• 文献检索
  • 文档翻译
  • 深度研究
  • 学术资讯
  • Suppr Zotero 插件Zotero 插件
  • 邀请有礼
  • 套餐&价格
  • 历史记录
应用&插件
Suppr Zotero 插件Zotero 插件浏览器插件Mac 客户端Windows 客户端微信小程序
定价
高级版会员购买积分包购买API积分包
服务
文献检索文档翻译深度研究API 文档MCP 服务
关于我们
关于 Suppr公司介绍联系我们用户协议隐私条款
关注我们

Suppr 超能文献

核心技术专利:CN118964589B侵权必究
粤ICP备2023148730 号-1Suppr @ 2026

文献检索

告别复杂PubMed语法,用中文像聊天一样搜索,搜遍4000万医学文献。AI智能推荐,让科研检索更轻松。

立即免费搜索

文件翻译

保留排版,准确专业,支持PDF/Word/PPT等文件格式,支持 12+语言互译。

免费翻译文档

深度研究

AI帮你快速写综述,25分钟生成高质量综述,智能提取关键信息,辅助科研写作。

立即免费体验

术前皮下及肌内脂肪组织对接受根治性胃切除术的胃癌患者术后肝转移发生的预测价值。

Predictive value of preoperative subcutaneous and intramuscular adipose tissue for the occurrence of postoperative liver metastasis in gastric cancer patients undergoing radical gastrectomy.

作者信息

Dai Di, Bao Zhengyuan, Zhu Yinsu, Wang Meiqin

机构信息

Department of Radiology, The Affiliated Cancer Hospital of Nanjing Medical University, Jiangsu Cancer Hospital, Jiangsu Institute of Cancer Research, Nanjing, China.

Division of Sports Medicine and Adult Reconstructive Surgery, Department of Orthopedic Surgery, Nanjing Drum Tower Hospital, Affiliated Hospital of Medical School, Nanjing University, Nanjing, China.

出版信息

J Gastrointest Oncol. 2025 Jun 30;16(3):865-874. doi: 10.21037/jgo-2025-82. Epub 2025 Jun 26.

DOI:10.21037/jgo-2025-82
PMID:40672071
原文链接:https://pmc.ncbi.nlm.nih.gov/articles/PMC12260970/
Abstract

BACKGROUND

Body compositions were associated with the clinical outcomes of patients with malignant tumors. Our study aimed to explore the predictive value of preoperative body compositions for liver metastasis after radical gastrectomy in gastric cancer (GC).

METHODS

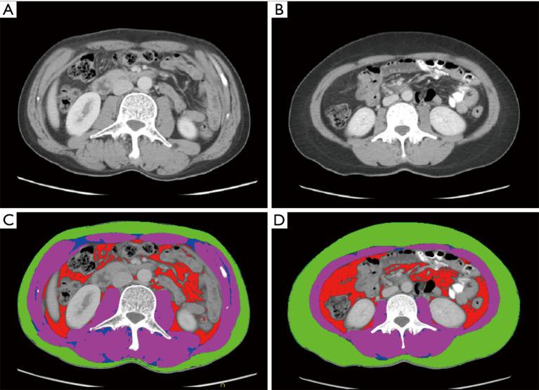
GC patients undergoing radical gastrectomy in the single center from January 2012 to December 2023 were retrospectively included. Patients with distant metastases or other malignant tumors before the surgery were excluded. Included patients were divided into the liver metastasis and control groups according to the presence of liver metastasis within the 3-year follow-up. Body compositions including skeletal muscle (SM), visceral adipose tissue (VAT), subcutaneous adipose tissue (SAT), and intramuscular adipose tissue (IAT) were estimated using preoperative computed tomography (CT) images at the L3 level. Multivariate logistic regression analysis was used to identify the independent risk factors of liver metastasis. Receiver operating characteristic curve was used to evaluate the predictive performance of significant factors.

