• 文献检索
  • 文档翻译
  • 深度研究
  • 学术资讯
  • Suppr Zotero 插件Zotero 插件
  • 邀请有礼
  • 套餐&价格
  • 历史记录
应用&插件
Suppr Zotero 插件Zotero 插件浏览器插件Mac 客户端Windows 客户端微信小程序
定价
高级版会员购买积分包购买API积分包
服务
文献检索文档翻译深度研究API 文档MCP 服务
关于我们
关于 Suppr公司介绍联系我们用户协议隐私条款
关注我们

Suppr 超能文献

核心技术专利:CN118964589B侵权必究
粤ICP备2023148730 号-1Suppr @ 2026

文献检索

告别复杂PubMed语法,用中文像聊天一样搜索,搜遍4000万医学文献。AI智能推荐,让科研检索更轻松。

立即免费搜索

文件翻译

保留排版,准确专业,支持PDF/Word/PPT等文件格式,支持 12+语言互译。

免费翻译文档

深度研究

AI帮你快速写综述,25分钟生成高质量综述,智能提取关键信息,辅助科研写作。

立即免费体验

努南综合征及相关疾病患者复杂淋巴管异常的靶向治疗

Targeted Therapy for Complex Lymphatic Anomalies in Patients with Noonan Syndrome and Related Disorders.

作者信息

Leenders Erika K S M, van den Brink Vera C, Kleimeier Lotte E R, Woutersen Danielle T J, Coppens Catelijne H, den Hertog Jeroen, Klein Willemijn M, Rinne Tuula, Vrancken Sabine L, de Wildt Saskia N, Draaisma Jos M T, Fuijkschot Joris

机构信息

Department of Human Genetics, Radboud University Medical Center, 6525 GA Nijmegen, The Netherlands.

Donders Institute for Brain, Cognition and Behavior, Radboud University Medical Center, 6525 GA Nijmegen, The Netherlands.

出版信息

Int J Mol Sci. 2025 Jun 26;26(13):6126. doi: 10.3390/ijms26136126.

DOI:10.3390/ijms26136126
PMID:40649904
原文链接:https://pmc.ncbi.nlm.nih.gov/articles/PMC12250309/
Abstract

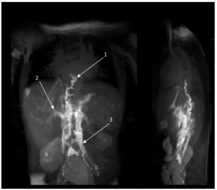
Recent diagnostic advances reveal that lymphatic disease in Noonan syndrome (NS) and other NS-like RASopathies often stems from central conducting lymphatic anomalies (CCLAs). The RAS/MAPK-ERK pathway plays a central role in lymphangiogenesis. Targeting this pathway with MEK-inhibitor trametinib has emerged as a promising therapeutic strategy for managing CCLAs in patients with NS-like RASopathies. This case series assessed the clinical outcomes of trametinib therapy in eight patients with NS-like RASopathies and CCLA, each offering unique insights into the therapeutic efficacy of MEK inhibition. In infants, a lower dose of 0.01 mg/kg/day and earlier discontinuation of trametinib therapy effectively alleviated the symptoms of congenital chylothorax and rescued the lymphatic phenotype, compared to similar published cases. Moreover, four patients aged >11 y showed a slower response and did not achieve complete symptomatic recovery. In conclusion, it is advised to consider trametinib therapy for patients with severe, therapy-refractory CCLA in patients with NS-like RASopathies. However, individual responses to trametinib therapy may vary, with some patients demonstrating more favorable outcomes than others. Further investigation into potential enhancers and suppressors of the lymphatic phenotype is necessary for more accurate treatment predictions. While these factors are likely genetic, we cannot rule out other intrinsic or physiological factors.

