• 文献检索
  • 文档翻译
  • 深度研究
  • 学术资讯
  • Suppr Zotero 插件Zotero 插件
  • 邀请有礼
  • 套餐&价格
  • 历史记录
应用&插件
Suppr Zotero 插件Zotero 插件浏览器插件Mac 客户端Windows 客户端微信小程序
定价
高级版会员购买积分包购买API积分包
服务
文献检索文档翻译深度研究API 文档MCP 服务
关于我们
关于 Suppr公司介绍联系我们用户协议隐私条款
关注我们

Suppr 超能文献

核心技术专利:CN118964589B侵权必究
粤ICP备2023148730 号-1Suppr @ 2026

文献检索

告别复杂PubMed语法,用中文像聊天一样搜索,搜遍4000万医学文献。AI智能推荐,让科研检索更轻松。

立即免费搜索

文件翻译

保留排版,准确专业,支持PDF/Word/PPT等文件格式,支持 12+语言互译。

免费翻译文档

深度研究

AI帮你快速写综述,25分钟生成高质量综述,智能提取关键信息,辅助科研写作。

立即免费体验

内镜下机械碎石术成功治疗ERCP术后胆石性肠梗阻:一例报告

Successful endoscopic mechanical lithotripsy for post-ERCP gallstone ileus: a case report.

作者信息

Wang Jing, Luan Zhe, Yan Bin, Sun Gang

机构信息

Department of Gastroenterology and Hepatology, First Medical Center, Chinese PLA General Hospital, Beijing, China.

School of Medicine, Nankai University, Tianjin, China.

出版信息

Front Med (Lausanne). 2025 Jul 2;12:1604835. doi: 10.3389/fmed.2025.1604835. eCollection 2025.

DOI:10.3389/fmed.2025.1604835
PMID:40672812
原文链接:https://pmc.ncbi.nlm.nih.gov/articles/PMC12263398/
Abstract

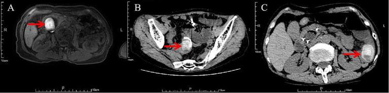
Gallstone ileus is a rare but severe complication of gallstone disease and is typically caused by the formation of a fistula between the biliary and gastrointestinal systems. The conventional treatment approach is enterolithotomy with stone removal. However, for elderly patients or those with underlying comorbidities, surgical intervention poses significant risks. Therefore, exploring minimally invasive, nonsurgical treatment strategies holds critical clinical value. A 63-year-old female was admitted to the hospital due to abdominal pain, chills, and high fever. She was diagnosed with a large common bile duct stone (diameter 3.9 cm). During endoscopic retrograde cholangiopancreatography (ERCP), as the stone was too large to be removed directly, endoscopic sphincterotomy (EST) combined with the placement of a biliary plastic stent was performed. On the 7th postoperative day, the patient developed nausea, vomiting, and constipation. Laboratory tests revealed elevated inflammatory marker, pancreatic enzyme, bile enzyme, and bilirubin levels. Imaging studies revealed intestinal dilatation and a high-density shadow within the intestinal lumen, leading to the diagnosis of gallstone ileus. On postoperative day 11, biliary and pancreatic stents were placed. On postoperative day 16, endoscopic stone extraction was attempted, successfully relieving the obstruction. The patient recovered well postoperatively and experienced no recurrence during the 2-month follow-up. This case report describes the successful treatment of post-ERCP gallstone ileus using endoscopic stone extraction and fragmentation techniques.

