• 文献检索
  • 文档翻译
  • 深度研究
  • 学术资讯
  • Suppr Zotero 插件Zotero 插件
  • 邀请有礼
  • 套餐&价格
  • 历史记录
应用&插件
Suppr Zotero 插件Zotero 插件浏览器插件Mac 客户端Windows 客户端微信小程序
定价
高级版会员购买积分包购买API积分包
服务
文献检索文档翻译深度研究API 文档MCP 服务
关于我们
关于 Suppr公司介绍联系我们用户协议隐私条款
关注我们

Suppr 超能文献

核心技术专利:CN118964589B侵权必究
粤ICP备2023148730 号-1Suppr @ 2026

文献检索

告别复杂PubMed语法,用中文像聊天一样搜索,搜遍4000万医学文献。AI智能推荐,让科研检索更轻松。

立即免费搜索

文件翻译

保留排版,准确专业,支持PDF/Word/PPT等文件格式,支持 12+语言互译。

免费翻译文档

深度研究

AI帮你快速写综述,25分钟生成高质量综述,智能提取关键信息,辅助科研写作。

立即免费体验

评估小鼠部分后肢复合同种异体移植的免疫原性。

Evaluating the immunogenicity of a mouse partial hindlimb for composite allotransplantation.

作者信息

Sun Jia Hui Angela, Ligi Samantha, Biniazan Felor, Haykal Siba

机构信息

Latner Thoracic Surgery Laboratories, University Health Network, Toronto General Hospital, Toronto, ON, Canada.

Institute of Medical Science, Temerty Faculty of Medicine, University of Toronto, ON, Canada.

出版信息

Front Immunol. 2025 Jun 18;16:1595319. doi: 10.3389/fimmu.2025.1595319. eCollection 2025.

DOI:10.3389/fimmu.2025.1595319
PMID:40607410
原文链接:https://pmc.ncbi.nlm.nih.gov/articles/PMC12213382/
Abstract

BACKGROUND

Vascularized composite allotransplantation (VCA) offers a promising solution for restoring function in patients with severe tissue trauma, yet acute rejection remains a major hurdle. Acute rejection is driven by an immune response against transplanted tissues, requiring lifelong immunosuppression, increasing risks of infections, malignancies, and organ toxicity. This study aims to develop a mouse hindlimb transplant model to investigate immune responses and the phenotype of infiltrating cells in these grafts.

MATERIALS AND METHODS

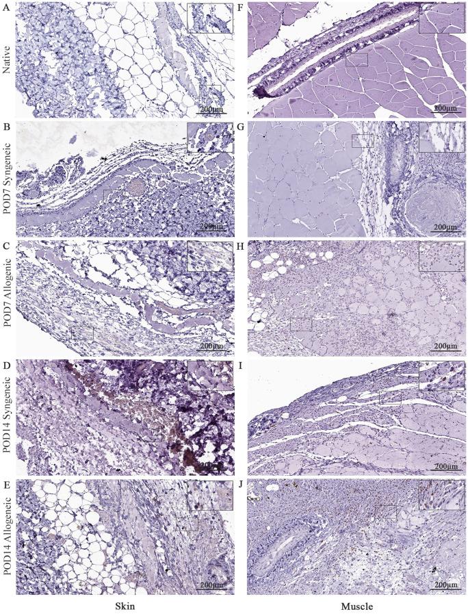
Syngeneic and allogeneic mouse partial hindlimb models were established to evaluate grafted skin and muscle immunogenicity. Male BABL/c and C57BL/6 mice served as donors, C57BL6.sjl mice were recipients. Hindlimbs were procured, including femur, muscle, and skin, and were heterotopically transplanted into recipient mice. Samples were collected at post-operative days 7 (POD7) and 14 (POD14) for histological analysis (H&E staining, immunohistochemistry for CD8, caspase-3, CD31, and TUNEL) to assess cell infiltration, inflammatory T cell presence, apoptosis, and vascularization. Immune cell populations were characterized through flow cytometry.

RESULTS

Both syngeneic and allogeneic skin and muscle showed increased cellular content at both time points. Allogeneic skin at POD14 exhibited higher cellular content and subclinical rejection, while flow cytometry revealed increased donor-derived and recipient-derived T cells, particularly CD4+ and CD8+ T cells. Additionally, Tr1 cells were more abundant, suggesting a regulatory role in the immune response. Apoptotic markers increased in both grafts at POD14, with more TUNEL-positive cells in allogeneic grafts at POD7. Revascularization, assessed by CD31 expression, was notably present in both syngeneic and allogeneic muscle at POD14.

