Suppr超能文献

复发性硬脑膜下血肿:一例自发性颅内低压诊断陷阱及靶向硬膜外血贴成功治疗的病例报告

Recurrent Subdural Hematoma: A Case Report of Diagnostic Pitfall of Spontaneous Intracranial Hypotension and Successful Management With Targeted Epidural Blood Patch.

作者信息

Chen Lili, Ying Guangyu, Peng Yucong

机构信息

Department of Neurology Xiasha Campus, Sir Run Run Shaw Hospital, Zhejiang University School of Medicine Zhejiang Hangzhou China.

Department of Neurosurgery The Second Affiliated Hospital, Zhejiang University School of Medicine Zhejiang Hangzhou China.

出版信息

Clin Case Rep. 2025 Jul 14;13(7):e70619. doi: 10.1002/ccr3.70619. eCollection 2025 Jul.

Abstract

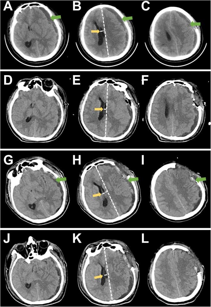
Spontaneous intracranial hypotension should be considered in subdural hematoma cases without cerebral trauma or underlying disease, particularly among non-elderly patients. Targeted epidural blood patch is recommended as a first-line intervention prior to surgical management in cases of spontaneous intracranial hypotension-induced subdural hematoma.

摘要

对于无脑外伤或基础疾病的硬膜下血肿病例,尤其是非老年患者,应考虑自发性颅内低压。对于自发性颅内低压所致硬膜下血肿病例,在手术治疗前,推荐将靶向硬膜外血贴作为一线干预措施。

https://cdn.ncbi.nlm.nih.gov/pmc/blobs/63de/12259495/c8448011871e/CCR3-13-e70619-g003.jpg

文献AI研究员

20分钟写一篇综述,助力文献阅读效率提升50倍。

立即体验

用中文搜PubMed

大模型驱动的PubMed中文搜索引擎

马上搜索

文档翻译

学术文献翻译模型,支持多种主流文档格式。

立即体验