Suppr超能文献

成功:非体外循环冠状动脉搭桥术与活体肝移植的协同作用——两例报告

Success: the synergy of off-pump coronary artery bypass and living donor liver transplantation-a two-case report.

作者信息

Yazici Sinan Efe, Atasever Ahmet, Cetinarslan Ozge, Turan Ebru, Sagbas Ertan, Yuzer Yıldıray

机构信息

Department of General Surgery, Faculty of Medicine, Hacettepe University, Ankara, Türkiye.

Department of General Surgery, Faculty of Medicine, Demiroglu Bilim University, İstanbul, Türkiye.

出版信息

Front Surg. 2025 Jun 19;12:1587370. doi: 10.3389/fsurg.2025.1587370. eCollection 2025.

Abstract

BACKGROUND

End-stage liver disease (ESLD) patients frequently exhibit comorbid coronary artery disease (CAD), complicating liver transplantation (LT) due to increased perioperative cardiovascular risk. In patients for whom percutaneous coronary intervention (PCI) is not feasible, coronary artery bypass grafting (CABG) may be required prior to or during LT. Off-pump CABG (OPCAB) presents a promising strategy to minimize the hemodynamic and inflammatory burdens associated with cardiopulmonary bypass, especially in ESLD patients undergoing major surgery.

CASE PRESENTATIONS

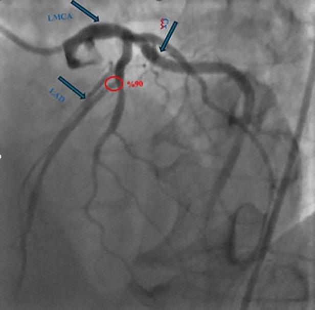
We present two male patients (aged 60 and 61) with ESLD and significant LAD stenosis who underwent simultaneous OPCAB and living donor liver transplantation (LDLT). The first case involved cryptogenic cirrhosis and recurrent variceal bleeding; the second had HBV/HDV-related cirrhosis and hepatocellular carcinoma. In both cases, OPCAB was performed using the left internal mammary artery (LIMA) graft on a beating heart. Subsequently, LDLT was carried out using standard piggy-back techniques. Portal pressure modulation via splenic artery ligation was performed in the first case due to elevated post-reperfusion portal flow. Anesthetic management emphasized hemodynamic monitoring and stability. Both patients were extubated on postoperative day one, discharged with triple immunosuppression, and followed for 6-12 months with preserved cardiac and graft function. A bile leak from the cystic duct anastomosis was encountered in one case.

CONCLUSION

Simultaneous OPCAB and LDLT is a feasible and safe approach in carefully selected ESLD patients with CAD when performed by experienced multidisciplinary teams. Avoiding PCI mitigates bleeding risks associated with dual antiplatelet therapy, while OPCAB circumvents the deleterious effects of cardiopulmonary bypass. This strategy may shorten transplant wait times and optimize both cardiac and hepatic outcomes in high-risk populations.

摘要

背景

终末期肝病(ESLD)患者常合并冠状动脉疾病(CAD),由于围手术期心血管风险增加,使肝移植(LT)变得复杂。对于无法进行经皮冠状动脉介入治疗(PCI)的患者,可能需要在LT之前或期间进行冠状动脉旁路移植术(CABG)。非体外循环冠状动脉旁路移植术(OPCAB)是一种很有前景的策略,可将与体外循环相关的血流动力学和炎症负担降至最低,尤其是在接受大手术的ESLD患者中。

病例介绍

我们报告了两名男性患者(年龄分别为60岁和61岁),患有ESLD且左前降支严重狭窄,他们同时接受了OPCAB和活体供肝肝移植(LDLT)。第一例患者为隐源性肝硬化并反复静脉曲张出血;第二例患有乙肝病毒/丁型肝炎病毒相关肝硬化和肝细胞癌。在这两例中,均在心脏跳动的情况下使用左乳内动脉(LIMA)移植物进行OPCAB。随后,采用标准背驮式技术进行LDLT。由于再灌注后门静脉血流升高,第一例患者通过脾动脉结扎进行门静脉压力调节。麻醉管理强调血流动力学监测和稳定性。两名患者均在术后第1天拔管,接受三联免疫抑制治疗出院,并随访6 - 12个月,心脏和移植物功能良好。其中一例出现胆囊管吻合口胆漏。

结论

对于经过精心挑选的合并CAD的ESLD患者,由经验丰富的多学科团队进行OPCAB和LDLT同步手术是一种可行且安全的方法。避免PCI可降低与双联抗血小板治疗相关的出血风险,而OPCAB可避免体外循环的有害影响。这种策略可能会缩短移植等待时间,并优化高危人群的心脏和肝脏结局。

https://cdn.ncbi.nlm.nih.gov/pmc/blobs/5dae/12222130/d4a86fa17b81/fsurg-12-1587370-g001.jpg

文献AI研究员

20分钟写一篇综述,助力文献阅读效率提升50倍。

立即体验

用中文搜PubMed

大模型驱动的PubMed中文搜索引擎

马上搜索

文档翻译

学术文献翻译模型,支持多种主流文档格式。

立即体验