Suppr超能文献

平原小鼠(Pseudomys australis)的哈德氏腺、其分泌导管及卟啉含量

The Harderian gland, its secretory duct and porphyrin content in the Plains mouse (Pseudomys australis).

作者信息

Johnston H S, McGadey J, Thompson G G, Moore M R, Breed W G, Payne A P

出版信息

J Anat. 1985 Mar;140 ( Pt 2)(Pt 2):337-50.

Abstract

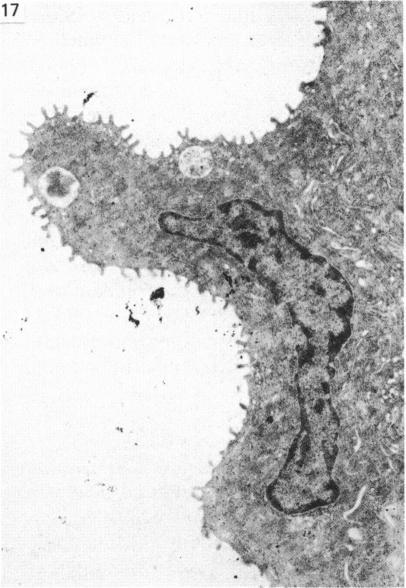
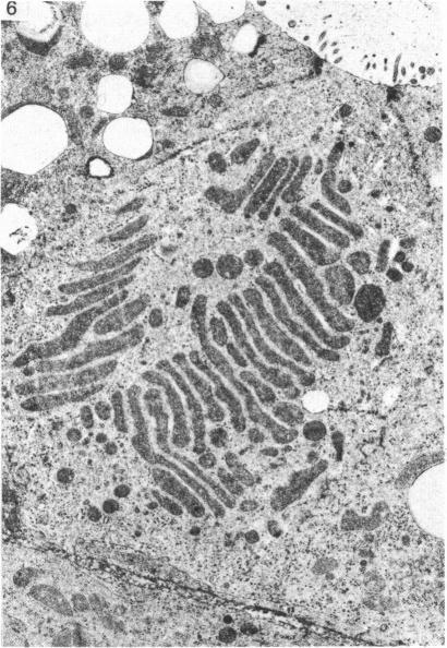
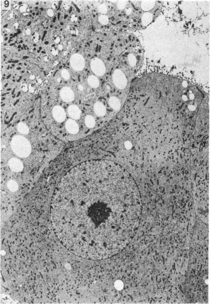
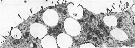
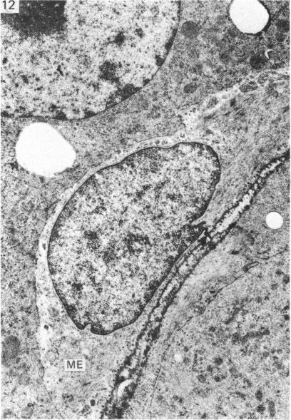
The Harderian gland of the Australian Plains mouse (Pseudomys australis) consists of tubules lined by a single layer of epithelial cells with a surrounding meshwork of myoepithelial cells. The epithelium contains three types of cell. Type I cells, characterised by their many large apical lipid vacuoles, are comparable with cells reported in other rodents. Secretion is exocytotic and, to a lesser extent, apocrine. Type II cells are highly distinctive with extremely large mitochondria arranged in stacks and whorls. Unusually for Harderian glands, these cells possess prominent conventional Golgi complexes and lysosomes. Cytoplasmic 'slashes', possible vacuole-precursors, are also present. Type III cells have few distinguishing features and may be resting cells. They are occasionally binucleate and mitotic figures occur. The gland contains stored porphyrins, chiefly protoporphyrin, in the form of solid intraluminal accretions. There is a marked sex difference, with females having higher levels of porphyrin than males. Among the components of the interstitial tissue are mast cells, plasma cells and porphyrin-containing macrophages. The secretory duct contains large quantities of cell debris, including nuclei, and is lined by columnar cells with single large apical vacuoles. The outer opening of the duct is lined by mucus-secreting cells and stratified squamous epithelium.

摘要

澳大利亚平原小鼠(Pseudomys australis)的哈德氏腺由一些小管组成,这些小管由单层上皮细胞衬里,周围有肌上皮细胞构成的网状结构。上皮组织包含三种类型的细胞。I型细胞的特征是其许多大的顶端脂质空泡,与其他啮齿动物中报道的细胞相似。分泌方式为胞吐作用,在较小程度上为顶浆分泌。II型细胞非常独特,具有以堆叠和螺旋形式排列的极大线粒体。对于哈德氏腺来说不寻常的是,这些细胞拥有突出的常规高尔基体复合体和溶酶体。细胞质“裂隙”,可能是液泡前体,也存在。III型细胞几乎没有明显特征,可能是静止细胞。它们偶尔双核,并且会出现有丝分裂图像。该腺体以管腔内固体沉积物的形式储存卟啉,主要是原卟啉。存在明显的性别差异,雌性的卟啉水平高于雄性。间质组织的成分包括肥大细胞、浆细胞和含卟啉的巨噬细胞。分泌导管含有大量细胞碎片,包括细胞核,由具有单个大顶端空泡的柱状细胞衬里。导管的外开口由分泌黏液的细胞和复层鳞状上皮衬里。

https://cdn.ncbi.nlm.nih.gov/pmc/blobs/1612/1165170/4d9bcbfe634b/janat00194-0153-a.jpg

相似文献

6
Comparative histological and ultrastructural studies of the Harderian gland of rodents.
Microsc Res Tech. 1996 May 1;34(1):28-38. doi: 10.1002/(SICI)1097-0029(19960501)34:1<28::AID-JEMT5>3.0.CO;2-S.
7
Ultrastructure of the harderian gland in male albino rats.
Anat Rec. 1978 Mar;190(3):735-53. doi: 10.1002/ar.1091900309.
10
Hormones and the control of porphyrin biosynthesis and structure in the hamster harderian gland.
Microsc Res Tech. 1996 Jun 1;34(2):123-32. doi: 10.1002/(SICI)1097-0029(19960601)34:2<123::AID-JEMT5>3.0.CO;2-T.

本文引用的文献

2
The use of lead citrate at high pH as an electron-opaque stain in electron microscopy.
J Cell Biol. 1963 Apr;17(1):208-12. doi: 10.1083/jcb.17.1.208.
3
On the histology and ultrastructure of the Harderian gland in rabbits.
Z Zellforsch Mikrosk Anat. 1960;52:93-104. doi: 10.1007/BF00344641.
4
A sexual dimorphism of the harderian glands in hamsters.
Acta Physiol Scand. 1953 Feb 28;27(4):332-6. doi: 10.1111/j.1748-1716.1953.tb00935.x.
6
The Harderian gland and thermoregulation in the gerbil (Meriones unguiculatus).
Physiol Behav. 1980 Mar;24(3):417-24. doi: 10.1016/0031-9384(80)90229-2.
8
A histological study of the Harderian gland of Mongolian gerbils, Meriones meridianus.
Anat Rec. 1981 Jul;200(3):259-70. doi: 10.1002/ar.1092000304.

文献AI研究员

20分钟写一篇综述,助力文献阅读效率提升50倍。

立即体验

用中文搜PubMed

大模型驱动的PubMed中文搜索引擎

马上搜索

文档翻译

学术文献翻译模型,支持多种主流文档格式。

立即体验