RESULTS

A total of 300 patients were included for the final analysis with 223 in the control group and 77 in the liver metastasis group. Compared with the control group, the liver metastasis group contained more males (P<0.001), presented older age (P=0.004), higher T and N stages (P<0.001 for both), higher incidence of moderately-poorly and poorly differentiated cell grade (P<0.001), increased lymphovascular and perineural invasions (P<0.001 and P=0.01, respectively), higher incidence of abnormal carcinoembryonic antigen (CEA), carbohydrate antigen 199 (CA199) and alpha-fetoprotein (AFP) (P=0.01, 0.01 and 0.003, respectively), smaller SAT area (SATA) (P=0.009) and larger IAT area (IATA) (P=0.002). Multivariate logistic regression analysis demonstrated that the N stage (P=0.03), cell grade (P=0.01), AFP (P=0.04), and IATA (P=0.04) were independent risk factors for liver metastasis. The combination of SATA and IATA exhibited good predictive performance for liver metastasis [area under the curve (AUC) =0.687, 95% confidence interval (CI): 0.621-0.754].

CONCLUSIONS

The preoperative SATA and IATA at the L3 level were significant predictors of postoperative liver metastasis in GC patients undergoing radical gastrectomy.

摘要

背景

身体组成与恶性肿瘤患者的临床结局相关。我们的研究旨在探讨术前身体组成对胃癌(GC)根治性胃切除术后肝转移的预测价值。

方法

回顾性纳入2012年1月至2023年12月在单中心接受根治性胃切除的GC患者。排除术前有远处转移或其他恶性肿瘤的患者。根据3年随访期间是否存在肝转移,将纳入的患者分为肝转移组和对照组。使用术前L3水平的计算机断层扫描(CT)图像评估包括骨骼肌(SM)、内脏脂肪组织(VAT)、皮下脂肪组织(SAT)和肌内脂肪组织(IAT)在内的身体组成。采用多因素逻辑回归分析确定肝转移的独立危险因素。使用受试者工作特征曲线评估显著因素的预测性能。

结果

共纳入300例患者进行最终分析,其中对照组223例,肝转移组77例。与对照组相比,肝转移组男性更多(P<0.001),年龄更大(P=0.004),T和N分期更高(两者均P<0.001),中低分化和低分化细胞分级的发生率更高(P<0.001),淋巴管和神经周围侵犯增加(分别为P<0.001和P=0.01),癌胚抗原(CEA)、糖类抗原199(CA199)和甲胎蛋白(AFP)异常的发生率更高(分别为P=0.01、0.01和0.003),SAT面积(SATA)更小(P=0.009),IAT面积(IATA)更大(P=0.002)。多因素逻辑回归分析表明,N分期(P=0.03)、细胞分级(P=0.01)、AFP(P=0.04)和IATA(P=0.04)是肝转移的独立危险因素。SATA和IATA的联合对肝转移具有良好的预测性能[曲线下面积(AUC)=0.687,95%置信区间(CI):0.621-0.754]。

结论

术前L3水平的SATA和IATA是接受根治性胃切除的GC患者术后肝转移的重要预测指标。

https://cdn.ncbi.nlm.nih.gov/pmc/blobs/5481/12260970/15f3af9f88df/jgo-16-03-865-f3.jpg
https://cdn.ncbi.nlm.nih.gov/pmc/blobs/5481/12260970/ae3fa853af31/jgo-16-03-865-f1.jpg
https://cdn.ncbi.nlm.nih.gov/pmc/blobs/5481/12260970/b6a10df73bef/jgo-16-03-865-f2.jpg
https://cdn.ncbi.nlm.nih.gov/pmc/blobs/5481/12260970/15f3af9f88df/jgo-16-03-865-f3.jpg
https://cdn.ncbi.nlm.nih.gov/pmc/blobs/5481/12260970/ae3fa853af31/jgo-16-03-865-f1.jpg
https://cdn.ncbi.nlm.nih.gov/pmc/blobs/5481/12260970/b6a10df73bef/jgo-16-03-865-f2.jpg
https://cdn.ncbi.nlm.nih.gov/pmc/blobs/5481/12260970/15f3af9f88df/jgo-16-03-865-f3.jpg

