• 文献检索
  • 文档翻译
  • 深度研究
  • 学术资讯
  • Suppr Zotero 插件Zotero 插件
  • 邀请有礼
  • 套餐&价格
  • 历史记录
应用&插件
Suppr Zotero 插件Zotero 插件浏览器插件Mac 客户端Windows 客户端微信小程序
定价
高级版会员购买积分包购买API积分包
服务
文献检索文档翻译深度研究API 文档MCP 服务
关于我们
关于 Suppr公司介绍联系我们用户协议隐私条款
关注我们

Suppr 超能文献

核心技术专利:CN118964589B侵权必究
粤ICP备2023148730 号-1Suppr @ 2026

文献检索

告别复杂PubMed语法,用中文像聊天一样搜索,搜遍4000万医学文献。AI智能推荐,让科研检索更轻松。

立即免费搜索

文件翻译

保留排版,准确专业,支持PDF/Word/PPT等文件格式,支持 12+语言互译。

免费翻译文档

深度研究

AI帮你快速写综述,25分钟生成高质量综述,智能提取关键信息,辅助科研写作。

立即免费体验

硬化蛋白的激活抑制了Isg20介导的有氧糖酵解,改善肾纤维化:常春藤皂苷元在慢性肾脏病中的肾脏保护机制。

Activation of sclerostin inhibits Isg20-Mediated aerobic glycolysis ameliorating renal Fibrosis: the renoprotective mechanism of hederagenin in CKD.

作者信息

Han Rang-Yue, Tan Rui-Zhi, Xu Ling-Hui, Lin Jing-Yi, Li Tong, Su Hong-Wei, Li Ping, Liu Peng, Lan Hui-Yao, Wang Li

机构信息

Research Center of Integrated Traditional Chinese and Western Medicine, The Affiliated Traditional Chinese Medicine Hospital, Southwest Medical University, Luzhou, 646000, China.

Research Center of Integrated Traditional Chinese and Western Medicine, The Affiliated Traditional Chinese Medicine Hospital, Southwest Medical University, Luzhou, 646000, China; Institute of Integrated Chinese and Western Medicine, Southwest Medical University, Luzhou, 646000, China.

出版信息

Redox Biol. 2025 Jul 8;85:103762. doi: 10.1016/j.redox.2025.103762.

DOI:10.1016/j.redox.2025.103762
PMID:40644925
原文链接:https://pmc.ncbi.nlm.nih.gov/articles/PMC12275953/
Abstract

