Suppr超能文献

病例报告:由一个30毫米的炎性腹主动脉瘤引起的原发性主动脉十二指肠瘘。

Case Report: Primary aortoduodenal fistula caused by a 30-mm inflammatory abdominal aortic aneurysm.

作者信息

Akabane Kentaro, Tajima Yuta, Toyama Shuji, Tamate Yoshihisa, Watanabe Tetsuo, Uchida Tetsuro

机构信息

Division of Cardiovascular Surgery, Sendai City Hospital, Miyagi, Japan.

Second Department of Surgery, Yamagata University Faculty of Medicine, Yamagata, Japan.

出版信息

Front Surg. 2025 Jun 27;12:1582823. doi: 10.3389/fsurg.2025.1582823. eCollection 2025.

Abstract

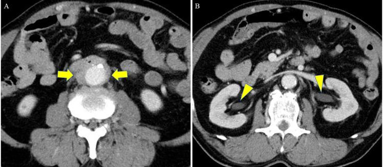
Primary aortoduodenal fistula (PADF) is a rare but fatal condition with a high mortality rate. Among these, an even smaller subset is caused by an inflammatory abdominal aortic aneurysm (IAAA). Controlling hemorrhage and infection is the primary concern for lifesaving treatments. The standard treatment involves radical open surgery, although endovascular surgery is considered depending on the patient's condition and emergency. Currently, the optimal surgical strategy remains controversial. This study describes the surgical management of a rare case with PADF caused by an IAAA, highlighting challenges in treatment. A 71-year-old man was referred to our hospital following a sudden massive melena. Computed tomography revealed PADF caused by a suspected IAAA. Emergency anatomical reconstruction, fistula closure, and omental coverage via laparotomy were subsequently conducted. After the primary surgery, the patient experienced two episodes of hemorrhagic shock due to infection-induced rupture at proximal and right leg anastomosis sites, which were treated with endovascular repair. The patient was discharged 3 months after the initial surgery. However, 1 month after discharge, a pseudoaneurysm was discovered at the proximal anastomosis site caused by re-infection-induced rupture, and extra-anatomical reconstruction was performed. Excessive surgical invasion caused disseminated intravascular coagulation, and the patient died 1 week postoperatively. The prognosis for PADF management remains poor. Endovascular repair for emergent hemostasis is effective; however, the appropriate timing of radical surgery for prosthetic infection risk is unknown. Therefore, accumulating cases to establish the optimal treatment strategy and surgical timing is essential for improving survival rates.

摘要

原发性主动脉十二指肠瘘(PADF)是一种罕见但致命的疾病,死亡率很高。其中,由炎性腹主动脉瘤(IAAA)引起的病例子集更小。控制出血和感染是挽救生命治疗的首要关注点。标准治疗包括根治性开放手术,不过也会根据患者情况和紧急程度考虑血管腔内手术。目前,最佳手术策略仍存在争议。本研究描述了一例由IAAA引起的PADF罕见病例的手术处理,突出了治疗中的挑战。一名71岁男性因突然大量黑便被转诊至我院。计算机断层扫描显示疑似IAAA引起的PADF。随后通过剖腹手术进行了紧急解剖重建、瘘管闭合和网膜覆盖。初次手术后,患者因近端和右腿吻合口感染导致破裂经历了两次出血性休克,通过血管腔内修复进行了治疗。患者在初次手术后3个月出院。然而,出院1个月后,在近端吻合口发现由再次感染引起的假性动脉瘤,并进行了解剖外重建。过度的手术侵袭导致弥散性血管内凝血,患者术后1周死亡。PADF的治疗预后仍然很差。血管腔内修复用于紧急止血是有效的;然而,针对假体感染风险进行根治性手术的合适时机尚不清楚。因此,积累病例以确定最佳治疗策略和手术时机对于提高生存率至关重要。

https://cdn.ncbi.nlm.nih.gov/pmc/blobs/96fc/12245851/2212dd198bdb/fsurg-12-1582823-g001.jpg

文献AI研究员

20分钟写一篇综述,助力文献阅读效率提升50倍。

立即体验

用中文搜PubMed

大模型驱动的PubMed中文搜索引擎

马上搜索

文档翻译

学术文献翻译模型,支持多种主流文档格式。

立即体验