Suppr超能文献

导致诊断为塔尔洛夫囊肿的慢性括约肌及性功能症状:有效手术治疗的病例报告

Chronic Sphincteric and Sexual Symptoms Leading to the Diagnosis of a Tarlov Cyst: A Case Report of Effective Surgical Treatment.

作者信息

Yahia Abdelali

机构信息

Neurosurgery, Ouargla Regional University Hospital, Ouargla, DZA.

出版信息

Cureus. 2025 Jun 14;17(6):e85982. doi: 10.7759/cureus.85982. eCollection 2025 Jun.

Abstract

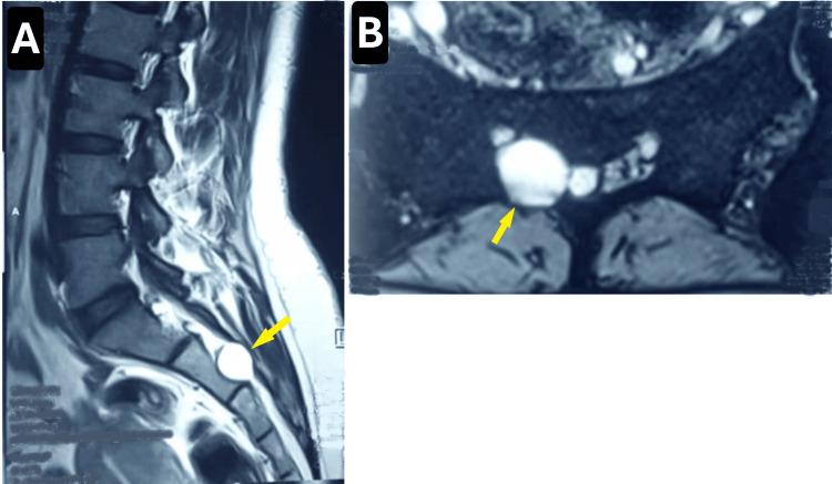
Tarlov cysts, also known as perineural cysts, are cerebrospinal fluid-filled sacs that typically form near the dorsal root ganglion, most commonly at the sacral levels S2 and S3. While most are incidentally identified on imaging, symptomatic cysts, particularly in the lower lumbar and sacral regions, can produce neurological symptoms similar to those of a herniated disc and may have a clinically significant impact on urogenital function. We present the case of a 38-year-old woman with a long-standing history of chronic pelvic dysfunction characterized by recurrent urinary tract infections, urinary incontinence, and perineal hypoesthesia, all of which significantly impacted her quality of life. Imaging studies revealed a Tarlov cyst involving the right S2 nerve root. Surgical intervention, consisting of cyst decompression and nerve root repair, resulted in substantial symptom improvement. Although most Tarlov cysts are incidental findings, they can cause debilitating symptoms in select cases. The decision to pursue surgical intervention is complex, yet it can yield remarkable improvements, as demonstrated by our patient's outcome. However, the literature also highlights the potential for recurrence. This case underscores the importance of considering Tarlov cysts in patients presenting with unexplained chronic pelvic, urinary, or sexual dysfunction. While surgical intervention may provide significant relief in carefully selected cases, it also emphasizes the necessity for early recognition and timely management.

摘要

塔尔洛夫囊肿,也称为神经周囊肿,是充满脑脊液的囊,通常在背根神经节附近形成,最常见于骶骨水平的S2和S3。虽然大多数囊肿是在影像学检查中偶然发现的,但有症状的囊肿,特别是在腰骶部区域,可产生与椎间盘突出症相似的神经症状,并可能对泌尿生殖功能产生临床上的重大影响。我们报告一例38岁女性,有长期慢性盆腔功能障碍病史,其特征为反复尿路感染、尿失禁和会阴感觉减退,所有这些均严重影响了她的生活质量。影像学检查显示一个累及右侧S2神经根的塔尔洛夫囊肿。手术干预包括囊肿减压和神经根修复,使症状得到了显著改善。虽然大多数塔尔洛夫囊肿是偶然发现的,但在某些情况下它们可导致使人衰弱的症状。决定是否进行手术干预很复杂,但正如我们患者的结果所示,手术可以带来显著改善。然而,文献也强调了复发的可能性。该病例强调了在出现不明原因的慢性盆腔、泌尿或性功能障碍的患者中考虑塔尔洛夫囊肿的重要性。虽然手术干预在精心挑选的病例中可能会带来显著缓解,但它也强调了早期识别和及时处理的必要性。

https://cdn.ncbi.nlm.nih.gov/pmc/blobs/9b71/12257255/934d0bc25d57/cureus-0017-00000085982-i01.jpg

文献AI研究员

20分钟写一篇综述,助力文献阅读效率提升50倍。

立即体验

用中文搜PubMed

大模型驱动的PubMed中文搜索引擎

马上搜索

文档翻译

学术文献翻译模型,支持多种主流文档格式。

立即体验