Suppr超能文献

Ⅲ类乙醇脱氢酶在小鼠长期饮酒过程中调节肾壁层上皮细胞转化。

Class III Alcohol Dehydrogenase Modulates Renal Parietal Epithelial Cell Transformation During Chronic Alcohol Consumption in Mice.

作者信息

Katsuyama Midori, Okuda Takahisa, Ishizaki Masamichi, Wada Kentaro, Maruyama Motoyo, Akimoto Toshio, Ohno Youkichi, Hayashi Takahito, Haseba Takeshi

机构信息

Department of Legal Medicine, Graduate School of Medical and Dental Sciences, Kagoshima University, 8-35-1 Sakuragaoka, Kagoshima 890-8544, Japan.

Department of Legal Medicine, Nihon University School of Medicine, 30-1 Oyaguchi-Kamicho, Itabashi-ku, Tokyo 173-8610, Japan.

出版信息

Int J Mol Sci. 2025 Jun 29;26(13):6279. doi: 10.3390/ijms26136279.

Abstract

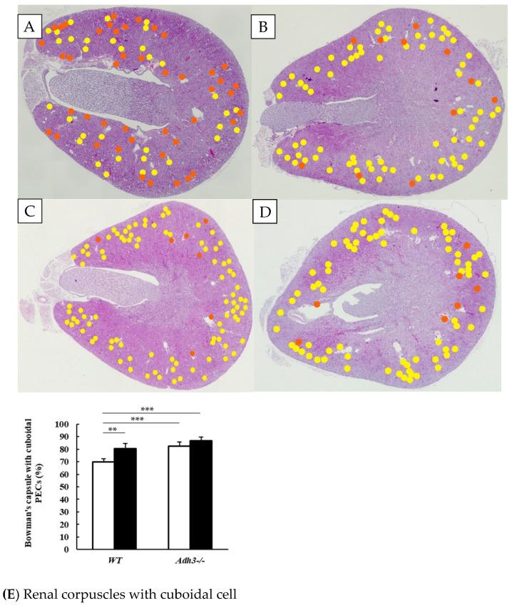
Class III alcohol dehydrogenase (ADH3), primarily localized in the liver and kidney, contributes to alcohol metabolism during chronic alcohol consumption (CAC). However, its role in kidney function remains unclear. This study investigated renal morphological changes associated with ADH3-mediated alcohol metabolism. Nine-week-old male wild-type (WT) and ADH3-deficient () mice were administered 10% ethanol for 1 month. Histological analyses were performed using periodic acid-Schiff (PAS) staining and electron microscopy. Serum biochemical parameters were also assessed. In WT mice, CAC induced an increase in cuboidal parietal epithelial cells (PECs) in Bowman's capsule, along with elevated testosterone levels in both serum and urine. mice showed increased PECs even in the control group, with similarly elevated serum testosterone in both control and ethanol-treated groups. These findings suggest that ADH3 is involved in testosterone metabolism, and that that metabolism is suppressed by CAC because ADH3 shifts toward ethanol metabolism. The resulting testosterone elevation may contribute to PEC proliferation. An increase in PECs observed even in control mice may also be caused by the lack of testosterone metabolism via ADH3. Thus, renal ADH3 may protect kidney structure through testosterone metabolism, but its role may be disturbed by CAC. This study highlights the role of ADH3 in the relationship between physiological steroid metabolism and alcoholic pathological abnormality in the kidney.

摘要

Ⅲ类乙醇脱氢酶(ADH3)主要定位于肝脏和肾脏,在长期饮酒(CAC)过程中参与酒精代谢。然而,其在肾功能中的作用仍不清楚。本研究调查了与ADH3介导的酒精代谢相关的肾脏形态学变化。对9周龄雄性野生型(WT)和ADH3缺陷型()小鼠给予10%乙醇,持续1个月。使用过碘酸希夫(PAS)染色和电子显微镜进行组织学分析。还评估了血清生化参数。在WT小鼠中,CAC导致鲍曼囊立方壁上皮细胞(PEC)增加,同时血清和尿液中的睾酮水平升高。即使在对照组中,小鼠的PEC也增加,在对照组和乙醇处理组中血清睾酮同样升高。这些发现表明,ADH3参与睾酮代谢,并且由于ADH3转向乙醇代谢,CAC会抑制该代谢。由此导致的睾酮升高可能导致PEC增殖。即使在对照组小鼠中观察到的PEC增加也可能是由于缺乏通过ADH3的睾酮代谢所致。因此,肾脏ADH3可能通过睾酮代谢保护肾脏结构,但其作用可能会受到CAC的干扰。本研究强调了ADH3在肾脏生理类固醇代谢与酒精性病理异常之间关系中的作用。

https://cdn.ncbi.nlm.nih.gov/pmc/blobs/d1e6/12249581/86a705bf96ef/ijms-26-06279-g001.jpg

文献检索

告别复杂PubMed语法,用中文像聊天一样搜索,搜遍4000万医学文献。AI智能推荐,让科研检索更轻松。

立即免费搜索

文件翻译

保留排版,准确专业,支持PDF/Word/PPT等文件格式,支持 12+语言互译。

免费翻译文档

深度研究

AI帮你快速写综述,25分钟生成高质量综述,智能提取关键信息,辅助科研写作。

立即免费体验