• 文献检索
  • 文档翻译
  • 深度研究
  • 学术资讯
  • Suppr Zotero 插件Zotero 插件
  • 邀请有礼
  • 套餐&价格
  • 历史记录
应用&插件
Suppr Zotero 插件Zotero 插件浏览器插件Mac 客户端Windows 客户端微信小程序
定价
高级版会员购买积分包购买API积分包
服务
文献检索文档翻译深度研究API 文档MCP 服务
关于我们
关于 Suppr公司介绍联系我们用户协议隐私条款
关注我们

Suppr 超能文献

核心技术专利:CN118964589B侵权必究
粤ICP备2023148730 号-1Suppr @ 2026

文献检索

告别复杂PubMed语法,用中文像聊天一样搜索,搜遍4000万医学文献。AI智能推荐,让科研检索更轻松。

立即免费搜索

文件翻译

保留排版,准确专业,支持PDF/Word/PPT等文件格式,支持 12+语言互译。

免费翻译文档

深度研究

AI帮你快速写综述,25分钟生成高质量综述,智能提取关键信息,辅助科研写作。

立即免费体验

小儿肝移植中即将发生的动脉血栓形成:阿替普酶的初步经验——病例报告

Impending arterial thrombosis in pediatric liver transplantation: Initial experience with alteplase - A case report.

作者信息

Tran Tri Thanh, Phan Kiet Tuan, Ho Duy Phi, Trinh Vi Nguyen Ha, Luu Thuan Nguyen An, Bui Trung Hai

机构信息

Department of Hepato-Pancreato-Biliary Diseases and Liver Transplant, Children's Hospital 2, Ho Chi Minh City, Viet Nam; Faculty of Pharmacy and Nursing, Tay Do University, Can Tho City, Viet Nam.

Department of Hepato-Pancreato-Biliary Diseases and Liver Transplant, Children's Hospital 2, Ho Chi Minh City, Viet Nam.

出版信息

Int J Surg Case Rep. 2025 Aug;133:111638. doi: 10.1016/j.ijscr.2025.111638. Epub 2025 Jul 9.

DOI:10.1016/j.ijscr.2025.111638
PMID:40644976
原文链接:https://pmc.ncbi.nlm.nih.gov/articles/PMC12275143/
Abstract

INTRODUCTION AND IMPORTANCE

Early hepatic artery thrombosis is a serious complication following pediatric liver transplantation, often associated with high morbidity and mortality. While surgical revascularization and retransplantation are the standard treatments, thrombolytic therapy has emerged as a potential alternative. However, clinical reports remain limited and standardized protocols are lacking.

PRESENTATION OF CASE

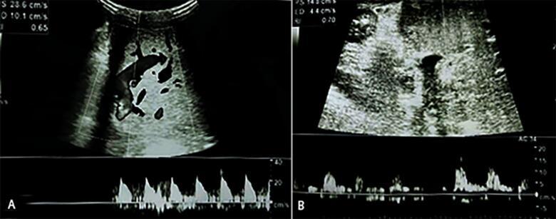
A 13-month-old infant with biliary atresia post-Kasai procedure underwent living donor liver transplantation. On postoperative day 9, Doppler ultrasound detected signs of impending hepatic artery thrombosis, which was confirmed by computed tomography angiography. The patient was treated with intravenous alteplase at a dose of 0.3 mg/kg/h. After 3.5 hours of infusion, Doppler ultrasound showed improved hepatic artery flow. The infusion was stopped early due to intra-abdominal bleeding, which was managed conservatively. The patient stabilized without surgical intervention and was discharged on postoperative day 32 with stable hepatic artery flow. At six-month follow-up, the hepatic artery remained patent, and the patient was clinically stable.

CLINICAL DISCUSSION

This case supports the effectiveness of alteplase administration in treating incomplete hepatic artery thrombosis, despite its bleeding risk. We recommend lower dose regimens to reduce hemorrhagic complications. However, further studies are needed to optimize the alteplase dosage.

CONCLUSION

Thrombolytic therapy with alteplase is a possible and effective alternative in managing eHAT, particularly where conventional options are not indicated or limited.

