Suppr超能文献

酷似垂体病变的应激性高催乳素血症:一项诊断挑战。

Stress-Induced Hyperprolactinemia Mimicking Pituitary Pathology: A Diagnostic Challenge.

作者信息

Vats Kanika, Kurian John Roshan, Ann Korah Sindhu

机构信息

Directorate of Research and Innovation, Emirates Classification Society (TASNEEF), Abu Dhabi, ARE.

Graduate School of Biomedical Studies, Icahn School of Medicine at Mount Sinai, New York, USA.

出版信息

Cureus. 2025 Jun 12;17(6):e85821. doi: 10.7759/cureus.85821. eCollection 2025 Jun.

Abstract

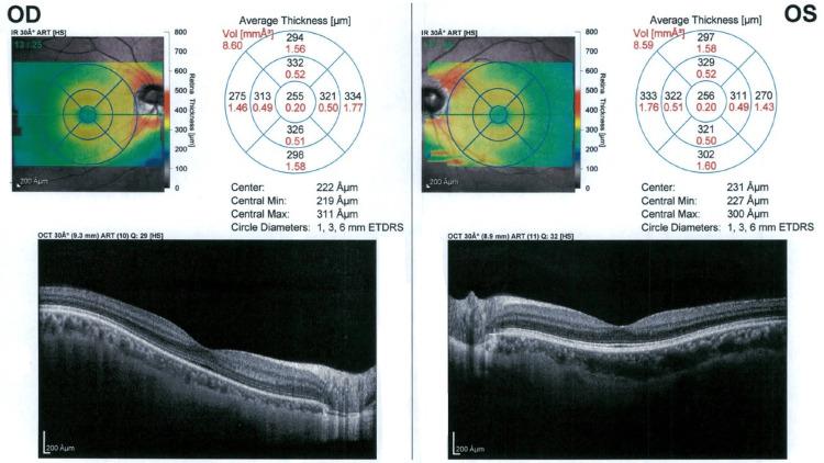
Hyperprolactinemia is often linked to pituitary adenomas, medications, or systemic disorders, but it can also be triggered by stress. The relationship between stress and elevated prolactin levels is complex and requires thorough evaluation to rule out underlying pathological causes. We present the case of a 37-year-old non-pregnant female with a known history of ovarian endometriosis, diagnosed more than a decade ago and currently managed with dienogest 2 mg daily. During a routine gynecological follow-up, laboratory investigations revealed mildly elevated serum prolactin levels. The patient concurrently reported the recent onset of acne, intermittent blurry vision, and occipital headaches, symptoms that were not present in previous assessments. Due to these atypical features, a multidisciplinary evaluation was initiated to explore possible underlying causes, including pituitary enlargement. Pelvic ultrasonography confirmed stable findings with no new endometriotic lesions. MRI of the brain showed no evidence of pituitary adenoma or structural abnormalities. Comprehensive ophthalmological examination demonstrated normal macular health in both eyes; however, visual field testing (perimetry) detected a central scotoma in the right eye. With no identifiable secondary causes and a recent history of psychological stress, a diagnosis of stress-induced hyperprolactinemia was considered. This case underscores the diagnostic complexity of endocrine abnormalities when neuro-ophthalmologic symptoms are present without radiologic findings. It highlights the importance of considering psychological stress as a potential contributor and reinforces the need for a holistic, multidisciplinary approach to avoid overdiagnosis and ensure appropriate management.

摘要

高催乳素血症常与垂体腺瘤、药物或全身性疾病有关,但也可能由压力引发。压力与催乳素水平升高之间的关系复杂,需要全面评估以排除潜在的病理原因。我们报告一例37岁未孕女性病例,该患者有卵巢子宫内膜异位症病史,十多年前确诊,目前每日服用2毫克地诺孕素进行治疗。在一次常规妇科随访中,实验室检查发现血清催乳素水平轻度升高。患者同时报告近期出现痤疮、间歇性视力模糊和枕部头痛,这些症状在之前的评估中并不存在。由于这些非典型特征,启动了多学科评估以探究可能的潜在病因,包括垂体增大。盆腔超声检查结果稳定,未发现新的子宫内膜异位病变。脑部MRI未显示垂体腺瘤或结构异常的证据。全面的眼科检查显示双眼黄斑健康正常;然而,视野测试(视野计检查)发现右眼有中心暗点。由于未发现可识别的继发原因且近期有心理压力史,考虑诊断为应激性高催乳素血症。该病例强调了在出现神经眼科症状而无影像学发现时内分泌异常的诊断复杂性。它突出了将心理压力视为潜在因素的重要性,并强化了采用整体、多学科方法以避免过度诊断并确保适当管理的必要性。

https://cdn.ncbi.nlm.nih.gov/pmc/blobs/05d6/12254874/33f8f98dc223/cureus-0017-00000085821-i01.jpg

文献AI研究员

20分钟写一篇综述,助力文献阅读效率提升50倍。

立即体验

用中文搜PubMed

大模型驱动的PubMed中文搜索引擎

马上搜索

文档翻译

学术文献翻译模型,支持多种主流文档格式。

立即体验