DISCUSSION

This study provides valuable insights into acute rejection in VCA using a novel mouse hindlimb transplant model. Findings reveal immune response complexity, with increased CD8+ T cells and Tr1 cells in allogeneic skin, and unexpected vascularization in non-vascularized grafts. The rise in Tr1 cells suggests a potential mechanism for immune regulation, offering potential for tolerance induction strategies. These results emphasize the need for tissue-specific immunosuppressive approaches, where targeting Tr1 cells could reduce dependence on broad immunosuppression, improving long-term graft survival and patient outcomes. This work lays the foundation for refining VCA therapies, with more personalized, less toxic immunosuppressive strategies.

摘要

背景

血管化复合组织异体移植(VCA)为严重组织创伤患者恢复功能提供了一种有前景的解决方案,但急性排斥反应仍然是一个主要障碍。急性排斥反应由针对移植组织的免疫反应驱动,需要终身免疫抑制,这增加了感染、恶性肿瘤和器官毒性的风险。本研究旨在建立一种小鼠后肢移植模型,以研究这些移植物中的免疫反应和浸润细胞的表型。

材料和方法

建立同基因和异基因小鼠部分后肢模型,以评估移植皮肤和肌肉的免疫原性。雄性BABL/c和C57BL/6小鼠作为供体,C57BL6.sjl小鼠作为受体。获取后肢,包括股骨、肌肉和皮肤,并将其异位移植到受体小鼠体内。在术后第7天(POD7)和第14天(POD14)收集样本进行组织学分析(苏木精-伊红染色、CD8、半胱天冬酶-3、CD31免疫组化和TUNEL),以评估细胞浸润、炎性T细胞存在、细胞凋亡和血管生成。通过流式细胞术对免疫细胞群体进行表征。

结果

同基因和异基因皮肤及肌肉在两个时间点的细胞含量均增加。POD14时异基因皮肤表现出更高的细胞含量和亚临床排斥反应,而流式细胞术显示供体来源和受体来源的T细胞增加,尤其是CD4+和CD8+T细胞。此外,Tr1细胞更为丰富,表明其在免疫反应中起调节作用。POD14时两个移植物中的凋亡标志物均增加,POD7时异基因移植物中的TUNEL阳性细胞更多。通过CD31表达评估的血管再生在POD14时在同基因和异基因肌肉中均明显存在。

讨论

本研究使用一种新型小鼠后肢移植模型,为VCA中的急性排斥反应提供了有价值的见解。研究结果揭示了免疫反应的复杂性,异基因皮肤中CD8+T细胞和Tr1细胞增加,以及非血管化移植物中意外的血管生成。Tr1细胞的增加提示了一种免疫调节的潜在机制,为诱导耐受策略提供了潜力。这些结果强调了组织特异性免疫抑制方法的必要性,靶向Tr1细胞可以减少对广泛免疫抑制的依赖,提高长期移植物存活率和患者预后。这项工作为完善VCA疗法奠定了基础,采用更个性化、毒性更小的免疫抑制策略。

