• 文献检索
  • 文档翻译
  • 深度研究
  • 学术资讯
  • Suppr Zotero 插件Zotero 插件
  • 邀请有礼
  • 套餐&价格
  • 历史记录
应用&插件
Suppr Zotero 插件Zotero 插件浏览器插件Mac 客户端Windows 客户端微信小程序
定价
高级版会员购买积分包购买API积分包
服务
文献检索文档翻译深度研究API 文档MCP 服务
关于我们
关于 Suppr公司介绍联系我们用户协议隐私条款
关注我们

Suppr 超能文献

核心技术专利:CN118964589B侵权必究
粤ICP备2023148730 号-1Suppr @ 2026

文献检索

告别复杂PubMed语法,用中文像聊天一样搜索,搜遍4000万医学文献。AI智能推荐,让科研检索更轻松。

立即免费搜索

文件翻译

保留排版,准确专业,支持PDF/Word/PPT等文件格式,支持 12+语言互译。

免费翻译文档

深度研究

AI帮你快速写综述,25分钟生成高质量综述,智能提取关键信息,辅助科研写作。

立即免费体验

仓鼠哈德氏腺中的间质卟啉与肾小管变性

Interstitial porphyrins and tubule degeneration in the hamster Harderian gland.

作者信息

Payne A P, McGadey J, Johnston H S

出版信息

J Anat. 1985 Jan;140 ( Pt 1)(Pt 1):25-36.

PMID:4066468
原文链接:https://pmc.ncbi.nlm.nih.gov/articles/PMC1165133/
Abstract

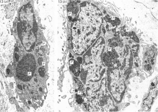
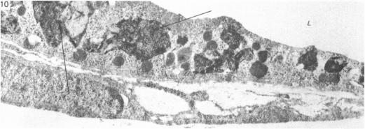
The Harderian glands of rodents manufacture and store porphyrins and are increasingly used as models for porphyrin biosynthesis. Although porphyrins are normally stored as solid intraluminal accretions, interstitial deposits also occur; in the Harderian gland of the female hamster these are found frequently in ovariectomised or aged animals. The present study (employing double-embedding techniques) suggests that interstitial porphyrin deposits are the result of degenerative processes which conform to an escalating pattern. Initially, tubule epithelial and myoepithelial cells become greatly attenuated and there is neutrophil invasion. Secondly, tubule walls disappear leaving previously intraluminal porphyrin stores free within the interstitium. Finally, large interstitial porphyrin accretions become surrounded by foreign body giant cells or are broken down into smaller deposits within free macrophages. These are often associated with plasma cells. Infiltration of the interstitium by lymphocytes may also occur. It may be that the abnormal localisation of porphyrin in the interstitium (i) evokes an immune response and (ii) is related to elevated blood porphyrin levels found in these animals.

摘要

啮齿动物的哈德氏腺制造并储存卟啉,越来越多地被用作卟啉生物合成的模型。尽管卟啉通常以腔内固体沉积物的形式储存,但也会出现间质沉积;在雌性仓鼠的哈德氏腺中,这种情况在去卵巢或老龄动物中经常出现。本研究(采用双重包埋技术)表明,间质卟啉沉积是符合递增模式的退行性过程的结果。最初,小管上皮细胞和肌上皮细胞变得极度萎缩,并有中性粒细胞浸润。其次,小管壁消失,使先前腔内的卟啉储存物在间质内游离。最后,大量间质卟啉沉积物被异物巨细胞包围,或在游离巨噬细胞内分解成较小的沉积物。这些通常与浆细胞有关。淋巴细胞也可能浸润间质。间质中卟啉的异常定位可能(i)引发免疫反应,(ii)与这些动物中发现的血卟啉水平升高有关。

