Suppr超能文献

脊柱病变:全面的放射学概述

Spinal lesions: a comprehensive radiologic overview.

作者信息

Alam Zahin, Syed Mohammed Usman, Siddiqui Tausif Ahmed, Gunturi Aditya, Reddy Brij, Alam Zarah, Rahman Akm A

机构信息

Department of Radiology, Hackensack Meridian School of Medicine, Nutley, NJ, United States.

Department of Imaging Sciences, University of Rochester Medical Center, Rochester, NY, United States.

出版信息

Front Radiol. 2025 Jun 27;5:1577840. doi: 10.3389/fradi.2025.1577840. eCollection 2025.

Abstract

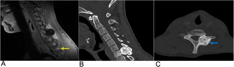
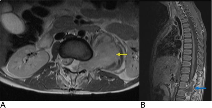
Spinal lesions encompass a diverse range of pathologies, including primary and secondary tumors, infectious processes, vascular malformations, traumatic injuries, and degenerative conditions, each with distinct imaging characteristics crucial for accurate diagnosis and management. Imaging plays vital roles in assessing lesion morphology, anatomical localization, and neurological impact, guiding clinical decision-making and therapeutic planning. This review systematically explores spinal lesions based on their anatomical compartments, highlighting key radiological features and providing a comprehensive reference for radiologists.

摘要

脊柱病变包括多种病理情况,包括原发性和继发性肿瘤、感染性病变、血管畸形、创伤性损伤以及退行性疾病,每种病变都具有独特的影像学特征,这些特征对于准确诊断和治疗至关重要。影像学在评估病变形态、解剖定位和神经影响方面发挥着至关重要的作用,指导临床决策和治疗规划。本综述基于解剖分区系统地探讨脊柱病变,突出关键的放射学特征,并为放射科医生提供全面的参考。

https://cdn.ncbi.nlm.nih.gov/pmc/blobs/fb06/12245835/d533f632e60c/fradi-05-1577840-g001.jpg

文献检索

告别复杂PubMed语法,用中文像聊天一样搜索,搜遍4000万医学文献。AI智能推荐,让科研检索更轻松。

立即免费搜索

文件翻译

保留排版,准确专业,支持PDF/Word/PPT等文件格式,支持 12+语言互译。

免费翻译文档

深度研究

AI帮你快速写综述,25分钟生成高质量综述,智能提取关键信息,辅助科研写作。

立即免费体验