https://cdn.ncbi.nlm.nih.gov/pmc/blobs/8cc8/12213382/b60d5c1cb517/fimmu-16-1595319-g015.jpg
https://cdn.ncbi.nlm.nih.gov/pmc/blobs/8cc8/12213382/26a24d716c53/fimmu-16-1595319-g001.jpg
https://cdn.ncbi.nlm.nih.gov/pmc/blobs/8cc8/12213382/ec026847760d/fimmu-16-1595319-g002.jpg
https://cdn.ncbi.nlm.nih.gov/pmc/blobs/8cc8/12213382/b4fc3a2933c8/fimmu-16-1595319-g003.jpg
https://cdn.ncbi.nlm.nih.gov/pmc/blobs/8cc8/12213382/4f2eb4ed0357/fimmu-16-1595319-g004.jpg
https://cdn.ncbi.nlm.nih.gov/pmc/blobs/8cc8/12213382/309e8535e55d/fimmu-16-1595319-g005.jpg
https://cdn.ncbi.nlm.nih.gov/pmc/blobs/8cc8/12213382/bdf9f3e98b16/fimmu-16-1595319-g006.jpg
https://cdn.ncbi.nlm.nih.gov/pmc/blobs/8cc8/12213382/b94abfd4a154/fimmu-16-1595319-g007.jpg
https://cdn.ncbi.nlm.nih.gov/pmc/blobs/8cc8/12213382/a40ec6960075/fimmu-16-1595319-g008.jpg
https://cdn.ncbi.nlm.nih.gov/pmc/blobs/8cc8/12213382/9e9965773811/fimmu-16-1595319-g009.jpg
https://cdn.ncbi.nlm.nih.gov/pmc/blobs/8cc8/12213382/46d30cee5edd/fimmu-16-1595319-g010.jpg
https://cdn.ncbi.nlm.nih.gov/pmc/blobs/8cc8/12213382/a55e16410023/fimmu-16-1595319-g011.jpg
https://cdn.ncbi.nlm.nih.gov/pmc/blobs/8cc8/12213382/e27bb7e7eedd/fimmu-16-1595319-g012.jpg
https://cdn.ncbi.nlm.nih.gov/pmc/blobs/8cc8/12213382/5614fdf8e7b7/fimmu-16-1595319-g013.jpg
https://cdn.ncbi.nlm.nih.gov/pmc/blobs/8cc8/12213382/e2a90bd58329/fimmu-16-1595319-g014.jpg
https://cdn.ncbi.nlm.nih.gov/pmc/blobs/8cc8/12213382/b60d5c1cb517/fimmu-16-1595319-g015.jpg
https://cdn.ncbi.nlm.nih.gov/pmc/blobs/8cc8/12213382/26a24d716c53/fimmu-16-1595319-g001.jpg
https://cdn.ncbi.nlm.nih.gov/pmc/blobs/8cc8/12213382/ec026847760d/fimmu-16-1595319-g002.jpg
https://cdn.ncbi.nlm.nih.gov/pmc/blobs/8cc8/12213382/b4fc3a2933c8/fimmu-16-1595319-g003.jpg
https://cdn.ncbi.nlm.nih.gov/pmc/blobs/8cc8/12213382/4f2eb4ed0357/fimmu-16-1595319-g004.jpg
https://cdn.ncbi.nlm.nih.gov/pmc/blobs/8cc8/12213382/309e8535e55d/fimmu-16-1595319-g005.jpg
https://cdn.ncbi.nlm.nih.gov/pmc/blobs/8cc8/12213382/bdf9f3e98b16/fimmu-16-1595319-g006.jpg
https://cdn.ncbi.nlm.nih.gov/pmc/blobs/8cc8/12213382/b94abfd4a154/fimmu-16-1595319-g007.jpg
https://cdn.ncbi.nlm.nih.gov/pmc/blobs/8cc8/12213382/a40ec6960075/fimmu-16-1595319-g008.jpg
https://cdn.ncbi.nlm.nih.gov/pmc/blobs/8cc8/12213382/9e9965773811/fimmu-16-1595319-g009.jpg
https://cdn.ncbi.nlm.nih.gov/pmc/blobs/8cc8/12213382/46d30cee5edd/fimmu-16-1595319-g010.jpg
https://cdn.ncbi.nlm.nih.gov/pmc/blobs/8cc8/12213382/a55e16410023/fimmu-16-1595319-g011.jpg
https://cdn.ncbi.nlm.nih.gov/pmc/blobs/8cc8/12213382/e27bb7e7eedd/fimmu-16-1595319-g012.jpg
https://cdn.ncbi.nlm.nih.gov/pmc/blobs/8cc8/12213382/5614fdf8e7b7/fimmu-16-1595319-g013.jpg
https://cdn.ncbi.nlm.nih.gov/pmc/blobs/8cc8/12213382/e2a90bd58329/fimmu-16-1595319-g014.jpg
https://cdn.ncbi.nlm.nih.gov/pmc/blobs/8cc8/12213382/b60d5c1cb517/fimmu-16-1595319-g015.jpg