https://cdn.ncbi.nlm.nih.gov/pmc/blobs/136e/1165133/e0ffc2dd3072/janat00193-0040-d.jpg
https://cdn.ncbi.nlm.nih.gov/pmc/blobs/136e/1165133/d6f29894bb9e/janat00193-0032-a.jpg
https://cdn.ncbi.nlm.nih.gov/pmc/blobs/136e/1165133/baa365058369/janat00193-0032-b.jpg
https://cdn.ncbi.nlm.nih.gov/pmc/blobs/136e/1165133/cb3944259cb9/janat00193-0032-c.jpg
https://cdn.ncbi.nlm.nih.gov/pmc/blobs/136e/1165133/5ab5e919a5f9/janat00193-0032-d.jpg
https://cdn.ncbi.nlm.nih.gov/pmc/blobs/136e/1165133/df6f7ac70f33/janat00193-0034-a.jpg
https://cdn.ncbi.nlm.nih.gov/pmc/blobs/136e/1165133/b3dc4d835c97/janat00193-0034-b.jpg
https://cdn.ncbi.nlm.nih.gov/pmc/blobs/136e/1165133/bd9ffede275d/janat00193-0034-c.jpg
https://cdn.ncbi.nlm.nih.gov/pmc/blobs/136e/1165133/149bec5d5702/janat00193-0036-a.jpg
https://cdn.ncbi.nlm.nih.gov/pmc/blobs/136e/1165133/f3e6ff356b3a/janat00193-0036-b.jpg
https://cdn.ncbi.nlm.nih.gov/pmc/blobs/136e/1165133/446a4336dd8a/janat00193-0036-c.jpg
https://cdn.ncbi.nlm.nih.gov/pmc/blobs/136e/1165133/f25086585040/janat00193-0038-a.jpg
https://cdn.ncbi.nlm.nih.gov/pmc/blobs/136e/1165133/c3503be98fdf/janat00193-0038-b.jpg
https://cdn.ncbi.nlm.nih.gov/pmc/blobs/136e/1165133/ed916b50a366/janat00193-0038-c.jpg
https://cdn.ncbi.nlm.nih.gov/pmc/blobs/136e/1165133/c9997168666d/janat00193-0040-a.jpg
https://cdn.ncbi.nlm.nih.gov/pmc/blobs/136e/1165133/6ef42660df87/janat00193-0040-b.jpg
https://cdn.ncbi.nlm.nih.gov/pmc/blobs/136e/1165133/1ef0e03cd203/janat00193-0040-c.jpg
https://cdn.ncbi.nlm.nih.gov/pmc/blobs/136e/1165133/e0ffc2dd3072/janat00193-0040-d.jpg
https://cdn.ncbi.nlm.nih.gov/pmc/blobs/136e/1165133/d6f29894bb9e/janat00193-0032-a.jpg
https://cdn.ncbi.nlm.nih.gov/pmc/blobs/136e/1165133/baa365058369/janat00193-0032-b.jpg
https://cdn.ncbi.nlm.nih.gov/pmc/blobs/136e/1165133/cb3944259cb9/janat00193-0032-c.jpg
https://cdn.ncbi.nlm.nih.gov/pmc/blobs/136e/1165133/5ab5e919a5f9/janat00193-0032-d.jpg
https://cdn.ncbi.nlm.nih.gov/pmc/blobs/136e/1165133/df6f7ac70f33/janat00193-0034-a.jpg
https://cdn.ncbi.nlm.nih.gov/pmc/blobs/136e/1165133/b3dc4d835c97/janat00193-0034-b.jpg
https://cdn.ncbi.nlm.nih.gov/pmc/blobs/136e/1165133/bd9ffede275d/janat00193-0034-c.jpg
https://cdn.ncbi.nlm.nih.gov/pmc/blobs/136e/1165133/149bec5d5702/janat00193-0036-a.jpg
https://cdn.ncbi.nlm.nih.gov/pmc/blobs/136e/1165133/f3e6ff356b3a/janat00193-0036-b.jpg
https://cdn.ncbi.nlm.nih.gov/pmc/blobs/136e/1165133/446a4336dd8a/janat00193-0036-c.jpg
https://cdn.ncbi.nlm.nih.gov/pmc/blobs/136e/1165133/f25086585040/janat00193-0038-a.jpg
https://cdn.ncbi.nlm.nih.gov/pmc/blobs/136e/1165133/c3503be98fdf/janat00193-0038-b.jpg
https://cdn.ncbi.nlm.nih.gov/pmc/blobs/136e/1165133/ed916b50a366/janat00193-0038-c.jpg
https://cdn.ncbi.nlm.nih.gov/pmc/blobs/136e/1165133/c9997168666d/janat00193-0040-a.jpg
https://cdn.ncbi.nlm.nih.gov/pmc/blobs/136e/1165133/6ef42660df87/janat00193-0040-b.jpg
https://cdn.ncbi.nlm.nih.gov/pmc/blobs/136e/1165133/1ef0e03cd203/janat00193-0040-c.jpg
https://cdn.ncbi.nlm.nih.gov/pmc/blobs/136e/1165133/e0ffc2dd3072/janat00193-0040-d.jpg