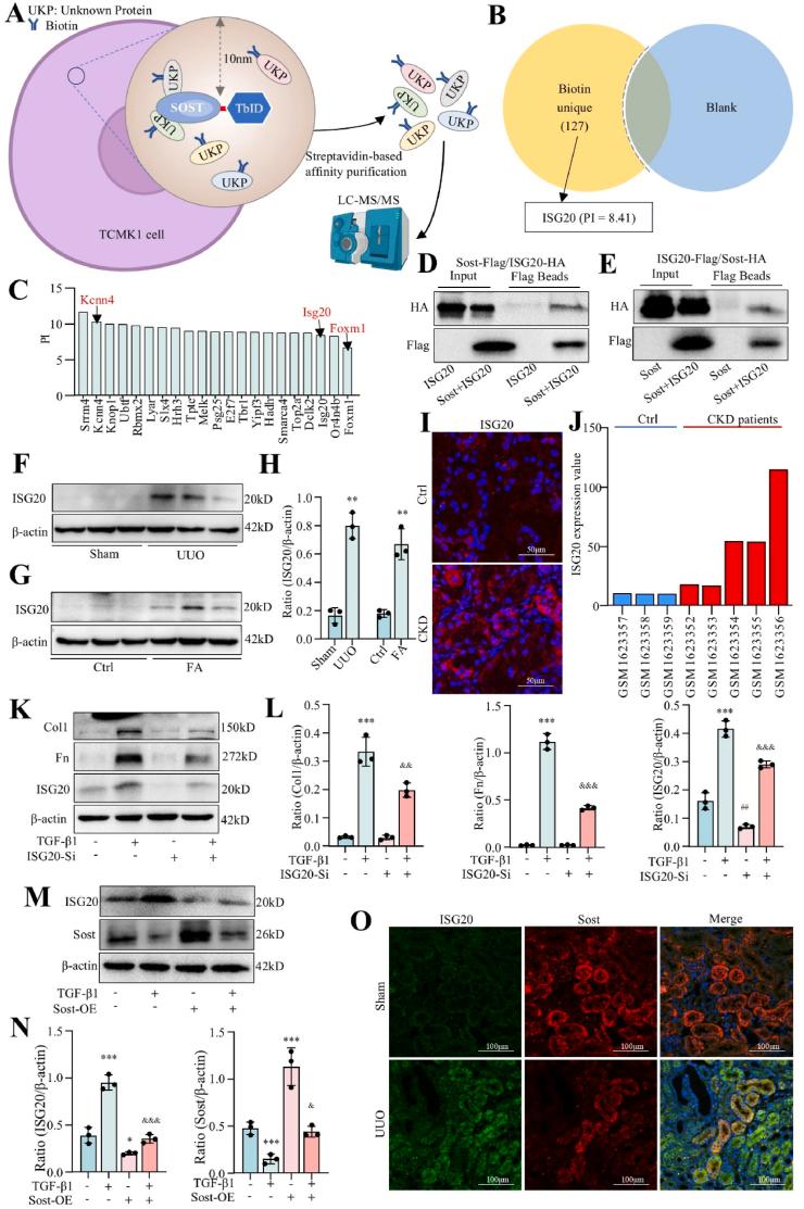
Sclerostin (Sost) functions as an inhibitor of the Wnt/β-catenin signaling pathway, which is known to promote kidney cell epithelial-to-mesenchymal transition (EMT), and fibrosis in chronic kidney disease (CKD). However, the renoprotective effects of Sost in kidney diseases and its therapeutic potential as a target remain unknown. To clarify the protective role of Sost in CKD kidneys, we utilized ultrasound microbubble-mediated renal in situ gene transfection to overexpress and knockdown Sost in kidney. Subsequently, we employed the TurboID-based protein interaction technique to screen for Sost-binding proteins and combined it with ECAR/OCR to elucidate the regulation of glycolytic pathways by Sost and its binding proteins. Sost is predominantly expressed in renal tubules and that its expression is significantly diminished in renal tissues of CKD patients, as well as in UUO and folic acid (FA) induced CKD mouse. Overexpression of Sost in vivo and in vitro ameliorated tubular injury and fibrosis. Employing the TurboID technique, we uncovered an interaction between Sost and the potential glycolysis-associated protein Isg20, an interferon-stimulated ribonuclease. This binding interaction serves to inhibit Isg20-mediated aerobic glycolysis and subsequent fibrosis within the kidney of CKD. For Sost agonists screening, we found that HDG exerts salient anti-fibrotic and renal protective effects in CKD, which are likely attributable to its significant upregulation of Sost expression, thereby inhibiting Isg20-mediated glycolysis. In summary, we demonstrate that upregulation of Sost by HDG inhibits glycolysis and renal fibrosis in CKD through binding and suppressing of Isg20, and targeting Sost may develop novel approaches to treat CKD.

