的全身药理学治疗:一项网状Meta分析。
Cochrane Database Syst Rev. 2020 Jan 9;1(1):CD011535. doi: 10.1002/14651858.CD011535.pub3.
8
Systemic treatments for metastatic cutaneous melanoma.转移性皮肤黑色素瘤的全身治疗
Cochrane Database Syst Rev. 2018 Feb 6;2(2):CD011123. doi: 10.1002/14651858.CD011123.pub2.
9
Does Augmenting Irradiated Autografts With Free Vascularized Fibula Graft in Patients With Bone Loss From a Malignant Tumor Achieve Union, Function, and Complication Rate Comparably to Patients Without Bone Loss and Augmentation When Reconstructing Intercalary Resections in the Lower Extremity?对于因恶性肿瘤导致骨缺损的患者,在重建下肢节段性切除时,采用带血管游离腓骨移植来增强照射后的自体骨移植,其骨愈合、功能及并发症发生率与无骨缺损且未进行增强的患者相比是否相当?
Clin Orthop Relat Res. 2025 Jun 26. doi: 10.1097/CORR.0000000000003599.
10
Dexrazoxane for preventing or reducing cardiotoxicity in adults and children with cancer receiving anthracyclines.右雷佐生预防或减少接受蒽环类抗生素治疗的癌症成人和儿童的心脏毒性。
Cochrane Database Syst Rev. 2022 Sep 27;9(9):CD014638. doi: 10.1002/14651858.CD014638.pub2.

本文引用的文献

1
Right ventricular function and determining factors of dysfunction in ST-segment-elevation myocardial infarction: a cross-sectional study with cardiac magnetic resonance imaging (MRI).ST段抬高型心肌梗死患者右心室功能及功能障碍的决定因素:一项心脏磁共振成像(MRI)横断面研究
Quant Imaging Med Surg. 2024 Sep 1;14(9):6895-6907. doi: 10.21037/qims-23-1804. Epub 2024 Jun 11.
2
Myocardial infarct size for predicting improvements in cardiac function in patients with ischemic cardiomyopathy following coronary artery bypass grafting.预测冠状动脉搭桥术后缺血性心肌病患者心功能改善情况的心肌梗死面积
Quant Imaging Med Surg. 2023 Dec 1;13(12):7814-7827. doi: 10.21037/qims-23-159. Epub 2023 Oct 9.
3
30-minute CMR for common clinical indications: a Society for Cardiovascular Magnetic Resonance white paper.
30 分钟心脏磁共振成像用于常见临床适应证:心血管磁共振学会白皮书
J Cardiovasc Magn Reson. 2022 Mar 1;24(1):13. doi: 10.1186/s12968-022-00844-6.
4
Cardiac MRI to Visualize Myocardial Damage after ST-Segment Elevation Myocardial Infarction: A Review of Its Histologic Validation.心脏 MRI 观察 ST 段抬高型心肌梗死心肌损伤:其组织学验证的综述。
Radiology. 2021 Oct;301(1):4-18. doi: 10.1148/radiol.2021204265. Epub 2021 Aug 24.
5
Myocardial motion-corrected phase-sensitive inversion recovery late gadolinium enhancement in free breathing paediatric patients: a comparison with single-shot coherent gradient echo ("TrueFISP") phase-sensitive inversion recovery.自由呼吸状态下小儿心肌运动校正相位敏感反转恢复晚期钆增强:与单次激发相干梯度回波(“TrueFISP”)相位敏感反转恢复的比较。
Clin Radiol. 2021 Jun;76(6):471.e17-471.e25. doi: 10.1016/j.crad.2021.01.018. Epub 2021 Mar 2.
6
Role of free-breathing motion-corrected late gadolinium enhancement technique for image quality assessment and LGE quantification.自由呼吸运动校正晚期钆增强技术在图像质量评估和 LGE 量化中的作用。
Eur J Radiol. 2021 Feb;135:109510. doi: 10.1016/j.ejrad.2020.109510. Epub 2020 Dec 31.
7
Motion-corrected free-breathing late gadolinium enhancement combined with a gadolinium contrast agent with a high relaxation rate: an optimized cardiovascular magnetic resonance examination protocol.运动校正自由呼吸晚期钆增强结合具有高弛豫率的钆对比剂:优化的心血管磁共振检查方案。
J Int Med Res. 2020 Oct;48(10):300060520964664. doi: 10.1177/0300060520964664.
8
Standardized image interpretation and post-processing in cardiovascular magnetic resonance - 2020 update : Society for Cardiovascular Magnetic Resonance (SCMR): Board of Trustees Task Force on Standardized Post-Processing.心血管磁共振标准化图像解读和后处理 - 2020 年更新:心血管磁共振学会(SCMR):标准化后处理董事会信托基金工作组。
J Cardiovasc Magn Reson. 2020 Mar 12;22(1):19. doi: 10.1186/s12968-020-00610-6.
9
Standardized cardiovascular magnetic resonance imaging (CMR) protocols: 2020 update.标准化心血管磁共振成像(CMR)协议:2020 年更新。
J Cardiovasc Magn Reson. 2020 Feb 24;22(1):17. doi: 10.1186/s12968-020-00607-1.
10
Motion-corrected free-breathing LGE delivers high quality imaging and reduces scan time by half: an independent validation study.运动校正自由呼吸 LGE 可提供高质量成像并将扫描时间缩短一半:一项独立验证研究。
Int J Cardiovasc Imaging. 2019 Oct;35(10):1893-1901. doi: 10.1007/s10554-019-01620-x. Epub 2019 May 18.