• 文献检索
  • 文档翻译
  • 深度研究
  • 学术资讯
  • Suppr Zotero 插件Zotero 插件
  • 邀请有礼
  • 套餐&价格
  • 历史记录
应用&插件
Suppr Zotero 插件Zotero 插件浏览器插件Mac 客户端Windows 客户端微信小程序
定价
高级版会员购买积分包购买API积分包
服务
文献检索文档翻译深度研究API 文档MCP 服务
关于我们
关于 Suppr公司介绍联系我们用户协议隐私条款
关注我们

Suppr 超能文献

核心技术专利:CN118964589B侵权必究
粤ICP备2023148730 号-1Suppr @ 2026

文献检索

告别复杂PubMed语法,用中文像聊天一样搜索,搜遍4000万医学文献。AI智能推荐,让科研检索更轻松。

立即免费搜索

文件翻译

保留排版,准确专业,支持PDF/Word/PPT等文件格式,支持 12+语言互译。

免费翻译文档

深度研究

AI帮你快速写综述,25分钟生成高质量综述,智能提取关键信息,辅助科研写作。

立即免费体验

GAD65抗体边缘性脑炎的九年随访:尽管影像学和血清学持续异常,但临床已缓解

Nine-Year Follow-Up of GAD65 Antibody Limbic Encephalitis With Clinical Remission Despite Persistent Imaging and Serological Abnormalities.

作者信息

Aung Thanda, Plotkin Benjamin E

机构信息

Rheumatology, David Geffen School of Medicine at University of California Los Angeles, Los Angeles, USA.

Radiology, David Geffen School of Medicine at University of California Los Angeles, Los Angeles, USA.

出版信息

Cureus. 2025 Jun 10;17(6):e85726. doi: 10.7759/cureus.85726. eCollection 2025 Jun.

DOI:10.7759/cureus.85726
PMID:40642695
原文链接:https://pmc.ncbi.nlm.nih.gov/articles/PMC12245210/
Abstract

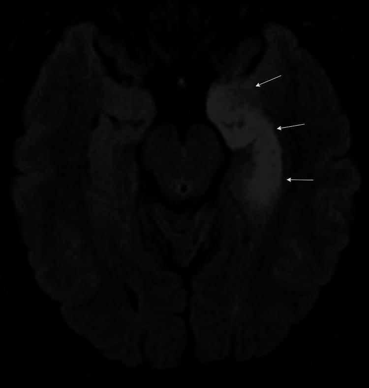
Glutamic acid decarboxylase 65 (GAD65) antibody-associated autoimmune encephalitis is a rare neurological disorder characterized by cognitive impairment, seizures, and psychiatric manifestations. Long-term outcomes and management strategies for this condition remain poorly documented in the medical literature. We present a nine-year follow-up of a young woman with GAD65 antibody-positive autoimmune limbic encephalitis who achieved complete clinical remission following aggressive immunomodulatory therapy. The patient, initially treated with rituximab, intravenous immunoglobulin (IVIG), and mycophenolate, successfully discontinued all immunosuppressive medications except hydroxychloroquine. She remains clinically asymptomatic with no recurrence of olfactory hallucinations or other neurological deficits, despite persistently elevated serum GAD65 antibody levels and persistent signal abnormalities on brain imaging. This case highlights the potential for favorable long-term outcomes in GAD65 antibody-associated encephalitis with appropriate immunotherapy and provides insights into maintenance therapy and medication withdrawal strategies for patients planning pregnancy.

摘要

谷氨酸脱羧酶65(GAD65)抗体相关的自身免疫性脑炎是一种罕见的神经系统疾病,其特征为认知障碍、癫痫发作和精神症状。关于这种疾病的长期预后和管理策略在医学文献中仍记载不足。我们报告了一名患有GAD65抗体阳性自身免疫性边缘叶脑炎的年轻女性的九年随访情况,该患者在积极的免疫调节治疗后实现了完全临床缓解。该患者最初接受了利妥昔单抗、静脉注射免疫球蛋白(IVIG)和霉酚酸酯治疗,除羟氯喹外成功停用了所有免疫抑制药物。尽管血清GAD65抗体水平持续升高且脑成像显示持续的信号异常,但她仍无临床症状,嗅觉幻觉或其他神经功能缺损也未复发。该病例突出了通过适当免疫治疗,GAD65抗体相关脑炎获得良好长期预后的可能性,并为计划怀孕的患者的维持治疗和停药策略提供了见解。

