Suppr超能文献

前房内注射标准剂量头孢呋辛后诱发的中毒性黄斑病变:一例报告

Cefuroxime-Induced Toxic Maculopathy after Intracameral Injection of Standard Dose: A Case Report.

作者信息

Pantelidou Maria E, Bebis Stylianos, Pantelidis Elias P, Rotsos Tryfon

机构信息

Ophthalmology Department, James Paget University Hospital, Great Yarmouth, UK.

Ophthalmology Department, The Athenian Clinic, Athens, Greece.

出版信息

Case Rep Ophthalmol. 2025 Jan 28;16(1):171-181. doi: 10.1159/000543837. eCollection 2025 Jan-Dec.

Abstract

INTRODUCTION

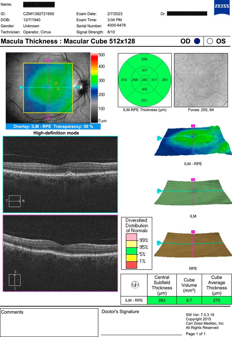
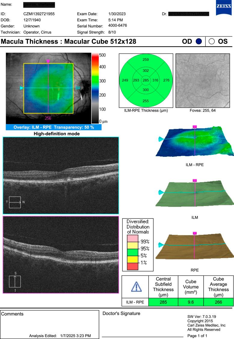
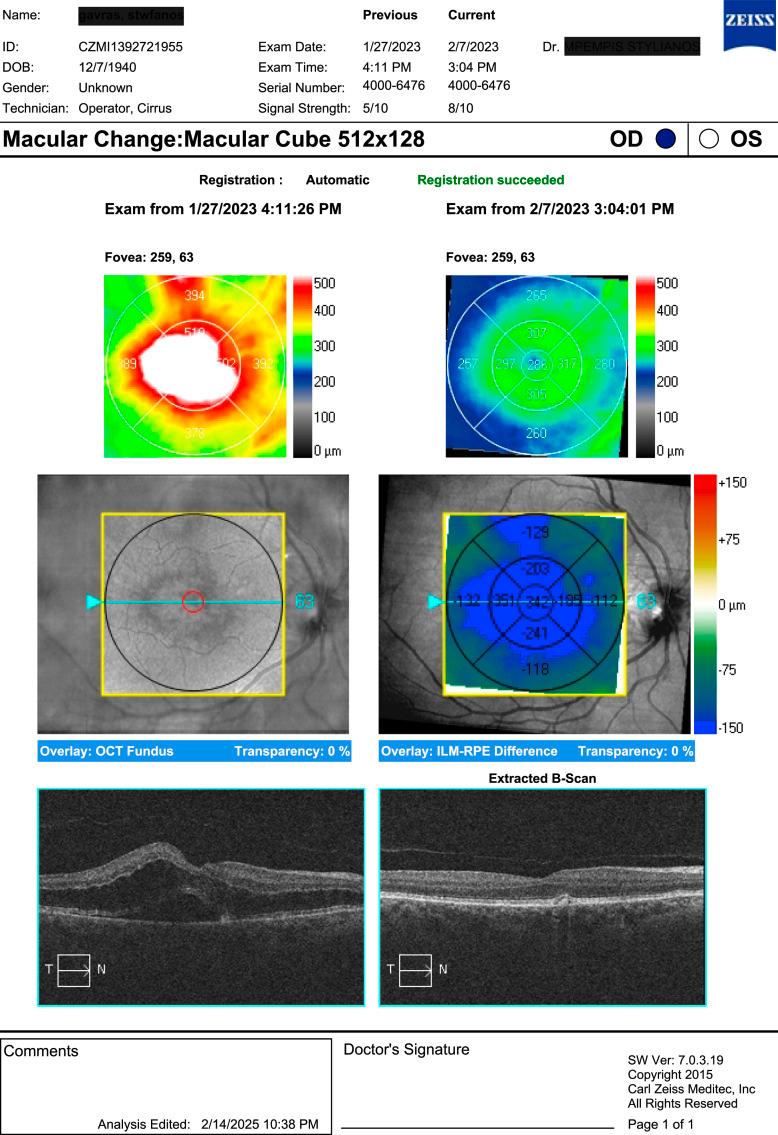
Cefuroxime-induced toxic maculopathy can occur when an incorrect or correct dilution is injected intracamerally during cataract surgery.

CASE REPORT

An 83-year-old male developed toxic maculopathy on the first postoperative day after uneventful cataract surgery. An investigation of the case confirmed that the patient developed sporadic toxic maculopathy after a standard intracameral cefuroxime dose. The patient showed complete recovery of vision during the first postoperative week.

CONCLUSION

Cefuroxime-induced toxic maculopathy may occur sporadically and have a good visual outcome. It may be distinguished from toxic maculopathy induced by incorrect dilution based on its different clinical appearance and, in some cases, the guarded outcome. Correct dilution of cefuroxime is of utmost importance.

摘要

引言

在白内障手术期间,当不正确或正确稀释的头孢呋辛经前房内注射时,可发生头孢呋辛诱导的中毒性黄斑病变。

病例报告

一名83岁男性在白内障手术顺利完成后的术后第一天发生中毒性黄斑病变。对该病例的调查证实,患者在接受标准剂量的前房内头孢呋辛后发生散发性中毒性黄斑病变。患者在术后第一周视力完全恢复。

结论

头孢呋辛诱导的中毒性黄斑病变可能散发性发生,且视力预后良好。根据其不同的临床表现,在某些情况下根据预后情况,它可能与因不正确稀释引起的中毒性黄斑病变相鉴别。正确稀释头孢呋辛至关重要。

https://cdn.ncbi.nlm.nih.gov/pmc/blobs/13ef/12245152/6bb4db56d29d/cop-2025-0016-0001-543837_F01.jpg

文献检索

告别复杂PubMed语法,用中文像聊天一样搜索,搜遍4000万医学文献。AI智能推荐,让科研检索更轻松。

立即免费搜索

文件翻译

保留排版,准确专业,支持PDF/Word/PPT等文件格式,支持 12+语言互译。

免费翻译文档

深度研究

AI帮你快速写综述,25分钟生成高质量综述,智能提取关键信息,辅助科研写作。

立即免费体验