Suppr超能文献

白术多糖对乙酰氨基酚诱导的肝损伤的保护作用。

Protective effects of Atractylodes macrocephala polysaccharides on acetaminophen-induced liver injury.

作者信息

Wu Jiali, Jia Biao, Gong Shuai, Li Yangpeng, Wang Jiaqi, Huang Yuqiao, Guo Jiao

机构信息

Guangdong Metabolic Diseases Research Center of Integrated Chinese and Western Medicine, Key Laboratory of Glucolipid Metabolic Disorder, Ministry of Education, Guangdong TCM Key Laboratory for Metabolic Diseases, Guangzhou Higher Education Mega Center, Institute of Chinese Medicine, Guangdong Pharmaceutical University, Guangzhou, China.

出版信息

Front Pharmacol. 2025 Jun 19;16:1583334. doi: 10.3389/fphar.2025.1583334. eCollection 2025.

Abstract

BACKGROUND

Drug-induced liver injury (DILI) is a major clinical concern due to its unpredictable nature and lack of effective therapeutic options.

METHODS

This study investigated the hepatoprotective effects of Atractylodes macrocephala polysaccharides (AMPs) in a mouse model of acetaminophen (APAP)-induced liver injury. Mice were pretreated with AMPs for 7 days prior to APAP challenge, and liver injury was evaluated through histopathology, serum biochemistry, molecular assays, and gut microbiota analysis.

RESULTS

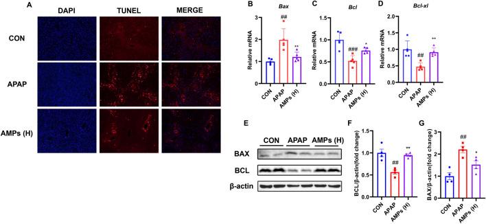
AMPs treatment significantly reduced serum alanine aminotransferase (ALT) and aspartate aminotransferase (AST) levels compared to the APAP group ( < 0.05). Hepatic oxidative stress was alleviated, as indicated by increased levels of glutathione (GSH, < 0.05) and superoxide dismutase (SOD, < 0.05), and reduced malondialdehyde (MDA, < 0.05). AMPs also suppressed inflammatory cytokines, including , , , and ( < 0.05), and modulated apoptosis-related proteins by downregulating and upregulating and expression ( < 0.05). Furthermore, AMPs improved gut microbiota diversity and enriched beneficial genera such as , as revealed by 16S rDNA sequencing. Fecal microbiota transplantation from AMPs-treated mice replicated these hepatoprotective effects, highlighting the involvement of the gut-liver axis.

CONCLUSION

These findings support the therapeutic potential of AMPs as a multifaceted agent for DILI, exerting protective effects through modulation of oxidative stress, inflammation, apoptosis, and intestinal dysbiosis.

摘要

背景

药物性肝损伤(DILI)因其不可预测性和缺乏有效的治疗选择而成为主要的临床关注点。

方法

本研究在对乙酰氨基酚(APAP)诱导的肝损伤小鼠模型中研究了白术多糖(AMPs)的肝保护作用。在APAP攻击前7天用AMPs预处理小鼠,并通过组织病理学、血清生物化学、分子分析和肠道微生物群分析评估肝损伤。

结果

与APAP组相比,AMPs治疗显著降低了血清丙氨酸氨基转移酶(ALT)和天冬氨酸氨基转移酶(AST)水平(P<0.05)。谷胱甘肽(GSH,P<0.05)和超氧化物歧化酶(SOD,P<0.05)水平升高,丙二醛(MDA,P<0.05)降低,表明肝脏氧化应激得到缓解。AMPs还抑制了包括白细胞介素(IL)-1β、IL-6、肿瘤坏死因子(TNF)-α和干扰素(IFN)-γ在内的炎性细胞因子(P<0.05),并通过下调Bax和上调Bcl-2及Bcl-xL表达来调节凋亡相关蛋白(P<0.05)。此外,16S rDNA测序显示,AMPs改善了肠道微生物群多样性并富集了有益菌属,如双歧杆菌属。来自AMPs处理小鼠的粪便微生物群移植重现了这些肝保护作用,突出了肠-肝轴的参与。

结论

这些发现支持了AMPs作为一种多方面治疗DILI的药物的治疗潜力,通过调节氧化应激、炎症、凋亡和肠道生态失调发挥保护作用。

https://cdn.ncbi.nlm.nih.gov/pmc/blobs/f336/12223321/d6019776ed9e/fphar-16-1583334-g001.jpg

文献AI研究员

20分钟写一篇综述,助力文献阅读效率提升50倍。

立即体验

用中文搜PubMed

大模型驱动的PubMed中文搜索引擎

马上搜索

文档翻译

学术文献翻译模型,支持多种主流文档格式。

立即体验