https://cdn.ncbi.nlm.nih.gov/pmc/blobs/8c0d/12245210/2c6dfd794c86/cureus-0017-00000085726-i03.jpg
https://cdn.ncbi.nlm.nih.gov/pmc/blobs/8c0d/12245210/48975f3c9477/cureus-0017-00000085726-i01.jpg
https://cdn.ncbi.nlm.nih.gov/pmc/blobs/8c0d/12245210/9faabbd57697/cureus-0017-00000085726-i02.jpg
https://cdn.ncbi.nlm.nih.gov/pmc/blobs/8c0d/12245210/2c6dfd794c86/cureus-0017-00000085726-i03.jpg
https://cdn.ncbi.nlm.nih.gov/pmc/blobs/8c0d/12245210/48975f3c9477/cureus-0017-00000085726-i01.jpg
https://cdn.ncbi.nlm.nih.gov/pmc/blobs/8c0d/12245210/9faabbd57697/cureus-0017-00000085726-i02.jpg
https://cdn.ncbi.nlm.nih.gov/pmc/blobs/8c0d/12245210/2c6dfd794c86/cureus-0017-00000085726-i03.jpg

相似文献

1
Nine-Year Follow-Up of GAD65 Antibody Limbic Encephalitis With Clinical Remission Despite Persistent Imaging and Serological Abnormalities.GAD65抗体边缘性脑炎的九年随访:尽管影像学和血清学持续异常,但临床已缓解
Cureus. 2025 Jun 10;17(6):e85726. doi: 10.7759/cureus.85726. eCollection 2025 Jun.
2
New-onset drug-resistant epilepsy in type 1 diabetes mellitus patient following COVID-19 vaccination: suspicious for autoimmune pathogenesis.1型糖尿病患者在接种新冠疫苗后出现新发耐药性癫痫:怀疑自身免疫发病机制。
BMC Neurol. 2025 Jun 19;25(1):251. doi: 10.1186/s12883-025-04126-3.
3
A case report of anti-GAD65 antibody-positive autoimmune encephalitis in children associated with autoimmune polyendocrine syndrome type-II and literature review.儿童抗谷氨酸脱羧酶 65 抗体阳性自身免疫性脑炎合并 II 型自身免疫性多内分泌腺综合征一例报告并文献复习
Front Immunol. 2023 Nov 22;14:1274672. doi: 10.3389/fimmu.2023.1274672. eCollection 2023.
4
Intravenous immunoglobulin for the treatment of childhood encephalitis.静脉注射免疫球蛋白治疗儿童脑炎。
Cochrane Database Syst Rev. 2017 Oct 2;10(10):CD011367. doi: 10.1002/14651858.CD011367.pub2.
5
Immunomodulatory treatment other than corticosteroids, immunoglobulin and plasma exchange for chronic inflammatory demyelinating polyradiculoneuropathy.除皮质类固醇、免疫球蛋白和血浆置换外,用于慢性炎性脱髓鞘性多发性神经根神经病的免疫调节治疗
Cochrane Database Syst Rev. 2017 May 8;5(5):CD003280. doi: 10.1002/14651858.CD003280.pub5.
6
Clinical and cost-effectiveness of newer immunosuppressive regimens in renal transplantation: a systematic review and modelling study.肾移植中新型免疫抑制方案的临床疗效与成本效益:一项系统评价与模型研究
Health Technol Assess. 2005 May;9(21):1-179, iii-iv. doi: 10.3310/hta9210.
7
Interventions for idiopathic steroid-resistant nephrotic syndrome in children.儿童特发性类固醇抵抗性肾病综合征的干预措施。
Cochrane Database Syst Rev. 2025 May 8;5(5):CD003594. doi: 10.1002/14651858.CD003594.pub7.
8
Immunosuppressive treatment for proliferative lupus nephritis.增殖性狼疮性肾炎的免疫抑制治疗
Cochrane Database Syst Rev. 2018 Jun 29;6(6):CD002922. doi: 10.1002/14651858.CD002922.pub4.
9
Diagnostic Significance of Paraneoplastic Neuronal Antibodies in Japanese Adults with Autoimmune Encephalitis: A Case Series Study in an Adult Epilepsy Clinic.副肿瘤性神经元抗体在日本自身免疫性脑炎成人患者中的诊断意义:成人癫痫诊所的病例系列研究
Clin Pharmacol. 2025 Jun 30;17:155-166. doi: 10.2147/CPAA.S514609. eCollection 2025.
10
A systematic review and economic model of the clinical and cost-effectiveness of immunosuppressive therapy for renal transplantation in children.儿童肾移植免疫抑制治疗的临床及成本效益的系统评价与经济学模型
Health Technol Assess. 2006 Dec;10(49):iii-iv, ix-xi, 1-157. doi: 10.3310/hta10490.