摘要

引言与重要性

早期肝动脉血栓形成是小儿肝移植术后的一种严重并发症,常伴有高发病率和死亡率。虽然手术血管重建和再次移植是标准治疗方法,但溶栓治疗已成为一种潜在的替代方法。然而,临床报告仍然有限,且缺乏标准化方案。

病例介绍

一名13个月大的患有胆道闭锁且已接受葛西手术的婴儿接受了活体供肝肝移植。术后第9天,多普勒超声检测到即将发生肝动脉血栓形成的迹象,计算机断层血管造影证实了这一情况。患者接受了剂量为0.3毫克/千克/小时的静脉注射阿替普酶治疗。输注3.5小时后,多普勒超声显示肝动脉血流改善。由于腹腔内出血,输注提前停止,对出血进行了保守处理。患者未进行手术干预病情稳定,术后第32天出院,肝动脉血流稳定。在6个月的随访中,肝动脉保持通畅,患者临床状况稳定。

临床讨论

该病例支持阿替普酶给药治疗不完全性肝动脉血栓形成的有效性,尽管存在出血风险。我们建议采用较低剂量方案以减少出血并发症。然而,需要进一步研究以优化阿替普酶剂量。

结论

使用阿替普酶进行溶栓治疗是处理早期肝动脉血栓形成的一种可行且有效的替代方法,特别是在传统方法不适用或受限的情况下。

https://cdn.ncbi.nlm.nih.gov/pmc/blobs/8ff8/12275143/ca98d1379be4/gr3.jpg
https://cdn.ncbi.nlm.nih.gov/pmc/blobs/8ff8/12275143/5f531e9822cc/gr1.jpg
https://cdn.ncbi.nlm.nih.gov/pmc/blobs/8ff8/12275143/0f0e81976c35/gr2.jpg
https://cdn.ncbi.nlm.nih.gov/pmc/blobs/8ff8/12275143/ca98d1379be4/gr3.jpg
https://cdn.ncbi.nlm.nih.gov/pmc/blobs/8ff8/12275143/5f531e9822cc/gr1.jpg
https://cdn.ncbi.nlm.nih.gov/pmc/blobs/8ff8/12275143/0f0e81976c35/gr2.jpg
https://cdn.ncbi.nlm.nih.gov/pmc/blobs/8ff8/12275143/ca98d1379be4/gr3.jpg

相似文献

1
Impending arterial thrombosis in pediatric liver transplantation: Initial experience with alteplase - A case report.小儿肝移植中即将发生的动脉血栓形成:阿替普酶的初步经验——病例报告
Int J Surg Case Rep. 2025 Aug;133:111638. doi: 10.1016/j.ijscr.2025.111638. Epub 2025 Jul 9.
2
Catheter-directed therapies for the treatment of high risk (massive) and intermediate risk (submassive) acute pulmonary embolism.经导管治疗高危(大块)和中危(次大块)急性肺栓塞。
Cochrane Database Syst Rev. 2022 Aug 8;8(8):CD013083. doi: 10.1002/14651858.CD013083.pub2.
3
Infusion techniques for peripheral arterial thrombolysis.外周动脉溶栓的输注技术。
Cochrane Database Syst Rev. 2021 Nov 17;11(11):CD000985. doi: 10.1002/14651858.CD000985.pub3.
4
Automated devices for identifying peripheral arterial disease in people with leg ulceration: an evidence synthesis and cost-effectiveness analysis.用于识别下肢溃疡患者外周动脉疾病的自动化设备:证据综合和成本效益分析。
Health Technol Assess. 2024 Aug;28(37):1-158. doi: 10.3310/TWCG3912.
5
Glucocorticosteroids for infants with biliary atresia following Kasai portoenterostomy.肝门空肠吻合术后胆道闭锁婴儿的糖皮质激素治疗
Cochrane Database Syst Rev. 2018 May 14;5(5):CD008735. doi: 10.1002/14651858.CD008735.pub3.
6
Thrombolysis for acute ischaemic stroke.急性缺血性脑卒中的溶栓治疗
Cochrane Database Syst Rev. 2003(3):CD000213. doi: 10.1002/14651858.CD000213.
7
The Black Book of Psychotropic Dosing and Monitoring.《精神药物剂量与监测黑皮书》
Psychopharmacol Bull. 2024 Jul 8;54(3):8-59.
8
The quantity, quality and findings of network meta-analyses evaluating the effectiveness of GLP-1 RAs for weight loss: a scoping review.评估胰高血糖素样肽-1受体激动剂(GLP-1 RAs)减肥效果的网状Meta分析的数量、质量及结果:一项范围综述
Health Technol Assess. 2025 Jun 25:1-73. doi: 10.3310/SKHT8119.
9
Pentasaccharides for the treatment of deep vein thrombosis.用于治疗深静脉血栓形成的五糖。
Cochrane Database Syst Rev. 2017 Dec 2;12(12):CD011782. doi: 10.1002/14651858.CD011782.pub2.
10
Endovascular thrombectomy with versus without intravenous thrombolysis for acute ischaemic stroke.急性缺血性卒中血管内血栓切除术联合与不联合静脉溶栓治疗的比较
Cochrane Database Syst Rev. 2025 Apr 24;4(4):CD015721. doi: 10.1002/14651858.CD015721.pub2.