相似文献

1
Predictive value of preoperative subcutaneous and intramuscular adipose tissue for the occurrence of postoperative liver metastasis in gastric cancer patients undergoing radical gastrectomy.术前皮下及肌内脂肪组织对接受根治性胃切除术的胃癌患者术后肝转移发生的预测价值。
J Gastrointest Oncol. 2025 Jun 30;16(3):865-874. doi: 10.21037/jgo-2025-82. Epub 2025 Jun 26.
2
Are Current Survival Prediction Tools Useful When Treating Subsequent Skeletal-related Events From Bone Metastases?当前的生存预测工具在治疗骨转移后的骨骼相关事件时有用吗?
Clin Orthop Relat Res. 2024 Sep 1;482(9):1710-1721. doi: 10.1097/CORR.0000000000003030. Epub 2024 Mar 22.
3
Combined Predictive Value of GLIM-Defined Malnutrition and Preoperative Adipose Tissue F-FDG Uptake for Recurrence-Free Survival After Radical Gastrectomy in Patients with Gastric Cancer.GLIM定义的营养不良和术前脂肪组织F-FDG摄取对胃癌患者根治性胃切除术后无复发生存的联合预测价值
Curr Oncol. 2025 Jun 19;32(6):363. doi: 10.3390/curroncol32060363.
4
Development and Validation of a Convolutional Neural Network Model to Predict a Pathologic Fracture in the Proximal Femur Using Abdomen and Pelvis CT Images of Patients With Advanced Cancer.利用晚期癌症患者腹部和骨盆 CT 图像建立卷积神经网络模型预测股骨近端病理性骨折的研究
Clin Orthop Relat Res. 2023 Nov 1;481(11):2247-2256. doi: 10.1097/CORR.0000000000002771. Epub 2023 Aug 23.
5
Releasing Forces in Adhesive Capsulitis Are Important Indicators of Shoulder Stiffness and Postoperative Function.粘连性肩周炎中的松解力是肩部僵硬和术后功能的重要指标。
Clin Orthop Relat Res. 2025 Jun 1;483(6):1033-1046. doi: 10.1097/CORR.0000000000003365. Epub 2025 Jan 28.
6
The role of body composition and pulmonary function in predicting long-term survival after lung cancer surgery.身体成分和肺功能在预测肺癌手术后长期生存中的作用。
Clin Nutr ESPEN. 2025 Aug;68:140-147. doi: 10.1016/j.clnesp.2025.04.009. Epub 2025 May 9.
7
Does Augmenting Irradiated Autografts With Free Vascularized Fibula Graft in Patients With Bone Loss From a Malignant Tumor Achieve Union, Function, and Complication Rate Comparably to Patients Without Bone Loss and Augmentation When Reconstructing Intercalary Resections in the Lower Extremity?对于因恶性肿瘤导致骨缺损的患者,在重建下肢节段性切除时,采用带血管游离腓骨移植来增强照射后的自体骨移植,其骨愈合、功能及并发症发生率与无骨缺损且未进行增强的患者相比是否相当?
Clin Orthop Relat Res. 2025 Jun 26. doi: 10.1097/CORR.0000000000003599.
8
Comparison of Two Modern Survival Prediction Tools, SORG-MLA and METSSS, in Patients With Symptomatic Long-bone Metastases Who Underwent Local Treatment With Surgery Followed by Radiotherapy and With Radiotherapy Alone.两种现代生存预测工具 SORG-MLA 和 METSSS 在接受手术联合放疗和单纯放疗治疗有症状长骨转移患者中的比较。
Clin Orthop Relat Res. 2024 Dec 1;482(12):2193-2208. doi: 10.1097/CORR.0000000000003185. Epub 2024 Jul 23.
9
Does the Presence of Missing Data Affect the Performance of the SORG Machine-learning Algorithm for Patients With Spinal Metastasis? Development of an Internet Application Algorithm.缺失数据的存在是否会影响 SORG 机器学习算法在脊柱转移瘤患者中的性能?开发一种互联网应用算法。
Clin Orthop Relat Res. 2024 Jan 1;482(1):143-157. doi: 10.1097/CORR.0000000000002706. Epub 2023 Jun 12.
10
Intravenous magnesium sulphate and sotalol for prevention of atrial fibrillation after coronary artery bypass surgery: a systematic review and economic evaluation.静脉注射硫酸镁和索他洛尔预防冠状动脉搭桥术后房颤:系统评价与经济学评估
Health Technol Assess. 2008 Jun;12(28):iii-iv, ix-95. doi: 10.3310/hta12280.