本文引用的文献

1
Meningoencephalitis associated with GAD65 autoimmunity.伴谷氨酸脱羧酶 65 自身免疫性脑炎的脑膜脑炎。
Front Immunol. 2023 Mar 9;14:1120894. doi: 10.3389/fimmu.2023.1120894. eCollection 2023.
2
Glutamic acid decarboxylase antibody-associated neurological syndromes: Clinical and antibody characteristics and therapy response.谷氨酸脱羧酶抗体相关神经综合征:临床、抗体特征及治疗反应
J Neurol Sci. 2023 Feb 15;445:120540. doi: 10.1016/j.jns.2022.120540. Epub 2022 Dec 29.
3
Neurological disorders associated with glutamic acid decarboxylase 65 antibodies: Clinical spectrum and prognosis of a cohort from China.
与谷氨酸脱羧酶65抗体相关的神经系统疾病:来自中国的队列研究的临床谱和预后
Front Neurol. 2022 Oct 5;13:990553. doi: 10.3389/fneur.2022.990553. eCollection 2022.
4
Psychiatric symptoms in anti glutamic acid decarboxylase associated limbic encephalitis in adults: a systematic review.成人抗谷氨酸脱羧酶相关边缘叶脑炎的精神症状:一项系统综述
Neurosci Biobehav Rev. 2020 Dec;119:128-137. doi: 10.1016/j.neubiorev.2020.08.015. Epub 2020 Oct 3.
5
Hydroxychloroquine in rheumatic autoimmune disorders and beyond.羟氯喹在风湿免疫性疾病及其他疾病中的应用
EMBO Mol Med. 2020 Aug 7;12(8):e12476. doi: 10.15252/emmm.202012476. Epub 2020 Jul 26.
6
Clinical characteristics of GAD 65-associated autoimmune encephalitis.GAD65 相关性自身免疫性脑炎的临床特征。
Acta Neurol Scand. 2020 Sep;142(3):281-293. doi: 10.1111/ane.13281. Epub 2020 Jun 15.
7
Intravenous methylprednisolone or immunoglobulin for anti-glutamic acid decarboxylase 65 antibody autoimmune encephalitis: which is better?静脉注射甲基强的松龙或免疫球蛋白治疗抗谷氨酸脱羧酶 65 抗体自身免疫性脑炎:哪种方法更好?
BMC Neurosci. 2020 Mar 30;21(1):13. doi: 10.1186/s12868-020-00561-9.
8
2020 American College of Rheumatology Guideline for the Management of Reproductive Health in Rheumatic and Musculoskeletal Diseases.2020 年美国风湿病学会风湿病和肌肉骨骼疾病生殖健康管理指南。
Arthritis Rheumatol. 2020 Apr;72(4):529-556. doi: 10.1002/art.41191. Epub 2020 Feb 23.
9
Predictive value of high titer of GAD65 antibodies in a case of limbic encephalitis.抗谷氨酸脱羧酶 65 抗体高滴度在边缘性脑炎病例中的预测价值。
J Neuroimmunol. 2019 Dec 15;337:577063. doi: 10.1016/j.jneuroim.2019.577063. Epub 2019 Sep 10.
10
The neurological syndromes associated with glutamic acid decarboxylase antibodies.与谷氨酸脱羧酶抗体相关的神经综合征。
J Autoimmun. 2019 Jul;101:35-47. doi: 10.1016/j.jaut.2019.04.007. Epub 2019 Apr 15.