相似文献

1
Interstitial porphyrins and tubule degeneration in the hamster Harderian gland.仓鼠哈德氏腺中的间质卟啉与肾小管变性
J Anat. 1985 Jan;140 ( Pt 1)(Pt 1):25-36.
2
The effects of age on the structure and porphyrin synthesis of the harderian gland of the female golden hamster.年龄对雌性金黄仓鼠哈德氏腺结构和卟啉合成的影响。
J Anat. 1988 Oct;160:157-66.
3
Quantitative studies on the effects of hormones on structure and porphyrin biosynthesis in the harderian gland of the female golden hamster. II. The time course of changes after ovariectomy.雌性金黄仓鼠哈德氏腺中激素对结构和卟啉生物合成影响的定量研究。II. 卵巢切除术后变化的时间进程。
J Anat. 1986 Apr;145:67-77.
4
Hormones and the control of porphyrin biosynthesis and structure in the hamster harderian gland.激素与仓鼠哈德氏腺中卟啉生物合成及结构的调控
Microsc Res Tech. 1996 Jun 1;34(2):123-32. doi: 10.1002/(SICI)1097-0029(19960601)34:2<123::AID-JEMT5>3.0.CO;2-T.
5
Effects of lighting conditions and of hormone replacement on the level of porphyrins in the rat Harderian gland.光照条件及激素替代对大鼠哈德氏腺中卟啉水平的影响。
J Endocrinol Invest. 1987 Feb;10(1):79-82. doi: 10.1007/BF03347160.
6
The prevention of porphyrin loss from tissues during routine histological processing: quantitative studies on the Harderian gland.常规组织学处理过程中组织卟啉损失的预防:对哈德氏腺的定量研究
Histochem J. 1986 May;18(5):245-50. doi: 10.1007/BF01676234.
7
Changes in Harderian gland activity in the female golden hamster during the oestrous cycle, pregnancy and lactation.雌性金黄地鼠在发情周期、怀孕和哺乳期时哈德氏腺活动的变化。
Biochem J. 1979 Mar 15;178(3):597-604. doi: 10.1042/bj1780597.
8
The Harderian gland, its secretory duct and porphyrin content in the Plains mouse (Pseudomys australis).平原小鼠(Pseudomys australis)的哈德氏腺、其分泌导管及卟啉含量
J Anat. 1985 Mar;140 ( Pt 2)(Pt 2):337-50.
9
The Harderian gland, its secretory duct and porphyrin content in the mongolian gerbil (Meriones unguiculatus).长爪沙鼠(Meriones unguiculatus)的哈德氏腺、其分泌导管及卟啉含量
J Anat. 1983 Oct;137 (Pt 3)(Pt 3):615-30.
10
Bromocriptine prevents the castration-induced rise in porphyrin concentration in the harderian glands of the male Syrian hamster, Mesocricetus auratus.溴隐亭可防止雄性叙利亚仓鼠(金仓鼠)去势诱导的哈德氏腺中卟啉浓度升高。
J Exp Zool. 1989 Feb;249(2):172-6. doi: 10.1002/jez.1402490209.

引用本文的文献

1
Analysis of constant tissue remodeling in Syrian hamster Harderian gland: intra-tubular and inter-tubular syncytial masses.叙利亚仓鼠哈德腺组织重塑的分析:管内和管间合胞体团块。
J Anat. 2013 May;222(5):558-69. doi: 10.1111/joa.12040. Epub 2013 Mar 17.
2
Quantitative studies on the effects of hormones on structure and porphyrin biosynthesis in the Harderian gland of the female golden hamster: I. The effects of ovariectomy and nitrogen administration.雌性金黄仓鼠哈德氏腺中激素对结构和卟啉生物合成影响的定量研究:I. 卵巢切除和氮给药的影响
J Anat. 1985 Oct;142:59-72.
3
Effects of ovariectomy and ageing on the structure and ultrastructure of the female Syrian hamster Harderian gland: a stereological analysis.