摘要

硬化蛋白(Sost)作为Wnt/β-连环蛋白信号通路的抑制剂发挥作用,已知该信号通路会促进肾细胞上皮-间充质转化(EMT)以及慢性肾脏病(CKD)中的纤维化。然而,Sost在肾脏疾病中的肾脏保护作用及其作为靶点的治疗潜力仍不清楚。为了阐明Sost在CKD肾脏中的保护作用,我们利用超声微泡介导的肾脏原位基因转染在肾脏中过表达和敲低Sost。随后,我们采用基于TurboID的蛋白质相互作用技术筛选与Sost结合的蛋白质,并将其与细胞外酸化率(ECAR)/氧消耗率(OCR)相结合,以阐明Sost及其结合蛋白对糖酵解途径的调节作用。Sost主要在肾小管中表达,并且在CKD患者的肾组织以及单侧输尿管梗阻(UUO)和叶酸(FA)诱导的CKD小鼠中其表达显著降低。在体内和体外过表达Sost可改善肾小管损伤和纤维化。利用TurboID技术,我们发现Sost与潜在的糖酵解相关蛋白Isg20(一种干扰素刺激的核糖核酸酶)之间存在相互作用。这种结合相互作用可抑制Isg20介导的有氧糖酵解以及CKD肾脏中的后续纤维化。对于Sost激动剂筛选,我们发现HDG在CKD中发挥显著的抗纤维化和肾脏保护作用,这可能归因于其显著上调Sost表达,从而抑制Isg20介导的糖酵解。总之,我们证明HDG上调Sost可通过结合并抑制Isg20来抑制CKD中的糖酵解和肾纤维化,并且靶向Sost可能开发出治疗CKD的新方法。

https://cdn.ncbi.nlm.nih.gov/pmc/blobs/ac95/12275953/61de5f09a6bc/gr9.jpg
https://cdn.ncbi.nlm.nih.gov/pmc/blobs/ac95/12275953/b91a245ec18c/ga1.jpg
https://cdn.ncbi.nlm.nih.gov/pmc/blobs/ac95/12275953/ad9aebc63d8c/gr1.jpg
https://cdn.ncbi.nlm.nih.gov/pmc/blobs/ac95/12275953/9c748c2e3de7/gr2.jpg
https://cdn.ncbi.nlm.nih.gov/pmc/blobs/ac95/12275953/d28c4482dd21/gr3.jpg
https://cdn.ncbi.nlm.nih.gov/pmc/blobs/ac95/12275953/7d7b44579ada/gr4.jpg
https://cdn.ncbi.nlm.nih.gov/pmc/blobs/ac95/12275953/3c87026e8075/gr5.jpg
https://cdn.ncbi.nlm.nih.gov/pmc/blobs/ac95/12275953/4ce322b30fd9/gr6.jpg
https://cdn.ncbi.nlm.nih.gov/pmc/blobs/ac95/12275953/bd19f2a76517/gr7.jpg
https://cdn.ncbi.nlm.nih.gov/pmc/blobs/ac95/12275953/594447479c3f/gr8.jpg
https://cdn.ncbi.nlm.nih.gov/pmc/blobs/ac95/12275953/61de5f09a6bc/gr9.jpg
https://cdn.ncbi.nlm.nih.gov/pmc/blobs/ac95/12275953/b91a245ec18c/ga1.jpg
https://cdn.ncbi.nlm.nih.gov/pmc/blobs/ac95/12275953/ad9aebc63d8c/gr1.jpg
https://cdn.ncbi.nlm.nih.gov/pmc/blobs/ac95/12275953/9c748c2e3de7/gr2.jpg
https://cdn.ncbi.nlm.nih.gov/pmc/blobs/ac95/12275953/d28c4482dd21/gr3.jpg
https://cdn.ncbi.nlm.nih.gov/pmc/blobs/ac95/12275953/7d7b44579ada/gr4.jpg
https://cdn.ncbi.nlm.nih.gov/pmc/blobs/ac95/12275953/3c87026e8075/gr5.jpg
https://cdn.ncbi.nlm.nih.gov/pmc/blobs/ac95/12275953/4ce322b30fd9/gr6.jpg
https://cdn.ncbi.nlm.nih.gov/pmc/blobs/ac95/12275953/bd19f2a76517/gr7.jpg
https://cdn.ncbi.nlm.nih.gov/pmc/blobs/ac95/12275953/594447479c3f/gr8.jpg
https://cdn.ncbi.nlm.nih.gov/pmc/blobs/ac95/12275953/61de5f09a6bc/gr9.jpg