摘要

胆石性肠梗阻是胆石症一种罕见但严重的并发症,通常由胆道系统与胃肠道系统之间形成瘘管所致。传统的治疗方法是行肠石切除术并取出结石。然而,对于老年患者或有基础合并症的患者,手术干预存在重大风险。因此,探索微创、非手术治疗策略具有关键的临床价值。一名63岁女性因腹痛、寒战和高热入院。她被诊断为胆总管巨大结石(直径3.9厘米)。在内镜逆行胰胆管造影术(ERCP)期间,由于结石太大无法直接取出,遂行内镜括约肌切开术(EST)并置入胆道塑料支架。术后第7天,患者出现恶心、呕吐和便秘。实验室检查显示炎症标志物、胰酶、胆汁酶和胆红素水平升高。影像学检查显示肠扩张和肠腔内高密度影,从而诊断为胆石性肠梗阻。术后第11天,置入胆道和胰腺支架。术后第16天,尝试内镜下取石,成功解除梗阻。患者术后恢复良好,在2个月的随访期间未复发。本病例报告描述了使用内镜下取石和碎石技术成功治疗ERCP术后胆石性肠梗阻的情况。

https://cdn.ncbi.nlm.nih.gov/pmc/blobs/8827/12263398/16d19b81ac06/fmed-12-1604835-g002.jpg
https://cdn.ncbi.nlm.nih.gov/pmc/blobs/8827/12263398/5e4349c78c77/fmed-12-1604835-g001.jpg
https://cdn.ncbi.nlm.nih.gov/pmc/blobs/8827/12263398/16d19b81ac06/fmed-12-1604835-g002.jpg
https://cdn.ncbi.nlm.nih.gov/pmc/blobs/8827/12263398/5e4349c78c77/fmed-12-1604835-g001.jpg
https://cdn.ncbi.nlm.nih.gov/pmc/blobs/8827/12263398/16d19b81ac06/fmed-12-1604835-g002.jpg

相似文献

1
Successful endoscopic mechanical lithotripsy for post-ERCP gallstone ileus: a case report.内镜下机械碎石术成功治疗ERCP术后胆石性肠梗阻:一例报告
Front Med (Lausanne). 2025 Jul 2;12:1604835. doi: 10.3389/fmed.2025.1604835. eCollection 2025.
2
NIH state-of-the-science statement on endoscopic retrograde cholangiopancreatography (ERCP) for diagnosis and therapy.美国国立卫生研究院关于内镜逆行胰胆管造影术(ERCP)用于诊断和治疗的科学现状声明。
NIH Consens State Sci Statements. 2002;19(1):1-26.
3
Management of urinary stones by experts in stone disease (ESD 2025).结石病专家对尿路结石的管理(2025年结石病专家共识)
Arch Ital Urol Androl. 2025 Jun 30;97(2):14085. doi: 10.4081/aiua.2025.14085.
4
Early routine endoscopic retrograde cholangiopancreatography strategy versus early conservative management strategy in acute gallstone pancreatitis.急性胆石性胰腺炎的早期常规内镜逆行胰胆管造影术策略与早期保守治疗策略比较
Cochrane Database Syst Rev. 2012 May 16;2012(5):CD009779. doi: 10.1002/14651858.CD009779.pub2.
5
Surgical versus endoscopic treatment of bile duct stones.胆管结石的手术治疗与内镜治疗
Cochrane Database Syst Rev. 2013 Dec 12;2013(12):CD003327. doi: 10.1002/14651858.CD003327.pub4.
6
Surgical versus endoscopic treatment of bile duct stones.胆管结石的手术治疗与内镜治疗
Cochrane Database Syst Rev. 2013 Sep 3(9):CD003327. doi: 10.1002/14651858.CD003327.pub3.
7
Simultaneous endoscopic and laparoscopic management of acute biliary pancreatitis in the second trimester of pregnancy: A case report.妊娠中期急性胆源性胰腺炎的内镜与腹腔镜联合治疗:一例报告
Int J Surg Case Rep. 2025 Aug;133:111589. doi: 10.1016/j.ijscr.2025.111589. Epub 2025 Jun 30.
8
Endoscopic retrograde cholangiopancreatography for the treatment of common bile duct dilatation with choledocholithiasis in children: a single-center retrospective cohort study of 58 cases.内镜逆行胰胆管造影术治疗儿童胆总管扩张合并胆总管结石:一项单中心58例回顾性队列研究
BMC Pediatr. 2025 Jul 5;25(1):535. doi: 10.1186/s12887-025-05888-y.
9
Endoscopic retrograde cholangiopancreatography versus intraoperative cholangiography for diagnosis of common bile duct stones.内镜逆行胰胆管造影术与术中胆管造影术在胆总管结石诊断中的比较
Cochrane Database Syst Rev. 2015 Feb 26;2015(2):CD010339. doi: 10.1002/14651858.CD010339.pub2.
10
Pancreatic duct guidewire placement for biliary cannulation for the prevention of post-endoscopic retrograde cholangiopancreatography (ERCP) pancreatitis.用于胆道插管的胰管导丝置入术预防内镜逆行胰胆管造影(ERCP)术后胰腺炎
Cochrane Database Syst Rev. 2016 May 16;2016(5):CD010571. doi: 10.1002/14651858.CD010571.pub2.