摘要

近期的诊断进展表明,努南综合征(NS)及其他类NS型RAS病中的淋巴疾病通常源于中央传导性淋巴管异常(CCLA)。RAS/MAPK-ERK信号通路在淋巴管生成中起核心作用。使用MEK抑制剂曲美替尼靶向该信号通路已成为治疗类NS型RAS病患者CCLA的一种有前景的治疗策略。本病例系列评估了曲美替尼治疗8例类NS型RAS病和CCLA患者的临床结局,每例患者都为MEK抑制的治疗效果提供了独特见解。与已发表的类似病例相比,婴儿使用较低剂量0.01 mg/kg/天并更早停用曲美替尼治疗可有效缓解先天性乳糜胸症状并挽救淋巴管表型。此外,4例年龄大于11岁的患者反应较慢,未实现症状完全缓解。总之,对于类NS型RAS病中患有严重、难治性CCLA的患者,建议考虑使用曲美替尼治疗。然而,患者对曲美替尼治疗的个体反应可能不同,部分患者的预后比其他患者更好。为了进行更准确的治疗预测,有必要进一步研究淋巴管表型的潜在增强剂和抑制剂。虽然这些因素可能是遗传性的,但我们不能排除其他内在或生理因素。

https://cdn.ncbi.nlm.nih.gov/pmc/blobs/9130/12250309/e01bc2aea78f/ijms-26-06126-g002.jpg
https://cdn.ncbi.nlm.nih.gov/pmc/blobs/9130/12250309/cbc981dc27cd/ijms-26-06126-g001.jpg
https://cdn.ncbi.nlm.nih.gov/pmc/blobs/9130/12250309/e01bc2aea78f/ijms-26-06126-g002.jpg
https://cdn.ncbi.nlm.nih.gov/pmc/blobs/9130/12250309/cbc981dc27cd/ijms-26-06126-g001.jpg
https://cdn.ncbi.nlm.nih.gov/pmc/blobs/9130/12250309/e01bc2aea78f/ijms-26-06126-g002.jpg

相似文献

1
Targeted Therapy for Complex Lymphatic Anomalies in Patients with Noonan Syndrome and Related Disorders.努南综合征及相关疾病患者复杂淋巴管异常的靶向治疗
Int J Mol Sci. 2025 Jun 26;26(13):6126. doi: 10.3390/ijms26136126.
2
Targeting cardiomyopathies associated with RASopathies: the role of mitogen-activated protein kinase inhibitors and therapeutic challenges.靶向与RAS病相关的心肌病:丝裂原活化蛋白激酶抑制剂的作用及治疗挑战
Pharmacogenet Genomics. 2025 Aug 1;35(6):173-182. doi: 10.1097/FPC.0000000000000569. Epub 2025 Jun 4.
3
The Black Book of Psychotropic Dosing and Monitoring.《精神药物剂量与监测黑皮书》
Psychopharmacol Bull. 2024 Jul 8;54(3):8-59.
4
Noonan Syndrome努南综合征
5
-Related Overgrowth Spectrum相关过度生长谱系
6
Systemic interventions for treatment of Stevens-Johnson syndrome (SJS), toxic epidermal necrolysis (TEN), and SJS/TEN overlap syndrome.全身性治疗史蒂文斯-约翰逊综合征(SJS)、中毒性表皮坏死松解症(TEN)和 SJS/TEN 重叠综合征。
Cochrane Database Syst Rev. 2022 Mar 11;3(3):CD013130. doi: 10.1002/14651858.CD013130.pub2.
7
Systemic treatments for metastatic cutaneous melanoma.转移性皮肤黑色素瘤的全身治疗
Cochrane Database Syst Rev. 2018 Feb 6;2(2):CD011123. doi: 10.1002/14651858.CD011123.pub2.
8
Systemic pharmacological treatments for chronic plaque psoriasis: a network meta-analysis.系统性药理学治疗慢性斑块状银屑病:网络荟萃分析。
Cochrane Database Syst Rev. 2021 Apr 19;4(4):CD011535. doi: 10.1002/14651858.CD011535.pub4.
9
Systemic pharmacological treatments for chronic plaque psoriasis: a network meta-analysis.慢性斑块状银屑病的全身药理学治疗:一项网状Meta分析。
Cochrane Database Syst Rev. 2020 Jan 9;1(1):CD011535. doi: 10.1002/14651858.CD011535.pub3.
10
The quantity, quality and findings of network meta-analyses evaluating the effectiveness of GLP-1 RAs for weight loss: a scoping review.评估胰高血糖素样肽-1受体激动剂(GLP-1 RAs)减肥效果的网状Meta分析的数量、质量及结果:一项范围综述
Health Technol Assess. 2025 Jun 25:1-73. doi: 10.3310/SKHT8119.

