Suppr超能文献

巨大阴囊淋巴水肿的外科治疗:坦桑尼亚北部一家三级医疗机构的病例报告

Surgical management of the giant scrotal lymphedema: A case report at a tertiary facility in northern Tanzania.

作者信息

Lema Donald Dominick, Ngowi Bartholomeo Nicholaus, Mbwambo Orgeness Jasper, Bright Frank, Mwakibibi Daniel, Mremi Alex

机构信息

Faculty of Medicine, KCMC University, P.O. Box 2240, Moshi, Tanzania; Department of Urology, Kilimanjaro Christian Medical Centre, P.O. Box 3010, Moshi, Tanzania.

Faculty of Medicine, KCMC University, P.O. Box 2240, Moshi, Tanzania; Department of Urology, Kilimanjaro Christian Medical Centre, P.O. Box 3010, Moshi, Tanzania.

出版信息

Int J Surg Case Rep. 2025 Aug;133:111622. doi: 10.1016/j.ijscr.2025.111622. Epub 2025 Jul 5.

Abstract

INTRODUCTION

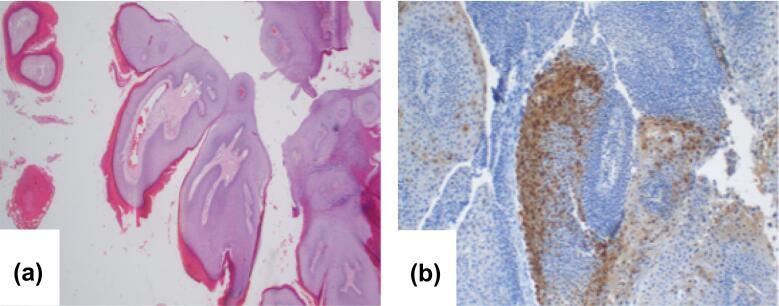
Scrotal lymphedema is a chronic lymphatic disorder characterised by swelling of the scrotum due to lymphatic obstruction, often caused by filarial infection, malignancy, or inguinal surgery. This condition can lead to fibrosis, functional impairment, and recurrent infections. Treatment mainly involves surgical intervention. The presence of pan-urethral warts, as seen in this rare case, complicates management.

CASE PRESENTATION

A 38-year-old Maasai man presented with chronic, massive penoscrotal lymphedema following childhood bilateral inguinal surgery. He developed a secondary infection, requiring surgical debridement and definitive scrotoplasty. Histology confirmed scrotal lymphedema without malignancy. Subsequently, excision of elephantoid skin and genital reconstruction was done and later on, the genital warts were excised and 5 % imiquimod cream was applied to clear the lesions. Postoperative recovery was uneventful, with good functional and cosmetic outcomes maintained at the six-month follow-up.

CLINICAL DISCUSSION

Genital lymphedema rarely occurs together with genital warts but may do so due to local immune impairment in lymphedematous skin. Diagnosis is primarily clinical, with histological confirmation of the findings. Management involves surgical excision. Delayed presentation for these patients extends the treatment and recovery period.

CONCLUSION

Scrotal lymphedema is characterised by an enlargement of the scrotum due to lymphatic obstruction, often linked to filariasis or surgery. It rarely occurs with genital warts, suggesting local immune compromise in such cases and requiring a combined approach of surgical and medical management.

摘要

引言

阴囊淋巴水肿是一种慢性淋巴系统疾病,其特征为由于淋巴阻塞导致阴囊肿胀,通常由丝虫感染、恶性肿瘤或腹股沟手术引起。这种情况可导致纤维化、功能障碍和反复感染。治疗主要涉及手术干预。如本罕见病例所见,全尿道湿疣的存在使治疗变得复杂。

病例介绍

一名38岁的马赛族男性,童年期双侧腹股沟手术后出现慢性、重度阴茎阴囊淋巴水肿。他发生了继发性感染,需要手术清创和确定性阴囊成形术。组织学检查证实为阴囊淋巴水肿,无恶性肿瘤。随后,切除象皮样皮肤并进行生殖器重建,之后切除生殖器湿疣并应用5%咪喹莫特乳膏清除病灶。术后恢复顺利,六个月随访时功能和外观效果良好。

临床讨论

生殖器淋巴水肿很少与生殖器湿疣同时出现,但可能由于淋巴水肿皮肤的局部免疫受损而发生。诊断主要依靠临床,组织学检查可证实诊断结果。治疗包括手术切除。这些患者就诊延迟会延长治疗和恢复期。

结论

阴囊淋巴水肿的特征是由于淋巴阻塞导致阴囊增大,通常与丝虫病或手术有关。它很少与生殖器湿疣同时出现,提示此类病例存在局部免疫功能受损,需要手术和药物联合治疗。

https://cdn.ncbi.nlm.nih.gov/pmc/blobs/068a/12272600/a1ea56e0e260/gr1.jpg

文献AI研究员

20分钟写一篇综述,助力文献阅读效率提升50倍。

立即体验

用中文搜PubMed

大模型驱动的PubMed中文搜索引擎

马上搜索

文档翻译

学术文献翻译模型,支持多种主流文档格式。

立即体验