Suppr超能文献

暗白色物质:一项系统评价中发作期周围MRI征象的证据

Dark White Matter: Evidence of a Peri-Ictal MRI Sign from a Systematic Review.

作者信息

Magro Giuseppe, Di Benedetto Olindo, Di Renzo Antonio, Tinelli Emanuele

机构信息

Department of Neurology, Lamezia Terme Hospital, 88046 Catanzaro, Italy.

Neuroradiology Department, 'Magna Graecia' University, 88100 Catanzaro, Italy.

出版信息

J Clin Med. 2025 Jun 29;14(13):4607. doi: 10.3390/jcm14134607.

Abstract

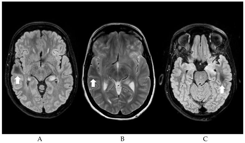
The radiological finding of Dark White Matter (DWM)-characteristic diffuse subcortical white matter hypointensity on T2/FLAIR sequences-is underrecognized, but has important clinical implications. Recent systematic evidence shows that over 60% of previously published cases showed seizures in association with DWM findings-it is also particularly predictive of the underlying etiology, particularly non-ketotic hyperglycemic hyperosmolar state (NKH). Based on our previous work, we reinterpret the data, focusing only on patients with seizures and DWM, to summarize the most essential and distinguishing features of these patients. Both cortical and subcortical abnormalities in DWM are more frequently associated with anti-MOG encephalitis. DWM with or without cortical involvement is more commonly found in NKH among patients with seizures. This updated systematic review will describe the proposed pathophysiological mechanisms, clinical associations, and implications for DWM in patients with seizures, and highlight how early recognition of DWM may allow for targeted diagnostic strategies and treatment options. We expanded our previous search with details regarding seizure features, our results show that DWM is associated with repetitive seizures and Status Epilepticus (both convulsive and non), in line with other peri-ictal MRI abnormalities associated with prolonged seizure activity. DWM-associated seizures are mostly focal, rather than generalized. Moreover, the high percentage of clinical recovery at follow-up suggests that DWM may be predictive of a good outcome, especially in NKH cases, although this needs to be confirmed in future studies.

摘要

暗白质(DWM)在T2/液体衰减反转恢复(FLAIR)序列上的特征性弥漫性皮质下白质低信号这一影像学表现尚未得到充分认识,但具有重要的临床意义。最近的系统证据表明,超过60%的既往发表病例显示癫痫发作与DWM表现相关——它对潜在病因也具有特别的预测性,尤其是非酮症高血糖高渗状态(NKH)。基于我们之前的工作,我们重新解读数据,仅关注癫痫发作和DWM患者,以总结这些患者最基本和独特的特征。DWM中的皮质和皮质下异常更常与抗髓鞘少突胶质细胞糖蛋白(MOG)脑炎相关。在癫痫发作患者中,伴或不伴有皮质受累的DWM在NKH中更为常见。这篇更新的系统综述将描述DWM在癫痫发作患者中可能的病理生理机制、临床关联及意义,并强调早期识别DWM如何有助于制定有针对性的诊断策略和治疗方案。我们扩大了之前关于癫痫发作特征细节的搜索范围,结果显示DWM与重复性癫痫发作和癫痫持续状态(惊厥性和非惊厥性)相关,这与其他与长时间癫痫发作活动相关的发作期MRI异常一致。DWM相关的癫痫发作大多为局灶性,而非全身性。此外,随访时较高的临床恢复率表明DWM可能预示着良好的预后,尤其是在NKH病例中,尽管这需要在未来的研究中得到证实。

https://cdn.ncbi.nlm.nih.gov/pmc/blobs/56df/12249862/2c60627a933a/jcm-14-04607-g001.jpg

文献检索

告别复杂PubMed语法,用中文像聊天一样搜索,搜遍4000万医学文献。AI智能推荐,让科研检索更轻松。

立即免费搜索

文件翻译

保留排版,准确专业,支持PDF/Word/PPT等文件格式,支持 12+语言互译。

免费翻译文档

深度研究

AI帮你快速写综述,25分钟生成高质量综述,智能提取关键信息,辅助科研写作。

立即免费体验