本文引用的文献

1
Global cancer statistics 2022: GLOBOCAN estimates of incidence and mortality worldwide for 36 cancers in 185 countries.2022 年全球癌症统计数据:全球 185 个国家和地区 36 种癌症的发病率和死亡率全球估计数。
CA Cancer J Clin. 2024 May-Jun;74(3):229-263. doi: 10.3322/caac.21834. Epub 2024 Apr 4.
2
Effect of body tissue composition on the outcome of patients with metastatic non-small cell lung cancer treated with PD-1/PD-L1 inhibitors.探讨 PD-1/PD-L1 抑制剂治疗转移性非小细胞肺癌患者的疗效与机体组织成分的关系。
PLoS One. 2023 Feb 10;18(2):e0277708. doi: 10.1371/journal.pone.0277708. eCollection 2023.
3
Prognostic values of myosteatosis for overall survival in patients with gastric cancers: A meta-analysis with trial sequential analysis.
肌内脂肪浸润对胃癌患者总生存预后价值的荟萃分析:一项试验序贯分析。
Nutrition. 2023 Jan;105:111866. doi: 10.1016/j.nut.2022.111866. Epub 2022 Oct 14.
4
Methodology, clinical applications, and future directions of body composition analysis using computed tomography (CT) images: A review.基于计算机断层扫描(CT)图像的人体成分分析方法、临床应用及未来方向:综述。
Eur J Radiol. 2021 Dec;145:109943. doi: 10.1016/j.ejrad.2021.109943. Epub 2021 Aug 30.
5
Computed tomography-defined low skeletal muscle index and density in cancer patients: observations from a systematic review.癌症患者计算机断层扫描定义的低骨骼肌指数和密度:系统评价观察结果。
J Cachexia Sarcopenia Muscle. 2021 Dec;12(6):1408-1417. doi: 10.1002/jcsm.12831. Epub 2021 Oct 18.
6
Myosteatosis predicts higher complications and reduced overall survival following radical oesophageal and gastric cancer surgery.肌内脂肪浸润预测根治性食管癌和胃癌手术后更高的并发症发生率和总体生存率降低。
Eur J Surg Oncol. 2021 Sep;47(9):2295-2303. doi: 10.1016/j.ejso.2021.02.008. Epub 2021 Feb 19.
7
Preoperative skeletal muscle index and visceral-to-subcutaneous fat area ratio are associated with long-term outcomes of elderly gastric cancer patients after gastrectomy.术前骨骼肌指数和内脏-皮下脂肪面积比与老年胃癌患者胃切除术后的长期预后相关。
Langenbecks Arch Surg. 2021 Mar;406(2):463-471. doi: 10.1007/s00423-021-02092-1. Epub 2021 Jan 30.
8
CT assessment of preoperative nutritional status in gastric cancer: severe low skeletal muscle mass and obesity-related low skeletal muscle mass are unfavorable factors of postoperative complications.胃癌术前 CT 评估营养状态:重度低骨骼肌量和肥胖相关低骨骼肌量是术后并发症的不利因素。
Expert Rev Gastroenterol Hepatol. 2021 Mar;15(3):317-324. doi: 10.1080/17474124.2021.1836959. Epub 2020 Oct 20.
9
Analysis of the optimal psoas muscle mass index cut-off values, as measured by computed tomography, for the diagnosis of loss of skeletal muscle mass in Japanese people.通过计算机断层扫描测量的腰大肌质量指数最佳截断值分析,用于诊断日本人群的骨骼肌质量损失。
Hepatol Res. 2020 Jun;50(6):715-725. doi: 10.1111/hepr.13499. Epub 2020 Apr 7.
10
Chinese consensus on the diagnosis and treatment of gastric cancer with liver metastases.《中国胃癌肝转移诊断与治疗共识》
Ther Adv Med Oncol. 2020 Feb 20;12:1758835920904803. doi: 10.1177/1758835920904803. eCollection 2020.