相似文献

1
Activation of sclerostin inhibits Isg20-Mediated aerobic glycolysis ameliorating renal Fibrosis: the renoprotective mechanism of hederagenin in CKD.硬化蛋白的激活抑制了Isg20介导的有氧糖酵解,改善肾纤维化:常春藤皂苷元在慢性肾脏病中的肾脏保护机制。
Redox Biol. 2025 Jul 8;85:103762. doi: 10.1016/j.redox.2025.103762.
2
Targeting interferon-stimulated gene of 20 kDa protein (Isg20) inhibits ribosome biogenesis to ameliorate the progression of renal fibrosis.靶向干扰素刺激的20 kDa蛋白基因(Isg20)可抑制核糖体生物发生,从而改善肾纤维化的进展。
PLoS One. 2025 Jul 7;20(7):e0322639. doi: 10.1371/journal.pone.0322639. eCollection 2025.
3
Macrophage-derived exosomes promote telomere fragility and senescence in tubular epithelial cells by delivering miR-155.巨噬细胞衍生的外泌体通过递送 miR-155 促进管状上皮细胞端粒脆弱和衰老。
Cell Commun Signal. 2024 Jul 10;22(1):357. doi: 10.1186/s12964-024-01708-5.
4
The Role of THBS4 in Chronic Kidney Disease Fibrosis: From Clinical Observations to Molecular Mechanisms.THBS4在慢性肾脏病纤维化中的作用:从临床观察到分子机制
Front Biosci (Landmark Ed). 2025 Jul 29;30(7):26076. doi: 10.31083/FBL26076.
5
UHRF1 promotes epithelial-mesenchymal transition mediating renal fibrosis by activating the TGF-β/SMAD signaling pathway.UHRF1通过激活TGF-β/SMAD信号通路促进介导肾纤维化的上皮-间质转化。
Sci Rep. 2025 Jan 27;15(1):3346. doi: 10.1038/s41598-025-86496-9.
6
Liquiritigenin regulates MAPK (p38/JNK) signaling through inhibition of IRAK4, attenuates inflammatory response, fibrosis and kidney dysfunction in a high-salt diet induced chronic kidney disease.甘草素通过抑制 IRAK4 调节 MAPK(p38/JNK)信号通路,减轻高盐饮食诱导的慢性肾脏病中的炎症反应、纤维化和肾功能障碍。
Chem Biol Interact. 2025 Sep 5;418:111578. doi: 10.1016/j.cbi.2025.111578. Epub 2025 May 28.
7
Hepatocyte Growth Factor-Modified Dental Pulp Stem Cells Potentially Regulate Novel Renal Fibrosis-Associated Gene via PI3K/AKT/GSK3β Pathway to Alleviate Renal Fibrosis.肝细胞生长因子修饰的牙髓干细胞可能通过PI3K/AKT/GSK3β信号通路调控新的肾纤维化相关基因以减轻肾纤维化。
Hum Gene Ther. 2025 Jul;36(13-14):956-975. doi: 10.1089/hum.2025.044. Epub 2025 Jun 4.
8
PRDM16 acts as a homeostasis regulation factor to suppress the transition of AKI to CKD via upregulation of eukaryotic initiation factor 6.PRDM16作为一种稳态调节因子,通过上调真核生物起始因子6来抑制急性肾损伤向慢性肾病的转变。
Cell Mol Life Sci. 2025 Jun 23;82(1):252. doi: 10.1007/s00018-025-05766-x.
9
Early growth response protein 2 promotes partial epithelial-mesenchymal transition by phosphorylating Smad3 during renal fibrosis.早期生长反应蛋白2在肾纤维化过程中通过磷酸化Smad3促进部分上皮-间质转化。
Transl Res. 2024 Sep;271:13-25. doi: 10.1016/j.trsl.2024.04.005. Epub 2024 Apr 26.
10
The therapeutic role of Coccinia grandis in flavor-enhancing high-lipid diet-induced chronic kidney disease: a dual role of NF-kB and TGF-β/smad in renal fibrosis.大籽栝楼在改善高脂饮食诱导的慢性肾病中的治疗作用:NF-κB和TGF-β/smad在肾纤维化中的双重作用
Mol Biol Rep. 2025 Aug 7;52(1):798. doi: 10.1007/s11033-025-10798-4.