本文引用的文献

1
Treatment of Bouveret syndrome with stone fragmentation using an endoscopic submucosal dissection knife.使用内镜下黏膜剥离刀进行碎石术治疗布韦雷综合征
VideoGIE. 2023 Oct 12;9(2):82-83. doi: 10.1016/j.vgie.2023.09.016. eCollection 2024 Feb.
2
Gallstone Enteropathy: An Unusual Cause of Bowel Obstruction.胆结石性肠梗阻:肠梗阻的一种罕见病因
Cureus. 2023 Sep 5;15(9):e44707. doi: 10.7759/cureus.44707. eCollection 2023 Sep.
3
Successful endoscopic management of Bouveret syndrome.布韦雷综合征的成功内镜治疗
J Surg Case Rep. 2022 Oct 30;2022(10):rjac484. doi: 10.1093/jscr/rjac484. eCollection 2022 Oct.
4
Gallstone Ileus.胆石性肠梗阻
N Engl J Med. 2022 Sep 8;387(10):924. doi: 10.1056/NEJMicm2204208. Epub 2022 Sep 3.
5
The Regularity of the Site of Impaction in Recurrent Gallstone Ileus: A Systematic Review and Meta-Analysis of Reported Cases.复发性胆石性肠梗阻嵌顿部位的规律:系统评价和病例报告的荟萃分析。
Can J Gastroenterol Hepatol. 2021 Dec 2;2021:5539789. doi: 10.1155/2021/5539789. eCollection 2021.
6
Management of Difficult Bile Duct Stones by Large Balloon, Cholangioscopy, Enteroscopy and Endosonography.经大球囊、胆管镜、经内镜逆行胰胆管造影和超声内镜处理困难胆管结石。
Gut Liver. 2020 May 15;14(3):297-305. doi: 10.5009/gnl19157.
7
Gallstone ileus in a ninety-two years old colecistectomized patient after endoscopic biliary sphincterotomy: a case report.内镜下胆管括约肌切开术后92岁胆囊切除患者的胆石性肠梗阻:一例报告
G Chir. 2017 Nov-Dec;38(6):299-302. doi: 10.11138/gchir/2017.38.6.299.
8
Successful Endoscopic Treatment of Bouveret Syndrome in a Patient with Choledochoduodenal Fistula Complicating Duodenal Ulcer.十二指肠溃疡合并胆总管十二指肠瘘患者Bouveret综合征的成功内镜治疗
Case Rep Gastrointest Med. 2017;2017:6918905. doi: 10.1155/2017/6918905. Epub 2017 Jun 19.
9
Novel treatment options for Bouveret's syndrome: a comprehensive review of 61 cases of successful endoscopic treatment.布韦雷特综合征的新型治疗选择:61例成功内镜治疗的综合回顾
Expert Rev Gastroenterol Hepatol. 2016 Nov;10(11):1245-1255. doi: 10.1080/17474124.2016.1241142. Epub 2016 Oct 5.
10
Large Bowel Obstruction Due to a Big Gallstone Successfully Treated with Endoscopic Mechanical Lithotripsy.内镜下机械碎石术成功治疗巨大胆结石所致大肠梗阻
Case Rep Gastrointest Med. 2015;2015:798746. doi: 10.1155/2015/798746. Epub 2015 Jun 2.