Suppr超能文献

肺动脉内膜肉瘤酷似复发性肺动脉栓塞。

Pulmonary Artery Intimal Sarcoma Mimics Recurrent Pulmonary Artery Embolism.

作者信息

Ioakeimidou Styliani, Stephan Frank-Peter, Pluess Emanuel, Seeman Marcus, Srivastava David

机构信息

Department of Internal Medicine, Buergerspital Solothurn, Solothum, Switzerland.

Department of Internal Medicine, University Hospital of Zurich, Zurich, Switzerland.

出版信息

Eur J Case Rep Intern Med. 2025 Jun 3;12(7):005150. doi: 10.12890/2025_005150. eCollection 2025.

Abstract

UNLABELLED

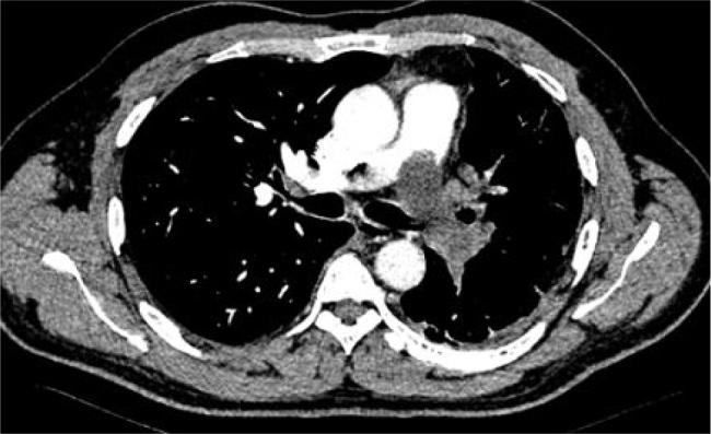
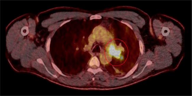
Deep vein thrombosis and pulmonary embolism (PE) are the third most common cardiovascular condition. Pulmonary artery intimal sarcoma (PAIS) is a rare tumour and is often misdiagnosed as a PE. This case report presents a 50-year-old man with fever, dyspnoea, cough and thoracic pain since a month. The patient had a history of two PE episodes. After diagnostic screening for tumour, including laboratory parameters, transthoracic echocardiography, computed tomography scan and positron emission tomography-computed tomography scan, PAIS was diagnosed. Unexplained recurrent PE should raise suspicion of a tumour or PAIS.

LEARNING POINTS

Recurrent pulmonary embolism should raise suspicion for tumours.Imaging and histopathology play a crucial role in diagnosis of pulmonary artery intimal sarcoma.Surgical resection as the primary treatment for pulmonary artery intimal sarcoma.

摘要

未标注

深静脉血栓形成和肺栓塞(PE)是第三常见的心血管疾病。肺动脉内膜肉瘤(PAIS)是一种罕见肿瘤,常被误诊为PE。本病例报告介绍了一名50岁男性,自一个月以来出现发热、呼吸困难、咳嗽和胸痛。该患者有两次PE发作史。经过包括实验室参数、经胸超声心动图、计算机断层扫描和正电子发射断层扫描-计算机断层扫描在内的肿瘤诊断筛查后,诊断为PAIS。不明原因的复发性PE应引起对肿瘤或PAIS的怀疑。

学习要点

复发性肺栓塞应引起对肿瘤的怀疑。影像学和组织病理学在肺动脉内膜肉瘤的诊断中起关键作用。手术切除是肺动脉内膜肉瘤的主要治疗方法。

https://cdn.ncbi.nlm.nih.gov/pmc/blobs/fb99/12236683/94b5279f8693/5150_Fig1.jpg

文献AI研究员

20分钟写一篇综述,助力文献阅读效率提升50倍。

立即体验

用中文搜PubMed

大模型驱动的PubMed中文搜索引擎

马上搜索

文档翻译

学术文献翻译模型,支持多种主流文档格式。

立即体验