引用本文的文献

1
Molecular targeted treatment in infants with central conducting lymphatic anomalies.中枢性淋巴管异常婴儿的分子靶向治疗
Eur J Pediatr. 2025 Aug 21;184(9):567. doi: 10.1007/s00431-025-06376-2.

本文引用的文献

1
Trametinib as a targeted treatment in cardiac and lymphatic presentations of Noonan syndrome.曲美替尼作为努南综合征心脏和淋巴表现的靶向治疗药物。
Front Pediatr. 2025 Feb 18;13:1475143. doi: 10.3389/fped.2025.1475143. eCollection 2025.
2
Bilosomal Co-Encapsulated Tamoxifen and Propranolol for Potentiated Anti-Breast Cancer Efficacy: In Vitro and In Vivo Investigation.双体共包封他莫昔芬和普萘洛尔以增强抗乳腺癌疗效:体外和体内研究
Pharmaceutics. 2025 Jan 17;17(1):123. doi: 10.3390/pharmaceutics17010123.
3
Refractory Chylothorax and Ventricular Hypertrophy Treated with Trametinib in a Patient with Noonan Syndrome: 18-Month Follow-Up.
曲美替尼治疗努南综合征患者难治性乳糜胸和心室肥厚:18个月随访
Children (Basel). 2024 Oct 31;11(11):1342. doi: 10.3390/children11111342.
4
Trametinib restores the central conducting lymphatic flow in a premature infant with Noonan syndrome.曲美替尼可恢复一名患有努南综合征的早产儿的中央传导淋巴液流动。
Clin Case Rep. 2024 Jul 8;12(7):e9164. doi: 10.1002/ccr3.9164. eCollection 2024 Jul.
5
Targeted treatment in complex lymphatic anomaly: a case of synergistic efficacy of trametinib and sirolimus.靶向治疗复杂淋巴管畸形:曲美替尼和西罗莫司协同疗效的 1 例报告。
Orphanet J Rare Dis. 2024 May 16;19(1):199. doi: 10.1186/s13023-024-03211-z.
6
MEK Inhibition for RASopathy-Associated Hypertrophic Cardiomyopathy: Clinical Application of a Basic Concept.MEK 抑制治疗 RAS 通路相关肥厚型心肌病:基础概念的临床应用。
Can J Cardiol. 2024 May;40(5):789-799. doi: 10.1016/j.cjca.2024.02.020. Epub 2024 Mar 1.
7
Hyperactive KRAS/MAPK signaling disrupts normal lymphatic vessel architecture and function.过度活跃的KRAS/MAPK信号传导会破坏正常淋巴管的结构和功能。
Front Cell Dev Biol. 2023 Sep 25;11:1276333. doi: 10.3389/fcell.2023.1276333. eCollection 2023.
8
Lymphatic disorders caused by mosaic, activating KRAS variants respond to MEK inhibition.由镶嵌型、激活型 KRAS 变异引起的淋巴系统疾病对 MEK 抑制有反应。
JCI Insight. 2023 May 8;8(9):e155888. doi: 10.1172/jci.insight.155888.
9
Successful treatment of refractory chylothorax with MEK inhibitor trametinib in a child with Noonan syndrome: case report.用MEK抑制剂曲美替尼成功治疗一名努南综合征患儿的难治性乳糜胸:病例报告
Eur Heart J Case Rep. 2023 Apr 19;7(4):ytad190. doi: 10.1093/ehjcr/ytad190. eCollection 2023 Apr.
10
The molecular genetics of RASopathies: An update on novel disease genes and new disorders.RAS 相关疾病的分子遗传学:新疾病基因和新疾病的最新进展。
Am J Med Genet C Semin Med Genet. 2022 Dec;190(4):425-439. doi: 10.1002/ajmg.c.32012. Epub 2022 Nov 16.