相似文献

1
Evaluating the immunogenicity of a mouse partial hindlimb for composite allotransplantation.评估小鼠部分后肢复合同种异体移植的免疫原性。
Front Immunol. 2025 Jun 18;16:1595319. doi: 10.3389/fimmu.2025.1595319. eCollection 2025.
2
IL-17A-producing γδ T cells and classical monocytes are associated with a rapid alloimmune response following vascularized composite allotransplantation in mice.产生白细胞介素-17A的γδ T细胞和经典单核细胞与小鼠血管化复合组织同种异体移植后的快速同种免疫反应相关。
Front Immunol. 2025 Jun 4;16:1584916. doi: 10.3389/fimmu.2025.1584916. eCollection 2025.
3
Hematopoietic cell-based and non-hematopoietic cell-based strategies for immune tolerance induction in living-donor renal transplantation: A systematic review.基于造血细胞和非造血细胞的活体供肾移植免疫耐受诱导策略:一项系统综述。
Transplant Rev (Orlando). 2023 Dec;37(4):100792. doi: 10.1016/j.trre.2023.100792. Epub 2023 Aug 19.
4
Clinical and cost-effectiveness of newer immunosuppressive regimens in renal transplantation: a systematic review and modelling study.肾移植中新型免疫抑制方案的临床疗效与成本效益:一项系统评价与模型研究
Health Technol Assess. 2005 May;9(21):1-179, iii-iv. doi: 10.3310/hta9210.
5
Does Augmenting Irradiated Autografts With Free Vascularized Fibula Graft in Patients With Bone Loss From a Malignant Tumor Achieve Union, Function, and Complication Rate Comparably to Patients Without Bone Loss and Augmentation When Reconstructing Intercalary Resections in the Lower Extremity?对于因恶性肿瘤导致骨缺损的患者,在重建下肢节段性切除时,采用带血管游离腓骨移植来增强照射后的自体骨移植,其骨愈合、功能及并发症发生率与无骨缺损且未进行增强的患者相比是否相当?
Clin Orthop Relat Res. 2025 Jun 26. doi: 10.1097/CORR.0000000000003599.
6
Depletion of donor dendritic cells ameliorates immunogenicity of both skin and hind limb transplants.捐献者树突状细胞耗竭可改善皮肤和后肢移植物的免疫原性。
Front Immunol. 2024 May 10;15:1395945. doi: 10.3389/fimmu.2024.1395945. eCollection 2024.
7
Challenges and opportunities in vascularized composite allotransplantation of joints: a systematic literature review.关节移植的血管化复合组织异体移植的挑战和机遇:系统文献回顾。
Front Immunol. 2023 May 19;14:1179195. doi: 10.3389/fimmu.2023.1179195. eCollection 2023.
8
Polyclonal and monoclonal antibodies for induction therapy in kidney transplant recipients.用于肾移植受者诱导治疗的多克隆抗体和单克隆抗体。
Cochrane Database Syst Rev. 2017 Jan 11;1(1):CD004759. doi: 10.1002/14651858.CD004759.pub2.
9
Polyclonal and monoclonal antibodies for treating acute rejection episodes in kidney transplant recipients.用于治疗肾移植受者急性排斥反应的多克隆抗体和单克隆抗体。
Cochrane Database Syst Rev. 2017 Jul 20;7(7):CD004756. doi: 10.1002/14651858.CD004756.pub4.
10
Steroid avoidance or withdrawal for kidney transplant recipients.肾移植受者的类固醇避免或停用
Cochrane Database Syst Rev. 2016 Aug 22;2016(8):CD005632. doi: 10.1002/14651858.CD005632.pub3.

本文引用的文献

1
TNFα and IFNγ cooperate for efficient pro- to anti-inflammatory transition of macrophages during muscle regeneration.TNFα 和 IFNγ 合作促进肌肉再生过程中巨噬细胞从促炎向抗炎的有效转化。
Proc Natl Acad Sci U S A. 2022 Nov;119(44):e2209976119. doi: 10.1073/pnas.2209976119. Epub 2022 Oct 24.
2
A Systematic Review of the Reported Complications Related to Facial and Upper Extremity Vascularized Composite Allotransplantation.面部和上肢血管化复合组织同种异体移植相关并发症的系统评价。
J Surg Res. 2023 Jan;281:164-175. doi: 10.1016/j.jss.2022.08.023. Epub 2022 Sep 24.
3
Tr1 Cells as a Key Regulator for Maintaining Immune Homeostasis in Transplantation.
Tr1 细胞作为移植中维持免疫内稳态的关键调节者。
Front Immunol. 2021 Apr 26;12:671579. doi: 10.3389/fimmu.2021.671579. eCollection 2021.
4
Establishment of Heterotopic Hind Limb Transplantation Model in the Mouse.建立小鼠异位后肢移植模型。
Transplant Proc. 2021 Jan-Feb;53(1):491-494. doi: 10.1016/j.transproceed.2020.10.039. Epub 2020 Dec 17.
5
In situ recruitment of regulatory T cells promotes donor-specific tolerance in vascularized composite allotransplantation.在血管化复合组织同种异体移植中,调节性 T 细胞的原位募集促进了供体特异性耐受。
Sci Adv. 2020 Mar 13;6(11):eaax8429. doi: 10.1126/sciadv.aax8429. eCollection 2020 Mar.
6
Applied Bioengineering in Tissue Reconstruction, Replacement, and Regeneration.应用生物工程在组织重建、替代和再生中的应用。
Tissue Eng Part B Rev. 2019 Aug;25(4):259-290. doi: 10.1089/ten.TEB.2018.0325.
7
B cells in chronic graft-versus-host disease.慢性移植物抗宿主病中的 B 细胞。
Hum Immunol. 2019 Jun;80(6):393-399. doi: 10.1016/j.humimm.2019.03.003. Epub 2019 Mar 5.
8
The role of B cell immunity in VCA graft rejection and acceptance.B 细胞免疫在 VCA 移植物排斥和接受中的作用。
Hum Immunol. 2019 Jun;80(6):385-392. doi: 10.1016/j.humimm.2019.03.002. Epub 2019 Mar 2.
9
The immunological anatomy of the skin.皮肤的免疫学解剖结构。
Nat Rev Immunol. 2019 Jan;19(1):19-30. doi: 10.1038/s41577-018-0084-5.
10
Vascularized composite allotransplantation: a field is maturing.血管化复合组织异体移植:一个正在成熟的领域。
Curr Opin Organ Transplant. 2018 Oct;23(5):559-560. doi: 10.1097/MOT.0000000000000574.