Suppr超能文献

继发于胆囊动脉假性动脉瘤的穿孔性胃溃疡伴消化道出血

Perforated Gastric Ulcer With GI Bleeding Secondary to Cystic Artery Pseudoaneurysm.

作者信息

Tanwar Akhil, Singh Surbhi, Hubert Jennifer, Patel Dhrumil

机构信息

Thomas Jefferson University Hospital, Philadelphia, Pennsylvania, USA.

出版信息

Case Rep Radiol. 2025 Jul 3;2025:2255883. doi: 10.1155/crra/2255883. eCollection 2025.

Abstract

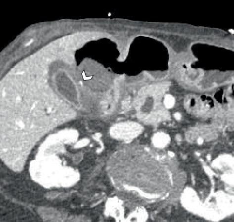
This case study presents an 87-year-old female patient with a history of chronic abdominal pain and NSAID use who was admitted with symptoms of hematemesis and melena, indicative of upper gastrointestinal bleeding. Upon examination, she was found to be hemodynamically stable but exhibited signs of moderate protein-calorie malnutrition. Imaging studies, including a multiphasic CT angiogram, revealed a contained rupture in the distal stomach, and a cystic artery pseudoaneurysm measuring 4.2 mm. Despite the presence of a perforated ulcer, there was no significant pneumoperitoneum or hemoperitoneum, leading to a diagnosis of contained perforation. The management plan included conservative treatment with IV antibiotics, proton pump inhibitors, and monitoring of hemodynamic status. On the third day of admission, the decision was made to embolize the cystic artery, as the risk of gallbladder ischemia was deemed low. This case underscores the critical need for prompt diagnosis and intervention in patients presenting with upper GI bleeding, particularly in the elderly, where the mortality rate can be significantly high. The findings emphasize the importance of imaging in localizing the source of bleeding and guiding appropriate management strategies.

摘要

本病例研究介绍了一位87岁的女性患者,有慢性腹痛病史且使用过非甾体抗炎药,因呕血和黑便症状入院,提示上消化道出血。检查发现,她血流动力学稳定,但有中度蛋白质 - 热量营养不良的体征。影像学检查,包括多期CT血管造影,显示胃远端有一处局限性破裂,以及一个4.2毫米的胆囊动脉假性动脉瘤。尽管存在穿孔性溃疡,但没有明显的气腹或血腹,诊断为局限性穿孔。治疗方案包括静脉使用抗生素、质子泵抑制剂进行保守治疗,并监测血流动力学状态。入院第三天,由于胆囊缺血风险被认为较低,决定对胆囊动脉进行栓塞。本病例强调了对上消化道出血患者,尤其是老年人,进行及时诊断和干预的迫切需求,因为老年人的死亡率可能显著较高。研究结果强调了影像学在确定出血源和指导适当治疗策略方面的重要性。

https://cdn.ncbi.nlm.nih.gov/pmc/blobs/660b/12245491/9225129467d3/CRIRA2025-2255883.001.jpg

相似文献

1
Perforated Gastric Ulcer With GI Bleeding Secondary to Cystic Artery Pseudoaneurysm.
Case Rep Radiol. 2025 Jul 3;2025:2255883. doi: 10.1155/crra/2255883. eCollection 2025.
2
Interventions for preventing upper gastrointestinal bleeding in people admitted to intensive care units.
Cochrane Database Syst Rev. 2018 Jun 4;6(6):CD008687. doi: 10.1002/14651858.CD008687.pub2.
3
Proton pump inhibitors for the prevention of non-steroidal anti-inflammatory drug-induced ulcers and dyspepsia.
Cochrane Database Syst Rev. 2025 May 8;5(5):CD014585. doi: 10.1002/14651858.CD014585.pub2.
6
Signs and symptoms to determine if a patient presenting in primary care or hospital outpatient settings has COVID-19.
Cochrane Database Syst Rev. 2022 May 20;5(5):CD013665. doi: 10.1002/14651858.CD013665.pub3.
7
Inhaled mannitol for cystic fibrosis.
Cochrane Database Syst Rev. 2015 Oct 9(10):CD008649. doi: 10.1002/14651858.CD008649.pub2.
9
Immediate versus delayed versus no antibiotics for respiratory infections.
Cochrane Database Syst Rev. 2023 Oct 4;10(10):CD004417. doi: 10.1002/14651858.CD004417.pub6.

本文引用的文献

1
Cystic artery pseudoaneurysm.
Radiol Case Rep. 2024 Jan 16;19(4):1413-1418. doi: 10.1016/j.radcr.2023.12.058. eCollection 2024 Apr.
2
Transcatheter arterial embolization of cystic artery bleeding.
Front Surg. 2023 Apr 11;10:1160149. doi: 10.3389/fsurg.2023.1160149. eCollection 2023.
3
Cystic Artery Pseudoaneurysm: Current Review of Aetiology, Presentation, and Management.
Surg Res Pract. 2021 Nov 24;2021:4492206. doi: 10.1155/2021/4492206. eCollection 2021.
4
Correlation of gastrointestinal perforation location and amount of free air and ascites on CT imaging.
Abdom Radiol (NY). 2021 Oct;46(10):4536-4547. doi: 10.1007/s00261-021-03128-2. Epub 2021 Jun 10.
5
An Overview of Gastroduodenal Perforation.
Front Surg. 2020 Nov 9;7:573901. doi: 10.3389/fsurg.2020.573901. eCollection 2020.
6
Discharge hemoglobin and outcome in patients with acute nonvariceal upper gastrointestinal bleeding.
Endosc Int Open. 2016 Aug;4(8):E865-9. doi: 10.1055/s-0042-110176. Epub 2016 Jul 21.
7
Etiopathogenetic principles and peptic ulcer disease classification.
Dig Dis. 2011;29(5):454-8. doi: 10.1159/000331520. Epub 2011 Nov 16.

文献AI研究员

20分钟写一篇综述,助力文献阅读效率提升50倍。

立即体验

用中文搜PubMed

大模型驱动的PubMed中文搜索引擎

马上搜索

文档翻译

学术文献翻译模型,支持多种主流文档格式。

立即体验