本文引用的文献

1
The use of lead citrate at high pH as an electron-opaque stain in electron microscopy.在电子显微镜检查中,将高pH值的柠檬酸铅用作电子不透明染色剂。
J Cell Biol. 1963 Apr;17(1):208-12. doi: 10.1083/jcb.17.1.208.
2
Pigment in the harderian glands of mice exposed to a hot environment.暴露于热环境下的小鼠哈德氏腺中的色素
Q J Exp Physiol Cogn Med Sci. 1957 Jan;42(1):24-32. doi: 10.1113/expphysiol.1957.sp001240.
3
Seasonal variation in delta-aminolaevulinate synthase and porphyrin content in the Harderian gland of the female golden hamster (Mesocricetus auratus).
卵巢切除和衰老对雌性叙利亚仓鼠哈德氏腺结构和超微结构的影响:体视学分析
Anat Embryol (Berl). 1994 May;189(5):409-19. doi: 10.1007/BF00185436.
4
Effects of lighting conditions and of hormone replacement on the level of porphyrins in the rat Harderian gland.光照条件及激素替代对大鼠哈德氏腺中卟啉水平的影响。
J Endocrinol Invest. 1987 Feb;10(1):79-82. doi: 10.1007/BF03347160.
5
Quantitative studies on the effects of hormones on structure and porphyrin biosynthesis in the harderian gland of the female golden hamster. II. The time course of changes after ovariectomy.雌性金黄仓鼠哈德氏腺中激素对结构和卟啉生物合成影响的定量研究。II. 卵巢切除术后变化的时间进程。
J Anat. 1986 Apr;145:67-77.
6
The prevention of porphyrin loss from tissues during routine histological processing: quantitative studies on the Harderian gland.常规组织学处理过程中组织卟啉损失的预防:对哈德氏腺的定量研究
Histochem J. 1986 May;18(5):245-50. doi: 10.1007/BF01676234.
7
The effects of age on the structure and porphyrin synthesis of the harderian gland of the female golden hamster.年龄对雌性金黄仓鼠哈德氏腺结构和卟啉合成的影响。
J Anat. 1988 Oct;160:157-66.
8
Morphological observations on the harderian gland of the North American opossum (Didelphis virginiana).北美负鼠(弗吉尼亚负鼠)哈德氏腺的形态学观察。
Anat Embryol (Berl). 1992 Jul;186(2):145-52. doi: 10.1007/BF00174952.
Int J Biochem. 1980;12(3):501-4. doi: 10.1016/0020-711x(80)90137-8.
4
Effect of testosterone on the female hamster Harderian gland pigmentation and ultrastructure.
Cell Tissue Res. 1980;207(3):511-7. doi: 10.1007/BF00224624.
5
A histological study of the Harderian gland of Mongolian gerbils, Meriones meridianus.长爪沙鼠(Meriones meridianus)哈德氏腺的组织学研究。
Anat Rec. 1981 Jul;200(3):259-70. doi: 10.1002/ar.1092000304.
6
The Harderian gland, its secretory duct and porphyrin content in the mongolian gerbil (Meriones unguiculatus).长爪沙鼠(Meriones unguiculatus)的哈德氏腺、其分泌导管及卟啉含量
J Anat. 1983 Oct;137 (Pt 3)(Pt 3):615-30.
7
Sex differences in haem biosynthesis and porphyrin content in the Harderian gland of the golden hamster.
Int J Biochem. 1984;16(7):849-52. doi: 10.1016/0020-711x(84)90201-5.
8
Transformation of monocytes in tissue culture into macrophages, epithelioid cells, and multinucleated giant cells. An electron microscope study.组织培养中单核细胞向巨噬细胞、上皮样细胞和多核巨细胞的转化。一项电子显微镜研究。
J Cell Biol. 1966 Feb;28(2):303-32. doi: 10.1083/jcb.28.2.303.
9
Porphyrin biosynthesis. 5. Biosynthesis of protoporphyrin IX in Harderian glands.卟啉生物合成。5. 哈德氏腺中原卟啉IX的生物合成。
Eur J Biochem. 1968 Oct 17;6(1):80-3. doi: 10.1111/j.1432-1033.1968.tb00421.x.
10
Delta-aminolaevulinic acid synthetase in the Harderian gland.哈德氏腺中的δ-氨基乙酰丙酸合成酶
S Afr Med J. 1971 Sep 25:189-94.