引用本文的文献

1
Recent Progress in Health Benefits of Hederagenin and Its Glycosides.常春藤皂苷元及其糖苷对健康益处的最新进展
Molecules. 2025 Aug 15;30(16):3393. doi: 10.3390/molecules30163393.

本文引用的文献

1
SARS-CoV-2 nucleocapsid protein induces a Mincle-dependent macrophage inflammatory response in acute kidney injury.严重急性呼吸综合征冠状病毒2核衣壳蛋白在急性肾损伤中诱导一种依赖于小C型凝集素受体的巨噬细胞炎症反应。
Inflamm Res. 2025 Apr 17;74(1):64. doi: 10.1007/s00011-025-02030-7.
2
TIMP2-mediated mitochondrial fragmentation and glycolytic reprogramming drive renal fibrogenesis following ischemia-reperfusion injury.TIMP2介导的线粒体碎片化和糖酵解重编程在缺血再灌注损伤后驱动肾纤维化形成。
Free Radic Biol Med. 2025 May;232:244-259. doi: 10.1016/j.freeradbiomed.2025.02.020. Epub 2025 Feb 20.
3
Mitochondrial metabolic reprogramming in diabetic kidney disease.
糖尿病肾病中的线粒体代谢重编程。
Cell Death Dis. 2024 Jun 24;15(6):442. doi: 10.1038/s41419-024-06833-0.
4
WNT-dependent interaction between inflammatory fibroblasts and FOLR2+ macrophages promotes fibrosis in chronic kidney disease.炎症性成纤维细胞与FOLR2+巨噬细胞之间依赖WNT的相互作用促进慢性肾病中的纤维化。
Nat Commun. 2024 Jan 25;15(1):743. doi: 10.1038/s41467-024-44886-z.
5
Inhibition of PFKP in renal tubular epithelial cell restrains TGF-β induced glycolysis and renal fibrosis.抑制肾小管上皮细胞中的 PFKP 可抑制 TGF-β 诱导的糖酵解和肾纤维化。
Cell Death Dis. 2023 Dec 12;14(12):816. doi: 10.1038/s41419-023-06347-1.
6
Myeloid PFKFB3-mediated glycolysis promotes kidney fibrosis.髓系 PFKFB3 介导的糖酵解促进肾脏纤维化。
Front Immunol. 2023 Nov 16;14:1259434. doi: 10.3389/fimmu.2023.1259434. eCollection 2023.
7
The aberrant glycolysis in kidney proximal tubule: potential therapeutic target for DKD.肾脏近端小管中的异常糖酵解:DKD 的潜在治疗靶点。
Kidney Int. 2023 Dec;104(6):1056-1059. doi: 10.1016/j.kint.2023.09.019.
8
Pharmacological potential of Astragali Radix for the treatment of kidney diseases.黄芪治疗肾脏疾病的药理学潜力。
Phytomedicine. 2024 Jan;123:155196. doi: 10.1016/j.phymed.2023.155196. Epub 2023 Nov 7.
9
Cardioprotective function of sclerostin by reducing calcium deposition, proliferation, and apoptosis in human vascular smooth muscle cells.骨硬化蛋白通过减少人血管平滑肌细胞中的钙沉积、增殖和凋亡发挥心脏保护作用。
Cardiovasc Diabetol. 2023 Nov 2;22(1):301. doi: 10.1186/s12933-023-02043-8.
10
Pharmacological overview of hederagenin and its derivatives.常春藤皂苷元及其衍生物的药理学概述。
RSC Med Chem. 2023 Sep 1;14(10):1858-1884. doi: 10.1039/d3md00296a. eCollection 2023 Oct 18.