本文引用的文献

1
Hepatic artery vasospasm masquerading as early hepatic artery thrombosis in progressive familial intrahepatic cholestasis 3: a case report.肝动脉痉挛在进行性家族性肝内胆汁淤积症3型中伪装成早期肝动脉血栓形成:一例报告
Clin Transplant Res. 2024 Mar 31;38(1):63-69. doi: 10.4285/kjt.23.0064. Epub 2024 Feb 20.
2
Intra-arterial lipo-prostaglandin E1 infusion for arterial spasm in liver transplantation: A case report.肝移植术中动脉内输注脂微球载体制剂前列腺素E1治疗动脉痉挛:一例报告
World J Clin Cases. 2023 Dec 6;11(34):8153-8157. doi: 10.12998/wjcc.v11.i34.8153.
3
Management and outcome of hepatic artery thrombosis after pediatric liver transplantation.
小儿肝移植术后肝动脉血栓形成的管理与结局
Pediatr Transplant. 2021 Aug;25(5):e13938. doi: 10.1111/petr.13938. Epub 2020 Dec 12.
4
Early hepatic arterial thrombosis in liver transplantation: Systemic intravenous alteplase as a potential rescue treatment after failed surgical revascularization.肝移植术后早期肝动脉血栓形成:手术血运重建失败后全身性静脉内使用阿替普酶作为一种潜在的挽救治疗方法。
Pediatr Transplant. 2021 Aug;25(5):e13902. doi: 10.1111/petr.13902. Epub 2020 Oct 27.
5
Pediatric Thrombolysis: A Practical Approach.小儿溶栓治疗:实用方法
Front Pediatr. 2017 Dec 6;5:260. doi: 10.3389/fped.2017.00260. eCollection 2017.
6
A Case Report of Severe Hepatic Artery Vasospasm Induced by Hepatic Arterial Buffer Response After Liver Transplantation.
Transplant Proc. 2016 Nov;48(9):3167-3170. doi: 10.1016/j.transproceed.2016.05.015.
7
Percutaneous Endovascular Therapeutic Options in Treating Posttransplant Hepatic Artery Thrombosis With the Aim of Salvaging Liver Allografts: Our Experience.以挽救同种异体肝移植为目的的经皮血管内治疗移植后肝动脉血栓形成的治疗选择:我们的经验
Exp Clin Transplant. 2016 Oct;14(5):542-550. doi: 10.6002/ect.2015.0189. Epub 2016 Apr 20.
8
Low-dose systemic thrombolytic therapy for deep vein thrombosis in pediatric patients.低剂量全身溶栓疗法治疗小儿深静脉血栓形成
J Pediatr Hematol Oncol. 2010 Mar;32(2):97-102. doi: 10.1097/MPH.0b013e3181cc826e.
9
Early hepatic artery thrombosis after liver transplantation: a systematic review of the incidence, outcome and risk factors.肝移植术后早期肝动脉血栓形成:发病率、结局及危险因素的系统评价
Am J Transplant. 2009 Apr;9(4):746-57. doi: 10.1111/j.1600-6143.2008.02541.x. Epub 2009 Mar 2.
10
Assessing the outcome of systemic tissue plasminogen activator for the management of venous and arterial thrombosis in pediatrics.评估全身性组织纤溶酶原激活剂用于儿科静脉和动脉血栓管理的效果。
J Pediatr Hematol Oncol. 2007 Apr;29(4):269-73. doi: 10.1097/MPH.0b013e318047b78b.